Qui est le plus susceptible d'être infecté par un virus infectieux, les fumeurs ou les non-fumeurs ?
Qui est le plus susceptible d'être infecté par un virus infectieux, les fumeurs ou les non-fumeurs ?
C'est la deuxième fois que je réponds à une question sur les fumeurs et les non-fumeurs, qui sont les plus infectieux et les plus sensibles au nouveau coronavirus. Dans la dernière réponse, de nombreuses personnes ont dit que je ne pouvais pas présenter de données prouvant qui est le plus susceptible d'être infecté, et tout le contenu est ma propre opinion.
Maintenant que les données sont disponibles, examinons les données d'un article récent publié par l'académicien Nanshan Zhong. L'une des données de l'article de l'académicien Nanshan Zhong concerne la prévalence du tabagisme dans la population.
Sur les 1099 patients infectés, 927 n'ont jamais fumé, soit 85,4 %, 21 ont déjà fumé, soit 1,9 %, et 137 fument encore, soit 12,6 %. Nous avons ensuite vérifié les données de Baidu, qui montrent que le nombre de fumeurs actuels en Chine s'élève à 301 millions, que le taux de tabagisme chez les personnes âgées de plus de 15 ans est de 28,1 %, dont 52,9 % chez les hommes et 2,4 % chez les femmes. D'après ces données, il semble que les fumeurs soient moins exposés à la nouvelle pneumonie à coronavirus.
En voyant ce chiffre, de nombreux fumeurs se sont justifiés et ont déclaré avec vigueur : "Vous voyez, fumer est bon pour prévenir les infections virales, n'est-ce pas, et vous continuez à dire que fumer est nocif pour l'organisme ?
Ne vous réjouissez pas trop vite, je vais analyser lentement pour vous si ces données sont représentatives ou non : tout d'abord, ces données ne représentent qu'environ 1 000 cas, les données sont relativement petites, et le hasard est également plus grand. Nous devons attendre les big data pour minimiser les risques. Si vous combinez des dizaines de milliers de données pour les analyser, elles auront un certain pouvoir de persuasion. Deuxièmement, dans ces 1099 données, il y a 459 femmes et 540 hommes. Selon les taux de tabagisme des hommes et des femmes, 52,9 % des hommes et 2,4 % des femmes sont des fumeurs, et le nombre de fumeuses est négligeable. Le vrai chiffre serait donc 137/540 avec une probabilité de 25,3 %, ce qui signifie que les proportions sont en fait les mêmes.
Une fois de plus, les données publiées précédemment dans le Lancet montrent clairement que les fumeurs de longue durée atteints d'une nouvelle pneumonie à coronavirus ont une probabilité plus élevée d'évoluer vers une maladie grave, voire critique. L'analyse des données de cet article par l'académicien Nanshan Zhong a révélé que 25,2 % de ces patients présentaient au moins une maladie sous-jacente combinée (par exemple, hypertension, bronchopneumopathie chronique obstructive, etc.)
De plus, le tabagisme est un facteur de risque pour des maladies telles que l'hypertension, la broncho-pneumopathie chronique obstructive et le cancer (y compris le cancer du poumon et de la vessie). Enfin, si l'on ajoute à cela la sensibilité générale au nouveau coronavirus dans la dernière version du programme de diagnostic et de traitement de la pneumonie pour le nouveau coronavirus, il n'y a pas de différence entre un fumeur moins sensible et un non-fumeur plus sensible.
Enfin, la conclusion : fumer n'est pas bénéfique, fumer une centaine de méfaits mais aucun bénéfice, nous n'avons pas la chance, que fumer aide à prévenir les infections virales, si c'est le cas, mais aussi la recherche sur les médicaments pour quoi, mais aussi la recherche sur le vaccin pour quoi, une cigarette peut être résolue choses, et pourquoi jusqu'à présent est encore à la recherche d'un difficile à trouver un médicament spécial elle. En définitive, on peut toujours dire que porter un masque quand il le faut et se laver les mains quand il le faut sont les moyens scientifiques de prévenir les infections virales.
Purement dactylographié à la main, ce n'est pas facile, si vous estimez que l'écriture peut être récompensée d'un éloge, signaler un souci, si vous avez des questions vous pouvez laisser un message ci-dessous .......
Qui est le plus susceptible d'être infecté par un virus infectieux, les fumeurs ou les non-fumeurs ?
Il n'y a pas de différence. Selon le programme de traitement de la pneumonie pour les infections à néocoronavirus (essai, cinquième édition), les néocoronavirus sont universellement sensibles à la population. En d'autres termes, que l'on soit fumeur ou non, que l'on ait un certain âge, que l'on soit un homme ou une femme, on peut être infecté par le nouveau coronavirus. Des études ont montré que le virus infecte l'homme en se liant à la protéine ACE2, que l'on trouve couramment dans les organes et les tissus humains (par exemple, les muqueuses de la bouche et du nez, le nasopharynx, les tissus pulmonaires et le tube digestif), et que nous pouvons donc être infectés si nous entrons en contact avec le virus à une certaine concentration.

Toutefois, il est important de noter que les fumeurs infectés par le nouveau virus sont plus susceptibles de développer des maladies graves
Selon les CDC, par rapport à la population générale, les patients atteints de maladies chroniques présentent une progression relativement plus rapide de la maladie, une gravité plus élevée et un risque de décès plus important après une infection par les nouveaux coronavirus.D'une part, cette partie de la population présente elle-même une résistance relativement faible et, d'autre part, ces personnes ont elles-mêmes une réponse inflammatoire chronique de faible intensité.而Le tabagisme n'endommage pas seulement les tissus pulmonaires, mais constitue également un facteur de risque élevé pour de nombreuses maladies chroniques et cardiovasculaires, telles que la bronchopneumopathie chronique obstructive, l'hypertension, le diabète, les maladies coronariennes, les infarctus cérébraux, etc. C'est pourquoi nous vous demandons de ne pas fumer, surtout si vous souffrez de ces maladies chroniques et si vous êtes plus âgés.

Je suis le médecin Yang Hao, spécialisé dans les maladies courantes, le diagnostic et le traitement des maladies multiples, la gestion des maladies chroniques et les sciences de la santé. Si vous voulez en savoir plus sur les connaissances médicales, je vous invite à lire ce titre !
Qui est le plus susceptible d'être infecté par le virus, les principaux fumeurs ou les non-fumeurs ?
Les substances nocives contenues dans les cigarettes, telles que le goudron, la nicotine, le benzopyrène, etc., peuvent endommager les voies respiratoires, entraînant une diminution de la capacité d'auto-épuration des voies respiratoires, les substances nocives peuvent stimuler la production de mucus par les voies respiratoires et stimuler le système nerveux parasympathique, entraînant la contraction des muscles lisses des bronches, ce qui a pour résultat final de provoquer une respiration des voies respiratoires. Résistance accrue : le goudron, la nicotine et d'autres substances peuvent entraîner une augmentation des radicaux libres de l'oxygène ; un excès de radicaux libres de l'oxygène peut endommager les fibres élastiques du système respiratoire et entraîner une diminution de l'élasticité ; en fin de compte, la capacité des personnes à résister et à prévenir les maladies diminue à des degrés divers, mais peut également provoquer une bronchite chronique, une maladie pulmonaire obstructive chronique, un emphysème et une cardiopathie pulmonaire.En outre, la nicotine et le benzo(a)pyrène peuvent provoquer un cancer du poumon, ce qui entraîne une diminution de la qualité de vie et une réduction de l'espérance de vie.

Bien sûr, de nombreuses rumeurs ont circulé sur la capacité du tabac à lutter contre le nouveau coronavirus, mais les dommages causés par le tabac au système respiratoire sont tels que ces rumeurs ne sont pas démenties.
Le tabagisme non seulement ne permet pas de lutter contre le nouveau coronavirus, mais entraîne également des lésions du système respiratoire, etc. et une diminution de la capacité à lutter contre les maladies. Étant donné que le tabagisme entraîne une diminution de la résistance des personnes, les risques de contracter des infections par le nouveau coronavirus en raison du tabagisme sont plus élevés que chez les non-fumeurs, et lorsqu'un fumeur de longue date est infecté par le nouveau coronavirus, le risque de nouvelle pneumonie coronarienne grave et de nouvelle pneumonie coronarienne grave augmente à des degrés divers.

Le tabagisme est nocif pour la santé, les personnes qui ne fument pas, il est préférable de ne pas fumer, si vous fumez déjà et que vous êtes devenu dépendant du tabac, il est préférable d'arrêter de fumer, il n'est vraiment pas possible d'arrêter de fumer, mais aussi dans la mesure du possible de limiter ou de réduire le nombre de cigarettes.
En fait, la question est de savoir si les substances chimiques de la nicotine contenues dans les poumons des fumeurs sont positives ou contre-productives dans la lutte contre cette épidémie.
Comme aucun test n'a été effectué jusqu'à présent, il est impossible de tirer des conclusions convaincantes. Si les autorités concernées peuvent établir des statistiques sur le nombre de patients confirmés et de décès, et déterminer la proportion de fumeurs et de non-fumeurs concernés, elles pourront peut-être faire la lumière sur le problème.
Quant au raisonnement de certaines personnes, il consiste à dire que le tabagisme endommage les poumons, ce qui affaiblit la fonction pulmonaire, et qu'un affaiblissement signifie nécessairement une faible résistance, de sorte que la probabilité de contracter le virus est plus grande par rapport à celle des non-fumeurs. Ce type de raisonnement est quelque peu considéré comme allant de soi.
Il y a deux côtés à tout, un mauvais côté pour le bon et un bon côté pour le mauvais. L'arsenic est un poison, mais il peut aussi être utilisé en médecine pour guérir des maladies et sauver des vies. L'opium est un poison, mais il peut être utilisé en médecine pour soulager la douleur et la maladie. Les chauves-souris sont délicieuses, mais elles peuvent tuer des gens.
La nicotine est également un poison, qui peut endommager les poumons d'une personne, mais qui peut dire avec certitude si elle tue également les virus ?
Récemment, j'ai souvent vu l'argument selon lequel, si vous voulez prévenir les infections virales, fumez quelques cigarettes ; ou ceux qui sont de vieux fumeurs ne seront pas infectés par le nouveau type de virus, et leurs poumons sont pleins de goudron, de sorte que le virus sera empoisonné à mort lorsqu'ils y entreront. Qu'il s'agisse d'une autodérision sous la tension de l'épidémie ou d'une croyance sincère que cela est justifié, il n'y a pas de différence claire dans l'importance des chances des fumeurs et des non-fumeurs d'être infectés par des virus d'après les données statistiques actuelles de l'étude.
Récemment, l'académicien Zhong Nanshan, en tant qu'auteur correspondant de la nouvelle recherche sur les statistiques cliniques du coronavirus, a fait part de son inquiétude à de nombreux amis. Tout d'abord, la plus longue période d'incubation de 24 jours du "record" a inquiété de nombreux amis, mais en fait, il a également été confirmé que, dans la proportion de 1 099 cas, cette période d'incubation de 24 jours n'est que d'un seul cas. Mais en fait, il a été confirmé que, parmi les 1099 cas, la période d'incubation de 24,0 jours n'est qu'un cas, et la médiane de la période d'incubation moyenne est de 3,0 jours, donc, pour un tel cas spécial, nous ne devrions pas trop penser et nous inquiéter.
En ce qui concerne la proportion de fumeurs parmi les patients ayant développé la maladie, il n'y avait que 137 cas de fumeurs parmi les 1 099 patients, ce qui représentait environ 12,6 % du nombre total de patients, ce qui signifie-t-il que les fumeurs sont moins susceptibles de contracter le nouveau type de pneumonie à coronavirus ? Ne vous inquiétez pas, nous l'analyserons pour vous lentement -

Parmi les 1 099 cas, il y a 459 femmes, et les femmes sont rarement des fumeuses, ce qui peut être presque ignoré. Parmi les 640 hommes restants, il y a 9 hommes de moins de 15 ans, et parmi les 631 hommes de plus de 15 ans, il y a 21 hommes qui avaient des antécédents de tabagisme et qui maintenant ne fument plus, et il y a 137 cas de ceux qui fument encore à l'heure actuelle, ce qui signifie que la proportion de la maladie chez les hommes ayant des antécédents de tabagisme est aussi élevée que 25 %, ce qui n'est en fait pas faible, et il y a aussi un certain degré d'aléatoire dans une telle taille d'échantillon statistique. En outre, la taille actuelle de l'échantillon d'une telle statistique est également sujette à un certain degré d'aléa, et la taille de l'échantillon n'est pas assez grande pour être complète, et l'on pense qu'avec l'amélioration continue des statistiques épidémiologiques, la proportion sera encore augmentée.
Ce chiffre ne montre donc pas que les fumeurs sont moins susceptibles d'être infectés par le nouveau virus. D'un autre point de vue, parmi les 1099 cas, 927 n'ont jamais fumé et il y a eu 134 cas de maladies graves, soit un ratio de 134/927 = 14,45 %, alors que chez les personnes ayant des antécédents de tabagisme, le ratio est de 38/159 = 23,89 %, et je pense que nous saurons d'un coup d'œil quelle est la situation où la proportion de cas critiques est la plus élevée.
Auparavant, les experts de l'OMS, dans l'introduction des questions liées à l'infection par le nouveau coronavirus, ont également déclaré que les personnes âgées, les personnes souffrant déjà d'une maladie pulmonaire ou les fumeurs de longue date sont susceptibles de développer des conditions critiques de la situation de risque, de sorte qu'il semble que le tabagisme n'est pas efficace pour réduire les chances d'infection par le nouveau coronavirus, mais les fumeurs une fois infectés par le nouveau coronavirus, le risque de développer des symptômes critiques des poumons, au contraire, les chances d'un taux de risque plus élevé.
Fumer est nocif pour la santé, nous avons de nombreuses années de science populaire, fumer pour les poumons, le tube digestif, la santé cardiovasculaire et d'autres aspects des risques pour la santé, a également dit beaucoup, il y a encore beaucoup d'amis (en particulier certains de ceux qui ne peuvent pas arrêter de fumer amis), aiment toujours trouver une variété d'exemples pour prouver que les "avantages" du tabagisme, pour prendre un exemple solitaire de la situation pour contester le concept scientifique de longue date que le tabagisme est nocif pour la santé, est vraiment ridicule et pathétique. Fumer ou ne pas fumer, c'est le choix personnel d'une personne, comment choisir, cela dépend principalement de soi, il n'y a vraiment pas besoin de prouver que fumer peut aider la santé du corps, aider à réduire la propagation des virus, vous dites que ce n'est pas le cas ?
Les enquêtes épidémiologiques ont montré que la population est généralement sensible aux nouveaux coronavirus et que, par conséquent, les fumeurs comme les non-fumeurs peuvent être infectés par ces nouveaux coronavirus. Cependant, il peut y avoir des différences dans la régression de la maladie entre les fumeurs et les non-fumeurs.
En ce qui concerne le système respiratoire, le tabagisme peut affaiblir la fonction immunitaire des voies respiratoires et réduire la résistance aux virus ; en l'absence de médicaments efficaces, l'élimination du nouveau coronavirus repose principalement sur le système immunitaire du corps humain, de sorte qu'en théorie, fumer beaucoup pendant une longue période n'est pas propice à la prévention de la pneumonie à néocoronavirus. Deuxièmement, le tabagisme peut endommager les tissus pulmonaires, réduire la fonction pulmonaire et augmenter l'incidence des maladies respiratoires telles que la bronchopneumopathie chronique obstructive, l'asthme, la tuberculose, etc. Parmi les patients atteints d'une nouvelle pneumonie coronarienne, ceux qui souffrent de maladies respiratoires ont plus de chances d'évoluer vers des formes graves et critiques, et les décès sont également plus fréquents chez les patients souffrant de maladies respiratoires, de sorte qu'un tabagisme intensif à long terme n'est pas propice à la régression d'une nouvelle pneumonie coronarienne, en particulier chez les patients qui ont déjà développé des maladies respiratoires ; en outre, le tabagisme peut entraîner le développement de la maladie en une maladie chronique. En outre, le tabagisme augmente le risque de maladies chroniques telles que le diabète sucré, les maladies coronariennes, les accidents vasculaires cérébraux et l'athérosclérose périphérique. Une fois infectés par le nouveau coronavirus, le pronostic des patients souffrant de maladies chroniques comorbides est moins bon que celui de la population générale, de sorte que le pronostic des non-fumeurs est probablement meilleur en termes de régression de la maladie.
Bien sûr, quelques mois seulement se sont écoulés depuis la découverte du nouveau coronavirus l'année dernière, nous en savons très peu sur le virus, et tous les aspects du virus doivent être étudiés en profondeur. Même si certaines données des études peuvent être utilisées comme référence, les échantillons des études sont relativement petits, et les différences individuelles affectent également le risque de maladie et la régression de la maladie, de sorte que la question de savoir "qui a un plus grand risque d'infection, les fumeurs ou les non-fumeurs" ne peut pas encore être définitivement tranchée. Par conséquent, la réponse à la question "qui est plus exposé au risque d'infection chez les fumeurs par rapport aux non-fumeurs" ne peut pas être déterminée de manière définitive. Les études épidémiologiques actuelles montrent que toutes les populations sont sensibles aux nouveaux coronavirus et que le risque d'infection est peut-être différent selon les individus. Même si le risque d'infection est faible, une fois que l'infection se produit chez l'individu, le taux d'infection est de 100 %, de sorte que toutes les personnes, qu'elles soient fumeuses ou non-fumeuses, devraient prendre des mesures de protection contre la pneumonie à néocoronavirus. Plus important encore, le nouveau coronavirus se transmet principalement par les voies respiratoires. En cette période de forte incidence de l'épidémie, fumer augmente sans aucun doute les risques de contact avec le virus ; si vous êtes infecté par le nouveau coronavirus, fumer exposera également les membres de votre famille au virus, ce qui n'est pas propice à la prévention du nouveau coronavirus ; il est donc recommandé d'arrêter de fumer, de porter un bon masque et de bien se protéger contre le virus afin de minimiser le risque d'infection.
En résumé, un tabagisme intensif prolongé réduit la fonction immunitaire des voies respiratoires, endommage le tissu pulmonaire et réduit la fonction pulmonaire, ce qui est non seulement préjudiciable à la prévention de la pneumonie à néocoronavirus, mais peut également affecter la régression des personnes infectées, de sorte que les non-fumeurs sont mieux à même de résister au néocoronavirus.
Merci à tous pour votre lecture !
Corrigez-moi si je me trompe ! N'hésitez pas à poser des questions et à les partager dans la section des commentaires !
Note : Le contenu de cet article est destiné à la science de la santé uniquement, et n'est pas destiné à servir de conseil ou d'opinion médicale, et n'est pas considéré comme une orientation médicale.
C'est reparti, il y a toujours des gens qui n'arrivent pas à arrêter de fumer et qui essaient de trouver une énergie positive pour les cigarettes. La mention "Fumer est mauvais pour la santé" sur le paquet de cigarettes est le résultat de nombreuses leçons sanglantes.
Les coronavirus sont comme des envahisseurs, et les fumeurs font plus de dégâts.
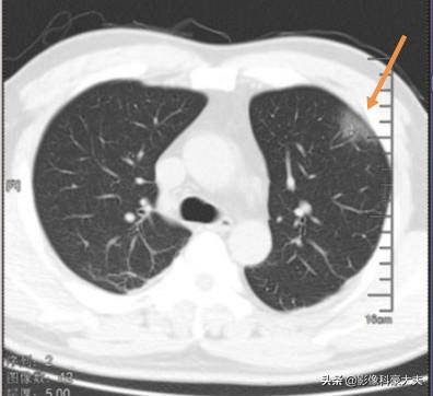
Cette fois, le nouveau coronavirus ressemble à une couronne avec de nombreuses petites protubérances à sa surface, qui peut adhérer à l'épithélium alvéolaire de type II grâce à la protéine échinocandine, pénétrer dans les cellules et les répliquer comme des voleurs qui forcent les serrures, ce qui entraîne la mort des cellules, provoquant une inflammation locale et une ombre de verre pilé sur le scanner :
Dans certains cas, l'organisme est résistant ou sensible au traitement, et les lésions peuvent être rapidement résorbées et s'améliorer, voire dans certains cas ne pas laisser de traces.
Un petit nombre de patients gravement atteints continueront à progresser, avec des lésions de plus en plus grandes et même la formation de poumons blancs. Cette maladie grave est le plus souvent observée chez les personnes âgées, en particulier celles qui souffrent d'hypertension artérielle, de diabète et de broncho-pneumopathie chronique obstructive (BPCO).
Et cet épithélium alvéolaire de type II est également sensible aux coronavirus, que l'on soit fumeur ou non.
Le tabagisme diminue l'immunité des poumons.
Les dangers du tabac sont multi-systémiques : en plus de provoquer et d'aggraver la bronchite chronique et l'emphysème, il est également lié à l'athérosclérose et à l'hypertension.
Les fumeurs ont une réserve fonctionnelle pulmonaire plus faible, une élasticité septale alvéolaire plus faible et davantage de complications.
Et cette fois-ci, le coronavirus ne fait pas de distinction entre les hommes et les femmes, les jeunes et les vieux, et ne dépend pas non plus du titre officiel, la population est universellement sensible ! Les vieux fumeurs doivent abandonner leurs illusions !
Protéger les jeunes et réduire l'armée de réserve du tabac
De nombreuses personnes sont devenues trop dépendantes pour arrêter de fumer. Au moins, ne fumez pas chez vous, ne laissez pas votre famille vous suivre dans le tabagisme passif et ne laissez pas vos enfants apprendre à fumer !
Le point d'inflexion de cette vague épidémique est sur le point d'apparaître. Nous devrions écouter l'académicien Zhong et rester à la maison quelques jours de plus, afin de ne pas laisser le travail de lutte contre l'épidémie tomber à l'eau.
Je suis le Dr Howe en imagerie. Bienvenue !
Fumer, bien sûr.
Qui est le plus susceptible d'être infecté par le virus, les fumeurs ou les non-fumeurs ?
Les nouveaux coronavirus sont de nouveaux coronavirus du genre β. La principale source d'infection observée est constituée par les patients atteints de pneumonie causée par des infections à nouveaux coronavirus. La transmission par gouttelettes respiratoires est le principal mode de transmission, mais le virus peut également être transmis par contact.
Comme il s'agit d'un virus nouvellement apparu, aucune population n'est immunisée contre lui et il est universellement sensible, ce qui signifie que toutes les personnes sont susceptibles d'être infectées.
Cependant, les personnes âgées et les patients souffrant de maladies sous-jacentes, telles que le diabète, l'hypertension, l'obésité, la stéatose hépatique, etc., ainsi que les enfants et les nourrissons, étant donné que leur immunité est plus faible que celle des personnes normales, sont sensibles aux maladies et, une fois infectés par le nouveau coronavirus, les symptômes des personnes âgées et de celles souffrant de maladies sous-jacentes sont plus graves, et les décès surviennent principalement chez ces patients.

Par conséquent, les fumeurs et les non-fumeurs sont tous deux sensibles au virus, mais si leur immunité n'est pas la même, à risque d'infection égal, le système immunitaire le plus faible est certainement moins résistant que le plus fort, et les fumeurs, en raison d'un tabagisme de longue durée, peuvent avoir une fonction pulmonaire moins bonne, et sont plus sensibles au nouveau type de pneumonie à coronavirus, et une fois qu'ils en sont atteints, l'état est relativement grave. Il faut donc en être conscient.
Précautions pour les personnes sensibles au nouveau coronavirus
Il est recommandé aux personnes âgées et à celles qui souffrent de maladies sous-jacentes de veiller à renforcer leur protection, à améliorer la capacité de l'organisme à lutter contre les maladies et à réduire le risque d'infection. Les personnes âgées qui sortent pour faire leurs courses, qui sortent dans la rue doivent porter un masque ; dans la salle d'ascenseur, elles doivent également porter un masque ; si elles appuient sur le bouton de l'ascenseur, il est préférable de porter des gants ou de prendre du papier hygiénique.
Buvez beaucoup d'eau, au moins >1500 ml d'eau par jour, soit l'équivalent de 3 bouteilles d'eau minérale, lavez-vous les mains à la maison, faites de l'exercice, aérez la pièce avec diligence, et vous pouvez la désinfecter avec de l'alcool ou un désinfectant contenant du chlore.
Il est également recommandé de manger plus de légumes, de fruits et d'aliments riches en vitamines et en protéines, comme les œufs et la viande, pour faire le plein d'énergie et améliorer l'immunité, mais attention, les œufs et la viande doivent être cuits.
En général, les fumeurs et les non-fumeurs sont sensibles au nouveau virus de la pneumonie, ceux qui ont un bon système immunitaire étant plus "résistants" que ceux qui ont un système immunitaire faible, mais une fois qu'ils sont infectés par le virus, les fumeurs peuvent présenter des symptômes plus graves que les non-fumeurs.
Merci d'avoir lu cet article, si vous êtes d'accord avec les opinions exprimées dans l'article, veuillez nous donner un "like" et suivre {Sugar Control Man} !
# Se concentrer sur les nouveaux types de pneumonie et sensibiliser l'opinion publique
Il n'existe pas de statistiques sur la prévalence des nouveaux types de pneumonie chez les fumeurs et les non-fumeurs.Toutes les personnes sont sensibles au nouveau coronavirus.Il n'y a pas de différence entre les hommes et les femmes, les jeunes et les personnes âgées, la condition physique, les comorbidités, etc. et, bien sûr, il n'y a pas de différence entre les infections dues au tabagisme et celles dues à l'absence de tabagisme.
Certains pensent que les poumons sont moins susceptibles d'être infectés parce qu'ils ont une barrière "toxique", mais cela n'est pas justifié et il n'y a pas d'études à ce sujet.

Pour fumer, il faut se servir de sa bouche, n'est-ce pas ? Et les muqueuses des lèvres sont la principale porte d'entrée du nouveau coronavirus. Les mains, qui peuvent entrer en contact avec des objets contaminés par le virus, tels que les boutons d'ascenseur, les poignées de porte, les rideaux de porte, et après avoir été contaminé par le virus, celui-ci ne meurt pas rapidement, mais peut survivre pendant 2 à 5 jours dans la plupart des cas, et la collision des mains avec les lèvres lorsque l'on fume crée le risque de contamination par le coronavirus.Transmission par contact ! Ce point de vue indique que les fumeurs sont plus susceptibles d'être exposés et infectés ! Enlevez aussi votre masque ......
Le tabagisme est associé à de nombreuses maladies, telles que les maladies cardiovasculaires, les maladies respiratoires et, bien sûr, les tumeurs, qui font plus de mal que de bien ! Les fumeurs peuvent également ressentir la gêne causée par le tabac lorsqu'ils se lèvent chaque jour et qu'ils doivent cliquer, cliquer, cliquer et cracher.

Dans le cas malheureux d'une infection par le nouveau coronavirus, il n'existe pas de médicament spécifique contre le virus et le traitement est essentiellement de soutien et symptomatique. Les poumons des fumeurs peuvent-ils résister à l'attaque du virus ? Les poumons du fumeur peuvent-ils résister à l'attaque du virus ? Le patient peut-il survivre ? Si vous arrêtez de fumer pendant quelques jours, vous aurez moins de mucosités, essayez.
Physiologiquement, les fumeurs et les non-fumeurs ont la même probabilité de contracter le virus, n'avons-nous pas tous un système immunitaire qui ne reconnaît pas le virus, mais les fumeurs ont un risque accru de transmission par contact, par gouttelettes, et ne sont pas aussi résistants à la maladie que les non-fumeurs ! C'est vrai ? Je suis @DrYoungYiLiu, merci de m'avoir lu !
Ces questions et réponses proviennent des utilisateurs du site, elles ne représentent pas la position du site, s'il y a une infraction, veuillez contacter l'administrateur pour la supprimer.