Est-il possible de laisser le support en place ?
Est-il possible de laisser le support en place ?
Le Dr Wang Jr. vous rejoint pour discuter de la possibilité de se passer d'un stent.
En général, après une coronarographie, pour les lésions présentant un degré de sténose important, par exemple supérieur à 75 %, une revascularisation est recommandée. Il s'agit de la pose d'une endoprothèse ou d'un pontage, en fonction des spécificités de la lésion.

Il existe généralement deux types de lésions pour lesquelles une endoprothèse doit être mise en place : une lésion complètement occluse ou une lésion sur le point d'être occluse. Ce type de lésion nécessite impérativement la mise en place d'une endoprothèse, faute de quoi le pronostic vital est engagé. Ce sont souvent les lésions critiques qui laissent les gens le plus perplexes.
Par exemple, la sténose est d'environ 80 %, et la plus grande partie de cette sténose est déterminée par le clinicien interventionniste, sur la base de sa propre expérience, combinée à la coronarographie avec des angiogrammes multiples. Théoriquement, il y aura une certaine erreur, en particulier pour les lésions critiques, je dis 70 %, vous dites 80 %, c'est possible. On peut aussi l'insérer ou ne pas l'insérer.
Cela peut être déroutant pour le patient, alors que faire ? Nous devons prendre en compte les manifestations cliniques du patient, et si la crise d'angine de poitrine survient toujours après un contrôle pharmacologique, nous recommandons alors la pose d'un stent. En effet, si vous ne le faites pas, vous aurez une crise d'angine de poitrine et il n'y a pas de meilleure solution. Si le contrôle pharmacologique est meilleur et qu'il n'y a pas de crise d'angine, nous pouvons alors laisser le stent en place pour le moment et continuer à prendre des médicaments à des fins d'observation.
Mais il s'agit là d'un jugement subjectif. Existe-t-il un test objectif capable de fournir une analyse qualitative ? La réponse est oui : la FFR, ou fraction de réserve de flux, est un test plus objectif. Ce test peut mesurer si le vaisseau sténosé est ischémique ou non, plutôt que de se fier à la seule expérience de l'interventionniste ; une FFR > 80 % signifie qu'il n'y a pas d'ischémie myocardique et que la pose d'un stent n'est pas nécessaire ; une FFR < 75 % signifie qu'il y a une ischémie myocardique et que la pose d'un stent est nécessaire.
La pose ou non d'un stent doit donc être combinée aux symptômes cliniques et à la coronarographie. Si l'on n'est toujours pas sûr que la lésion soit ischémique ou non, il est recommandé de procéder à un examen FFR afin d'obtenir des preuves plus objectives.
Je suis le Dr Wang ! Médecin-chef adjoint du Centre d'intervention cardiaque de l'armée. Vulgarisateur de longue date des maladies cardiovasculaires.
Merci de votre attention ! Bienvenue @DrKingSpeaksHealth !
La pose ou non d'un stent dépend des résultats de la coronarographie du patient.
Les résultats de la coronarographie sont généralement classés en quatre catégories.
1、Sténose coronarienne <50% : il n'est absolument pas nécessaire de poser des stents sur ces lésions. Les patients doivent seulement contrôler les facteurs de risque, comme les patients hypertendus pour contrôler la pression artérielle, les patients diabétiques pour contrôler la glycémie, les patients hyperlipidémiques pour contrôler les lipides sanguins, les fumeurs pour arrêter de fumer, etc.
Comme le montre la figure, la zone de marquage de la tête d'écrêtage est environ 40 % plus étroite.

2, les résultats de l'imagerie montrent que le degré de sténose de la lésion de l'artère coronaire est compris entre 50 et 70 % : dans ce cas, le stent fait partie des lésions critiques qui peuvent être posées ou non, et il doit être analysé au cas par cas. Si le patient présente des symptômes clairs d'angine de poitrine, tels que des douleurs thoraciques pendant les activités, chacune durant environ 5 minutes, qui peuvent être soulagées après le repos, et que la nitroglycérine est efficace, la pose d'un stent est également recommandée pour ces patients. Si les patients ne présentent pas de symptômes clairs d'angine de poitrine, ils peuvent être traités de manière conservatrice avec des médicaments, tels que l'aspirine orale, le métoprolol et les statines. Une approche plus fiable consiste à effectuer une autre échographie coronaire (IVUS) ou une tomographie optique intracoronaire (OCT), qui sont des examens d'imagerie intravasculaire et peuvent aider à analyser la valeur précise du degré de sténose. Si la sténose atteint 70 % à l'issue de ces deux examens, la pose d'une endoprothèse est toujours recommandée.
L'image ci-dessous est une tomographie optique (OCT) de l'artère coronaire.

3、Les résultats de l'angiographie coronaire montrent que la sténose du vaisseau sanguin est supérieure à 70 % ; dans ce cas, il est nécessaire de poser un stent. L'implantation d'une endoprothèse permet non seulement d'éliminer le risque d'infarctus du myocarde, mais aussi de soulager efficacement les symptômes de l'angine de poitrine.
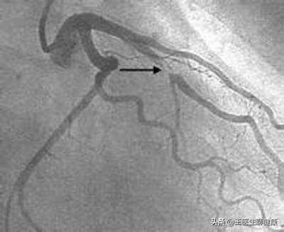
La figure ci-dessous montre une sténose coronaire de 90 % ou plus, qui doit être traitée par l'implantation d'un stent, faute de quoi un infarctus aigu du myocarde et une mort subite peuvent survenir à tout moment.

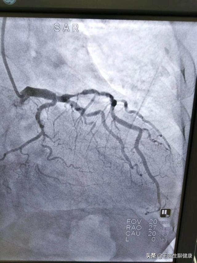
4、Les lésions multi-branches avec calcification : les résultats de la coronarographie montrent des lésions multi-branches dans les artères coronaires, y compris le tronc principal gauche + les lésions à trois branches, qui peuvent être traitées par la pose d'un stent, mais il faut implanter de nombreux stents, et les lésions calcifiées sont plus difficiles à opérer, avec une longue durée d'opération et une grande quantité de rayons. Les patients peuvent également envisager un pontage chirurgical, mais la récupération est lente et le traitement long. En fonction des circonstances, le médecin proposera un plan idéal.
La figure ci-dessous montre une lésion multi-branches du tronc principal gauche.

En conclusion, la nécessité de poser une endoprothèse doit être analysée au cas par cas et ne peut être généralisée. En fonction de l'état du patient, le médecin vous proposera un plan de traitement approprié basé sur les résultats de l'imagerie et des examens pertinents. Vous devez faire confiance à votre médecin, car ce n'est que lorsque le médecin et le patient travailleront en bonne intelligence qu'il sera plus facile de vaincre la maladie. J'espère que ma réponse vous sera utile, merci !
Il n'appartient à aucun d'entre nous de donner un avis sur la pose ou non d'un stent, car nous ne connaissons pas votre état de santé !
Il n'existe pas de plan de traitement unique, et même deux personnes souffrant de la même maladie peuvent prendre deux directions différentes en raison de leurs antécédents médicaux, de leur âge, de leurs symptômes, etc. La pose d'une endoprothèse est en soi une mesure de sauvetage et, dans le cas d'une crise cardiaque aiguë, il s'agit du premier soin le plus efficace au monde - le plus tôt étant le mieux.

Les médecins veulent faire des bénéfices avant d'autoriser la pose d'un stent ?
Je suis peut-être mesquin, mais c'est ce que je ressens.
Les stents ont sauvé d'innombrables vies depuis leur naissance, même aux États-Unis, où l'on compte plus d'un million de cas d'implantation de stents par an, sachant que la population des États-Unis n'est que de 300 millions d'habitants, alors que le nombre de personnes implantées avec des stents dans notre pays est encore plus faible (1,4 milliard d'habitants, et seulement 400 à 700 000 cas par an environ).
1, les patients souffrant d'une crise cardiaque aiguë et dont les vaisseaux coronaires sont complètement obstrués doivent subir une opération de pose de stent le plus rapidement possible, faute de quoi leur vie sera à tout moment en danger.
2, pour certains patients souffrant d'angine qui ne peut être soulagée par des médicaments, en raison de la gravité des symptômes et de l'impact sur la vie quotidienne, la pose d'un stent est nécessaire pour rétablir la circulation sanguine.
3. Les patients présentant une sténose coronaire excessive (>80%), une ischémie myocardique sévère et des symptômes importants doivent également être pris en considération pour la pose d'un stent, en raison du risque plus élevé d'événements indésirables associés à une maladie plus sévère.

Que se passe-t-il si une endoprothèse devrait être posée, mais ne l'est pas ?
Les médecins ne peuvent que donner des conseils, la décision reste entre les mains du patient, et si le patient fait toujours ce qu'il veut et est déterminé à ne pas subir la pose d'un stent, le médecin ne peut pas l'y contraindre.
Je ne suis pas alarmiste, bien que la maladie coronarienne soit une maladie chronique, ses conséquences ne sont pas plus légères que n'importe quelle autre maladie, au contraire, la maladie coronarienne est en tête de la liste des personnes qui meurent chaque année à cause de la maladie.
Si le patient est décidé à ne pas poser de stent, il est possible qu'à un moment donné dans l'avenir, il ressente soudainement des douleurs thoraciques, puis glisse lentement sur le sol, les mains sur la poitrine, se sentant progressivement essoufflé et les yeux de plus en plus lourds. Si quelqu'un autour de lui découvre qu'il est envoyé à l'hôpital pour un traitement d'urgence, il est encore possible qu'il survive, ou alors ses yeux seront fermés à jamais.
Le stenting a ses inconvénients et ses avantages, et bien que tous les patients n'en aient pas besoin, si le médecin traitant a déjà recommandé le stenting, il faut bien évaluer son propre état, et si les indications de la chirurgie sont réunies, il faut opérer le plus vite possible, sinon la vie est en jeu ; au contraire, si les indications de la chirurgie ne sont pas réunies, le stenting aveugle n'est pas nécessaire, et il faut alors changer de médecin traitant et reformuler le plan de traitement. C'est le moment de changer de médecin et de reformuler le plan de traitement.
(Je suis Luo Min, médecin-chef dans un hôpital de niveau 3A, un "vieux" médecin avec plus de 30 ans d'expérience clinique, mes efforts ne visent qu'à récolter les bénéfices de votre approbation, si ma réponse peut vous aider, j'espère que vous l'aimerez, que vous y prêterez attention, et si vous avez des questions, vous pouvez commenter ou m'écrire en privé, je ferai de mon mieux pour vous aider).
Il existe un groupe de patients qui ne peuvent pas être stentés ou contournés, ou dont les souhaits sont qu'ils ne veulent pas être mis en place.
Le traitement des maladies coronariennes étant multiforme, la première étape devrait être l'intervention sur le mode de vie et la seconde, l'utilisation de médicaments ;Troisièmement, si nous ne sommes pas en mesure de poser une endoprothèse et d'effectuer un pontage, nous pouvons essayer la contrepulsion extracorporelle, qui est une méthode de traitement écologique.
La contrepulsion extracorporelle est un traitement écologique, sûr et non invasif qui améliore notre hémodynamique, favorise la circulation collatérale, protège nos vaisseaux sanguins et notre endothélium et optimise l'environnement lié à notre force physique. En pratique clinique, un nombre considérable de patients souffrant d'angine de poitrine réfractaire ont bénéficié d'une thérapie par contre-pulsion extracorporelle et d'une thérapie globale basée sur la contre-pulsion extracorporelle, et l'angine de poitrine des patients a été mieux maîtrisée.
Je suis patients dystonie, j'ai installé un stimulateur cardiaque cérébral, en plus de début 2010, je aussi en raison de la fracture de la côte cassé six, après l'opération est toujours mal placé, au début de Juillet 2017 et en raison de la maladie cardiaque installé deux stents, je dois maintenant manger tous les jours pour installer le stent nécessaire pour manger le médicament, ces médicaments sont payés rôle, je ne peux vraiment pas supporter, ce sentiment vraiment d'autres personnes ne peuvent pas comprendre, petit docteur Wang vous dites que j'ai ce que. Que puis-je faire d'autre ? Est-ce que je peux ne pas me faire poser le stent en premier lieu, et est-ce que je peux le contrôler avec des médicaments ?
Ces questions et réponses proviennent des utilisateurs du site, elles ne représentent pas la position du site, s'il y a une infraction, veuillez contacter l'administrateur pour la supprimer.