Quelle est la différence entre un infarctus cérébral et un infarctus caverneux ?
Quelle est la différence entre un infarctus cérébral et un infarctus caverneux ?
Il y a deux jours, mon frère m'a appelé de ma ville natale et m'a dit avec anxiété au bout du fil : "J'ai un infarctus cérébral, vais-je être paralysé ou incapable de parler ? Je lui ai demandé de m'envoyer les résultats de son scanner crânien qui, comme prévu, a révélé un "infarctus cérébral lacunaire". Je l'ai donc rappelé et lui ai dit : "Il n'y aura pas de conséquences graves telles qu'une hémiplégie, mais vous devez y prêter une attention particulière". Alors, qu'est-ce qu'un infarctus lacunaire ?
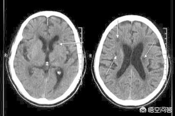
L'infarctus cérébral caverneux désigne de petits foyers mous de tissu cérébral profond causés par l'occlusion d'artères pénétrantes ramifiées et profondes dans le tissu cérébral humain, dont le diamètre est généralement compris entre 0,2 et 15 mm. Les sites les plus courants se trouvent à la base du cerveau pontin, dans la capsule interne et dans les ganglions de la base.
D'une manière générale, l'infarctus cérébral auquel nous faisons souvent référence est le type de situation dans laquelle le corps humain souffre de troubles du mouvement, de troubles de la parole et d'autres lésions en même temps après l'obstruction des artères cérébrales de grande et moyenne taille. Ce type d'infarctus cérébral peut entraîner la mort ou un handicap, ce qui est très dangereux. Le type d'infarctus cérébral dont nous parlons aujourd'hui est un très petit infarctus sans aucun symptôme. Ce type d'infarctus cérébral est aussi petit qu'un grain de sésame et le patient peut ne pas le sentir après sa survenue. De nombreuses personnes ne découvrent l'existence d'un infarctus cérébral lacunaire qu'à l'occasion d'un examen physique et d'un scanner de la tête. En fait, même si un infarctus cérébral lacunaire est détecté, il n'y a pas lieu de s'inquiéter outre mesure, car il est différent de l'infarctus cérébral habituel et n'aura pas un pouvoir destructeur aussi important.
Toutefois, il convient également de noter qu'une fois l'infarctus cérébral détecté, il faut encore prêter une attention particulière à certaines choses. En effet, la survenue d'un infarctus cérébral lacunaire n'est pas dangereuse, mais c'est comme une sirène qui vous alerte sur le fait que votre mode de vie n'est peut-être pas sain, que votre tension artérielle et votre glycémie ne sont peut-être pas bien contrôlées et que vous êtes confronté à toute une série d'autres problèmes.

Il est vrai que de nombreuses personnes ne peuvent pas faire la différence entre l'infarctus caverneux et l'infarctus cérébral, en fait, l'infarctus caverneux est un type d'infarctus cérébral, et son incidence peut représenter 20 à 30 % de tous les cas d'infarctus cérébral, ce qui est considéré comme assez fréquent, cependant, en général, les foyers d'infarctus caverneux sont très petits, et les zones de son développement sont principalement les ganglions de la base, la capsule interne, etc. de sorte qu'il est rare d'avoir des symptômes en termes de troubles moteurs, sensoriels ou d'élocution, et même un infarctus caverneux. Une partie des patients ne ressentent aucune gêne ;
Même si l'infarctus caverneux provoque des symptômes, ceux-ci sont généralement légers, tels que des vertiges et des maux de tête, des pertes de mémoire, un engourdissement des membres, une lenteur de réaction, etc. Parfois, l'élocution peut être défavorable ; bien entendu, même si l'infarctus caverneux est de très petite taille, il est toujours possible qu'il touche des voies nerveuses ou des structures nerveuses importantes, et lorsqu'il se produit, il se manifeste souvent par une déficience sensorielle hémiplégique ou une légère paralysie faciale centrale.
Plus précisément, une pression artérielle élevée prolongée entraîne la dégénérescence de la paroi des branches terminales des artères cérébrales, ce qui conduit à un rétrécissement de la lumière des artères et, en cas d'anomalie de la composition du sang ou de l'hémodynamique, à une obstruction des petites artères, ce qui peut conduire à un infarctus lacunaire ; les branches terminales de ces artères cérébrales étant de très petits vaisseaux sanguins, la zone d'approvisionnement en sang est très restreinte. Les branches terminales de ces artères cérébrales étant de très petits vaisseaux, leur zone d'apport sanguin est très limitée. La plupart des foyers d'infarctus sont à peine plus grands que le diamètre du vaisseau obstrué, de sorte que même s'ils sont obstrués, il est difficile d'affecter certaines zones fonctionnelles du cerveau, de sorte que les symptômes de l'infarctus caverneux sont relativement bénins.
Il convient de mentionner que même si l'infarctus cérébral caverneux ne provoque pas de symptômes trop graves, nous devons comprendre que si les facteurs à l'origine de l'infarctus caverneux ne peuvent pas être éliminés, il est possible que des maladies infarciques plus graves soient induites à l'étape suivante, donc une fois que l'infarctus caverneux est présent, nous devons le prévenir et le traiter en fonction du niveau de gravité, et l'application de médicaments et d'interventions vitales est essentielle. À la une - Dr Zhang, Département de médecine intégrative
Suggestions : En l'absence de contre-indications, vous pouvez insister sur la prise d'aspirine et de statines ; les patients souffrant d'hypertension ou de diabète doivent également contrôler activement leur tension artérielle, leur glycémie et leurs taux de lipides sanguins ; en outre, il convient d'adapter le mode de vie, notamment en travaillant et en se reposant régulièrement, en arrêtant de fumer et de boire, en adoptant un régime pauvre en sel et en graisses, en faisant de l'exercice de manière appropriée, en gardant une certaine stabilité émotionnelle, etc.
Je pense que beaucoup de gens, lors de l'examen physique, font un scanner crânien lorsqu'ils voient le rapport écrit sur l'infarctus cérébral caverneux, mais ne savent pas s'il s'agit d'un infarctus cérébral, ce n'est pas très grave, il faut prêter attention à ce qui se passe. Que sont l'infarctus cérébral et l'infarctus caverneux ? Quelle est la relation entre ces deux types d'infarctus ? Ensuite, nous parlerons des séquelles de l'infarctus cérébral et de l'infarctus caverneux.
Quelles sont les causes des infarctus cérébraux et caverneux ?
1, l'infarctus cérébral est notre nom verbal habituel, c'est le nom médical professionnel de l'infarctus du myocarde.infarctus cérébralL'accident vasculaire cérébral (AVC), également appelé attaque cérébrale, est un type de maladie cérébrovasculaire.Le terme médical complet pour infarctus caverneux est infarctus cérébral caverneux.C'est un infarctus cérébral.le plus légerUn type de la maladie. Les deux maladies surviennent chez les personnes âgées de plus de 50 ans et sont légèrement plus fréquentes chez les hommes que chez les femmes.
2) Il existe de nombreux types d'infarctus cérébraux, dont l'infarctus caverneux et l'infarctus du myocarde.Il existe également différentes causes d'infarctus cérébral. Pourquoi les infarctus cérébraux se produisent-ils ? C'est une question qui préoccupe de nombreuses personnes. L'infarctus cérébral n'est pas causé par un seul facteur, et sa cause la plus importante est laplaque d'athéromeElle est causée par le rétrécissement des vaisseaux sanguins. Les plaques d'athérome continuent de se former, de sorte que les lipides continuent de s'accumuler sous l'endothélium, ce qui entraîne un rétrécissement continu de la lumière des vaisseaux sanguins et, avec le temps, les vaisseaux sanguins sont presque complètement occlus. Lorsque les vaisseaux sanguins sont rétrécis, l'apport de sang au tissu cérébral est réduit, et lorsque le tissu cérébral ne peut pas tolérer l'ischémie et l'hypoxie, une nécrose des cellules cérébrales se produit, ce qui est également connu sous le nom d'infarctus cérébral.

3, le processus de formation de la sténose vasculaire cérébrale est un processus chronique, la sténose vasculaire cérébrale est un processus chronique, la sténose vasculaire cérébrale est un processus chronique.Stades précoces de sténose (sténose légère)Il n'y a pas d'effet notable sur le flux sanguin lorsque le vaisseau atteint la région de larétrécissement modéréL'apport sanguin aux tissus situés plus loin de la sténose est partiellement réduit, mais l'organisme peut encore le tolérer. Lorsque le tissu cérébral se trouve dans la phase de compensation d'une ischémie légère, le risque d'infarctus cérébral est plusieurs fois plus élevé que chez les personnes normales. Au cours de cette période, l'infarctus cérébral peut survenir dans diverses conditions susceptibles d'entraîner une hypoperfusion du flux sanguin cérébral, telles queHypotension, perte de sang et anémieetc. En cas de rétrécissement important des vaisseaux sanguins cérébraux, comme indiqué précédemment, un infarctus cérébral peut survenir à tout moment. S'il s'agit d'un problème d'occlusion de gros vaisseaux sanguins, le problème est grave et peut faire l'objet d'un traitement chirurgical ; s'il s'agit d'un problème de petits vaisseaux sanguins à l'extrémité distale des vaisseaux sanguins, le problème est grave.Il s'agit d'un infarctus cérébral lacunaire, appelé infarctus lacunaire.La répartition des vaisseaux sanguins dans le crâne ressemble à celle d'un grand arbre. Le tronc principal de l'arbre est constitué par les gros vaisseaux sanguins, qui se ramifient continuellement vers l'extrémité distale. Il en va de même pour le tissu cérébral : plus les vaisseaux sanguins sont distaux, plus ils sont petits et plus la zone de tissu cérébral qu'ils alimentent est petite. Ainsi, lorsque ces petits vaisseaux sanguins se dérèglent, ils provoquent un infarctus cérébral lacunaire.

4) Les infarctus cérébraux et caverneux se chevauchent partiellement en termes d'étiologie, par exempleDiabète, hypertension et artérioscléroseetc. Sous l'influence de ces facteurs, la qualité des vaisseaux sanguins diminue. Dans le cas des infarctus caverneux, ces facteurs entraînent une dégénérescence et une sténose du vitré ; dans le cas des infarctus cérébraux, c'est le rétrécissement du diamètre des vaisseaux qui en est la cause principale.
Quelle est donc la différence entre un infarctus caverneux et un infarctus cérébral ?
- Les manifestations cliniques de ces deux affections ne sont pas identiques.L'infarctus cérébral peut se manifester par des troubles des mouvements des membres, des troubles sensoriels, des troubles de la parole, des modifications de la vision et du champ visuel et des troubles de la conscience... Les symptômes de l'infarctus cérébral sont soit légers, soit graves, mais les symptômes de l'infarctus cérébral sont relativement plus graves que ceux de l'infarctus caverneux. L'infarctus caverneux étant lui-même plus petit, les symptômes causés par l'infarctus ont tendance à être plus légers, et parfois seuls des troubles moteurs ou sensoriels mineurs peuvent survenir. L'infarctus caverneux est un infarctus plus petit.Les symptômes les plus courants sont les maux de tête et les étourdissements, les vertiges, les pertes de mémoire et la démence ; les troubles de la conscience sont rares.Cependant, si l'infarctus caverneux est présent à l'endroit où passent les fibres nerveuses, comme les ganglions de la base ou le tronc cérébral, il existe un risque élevé de déficits neurologiques plus prononcés, qu'il convient de bien différencier d'un infarctus cérébral.

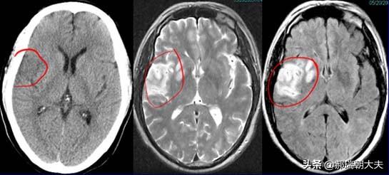
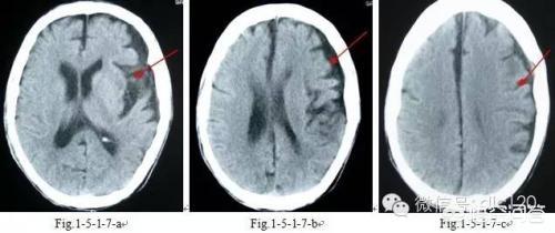
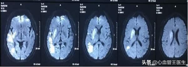
- Toutefois, outre les différences de présentation clinique, il arrive parfois que l'on ne soit pas en mesure d'évaluer l'efficacité du traitement.Le diagnostic ne peut pas être établi uniquement sur la base des symptômes cliniques.Les résultats doivent également être obtenus à l'aide de tests d'imagerie, tels queCT crânien et IRM crânienne. Qu'il s'agisse d'un infarctus lacunaire ou d'un infarctus cérébral, il n'y a pas de changement significatif au scanner crânien dans les 24 heures car le tissu cérébral est seulement ischémique et hypoxique, et il n'y a pas de nécrose liquéfiée du tissu cérébral infarci. Il est possible de l'identifier dans une certaine mesure lorsqu'il date de moins de 24 heures. Dans la phase aiguë des symptômes, l'IRM crânienne est le premier choix d'examen en clinique. Il existe différentes séquences d'IRM, et différentes séquences d'IRM peuvent être utilisées pour réaliser des examens pertinents pour différents cas.Pour le diagnostic de l'infarctus cérébral, les séquences DWI peuvent être très intuitives pour clarifier la situation.。
- Il s'agit dans les deux cas d'un infarctus cérébral, y a-t-il donc une différence de traitement entre les deux ? Pour le traitement de l'infarctus cérébral, en fonction de l'évolution de l'état du patient, sonLe traitement n'est pas le même.Les symptômes cliniques des patients sont souvent plus graves. En cas d'accident vasculaire cérébral aigu, la circulation sanguine est interrompue instantanément, sans que la néovascularisation puisse compenser, et le tissu cérébral peut difficilement tolérer la situation ischémique et hypoxique aiguë, lorsque les patients ont tendance à présenter des symptômes cliniques plus graves. Cette situation nécessiteThrombolyse d'urgence ou thrombolyse interventionnelleDans ce cas, le patient peut avoir un pronostic clinique relativement bon si le vaisseau occlus est ouvert à temps et que le flux sanguin distal est rétabli. Pour l'infarctus cérébral en généralNe répond pas aux indications de la thrombolyse et de la thrombose et ne peut être traitée que par des médicaments.. On utilise des médicaments typiques tels que les antiplaquettaires, la modulation des lipides pour stabiliser la plaque et les nutriments neurologiques pour améliorer le métabolisme cérébral. Pour les infarctus caverneux, qui sont également des infarctus cérébraux, la plupart des options thérapeutiques sont similaires et la posologie des médicaments est plus faible que pour les autres types d'infarctus cérébraux.

- L'infarctus cérébral et l'infarctus caverneux appartiennent tous deux à la catégorie des infarctus cérébraux, et la principale différence réside dans l'étendue de l'infarctus et la gravité des symptômes cliniques. Dans le cas de l'infarctus cérébral, l'objectif ultime n'est pas la guérison mais la prévention de la maladie.
Pour la prévention de l'infarctus cérébral, le Dr Choi donne les conseils suivants :
1. attention et traitement des maladies sous-jacentes, des facteurs de risque d'infarctus cérébral, tels queHypertension, diabète et hyperlipidémieetc. doivent être bien contrôlés. Tous les facteurs de risque susmentionnés multiplient l'incidence de l'infarctus cérébral ; il est important de maintenir la maladie sous-jacente à un niveau sain et de prendre des médicaments aussi durables que possible, ce qui réduit les fluctuations des indicateurs de surveillance de la maladie.

2. régime alimentaire, àRégime pauvre en sel et en graisses, avec de la viande et des légumes,L'alimentation doit être saine et équilibrée. Il peut être utile de manger des légumes verts et de veiller à ce que suffisamment de produits de bonne qualité soient consommés.Protéines, vitamines, fibres et oligo-éléments.. Essayez d'éviter les aliments fumés et rôtis au feu, qui sont malsains et dangereux. Ne mangez pas trop et irrégulièrement ;
3,Développer un bon mode de vieUn bon mode de vie est la garantie d'une bonne santé.Se coucher tôt, se lever tôt et ne pas se coucher tardPratiquer un exercice physique approprié afin d'accélérer le métabolisme et d'augmenter la fonction cardiorespiratoire. Renoncer à de mauvaises habitudes, éviter le tabagisme et l'alcoolisme, et éviter le surmenage ;
4. cultiver unUn état d'esprit positif et optimisteL'état d'esprit est crucial, et il a été cliniquement constaté que les patients ayant un bon état d'esprit se rétablissent mieux que ceux ayant un mauvais état d'esprit pour une même gravité de maladie.

En fin de compte, rien n'est trop petit, l'attention est trop grande, et la santé est la plus importante pour une bonne vie.
Merci ! L'infarctus cérébral, dont le nom complet est infarctus cérébral, infarctus cérébral, etc., peut être décrit comme un terme général. L'infarctus cavitaire, dont le nom complet est infarctus cérébral cavitaire, infarctus cérébral de la cavité, etc., peut être considéré comme une branche.
Leur différence essentielle est similaire à l'ensemble des points du problème : l'infarctus cérébral est un concept très large, tant que la nature ischémique intracrânienne de certains changements, quelle que soit la taille de l'infarctus, peut être appelé infarctus cérébral. Quant à l'infarctus de la cavité, il s'agit d'une branche, d'un concept très étroit, seuls les infarctus très petits, similaires à la taille du chas d'une aiguille, sont appelés infarctus de la cavité.
Dans la pratique clinique, la plupart des cas d'infarctus cérébral présentent des symptômes cliniques, tels que des vertiges, des maux de tête, des nausées et des vomissements, un engourdissement et une faiblesse des membres, des troubles de l'élocution, des crises d'épilepsie, des troubles de la conscience et un déclin cognitif. L'infarctus cavitaire, quant à lui, ne présente aucun symptôme clinique ou des symptômes très légers, tels que des vertiges occasionnels, un engourdissement et une faiblesse des membres, etc.
En termes de pathogénie, l'infarctus cérébral est dans la plupart des cas causé par des problèmes au niveau des gros vaisseaux sanguins, tels qu'une sténose ou un infarctus grave, une occlusion, etc., entraînant un grand nombre d'ischémies et de nécroses du tissu cérébral. La grande majorité des cas d'infarctus caverneux sont causés par des problèmes dans les petites branches de l'artère cérébrale moyenne, l'artère haricot, qui est la branche de la branche, en termes généraux, la branche la plus minuscule du problème. Par conséquent, la plupart des cas d'infarctus cérébral sont symptomatiques, alors que de nombreux cas d'infarctus caverneux ne présentent aucun symptôme clinique.
En termes de traitement, l'infarctus cérébral doit, dans la grande majorité des cas, faire l'objet d'un traitement médicamenteux, voire d'un traitement chirurgical, afin de protéger le patient contre une récidive à un stade avancé. L'infarctus cérébral plus grave affecte la vie, et l'infarctus de la cavité est davantage un rappel du rôle des vaisseaux sanguins qui présentent un certain degré de pathologie, la nécessité de modifier le mode de vie en temps opportun, et de contrôler activement la stabilité de la pression artérielle, la glycémie pour réduire les lipides sanguins, et si le stade ultérieur est atteint, il est très probable que l'infarctus cérébral évolue vers un infarctus du myocarde. Si l'on n'y prête pas attention, il est très probable que la maladie évolue vers un infarctus cérébral.
Il convient donc de distinguer ces deux concepts dans la clinique, afin de mieux clarifier les conditions spécifiques, et d'assurer un traitement opportun et pertinent.
Il existe une différence d'un mot entre l'infarctus cérébral et l'infarctus caverneux, tous deux décrivant des foyers d'infarctus dans le tissu cérébral, existe-t-il des différences substantielles entre les deux ?
L'infarctus cérébral, également connu sous le nom d'accident vasculaire cérébral ischémique, est une lésion irréversible des tissus cérébraux locaux avec nécrose ischémique et hypoxique résultant de diverses causes d'altération de l'apport sanguin au cerveau.

La définition de l'infarctus cérébral est très large.Selon la classification clinique classique (TOAST), elles peuvent être divisées en 5 catégories :
1. l'athérosclérose de l'aorte
2. infarctus cérébral cardiogénique
3. occlusion des petits vaisseaux
4. infarctus cérébral déterminé par d'autres causes
5. infarctus cérébral certain d'étiologie inconnue
L'infarctus cérébral caverneux est inclus dans la catégorie 3.Les infarctus cérébraux causés par l'occlusion de petits vaisseaux vont des petits infarctus, dont le diamètre est généralement inférieur à 15-20 mm.
Pourquoi faut-il prendre l'infarctus cérébral au sérieux ?
Nous avons l'impression que le cancer, dont le taux de guérison est très faible, est la maladie la plus redoutable, mais il y a peu, le Lancet, une revue internationale qui fait autorité, a publié un article analysant les causes de décès dans 34 provinces chinoises entre 1990 et 2017, et a constaté que la principale cause de décès en Chine était en fait l'accident vasculaire cérébral (AVC).
Les accidents vasculaires cérébraux sont classés comme hémorragiques ou ischémiques et l'infarctus cérébral est un accident vasculaire cérébral ischémique.

Quels sont les premiers signes d'un infarctus cérébral ?
1. vertiges et maux de tête.
2. le black-out transitoire : cela signifie que soudainement, pendant quelques secondes, il y a du noir devant vos yeux et vous ne pouvez rien voir, mais vous vous rétablirez après un certain temps.
3. des troubles visuels transitoires, tels qu'une vision floue et des défauts du champ visuel, mais qui se rétablissent d'eux-mêmes dans un court laps de temps.
4. une mauvaise élocution et des troubles de l'élocution.
5. paralysie faciale, bouche de travers.
6. faiblesse des membres.
Que dois-je faire si je constate des symptômes de suspicion d'infarctus cérébral ?
Plus l'infarctus cérébral est traité tôt, mieux c'est, pour sauver la zone ischémique semi-obscure autour du foyer de l'infarctus ; pour les patients avec suspicion d'infarctus cérébral, temps = cellules cérébrales, pour appeler le 120 à la première heure et se rendre dans les hôpitaux locaux qualifiés en matière de thrombolyse. Ne jamais avoir l'idée d'attendre et d'observer, sinon on dépasse la fenêtre temporelle de la thrombolyse (généralement dans les 6 heures, le temps varie dans les différentes parties du corps), ce qui laissera des séquelles graves.

Dr Duan Q&A Online 🔑 Différence entre l'infarctus cérébral et l'infarctus de la cavité 🔑
Les personnes qui n'ont jamais eu d'infarctus cérébral commencent à s'inquiéter lorsqu'elles passent un scanner ou une IRM crânienne et que le résultat décrit : un infarctus cérébral caverneux (infarctus caverneux). Alors, un infarctus caverneux est-il ou non un infarctus cérébral ? Quelle est la relation entre les deux ?
Annonçons d'abord la réponse : les infarctus de la cavité sont un type d'infarctus cérébral.

Comprendre la relation entre infarctus cérébral et infarctus cérébral en fonction de leurs définitions:
L'infarctus cérébral, c'est-à-dire l'infarctus cérébral, l'infarctus cérébral, l'accident vasculaire cérébral ischémique, désigne la nécrose ischémique ou le ramollissement des tissus cérébraux confinés en raison d'une altération de la circulation sanguine dans le cerveau, de l'ischémie et de l'hypoxie. Il se divise en infarctus cérébral thrombotique athéroscléreux (thrombose cérébrale), embolie cérébrale, infarctus cérébral caverneux (infarctus caverneux), infarctus cérébral hémorragique et infarctus cérébral asymptomatique.
L'infarctus caverneux, ou infarctus cérébral caverneux, désigne les petites cavités kystiques qui subsistent dans les hémisphères cérébraux ou les parties plus profondes du tronc cérébral après que le tissu nécrotique a été absorbé par une lésion de la paroi du vaisseau, ce qui entraîne une occlusion de la lumière et un infarctus ischémique, sur la base d'une hypertension artérielle prolongée.
Ainsi, les infarctus cérébraux constituent un large spectre qui inclut tous les infarctus, et les infarctus caverneux ne sont qu'une petite branche des infarctus cérébraux.
Concentrez-vous sur ce que vous devez savoir, les infarctus de la cavité.
(1) Étiologie : dégénérescence vitreuse des petites artères du cerveau, athérosclérose, nécrose fibrinoïde, etc., causée par une hypertension de longue durée.
(2) Symptômes : le plus souvent chez les personnes d'âge moyen et les personnes âgées ayant une longue histoire d'hypertension, apparition aiguë ou progressive des symptômes, généralement pas de symptômes ou des symptômes légers, tels qu'une hémiparésie légère, une dysarthrie, une dysphagie, etc.
(3) Examen : tomodensitométrie ou examen magnétique nucléaire de la tête, le meilleur étant l'examen magnétique nucléaire, qui permet de trouver des foyers caverneux dans les parties correspondantes du cerveau.
(4) Traitement : similaire à l'infarctus cérébral thrombotique athéroscléreux, comprenant des mesures visant à améliorer la circulation cérébrale et la protection cérébrale, sans déshydratation pour abaisser la pression crânienne.
(5) Pronostic : l'infarctus cavitaire est de bon pronostic, avec un faible taux de mortalité et d'invalidité, mais il est susceptible de récidiver. Il est donc particulièrement important de prévenir les récidives et de les traiter en fonction des différents facteurs de risque, tels que le contrôle de la tension artérielle, de la glycémie et des lipides sanguins, la réduction du poids, l'arrêt du tabac et de l'alcool, un régime alimentaire raisonnable, l'augmentation de l'activité physique, la prise de médicaments antiagrégants plaquettaires à long terme tels que l'aspirine, et des examens médicaux réguliers.
Le Dr Duan a lancé une mise en garde spécifique :
(1) Qu'il s'agisse d'un infarctus cérébral ou d'un infarctus lacunaire, le plus important est de prendre des mesures préventives.
(2) Les infarctus de la cavité ne doivent pas être négligés simplement parce qu'ils ont un bon pronostic, et ce n'est qu'un rappel de la nécessité d'une intervention.
(3) Nous devrions améliorer la compréhension de l'infarctus cérébral, aider les gens à prendre conscience du danger que représente l'AVC pour les individus et les familles, et les sensibiliser davantage à l'autosanté.
(4) Il convient d'aider chacun, en particulier les personnes âgées, à reconnaître correctement les accidents vasculaires cérébraux afin de pouvoir apporter une aide en temps utile après un accident.
👇 Suivez Dr Duan pour la santé et le bien-être ! 👇
L'infarctus lacunaire est un type d'infarctus cérébral, ou infarctus cérébral, relativement peu symptomatique et de bon pronostic.
Infarctus caverneux : se produit le plus souvent dans la région des ganglions de la base. L'occlusion de minuscules artères dans la partie profonde du cerveau se produit, provoquant des lésions ischémiques dans le tissu cérébral. En raison de la petite taille de la lésion, qui se situe généralement entre 2 et 20 mm, 2 à 4 mm étant la lésion la plus fréquente. Après l'infarctus, le tissu cérébral se liquéfie et se résorbe, puis de très petits foyers d'infarctus subsistent, c'est ce qu'on appelle l'infarctus lacunaire. Les symptômes de ces patients sont relativement légers, certains d'entre eux n'ont aucun symptôme et ne savent qu'ils ont subi un infarctus caverneux qu'à l'occasion d'un examen physique. Dans certains cas, les symptômes sont légers et les lésions neurologiques sont rares, mais les symptômes tels que le manque de concentration, la perte de mémoire, les vertiges et les étourdissements sont fréquents, et comme les personnes âgées sont souvent sujettes à cette maladie, l'hypertension et l'insuffisance vasculaire cérébrale peuvent également provoquer les symptômes susmentionnés, auxquels il n'est pas facile de prêter attention. Certains symptômes sont relativement graves, avec des symptômes de lésions nerveuses, tels que l'engourdissement d'un côté du visage et des membres supérieurs et inférieurs, la faiblesse, les troubles de l'élocution, la maladresse dans les mouvements, l'étouffement en buvant de l'eau, etc. Les infarctus répétés de la cavité affectent les fonctions cérébrales, entraînant un déclin intellectuel progressif et, finalement, une démence vasculaire.
Il est recommandé de traiter activement l'infarctus de la cavité, en prenant généralement des médicaments antiagrégants plaquettaires, tels que l'aspirine et les comprimés de bisulfate de clopidogrel, qui peuvent empêcher la formation de thrombus ; de réguler les lipides sanguins, de stabiliser les plaques, tels que le Lipitor (cher) ; d'activer la circulation sanguine et d'éliminer la stase sanguine, de nourrir les nerfs ; de traiter activement l'hypertension, le diabète et les maladies cardiaques ; et d'effectuer activement un entraînement à la rééducation des membres.
Un infarctus lacunaire est un infarctus cérébral, et si vous découvrez un infarctus lacunaire, vous devriez être reconnaissant que Dieu vous ait donné un bon avertissement!
Pourquoi dirais-je cela ?
L'infarctus cérébral, que nous appelons généralement infarctus cérébral et infarctus cérébral, est causé par l'obstruction d'un certain vaisseau sanguin dans le cerveau et la nécrose du cerveau dans la zone alimentée par ce vaisseau sanguin, avec la perte de fonction correspondante. En raison des différences de taille des vaisseaux sanguins et des différentes zones d'approvisionnement, les symptômes causés par l'infarctus des différents vaisseaux sanguins sont différents. Dans certains cas, seul un très petit vaisseau sanguin est bloqué et le patient ne présente aucun symptôme, seulement des maux de tête et des vertiges, alors que dans d'autres cas, un gros vaisseau sanguin est bloqué et le patient présente des symptômes très graves, tels qu'une hémiplégie, une altération des mouvements des bras et des jambes, etc.
L'infarctus cavitaire, abréviation d'infarctus cérébral lacunaire, désigne l'obstruction de très petits vaisseaux sanguins. Comme ces petits vaisseaux sanguins alimentent une très petite zone du cerveau, ils ne provoquent un infarctus que dans une très petite partie du tissu cérébral, et le patient est souvent asymptomatique sur le plan clinique.
Bien qu'il n'y ait pas de symptômes d'un infarctus de la cavité, cela ne signifie pas que le patient peut le prendre à la légère. Si une personne souffre d'un infarctus caverneux, cela signifie que ses vaisseaux sanguins cérébraux ont déjà certains problèmes et qu'ils sont déjà à l'origine d'un infarctus cérébral plus grave, sauf que cette fois, heureusement, l'obstruction est un petit vaisseau sanguin. De plus, cliniquement, la probabilité que les patients souffrant d'infarctus caverneux aient un autre infarctus cérébral grave à l'avenir est deux à trois fois plus élevée que chez les personnes normales. Cet infarctus est donc un aimable rappel du ciel : il est temps de prendre soin de ses vaisseaux sanguins.
Comment l'entretenir ?
1. il est temps pour les fumeurs et les buveurs d'arrêter de fumer et de boire
2) Les personnes qui se couchent souvent tard devraient se reposer régulièrement.
3. les patients souffrant d'hypertension, d'hyperlipidémie et d'hyperglycémie devront contrôler correctement leurs maladies sous-jacentes
4. les personnes qui mangent beaucoup de poisson et de viande doivent manger moins
5. les personnes qui n'aiment pas manger des légumes et des fruits frais doivent en consommer davantage
6. les personnes qui n'aiment pas faire de l'exercice doivent commencer à en faire
C'est simple, l'infarctus cérébral est plus lourd que l'infarctus de la cavité, j'ai un infarctus de la cavité, au début le médecin ne m'a pas donné la gravité de l'infarctus cérébral et de l'infarctus de la cavité, et puis après plusieurs experts hospitaliers le médecin m'a dit : ″Cavity infarction although the disease is light, but must pay attention to the annual bottle, if there is Halo swelling and other conditions must come to the hospital, don't take it as a child's play.
L'infarctus cérébral et l'infarctus cérébral caverneux sont tous deux des maladies vasculaires cérébrales causées par l'ischémie cérébrale ; ils présentent de nombreuses similitudes mais sont différents.
I. Différentes définitions
Dans la définition médicale, l'infarctus cérébral lacunaire est un petit infarctus non cortical causé par l'occlusion d'un seul petit vaisseau sanguin dérivé d'une grosse artère cérébrale (le diamètre de la lésion infarcie est généralement compris entre 0,2 et 15 mm). En d'autres termes, un infarctus cérébral lacunaire est un infarctus plus petit dans la partie profonde (non corticale) du cerveau, causé par l'occlusion d'un petit vaisseau artériel.
L'infarctus cérébral est l'un des types d'AVC dont nous parlons habituellement, l'AVC ischémique, également connu sous le nom d'attaque cérébrale ; la nécrose ischémique ou le ramollissement du tissu cérébral causé par le manque d'oxygène ou de sang dans le cerveau.

En termes simples, l'infarctus cérébral lacunaire est un type d'infarctus cérébral dans lequel les petites artères des vaisseaux sanguins cérébraux sont occluses, et il appartient également à un type d'infarctus cérébral.
II. différences de morbidité

L'infarctus cérébral caverneux, dont l'incidence est nettement plus élevée après 55 ans, est plusieurs fois plus fréquent chez les hommes que chez les femmes ; les femmes ont une incidence plus faible et une apparition plus tardive, mais un taux de mortalité plus élevé.
L'infarctus cérébral, qui est plus fréquent chez les personnes d'âge moyen et les personnes âgées, se produit dans des proportions à peu près égales chez les hommes et les femmes.
III. similitudes et différences dans l'étiologie
Les causes de l'infarctus cérébral et de l'infarctus cérébral lacunaire sont à peu près les mêmes.
infarctus cérébral caverneux
Il s'agit d'un type d'infarctus cérébral occlusif des petites artères, qui survient lors d'un micro-infarctus ischémique des artères pénétrantes profondes du cerveau, principalement dû à l'hypertension, au diabète sucré et à d'autres maladies sous-jacentes. La paroi du vaisseau est occluse après la lésion, et l'infarctus ischémique laisse une minuscule cavité irrégulière, d'où le nom d'infarctus cérébral lacunaire.
Rétrécissement des petits vaisseaux sanguins de la lésion, ralentissant et réduisant le flux sanguin, thrombose ou délogement et blocage du thrombus du sourire, entraînant une réduction supplémentaire du flux sanguin dans les vaisseaux initialement rétrécis, et développant finalement un infarctus ischémique du tissu cérébral.
Facteurs prédisposants : obésité, sédentarité, tabagisme et abus d'alcool ; hypertension entraînant l'athérosclérose et une fragilité vasculaire accrue ; hyperlipidémie entraînant l'athérosclérose ; diabète sucré, inflammation des petites artères ; apnée respiratoire du sommeil, hypoxie de longue durée, lésions de la paroi vasculaire ; maladies cardiovasculaires, insuffisance cardiaque, infections valvulaires, arythmie, etc. entraînant une thrombose d'origine cardiogénique ; et prédisposition génétique familiale.

infarctus cérébral
Les principales causes sont l'athérosclérose des artères cérébrales, la thrombose d'origine cardiaque, l'occlusion de petites artères et d'autres causes.
L'infarctus cérébral causé par l'athérosclérose aortique est principalement une thrombose, une embolie artérielle ; la cause de l'athérosclérose est principalement l'hypertension artérielle, le diabète, l'hyperlipidémie, l'obésité, le tabagisme et l'abus d'alcool, l'absence d'exercice physique, une alimentation malsaine, la nuit tardive, le stress, etc. qui provoquent l'athérosclérose, qui à son tour provoque une plaque et une sténose, et finalement la formation d'un thrombus causé par l'obstruction d'un vaisseau sanguin, provoquant un infarctus cérébral.
Les causes cardiaques telles que la fibrillation auriculaire, le flutter auriculaire, les maladies valvulaires, l'endocardite, l'insuffisance cardiaque, l'infarctus, etc. peuvent former des caillots sanguins qui sont délogés et provoquent l'obstruction des vaisseaux sanguins cérébraux, causant ainsi un infarctus cérébral.
L'occlusion des petites artères est principalement causée par l'hypertension, comme la dégénérescence vitreuse des petites artères du cerveau, la dégénérescence athérosclérotique et la nécrose fibrinoïde. Un petit nombre de diabètes sucrés provoquent une microangiopathie à l'origine d'infarctus cérébraux.
On constate que les causes de l'infarctus cérébral et de l'infarctus cérébral lacunaire sont fondamentalement les mêmes.
IV. la performance
L'infarctus cérébral caverneux est asymptomatique chez certaines personnes et est souvent détecté lors d'un scanner ou d'une IRM du crâne ; il peut présenter les mêmes symptômes qu'un infarctus cérébral :
60 % hémiplégie, paralysie faciale, aphasie, hémianopsie ; 20 % troubles de la parole, dysphagie, paralysie faciale, faiblesse légère des membres supérieurs ;
10 % d'hémiplégie.
Cependant, la plupart des personnes n'ont pas de séquelles notables.
La grande majorité des infarctus cérébraux présentent des symptômes tels que l'aphasie, l'hémiparésie, l'hémiplégie ; des vertiges, des maux de tête, un engourdissement des membres, une marche de travers, une marche instable ; l'apparition d'une léthargie, c'est-à-dire une léthargie qui dure toute la journée ; une paralysie faciale et une paralysie de la langue, une hémiplégie, une suffocation, des difficultés de déglutition, un coma et même la mort.
L'infarctus cérébral a un taux de mortalité aiguë de 5 à 15 % et un taux d'invalidité de 50 %.
V. Diagnostic et traitement

Le diagnostic d'infarctus cérébral et d'infarctus cérébral lacunaire doit être précisé par un scanner ou une IRM cérébrale, car l'hémorragie cérébrale et l'infarctus cérébral ont les mêmes manifestations et il n'est pas possible de juger sur la base des manifestations.
Pour l'infarctus cérébral symptomatique ou lacunaire, le plan de traitement est essentiellement le même, nécessitant une thrombolyse dans la phase aiguë, ainsi qu'un traitement antiplaquettaire à l'aspirine, une stabilisation de la plaque par les statines, un contrôle des triglycérides et d'autres traitements.
Toutefois, pour certaines personnes âgées qui ne présentent aucun symptôme et dont l'infarctus cérébral lacunaire a été détecté par scanner ou IRM, un traitement médicamenteux à long terme peut ne pas être nécessaire, et une évaluation plus approfondie par un médecin est nécessaire pour prendre une décision.
En conclusion, l'infarctus cérébral et l'infarctus cérébral lacunaire sont tous deux liés à trois niveaux de stress et à un mode de vie malsain ; comparativement, l'infarctus cérébral lacunaire est moins grave, mais dans tous les cas, il convient de mener une vie saine, de contrôler les trois niveaux de stress, d'empêcher l'aggravation de l'infarctus cérébral lacunaire et de prévenir l'apparition de l'infarctus cérébral.
Ces questions et réponses proviennent des utilisateurs du site, elles ne représentent pas la position du site, s'il y a une infraction, veuillez contacter l'administrateur pour la supprimer.