Un homme d'une soixantaine d'années, décédé d'une attaque cérébrale, le médecin a avoué : diabétiques, 3 signaux à ne pas ignorer ! De quels 3 signaux parle-t-on ?
Un homme d'une soixantaine d'années, décédé d'une attaque cérébrale, le médecin a avoué : diabétiques, 3 signaux à ne pas ignorer ! De quels 3 signaux parle-t-on ?
L'infarctus cérébral est très fréquent en dehors du système cérébro-vasculaire, il est le tueur implacable des personnes d'âge moyen et des personnes âgées ! Son danger réside dans le taux élevé d'invalidité qui s'ajoute à la mort ! Il survient rapidement et se développe encore plus vite ! Afin de vous donner une idée visuelle de la situation, veuillez consulter la figure suivante.
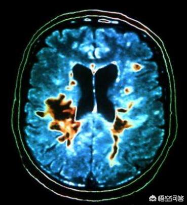
👆👆👆 这是脑梗死的缺血半暗带,脑组织缺血1分钟组织就开始缺血缺氧,脑细胞开始发生变化。30分钟就能看到明显的梗死灶,随后梗死灶逐渐扩大!3个小时候和刚开始对比,梗死范围已经非常大了! Par conséquent, les patients atteints d'infarctus cérébral sont dans une course contre la montre, courir vite avec un taux de survie élevé et un taux d'invalidité faible, courir lentement avec un taux de survie faible et un taux d'invalidité élevé !
Comment se produit une attaque cérébrale ?
L'une des principales causes d'infarctus cérébral est la thrombose cérébrale, l'athérosclérose. Le diabète sucré, l'hypertension artérielle et l'hyperlipidémie (communément appelés les "trois hauts") sont les principaux facteurs de risque de l'athérosclérose ! Le titre du sujet "Les patients diabétiques doivent être attentifs à la survenue d'un infarctus cérébral" est donc justifié.Quels sont donc les trois signes à surveiller en cas d'attaque cérébrale ?
👆👆👆看上图,这是国际推荐的判断脑卒中(脑梗是常见的脑卒中)的方法!FAST原则! Lorsque vous constatez que la bouche de quelqu'un est tordue, que les muscles du visage sont raides, comme paralysés ; les membres sont faibles, ne peuvent pas se soulever, il peut s'agir des membres supérieurs ou inférieurs, d'un seul côté ou des deux ; la parole est inaudible, il ne peut pas vous comprendre ou vous ne pouvez pas comprendre ce qui est dit. Ces trois symptômes majeurs suggèrent que le patient est peut-être victime d'un infarctus cérébral ! Appelez d'urgence le 120 !!! Les patients victimes d'un AVC ou d'un infarctus cérébral doivent être transférés à l'hôpital par la voie verte. La clé réside donc dans la détection précoce des trois symptômes susmentionnés chez le patient !
En bref, rappelez-vous que la rapidité est de mise.
Merci pour l'invitation !
Un homme diabétique de 60 ans avec 3 facteurs de risque dans un court paragraphe. Un âge avancé, des hommes, un diabète sucré et trois facteurs de risque de maladie cardiovasculaire, tous susceptibles d'entraîner un infarctus cérébral.
Les facteurs tels que l'âge et le sexe ne peuvent être modifiés, nous devons adapter notre glycémie et faire de notre mieux pour la maintenir stable sans fluctuations importantes et sans hypoglycémie grave.
fluctuation de la glycémieLa dérive glycémique qui en résulte est très dommageable pour les gros vaisseaux sanguins. Les fluctuations de la glycémie entraînent des lésions importantes des parois des gros vaisseaux sanguins, des médiateurs inflammatoires, des plaquettes et d'autres dépôts de lésions, ce qui conduit à la formation de plaques. Une hypoglycémie sévère provoque l'excitation du nerf sympathique, la pression artérielle devient élevée, la fréquence cardiaque augmente, l'apport de sang et d'oxygène au cœur et au cerveau augmente, ce qui entraîne un vasospasme du cœur et du cerveau, provoquant une ischémie cérébrale et un infarctus.
Les patients atteints de diabète sucré qui présentent un infarctus cérébral ont généralement de petites lésions focales étendues qui évoluent relativement lentement sans signes localisés, mais avec des lésions cérébrales évidentes. Comme les lésions sont petites, l'examen tomodensitométrique crânien peut ne pas révéler les lésions, mais le patient peut ressentir des vertiges, de sorte que lorsque les patients diabétiques présentent un infarctus du myocarde, il est possible qu'il y ait une perte de conscience.rotationLorsque c'est le cas, il ne faut pas l'ignorer et une IRM crânienne ou une angiographie doit être réalisée pour déterminer s'il y a une possibilité d'infarctus.
嗜睡L'augmentation des bâillements et le manque de clarté mentale sont des signes d'ischémie cérébrale et d'hypoxie, et lorsqu'ils se produisent, ils suggèrent la possibilité d'un infarctus cérébral, qui doit être examiné en temps opportun à l'hôpital.
Il est donc très important de maintenir la glycémie stable, de vérifier les lipides sanguins et la tension artérielle, et de se rendre à l'hôpital à temps en cas de vertiges et de comportement anormal afin d'éviter l'apparition d'un infarctus cérébral grave.
Aujourd'hui, le diabète est devenu l'une des maladies chroniques les plus préoccupantes pour les Chinois.
Selon l'OMS, la Chine ne compte pas seulement quelque 110 millions de diabétiques. Le fait que près de 500 millions d'adultes soient pré-diabétiques est encore plus préoccupant.
Cela signifie qu'un Chinois sur deux est diabétique ou prédiabétique.

Les diabétiques, une fois qu'ils ont découvert 4 types de "symptômes", doivent être attentifs aux complications, ne pas les ignorer !
Symptôme 1 : Vision trouble, attention à la rétinopathie
Les amateurs de sucre, s'ils excluent par exemple le manque de sommeil ou la surutilisation des yeux, sont plus souvent à l'origine d'une vision floue.
Et si l'état s'aggrave, il faut se méfier de la rétinopathie diabétique, et plus la durée de la maladie est longue, plus les risques d'apparition sont élevés.
La rétinopathie diabétique, l'une des principales maladies oculaires cécitantes.
Il est donc conseillé aux amateurs de sucre d'examiner leur fond d'œil tous les six mois.

Symptôme 2 : urine mousseuse, signe d'une maladie rénale
Amateurs de sucre, veillez à surveiller votre urine.
Une fois que l'on constate qu'il y a beaucoup de mousse dans l'urine, il faut être très vigilant pour détecter les lésions rénales.
Une urine trouble, principalement due à une protéinurie, est le signe d'une altération de la fonction rénale.
La protéinurie, qui est également une caractéristique clinique de la néphropathie diabétique, est souvent associée à la glomérulosclérose chez les diabétiques.
Par conséquent, les diabétiques doivent vérifier régulièrement leur taux de protéines urinaires et ne doivent pas ignorer la présence de protéines dans leur urine.

Symptôme 3 : engourdissement et brûlure des orteils, alerte pied diabétique
Amateurs de sucre, si vous constatez un engourdissement des orteils et une sensation de brûlure, vous devez vous méfier des pieds diabétiques.
Si, au fil du temps, un mauvais contrôle de la glycémie entraîne des lésions des nerfs des membres inférieurs, les nerfs des pieds deviennent insensibles et engourdis, avec une faible sensation de température ou de douleur.
Si, en plus, il y a une sensation de brûlure, il y a une forte tendance au pied diabétique.
Alors, chers amateurs de sucre, soyez attentifs aux changements au niveau de vos pieds et ne les ignorez pas.

Symptôme 4 : Peau sèche, démangeaisons, attention à la neuropathie
La peau sèche et les démangeaisons surviennent de temps en temps dans la vie, mais si c'est le cas pour une personne accro au sucre, vous devez être vigilant.
Ces symptômes sont donc des manifestations courantes des complications diabétiques précoces associées à la neuropathie.
L'hyperglycémie, qui peut provoquer une atrophie plus ou moins importante des fibres nerveuses, entraîne une fonction nerveuse anormale qui se traduit par des réactions cutanées anormales et des démangeaisons.
En outre, la neuropathie peut provoquer des ballonnements, des nausées et des malaises après les repas.
Par conséquent, les utilisateurs de sucre ne doivent pas ignorer les "signaux" sur la peau.

Faites ces trois choses et le diabète ne vous concernera plus !
1. bien manger
L'homme moderne aime le riz et les nouilles raffinés, qui ont perdu beaucoup de nutriments au cours de la transformation, notamment les vitamines, les minéraux, les fibres brutes, etc.

Les vitamines et les minéraux sont des substances qui aident notre corps à métaboliser les graisses, les protéines, les sucres, etc. Le groupe des fibres régule efficacement les intestins, régule le métabolisme du corps et augmente la sensibilité à l'insuline.
Nous ne mangeons donc pas correctement, ce qui entraîne une augmentation de notre taux de sucre dans le sang.
2、Pas de paresse
La société d'aujourd'hui est la plus "bénie", elle sort et prend un taxi, le travail est généralement sédentaire pendant longtemps, même si elle a le temps de paresser au lit.
Le manque d'exercice entraîne un ralentissement du métabolisme du sucre, ce qui conduit à une insensibilité à l'insuline, d'où l'apparition du diabète.
En outre, l'immobilité conduit à l'obésité, qui est la principale cause du diabète de type II.

3、Don't stay up late
Les personnes modernes qui ne dorment pas la nuit ont des habitudes et des modes qui finissent par les rendre malsaines.
Une vaste enquête de suivi menée aux États-Unis a montré que les personnes qui se couchent tard sont beaucoup plus susceptibles de développer un diabète que celles qui ne se couchent pas.
Le fait de rester éveillé toute la nuit ne conduit pas seulement à l'incapacité de réparer les fonctions de notre corps, à la surcharge, à la destruction de l'équilibre endocrinien, yin et yang du corps et à d'autres problèmes.
La principale raison est que la création de lumière par les téléphones portables et les ordinateurs peut rendre l'insuline moins sensible, ce qui réduit l'effet de la réduction du sucre.

Les diabétiques, pour éviter l'urémie et contrôler la glycémie en douceur, doivent se rappeler "trois limites, deux suppléments, un contrôle".
"Trois limites
1. restriction du sel

La néphropathie diabétique combinée à l'hypertension, le développement d'un certain stade se traduira par des œdèmes ou une réduction du débit urinaire, vous devez donc limiter la consommation de sel, de préférence moins de 5 g par jour.
La limitation de la teneur en sel peut être efficace pour prévenir la progression des complications.
2, 限钾
Les patients diabétiques n'ont pas besoin de restreindre excessivement leur apport en potassium si leur débit urinaire quotidien est supérieur à 1 000 ml et que leur taux de potassium sanguin est normal, mais ils doivent le faire immédiatement en cas d'oligurie ou d'hyperkaliémie.
Les aliments riches en potassium sont l'avocat, le potiron, les épinards, les patates douces, le saumon et les bananes, dont il faut limiter la consommation.
Et comme certains melons et légumes fruits, tels que le melon d'hiver, la courge, la pomme, la poire, etc. contiennent relativement peu de potassium, vous pouvez en consommer davantage.
3. limitation des protéines
Le contrôle de l'apport en protéines réduit la charge sur les reins et retarde la glomérulosclérose.
Chez les personnes ne présentant pas de protéines urinaires, l'apport en protéines est contrôlé à 0,8 g par kilogramme de poids corporel par jour ;
Chez les personnes présentant des protéines urinaires, l'apport en protéines est contrôlé à 0,6-0,8 g par kilogramme de poids corporel par jour.
"Deux suppléments
1. l'hydratation
Le facteur le plus meurtrier qui déclenche le diabète est la consommation prolongée de boissons riches en sucre, de boissons gazeuses, etc.
Par conséquent, les diabétiques devraient apprendre à améliorer leur façon de boire de l'eau, boire plus d'eau, boire du thé, boire de la tisane, les bénéfices pour la santé sont meilleurs.
Thé de feuilles de mûrier Bai Gu Ding : réduire le taux de sucre, retarder les complications
Prendre 40 g de feuilles de glutin blanc et 15 g de feuilles de mûrier, les sécher, les mélanger et les faire infuser dans de l'eau chaude.
Feuilles de mûrier.Selon le Classique de la Materia Medica du Divin Cultivateur, elle est appelée "Feuille divine immortelle". La médecine traditionnelle chinoise utilise les feuilles de mûrier pour traiter la soif (diabète).
Les données des recherches menées dans le pays et à l'étranger ont confirmé que les feuilles de mûrier ont pour effet de réduire le taux de sucre dans le sang. Les alcaloïdes, son principal composant, peuvent inhiber le rôle des enzymes dans le processus du métabolisme du sucre ; les polysaccharides peuvent favoriser l'analyse de l'insuline par les cellules β, favorisant ainsi l'utilisation cellulaire du sucre pour obtenir l'effet de réduction du taux de sucre dans le sang.
valet (mot d'emprunt)Le gluten blanc contient des polysaccharides de pissenlit, qui ont également un certain effet hypoglycémiant sur la glycémie postprandiale.
En même temps, le foie est un endroit important pour décomposer les substances sucrées, le gluten blanc peut également jouer un rôle dans la protection du foie et prévenir les lésions hépatiques.
La consommation conjointe des deux a un effet hypoglycémiant et retarde les complications.
2. vitamines B supplémentaires
Des études ont montré que la vitamine B7 aide les patients à contrôler leur taux de sucre dans le sang, prévient et retarde les dommages causés par la neuropathie et soulage également les douleurs musculaires.
On trouve la vitamine B7 dans : le lait, le foie de bœuf, le jaune d'œuf, la viande maigre, le riz brun, le blé, les fraises, le pamplemousse et d'autres aliments.
"Un chèque".
Pour les personnes âgées de plus de trois ans, il est recommandé d'examiner régulièrement la fonction rénale, la qualification des protéines urinaires, la quantification des protéines urinaires sur 24 heures et le rapport microalbumine/créatinine urinaire sur une base annuelle.
La microalbuminurie, qui peut être démontrée positivement par une créatinine supérieure à 30 mg/dl, prouve que la néphropathie diabétique s'est développée.
Si une forte protéinurie est à nouveau détectée à un stade moyen ou avancé de la maladie rénale, celle-ci ne peut plus être complètement inversée à ce moment-là.
3 signes à ne pas ignorer pour les diabétiques, selon les médecins !Âgé de 60 ans, Lao Wang est un homme qui souffre de diabète depuis de nombreuses années.
Mais Lao Wang n'a jamais présenté de symptômes graves, et il n'y prête généralement pas attention.
Les médicaments et l'insuline ont également été administrés par intermittence.
Cependant, récemment, Lao Wang est apparu avec une faiblesse des membres, un engourdissement, à ce moment-là, il a pensé que c'était de l'arthrite, il ne s'en est pas soucié.
Le vieil homme qui procrastinait souffrait de pertes de mémoire, de troubles de la vision et de léthargie.
Cependant, ni moi ni ma famille n'y avons prêté attention, pensant qu'il s'agissait simplement d'une affection mineure due à l'âge.
Mais ce soir-là, la famille regardait la télévision et, alors qu'ils riaient beaucoup, la bouche et les yeux du vieux roi se sont soudainement déformés et il s'est évanoui sur le sol.
Les membres de la famille se sont précipités pour appeler l'ambulance 120, environ plus d'une heure pour le sauvetage, le vieux Wang est en mauvais état.
Finalement, le moniteur cardiaque a soudainement émis une alarme perçante et a affiché une ligne droite .......
Les médecins ont déclaré sans ambages que le vieux Wang avait été victime d'un infarctus cérébral soudain et que la réanimation n'avait pas permis de le sauver.
3 signes à ne pas ignorer pour les diabétiques, selon les médecins !
1, perte de vision
Un état hyperglycémique prolongé peut endommager les vaisseaux sanguins de la rétine et provoquer une hypoxie dans le tissu rétinien.
Apparition d'une perte de vision et d'une vision floue.
Il ne faut pas confondre avec la presbytie, surtout si vous avez des antécédents de diabète depuis plus de 5 ans.
Lorsque des infarctus cérébraux sont présents, ils peuvent également provoquer des troubles tels que la perte de vision.
2, engourdissement et faiblesse des membres
L'infarctus cérébral, une complication fréquente du diabète de type 2.
dont les infarctus de petite et moyenne taille sont fréquents.Infarctus souvent inférieurs à 0,2 cmLes personnes âgées de moins de 18 ans ne sont pas sujettes aux symptômes.
présents le plus souventEngourdissement et faiblesse des membresetc., avec parfois des pertes de mémoire, des anomalies mentales et des troubles de l'élocution.
3, Panique, oppression thoracique
L'environnement hyperglycémique a entraîné de graves lésions vasculaires et nerveuses, en particulier au niveau des nerfs périphériques.
En cas de panique et d'oppression thoracique, accompagnées de vertiges, de sueurs, de tremblements des mains et de pâleur, il se peut que vous souffriez d'hypoglycémie.
Des études ont montré que les personnes atteintes de diabète ont 56 % plus de risques de mourir d'une maladie cardiaque que les personnes non diabétiques.
Pour les diabétiques, 3 aliments sont à consommer avec parcimonie :
1. aliments riches en protéines
Le contrôle de l'apport en protéines réduit la charge sur les reins et retarde la glomérulosclérose.
Chez les personnes ne présentant pas de protéines urinaires, l'apport en protéines est contrôlé à 0,8 g par kilogramme de poids corporel par jour ;
Chez les personnes présentant des protéines urinaires, l'apport en protéines est contrôlé à 0,6-0,8 g par kilogramme de poids corporel par jour.
2. boire moins de cola
Le Coca-Cola, une boisson riche en sucre, habituellement utilisée comme de l'eau, augmentera l'apport en sucre, ce qui provoquera une hausse de la glycémie.
Par ailleurs, une consommation prolongée de cola peut entraîner l'obésité.
L'obésité est également un facteur important de diabète, car elle prédispose à la résistance à l'insuline et augmente le risque de diabète.
3. manger moins de sel
La néphropathie diabétique associée à l'hypertension se développe jusqu'à provoquer des œdèmes ou une réduction du débit urinaire.
Il est donc nécessaire de limiter l'apport alimentaire en sel, de préférence à moins de 5 g par jour.
La limitation de la teneur en sel peut être efficace pour prévenir la progression des complications.
Pour réduire la glycémie et prévenir les complications, n'oubliez pas de "manger 2 choses plus souvent, de boire 2 eaux plus souvent et de vous déplacer 2 fois plus souvent" !
"Mangez encore deux choses.
1,oignon (Allium cepa)
Les oignons sont piquants, doux et épicés et constituent un légume très apprécié.
Les oignons ne contiennent pas seulement des substances hypoglycémiantes qui stimulent la sécrétion d'insuline.
De plus, la prostaglandine A et les acides aminés soufrés qu'il contient ont pour effet de dilater les vaisseaux sanguins, de réduire les lipides sanguins et de prévenir l'artériosclérose.
Il convient particulièrement aux diabétiques souffrant d'hyperlipidémie.
3, Ginkgo:
Le champignon d'argent est de nature douce et plate. Il a pour effet de nourrir le yin et d'humidifier le charbon, de générer des fluides et de nourrir l'estomac.
En raison de la richesse nutritionnelle du champignon argenté, particulièrement riche en fibres alimentaires, il a une faible valeur calorique, mais aussi une grande valeur médicinale, ce qui lui vaut le nom de "perle du champignon".
La recherche médicale moderne a montré que le champignon d'argent contient plus de polysaccharides de champignon d'argent, qui ont un certain effet sur l'activité hypoglycémique de l'insuline.
[Boire 2 autres eaux]
1) Infusion de feuilles de mûrier au boudin blanc
Prendre 40g de guttapercha blanche, 15g de feuilles de mûrier, séchées au soleil et mélangées, de l'eau chaude peut être infusée.
Les feuilles de mûrier sont appelées "feuilles immortelles" dans le Classique de la Materia Medica du Divin Cultivateur. Les feuilles de mûrier sont utilisées dans la médecine chinoise comme traitement de la soif (diabète).
Les données de la recherche nationale et internationale confirment que les feuilles de mûrier ont pour effet d'abaisser le taux de sucre dans le sang et que les alcaloïdes, son principal composant, peuvent inhiber l'action des enzymes dans le processus du métabolisme du sucre.
Le caillé blanc, qui contient des polysaccharides, a également un certain effet hypoglycémique sur la glycémie postprandiale.
En même temps, le foie est un endroit important pour décomposer les substances sucrées, la couture blanche peut également jouer un rôle dans la protection du foie et prévenir les lésions hépatiques.
La consommation conjointe des deux a un effet hypoglycémiant et retarde les complications.
2、Golden Wheat Whiskers Tea Infusion (Infusion de thé aux fouets de blé doré)
Les moustaches de blé doré, c'est-à-dire les moustaches de maïs, certaines études ont souligné que les moustaches de maïs contiennent des saponines, des glycosides amers, des flavonoïdes, des acides organiques et d'autres substances, peuvent être diurétiques pour réduire l'œdème, nettoyer le foie et la vésicule biliaire.
Il peut également réduire la tension artérielle, le taux de sucre et de graisse, lutter contre le cancer et renforcer l'immunité.
Le "Lingnan Caiyao Lu" indique même que la décoction de feuilles de maïs et de porc peut guérir le diabète sucré.
Le Cornhusk est de nature douce et convient à la plupart des amateurs de sucre, bien qu'il soit préférable de le sécher avant de préparer le thé.
[2 mouvements supplémentaires]
1. le point Yin Shi
Selon la médecine chinoise, l'acupoint Yin Shi a pour fonction de soulager la douleur, de réguler le qi, de réchauffer les menstruations et de disperser le froid.
Des recherches modernes ont montré qu'en plus de ces effets, les points Yin Shi ont également pour effet de réduire le taux de sucre dans le sang.
Position : sur le devant de la cuisse, à quatre doigts au-dessus de la rotule.
Méthodes : La pression doit être forte, lorsque la sensation de douleur et de gonflement apparaît, maintenez la pression pendant 5 à 6 secondes, puis relâchez, puis appuyez vers le bas, puis relâchez ......, et ainsi de suite pendant 40 à 50 fois.
2. bouger les pieds
L'une des complications les plus redoutées du diabète est la "gangrène".
Les pieds étant situés à l'extrémité du corps, les personnes souffrant d'hyperglycémie chronique présentent souvent des engourdissements et des ulcérations aux pieds.
Il est donc habituel d'exercer davantage les pieds pour favoriser la circulation sanguine locale et le métabolisme.
L'exercice régulier est efficace pour prévenir les complications du diabète.
Les photos proviennent du réseau, en cas d'infraction, veuillez nous contacter pour les supprimer, merci !
À son arrivée à l'hôpital, le médecin a vérifié les signes et mesuré la tension artérielle, puis a effectué un scanner du cerveau par le canal vert, qui a révélé une grave obstruction des vaisseaux sanguins du cerveau, qui mettrait en danger la vie du patient s'il n'était pas réanimé à temps !

Les médecins ont immédiatement administré au patient une thérapie thrombolytique et ont suivi l'obstruction des vaisseaux sanguins dans le cerveau. Par la suite, le médecin a compris la situation du patient et a su que M. You avait des antécédents de diabète depuis dix ans et qu'au cours de la période précédente, il avait présenté un état de faiblesse et d'engourdissement des membres, que l'on pensait être de l'arthrite à l'époque, et qu'il n'y avait donc pas prêté attention.
Par la suite, M. You a progressivement développé une dépression, des pertes de mémoire, des anomalies mentales, des mouvements lents et d'autres manifestations, que sa famille a de nouveau pris pour des maladies mentales. Mais personne ne s'attendait à ce qu'il s'agisse d'un signe d'infarctus cérébral.

Après avoir compris la situation, le médecin a dit à la famille : "Le danger n'est pas encore écarté, tout accident peut arriver, préparez-vous mentalement !" Après avoir entendu cela, la famille a perdu la voix et a pleuré, tandis que le médecin continuait son observation.
Après environ une heure, M. You ne réagissait toujours pas, le médecin savait que même le soulagement des symptômes prendrait du temps, mais il ne s'attendait pas à ce que le moniteur cardiaque de M. You émette soudainement une alarme percutante, il n'a pas eu le temps de faire un scanner du cerveau, qui montre une ligne droite .......
Doc : L'infarctus cérébral est une complication fréquente du diabète !

L'infarctus cérébral induit par le diabète est surtout fréquent dans les infarctus de petite et moyenne taille, l'infarctus est souvent inférieur à 0,2 cm, les symptômes n'apparaissent pas facilement, ils se manifestent principalement par une faiblesse, un engourdissement des membres, etc. et parfois par des troubles intellectuels, mentaux et du langage.
3 Signes de diabète, attention aux complications, ne pas ignorer !
Signal 1, oppression thoracique, transpiration abondante, attention à la crise cardiaque

Les diabétiques ne présentent souvent aucun symptôme évident de douleur avant le début d'une crise cardiaque, principalement parce que l'environnement hyperglycémique contribue à endommager les vaisseaux sanguins et les nerfs, en particulier les nerfs périphériques.
Si vous ressentez une oppression thoracique, des sueurs abondantes, un essoufflement, une toux, etc., vous devez être averti qu'une crise cardiaque est sur le point de se produire.
Signal 2, urine mousseuse, attention à la maladie rénale

Lors de la miction, une quantité plus importante de mousse apparaît et ne disparaît pas avant longtemps. Attention à une trop grande quantité de protéines dans l'urine, ce qui peut être un signe de lésions rénales.
Un environnement hyperglycémique prolongé peut entraîner une glomérulosclérose, qui s'accompagne souvent de symptômes de protéinurie et, par la suite, d'une insuffisance rénale.
Signal 3, sensation anormale au niveau du pied, attention au pied diabétique

Lorsque le pied ou les membres inférieurs apparaissent froids, engourdis, douloureux et autres sensations, ou brûlants, fourmis rampantes et autres sensations anormales, et même peau sèche, desquamation et autres manifestations, il peut s'agir d'une neuropathie diabétique périphérique, il faut alors se méfier du pied diabétique, pour éviter l'amputation.
Pour prévenir l'urémie, le contrôle de la glycémie est la clé, il faut respecter le principe "deux diligences, trois contrôles", pour éviter les complications !
"Deux diligences" :
1、Boire régulièrement du thé hypoglycémiant
Boire davantage de thé peut aider les diabétiques à inhiber la dégradation des graisses et des sucres et à prévenir les complications. Les amateurs de sucre peuvent également boire régulièrement du thé santé pour obtenir de meilleurs résultats.
Thé Bai Gu Ding à base de feuilles de mûrier
Recette : Prendre les deux gluten blanc et les feuilles de mûrier et les mélanger après séchage pour en faire une mixture.

La feuille de mûrier est un bon aliment fonctionnel, elle contient un inhibiteur naturel de la glucosidase, elle peut inhiber directement l'absorption du glucose dans le tractus intestinal, l'utilisation du glucose peut être prévenue et traitée l'absorption excessive de glucose causée par l'hyperglycémie et l'obésité ;
Deuxièmement, les feuilles de mûrier sont également riches en composés de brassinacées et en polysaccharides de feuilles de mûrier, qui peuvent favoriser la sécrétion d'insuline par les cellules B du pancréas, ce qui peut favoriser l'utilisation cellulaire du sucre, la synthèse du glycogène hépatique, ainsi que l'amélioration du métabolisme du glucose et, en fin de compte, l'effet d'abaissement du taux de sucre dans le sang.
Des études ont montré que les polysaccharides du pissenlit contenus dans le liseron blanc ont un certain effet hypoglycémique et sont efficaces pour abaisser la glycémie normale et postprandiale.
La combinaison des deux est bénéfique pour la prévention des complications et la réduction de la glycémie.
2、Doppler avec diligence l'examen des maladies rénales

Pour prévenir la maladie rénale diabétique, vous devez vous soumettre à des examens réguliers :
Il est recommandé de contrôler la microalbumine urinaire tous les six mois ou une fois par an.
Rappel : le contrôle des maladies rénales s'effectue à l'aide d'analyses d'urine. De nombreuses maladies rénales précoces ne sont pas faciles à détecter, car les protéines sont très grossières.
Il est donc préférable de vérifier la microalbumine urinaire. Si la maladie atteint le stade III, des mesures thérapeutiques appropriées doivent être prises.
"Trois contrôles" :
1、Contrôle de la glycémie

Comme le dit le proverbe : "La maladie entre par la bouche", si votre alimentation n'est pas contrôlée, votre glycémie ne le sera pas non plus. C'est pourquoi il est préférable de privilégier les aliments à indice glycémique élevé, qui sont plus propices au contrôle de la glycémie.
L'ajout d'aliments à forte teneur en fibres brutes, tels que l'avoine, le riz noir, le riz sorgho et d'autres céréales secondaires, augmente la satiété, réduit la digestibilité et abaisse l'indice glycémique ;
Réduisez votre consommation d'aliments trop transformés, tels que les aliments frits, les snacks, les pâtisseries et le pain, qui peuvent augmenter l'indice glycémique de manière significative.
2、Sommeil contrôlé

Le fait de se coucher tard perturbe l'horloge biologique du corps, ce qui provoque l'apparition de l'adrénaline et de la dépression.L'augmentation de la sécrétion de métanéphrines augmente le taux de sucre dans le sang et peut également provoquer des lésions rénales.
De plus, lorsqu'une personne se couche tard, elle est trop épuisée et l'hémoglobine transporte le dioxyde de carbone en plus grand nombre, ce qui entraîne un ralentissement de la circulation sanguine.Il consomme moins de sucre dans le sang et aggrave le diabète.
Il est donc important de contrôler son sommeil pendant la journée et de le maintenir à plus de 7 heures par nuit.
3、Contrôler son corps

L'obésité étant une cause directe de diabète, les personnes obèses doivent limiter leur consommation quotidienne de graisses et de calories pour éviter une obésité excessive, et s'astreindre à faire de l'exercice.
L'exercice physique peut contribuer à réduire le risque de développer un diabète. Des études ont montré qu'une marche de 35 minutes par jour réduit de 80 % le risque de développer un diabète.
En outre, l'exercice réduit le poids, ce qui en fait le meilleur moyen de perdre du poids pour les personnes obèses.
Une fois que vous l'avez découvert.le diabèteLes personnes dépendantes du sucre devront "lutter" contre l'hyperglycémie pour le reste de leur vie.
le diabèteles complications (effets secondaires indésirables d'une procédure médicale)La présence d'un grand nombre d'espèces, jusqu'à plus de 100, peut conduire à l'apparition d'un grand nombre d'espèces.lésions vasculaireset met en danger le cœur, le cerveau, les reins, les nerfs périphériques, les yeux et les pieds.
Une fois les complications apparues, il est difficile de les faire disparaître avec des médicaments.80 pour centdes diabétiques qui meurent deles maladies cardiovasculaires。

Tard dans la nuit, le service d'urgence a reçu un homme inconscient et, à son arrivée à l'hôpital, les mesures ont révélé une tension artérielle un peu élevée.
Les résultats d'un scanner cérébral ont révélé une grave obstruction des vaisseaux sanguins cérébraux, ce qui pourrait mettre la vie en danger à tout moment.
Les médecins ont immédiatement administré une thérapie thrombolytique, après quoi ils ont appris certaines choses de la part de la famille.
Le patient Wu, âgé de 60 ans, souffre de diabète depuis plus de 10 ans. Il fait très attention à son alimentation, à son travail et à son repos, il suit les instructions du médecin et prend ses médicaments à temps.

Cependant, il n'y a pas si longtemps, Lao Wu se sentait toujours mou et faible, à l'époque, il pensait que c'était de l'arthrite et ne s'en souciait pas.
Plus tard, Lao Wu a montré des signes successifs de perte de mémoire, d'anomalie mentale et de comportement lent.
Sa famille pensait qu'il était atteint de la maladie d'Alzheimer, mais elle n'avait pas réalisé qu'il s'agissait d'une attaque cérébrale.
Après environ deux heures de réanimation, le moniteur cardiaque de Lao Wu a soudain émis une alarme stridente et l'ECG est devenu rectiligne.
Après avoir appris la nouvelle, la famille s'est agenouillée et a pleuré.

Les amateurs de sucre doivent être très vigilants en cas d'infarctus du cerveau
Le diabète, un facteur de risque d'infarctus cérébral.
Toutefois, si la glycémie n'est pas bien contrôlée, elle peut entraîner un infarctus cérébral.

Dès que les trois types d'anomalies suivants sont constatés, il convient de vérifier les vaisseaux sanguins cérébraux et d'alerter sur l'imminence d'un infarctus cérébral !
1. sensibilité des membres
Les manifestations sont les suivantes : incapacité soudaine à marcher, incapacité à tenir des objets, engourdissement unilatéral des bras et des jambes, etc.
Ces symptômes de "ramollissement", communément appelés "hémiparésie", sont les signes précurseurs les plus courants d'un infarctus cérébral.
Dès qu'une situation similaire se produit, il faut consulter un médecin sans tarder.

2,Dureté de la langue
Lorsque les vaisseaux sanguins de la tête sont obstrués et que l'irrigation sanguine du cerveau est insuffisante, le centre de la parole situé dans le cortex cérébral est inhibé, ce qui entraîne un trouble de la parole.
Si, par exemple, votre langue est dure, vous vous mordez toujours la langue, vous bredouillez, vous ne pouvez pas prononcer un paragraphe complet ou vous ne pouvez pas parler du tout.
À ce stade, il convient de consulter immédiatement un médecin et de ne pas ignorer le délai.

3. aggravation des maux de tête
Sur le plan clinique, environ 70 % des patients souffrant d'infarctus cérébraux, avant l'apparition de la maladie, voient leurs maux de tête s'aggraver.
Une fois, un mal de tête soudain et sévère, ou un changement dans la nature, la localisation ou la distribution du mal de tête.
À ce stade, il est préférable de consulter un médecin en temps utile, de ne pas ignorer, en particulier l'hypertension, l'hypertonie, l'hypercholestérolémie et d'autres personnes ayant des antécédents familiaux de maladies cardiovasculaires et cérébrovasculaires, de faire preuve d'une plus grande attention.

Pour prévenir les attaques cérébrales, effectuez les "6 contrôles".
Contrôlez votre glycémie et ne dites rien.
Les amateurs de sucre doivent se taire et ne pas avoir envie de manger.
L'accent est mis sur les habitudes et la structure alimentaires, avec un apport nutritionnel équilibré.
Prenez des repas moins nombreux et plus fréquents et remplacez votre ancienne habitude de prendre trois repas par jour par 5 à 7 repas.
Manger moins de graisses animales et contrôler les lipides sanguins permet également de prévenir l'apparition précoce de complications diabétiques.
Mangez moins d'aliments épicés. Les aliments épicés et irritants mettent le corps en feu, ce qui n'est pas propice au contrôle de la glycémie.
Mangez moins de fruits sucrés et gardez toujours à l'esprit que vous ne devez pas avoir envie d'en manger davantage.

Deux contrôles de la tension artérielle, souvent du thé
Pour les personnes souffrant d'hypertension artérielle, boire davantage de thé permet de reconstituer l'eau, de prévenir la viscosité du sang, de réduire les caillots sanguins et de prévenir les infarctus cérébraux.
En outre, l'utilisation de la petite plante dans de l'eau comme substitut de thé peut contribuer à stabiliser la tension artérielle, en une seule fois.
Thé Fuding à base de feuilles de lotusC'est également un bon choix pour boire de l'eau, réguler les lipides sanguins, abaisser la tension artérielle, favoriser la désintoxication et contribuer à la santé cardiovasculaire et vasculaire cérébrale.
Utiliser le pissenlit, les feuilles de racine de lotus et le fuding, et faire infuser de l'eau pour boire du thé.
Le pissenlit, très répandu en été et d'une grande valeur médicinale, est utilisé dans l'eau pour abaisser le taux de triacylglycérol sérique et augmenter le taux de HDL, ce qui contribue à améliorer la santé lipidique et à favoriser la santé cardiovasculaire.
Les feuilles de racine de lotus, contenant des flavonoïdes et des alcaloïdes, peuvent réduire le cholestérol total et les triglycérides bruts, réduire la viscosité spécifique du sang total, la pression des globules rouges, améliorant ainsi la viscosité du sang, abaissant les lipides et la pression artérielle, et prévenant la formation de caillots sanguins.
Le fuding, qui augmente l'irrigation sanguine du muscle cardiaque et combat l'athérosclérose, dissipe la chaleur et le vent et abaisse la tension artérielle, ce qui est très bénéfique pour les personnes souffrant d'hypertension artérielle.
Boire de l'eau avec cette combinaison favorise la désintoxication du corps, réduit les lipides, abaisse la tension artérielle, améliore la viscosité du sang, stabilise la tension artérielle et protège la santé des vaisseaux sanguins.

Trois contrôles des lipides sanguins, l'accent étant mis sur le régime alimentaire
Dyslipidémie, qui peut facilement conduire à l'athérosclérose, à la thrombose, etc., augmentant le risque d'infarctus cérébral.
Pour réguler les lipides sanguins, le choix de l'huile de cuisson est essentiel.
L'huile de cuisson, en mangeant, apporte 3 types d'acides gras, peut réguler l'équilibre des graisses dans le sang, protéger le système cardiovasculaire et cérébral.
Mélanger l'huile d'olive, l'huile de soja et l'huile de lin brune dans un rapport 2:2:1 d'environ 25g à 30g.

Il est préférable de consommer les huiles végétales en combinaison pour équilibrer les acides gras dans le corps interne, améliorer la santé vasculaire et lipidique et protéger la santé cardiovasculaire.
L'huile d'olive contient des acides gras oléiques, l'huile de soja des acides gras linoléiques et l'huile de lin brune est riche en acides gras linoléniques.
Parmi eux.Huile de lin de palme.L'acide α-linolénique, qui contient une grande quantité d'acide α-linolénique, peut assouplir les vaisseaux sanguins, protéger les cellules endothéliales vasculaires, réduire les dépôts de lipides et améliorer la fonction de fibrinolyse ; il s'agit actuellement de l'acide gras qui manque le plus à l'organisme.
La Société chinoise de nutrition, édition 2013, recommande l'acide alpha-linolénique, apport quotidien, 1600-1800 mg.
Une cuillerée de cette combinaison d'huiles de cuisson est très bénéfique pour réguler les vaisseaux sanguins et améliorer la santé cardiovasculaire.

Quatre contrôles : alcool et tabac, ne pas trop boire
Les patients atteints d'un infarctus cérébral qui fumaient avaient 2,5 fois plus de risques d'avoir un infarctus cérébral que ceux qui ne fumaient pas.
Le tabagisme, qui accélère le processus d'athérosclérose, accélère le rythme cardiaque, augmente la pression artérielle systolique et diastolique et accroît le risque d'infarctus cérébral.
L'alcool entraîne non seulement une augmentation de la pression artérielle et du risque d'infarctus cérébral, mais aussi une accélération des battements du cœur, ce qui accroît la charge sur le cœur et met en péril la santé cardiaque.
Par conséquent, pour prévenir les attaques cérébrales, vous devez lutter contre le tabagisme et l'alcoolisme.

Cinq contrôlez vos émotions, ne vous énervez pas
Les hauts et les bas émotionnels excessifs, les grandes joies et les grandes peines, et la surexcitation peuvent déclencher la survenue d'un infarctus cérébral.
Si, pendant une longue période, une personne se trouve dans un état de tension, de dépression ou de fatigue, elle est susceptible de provoquer l'apparition d'un vasospasme, qui entrave la circulation normale du sang dans l'organisme et finit par provoquer la formation de caillots sanguins.
Le contrôle des émotions et le maintien d'un esprit calme et stable peuvent donc réduire la fréquence des infarctus cérébraux.

Six contrôler le sommeil, ne pas se coucher tard
Les nuits prolongées et le manque de sommeil peuvent également augmenter le risque d'infarctus cérébral.
Avec peu de sommeil, le cerveau ne se repose pas suffisamment, ce qui peut entraîner une lenteur des réactions et une instabilité des émotions, peu propices à la prévention de l'infarctus cérébral.
Le fait de veiller tard entraîne également la sécrétion par l'organisme d'un grand nombre d'hormones qui, à leur tour, provoquent la contraction des vaisseaux sanguins, ce qui entrave le flux sanguin et augmente la viscosité du sang, entraînant l'obstruction des vaisseaux sanguins et, par conséquent, l'infarctus du myocarde.
Ne vous couchez pas tard, veillez à dormir suffisamment, afin que le cerveau et le corps disposent d'un temps de repos suffisant.

Les diabétiques ne doivent-ils prêter attention qu'à leur glycémie ? C'est la raison pour laquelle de nombreuses personnes souffriront de maladies cardiovasculaires soudaines. La plupart des gens pensent que le diabète ne nécessite qu'un contrôle suffisant de la glycémie, mais en fait, pour les patients diabétiques, en plus du diabète lui-même, il y a beaucoup d'autres risques, c'est-à-dire qu'il y aura beaucoup de complications, donc pour les patients diabétiques, il faut également faire attention aux autres conditions de l'organisme, en particulier le diabète Les personnes atteintes de diabète sont également sujettes à des comorbidités avec d'autres maladies chroniques, qui représentent également des dangers accrus pour l'organisme.

Pour les patients diabétiques, il existe également une possibilité d'infarctus cérébral, les déclencheurs de l'infarctus cérébral sont l'hypertension artérielle et l'athérosclérose, et ces deux problèmes ne présentent généralement aucun symptôme, mais on peut également trouver certains indices, tels que
1. vertige soudain.
2. engourdissement soudain des membres.
3. des troubles soudains de l'élocution ou une rigidité de l'élocution.
4. apparition soudaine de chutes inexpliquées.
5. apparition soudaine d'une vision floue momentanée.
Si ces symptômes apparaissent, cela signifie qu'il peut s'agir d'une maladie cérébrovasculaire, si elle n'est pas traitée à temps et contrôlée, il y a un risque d'infarctus cérébral, en particulier pour les patients diabétiques, qui doivent prêter une attention particulière aux différents symptômes de l'organisme.
En fait, il n'est pas difficile de la prévenir, en plus de contrôler la glycémie, mais aussi de contrôler raisonnablement le poids, en plus d'éviter les aliments à indice glycémique élevé, mais aussi de veiller à manger moins d'aliments frits, moins de repas riches en graisses, de contrôler l'apport énergétique total, de manger plus de légumes frais, de faire de l'exercice modéré chaque jour pendant une heure, de boire de l'eau en quantités suffisantes (1 500 à 1 700 ml). En particulier, nous devrions veiller non seulement à ne pas fumer, mais aussi à nous éloigner de l'environnement des fumeurs, afin d'éviter que la fumée secondaire n'endommage les vaisseaux sanguins.
infarctus cérébralL'infarctus cérébral est un état de nécrose ou de ramollissement des tissus cérébraux locaux causé par l'ischémie et l'hypoxie dans le cerveau en raison de l'obstacle à l'approvisionnement en sang du cerveau. Si la circulation sanguine dans la zone ischémique ne peut être améliorée à temps après la survenue d'un infarctus cérébral, celui-ci peut avoir des conséquences négatives graves et représenter un grand danger pour la santé humaine.

M. Fong, 60 ans, a été diagnostiqué diabétique il y a environ cinq ans et n'y a pas prêté une attention particulière à l'époque, car il s'agissait d'une maladie relativement bénigne.
Cette fois-ci, M. Fong prenait son petit-déjeuner, a fait tomber accidentellement ses baguettes par terre, s'est penché pour les ramasser et s'est aperçu que son membre droit n'obéissait pas, le côté droit de son corps s'est soudainement engourdi, les baguettes n'ont pas été ramassées et la personne s'est évanouie sur le sol.

Les membres de la famille ont vu, immédiatement composé le 120, le médecin est arrivé, une compréhension générale de la situation, à l'hôpital immédiatement effectué un examen du cerveau ct, les résultats montrent que le blocage du cerveau est grave, immédiatement effectué la thérapie thrombolytique, parce que l'état est plus grave, pas la première crise d'infarctus cérébral, donc cette fois, donner en vertu de la maladie critique.
De manière inattendue, le médecin communique avec la famille, l'électrocardiographe de la chambre de M. émet un son d'alarme perçant, il voit la situation, fait immédiatement un scanner du cerveau, qui montre en fait une rupture des vaisseaux sanguins du cerveau, une hémorragie massive, et n'attend pas que le médecin le réanime, la personne est partie.
Doc : L'infarctus cérébral est une complication fréquente du diabète !
L'infarctus cérébral induit par le diabète est surtout fréquent dans les infarctus de petite et moyenne taille, l'infarctus est souvent inférieur à 0,2 cm, les symptômes n'apparaissent pas facilement, ils se manifestent principalement par une faiblesse, un engourdissement des membres, etc. et parfois par des troubles intellectuels, mentaux et du langage.
3 Signes de diabète, attention aux complications, ne pas ignorer !
Signal 1 : Incontinence urinaire
De nombreux patients atteints de diabète présentent des signes d'incontinence urinaire, qui peuvent être dus à l'apparition d'une neuropathie autonome diabétique. Il s'agit d'un symptôme précoce qui peut évoluer vers une rétention urinaire, voire une incontinence urinaire, s'il n'est pas pris au sérieux.
Signal 2 : Anomalies de la peau
La peau est sèche et démange, ce qui est un signe précoce de complications du diabète.
L'hyperglycémie prolongée provoque une atrophie plus ou moins importante des fibres nerveuses, ce qui entraîne des anomalies de la fonction nerveuse et des réactions cutanées anormales.

Signal 3 : Perte de vision, difficulté à voir
Lorsque la glycémie est trop élevée, le glucose et ses métabolites pénètrent dans le cristallin, ce qui augmente la puissance de réfraction et peut entraîner une myopie transitoire.
Dans les premiers stades de la rétinopathie, des hémorragies peuvent se produire et, lorsque le sang s'écoule, il peut bloquer l'image des objets, ce qui se traduit par des symptômes de vision floue et de difficulté à voir.

Patients diabétiques, appliquez ces 5 points en semaine, la glycémie sera stable, les complications ne viendront pas vous perturber !
Point 1 : Manger régulièrement des aliments qui réduisent la teneur en sucre
En temps normal, les patients diabétiques doivent suivre les conseils du médecin, accepter le traitement médicamenteux habituel, mais aussi un régime alimentaire scientifique et raisonnable, des aliments hypoglycémiants peuvent souvent être consommés lors d'un repas.

courge amère
Le melon amer contient une substance semblable à l'insuline qui peut réguler efficacement la glycémie. En outre, le melon amer est riche en vitamines qui améliorent le métabolisme du sucre et en fibres alimentaires qui inhibent l'absorption du sucre.
Le melon amer a également pour effet de faire perdre du poids, d'éliminer la chaleur et les toxines et de favoriser l'appétit. D'autre part, il peut améliorer de manière significative l'efficacité des médicaments hypoglycémiants pour les patients diabétiques et raccourcir la durée du traitement. C'est pourquoi le melon amer est considéré comme une "cuisine et une salle" de "l'aide judicieuse".

la mauve à grappes (Malva verticillata)
L'effet hypoglycémiant du gombo est également très important : il contient des fibres alimentaires hydrosolubles, qui ne sont pas facilement digérées et absorbées par le corps humain, de sorte qu'elles peuvent s'enrouler autour des molécules d'amidon produites par d'autres aliments, sans être décomposées par l'enzyme amylase dans le tractus intestinal, et lorsque le taux de décomposition de l'amidon diminue, la glycémie du corps est abaissée en conséquence.

莴笋
La laitue contient peu d'hydrates de carbone et de sels inorganiques, sa teneur en vitamines est élevée, ce qui en fait un légume extrêmement sain ; elle contient notamment de la niacine, qui peut améliorer la fonction du pancréas, stimuler la sécrétion d'insuline et jouer ainsi un rôle dans la réduction de l'efficacité de la glycémie.
Point 2 : Boire régulièrement du thé à teneur réduite en sucre
La consommation de thé peut réduire le risque de diabète de type 2, car le thé peut affecter le métabolisme du glucose et empêcher l'augmentation du taux de glucose, et les polyphénols qu'il contient sont plus propices au contrôle de la glycémie. Les amateurs de sucre peuvent également boire des boissons santé à base de thé en temps normal, l'efficacité est encore meilleure.
Gugguldin Thé de feuilles de mûrierLes feuilles de Gu Gu Ding, les feuilles de mûrier, deux ensemble, faites du thé, buvez de l'eau tous les jours, ont pour effet de faire baisser le taux de sucre, mais aussi de satisfaire le "désir de la bouche et de la langue".
Ganiya DongLe pissenlit, un légume sauvage commun également connu sous le nom de pissenlit, est réputé pour sa capacité à évacuer la chaleur et le feu, et à réduire l'inflammation et les nœuds. Des études ont montré que l'extrait aqueux de pissenlit a pour effet d'abaisser la glycémie normale et postprandiale.
feuille de mûrierSelon le "Shen Nong Ben Cao Jing", il est appelé "Shen Xian Ye", qui a pour effet de nourrir le yin et de tonifier le sang, d'évacuer la chaleur du vent, de favoriser le foie et de promouvoir le qi, d'abaisser la tension artérielle et d'induire une diurèse.

En clinique, les praticiens de la médecine chinoise utilisent les feuilles de mûrier pour le traitement dephimosisqui est également connu sous le nom de diabète dans la médecine moderne.
Les données de la recherche nationale et internationale confirment que les feuilles de mûrier ont un effet hypoglycémiant, et que ses principaux composants, les alcaloïdes, peuvent inhiber l'action des enzymes dans le processus du métabolisme du sucre, tandis que les polysaccharides peuvent favoriser l'analyse de l'insuline par les cellules β, ce qui a pour effet de réduire le taux d'insuline dans le sang.Favoriser l'utilisation cellulaire du sucrepour obtenir un effet hypoglycémique.
La combinaison des deux a pour effet d'abaisser le taux de sucre et de retarder les complications, ce qui est idéal pour les diabétiques, qui le consomment quotidiennement dans l'eau.

Point 3 : L'exercice physique améliore la tolérance au glucose
Des études ont montré qu'une activité physique modérée aide à stabiliser la glycémie dans l'organisme et peut améliorer la condition physique et l'immunité de l'organisme, ainsi que rajeunir les cellules des îlots pancréatiques, ce qui est utile pour contrôler la maladie.
Les méthodes d'exercice suivantes sont efficaces pour réduire la glycémie et les diabétiques peuvent en faire davantage chez eux.

Exercice équilibré de réduction du sucre
Méthodes : debout, les pieds sont naturellement séparés de la largeur des épaules, puis prendre une profonde respiration après 3 séries d'un des pieds en avant d'un demi-pas, le centre de gravité du corps tombe sur l'autre pied, après s'être tenu fermement devant le pied lentement soulevé du sol jusqu'à ce que les cuisses et le sol soient parallèles, maintenir pendant 5 secondes et poser lentement les jambes.
Cela peut contribuer à améliorer l'équilibre de votre corps et à réduire votre taux de sucre dans le sang.

les sauts d'obstacles à l'ouverture et à la fermeture (exercices de gymnastique)
Méthodes : se lever après que les deux bras se soient naturellement abaissés, les avant-bras se balancent vers l'avant, les deux pieds vers le haut sautent à gauche et à droite en s'écartant lorsque les pieds tombants se rejoignent, les deux bras se rétablissent. Sauts continus 10~30 fois, une fois par jour.
Cela peut contribuer à améliorer le métabolisme du corps, ce qui aide à métaboliser le sucre et les lipides dans le corps et favorise la baisse du taux de sucre.

Exercice de saut sur une jambe
Méthodes : les deux pieds se tiennent côte à côte, une jambe pliée vers l'arrière pour ne pas toucher le sol, l'autre jambe légèrement fléchie vers le haut après avoir sauté vers le sol, 10 à 30 sauts continus, une fois par jour.
Cela permet de renforcer la capacité cardiorespiratoire du corps et d'accélérer le métabolisme des sucres pour aider à réduire la glycémie.
Note : Toutes les images proviennent de l'Internet. En cas d'infraction, vous pouvez nous contacter pour que nous les supprimions.
le diabèteLe diabète est devenu une maladie familière pour de nombreuses personnes et les diabétiques sont de plus en plus nombreux.

Selon les rapports statistiques, environ 425 millions d'adultes dans le monde ont souffert de diabète en 2017, avec une moyenne de 1 personne sur 11 souffrant de la maladie. Parmi eux, le nombre de personnes souffrant de la maladie en Chine a atteint 114 millions, avec le fardeau le plus lourd du diabète.
Le diabète en lui-même ne met pas la vie en danger, mais il peut le devenir lorsqu'il devient incontrôlable et qu'il entraîne des complications.
Parmi les nombreuses complications du diabète, la maladie cérébrovasculaire est la plus fréquente et l'une des plus mortelles.

Il y a quelque temps, juste après son 61e anniversaire, Li a dit que son diabète était bon, qu'il n'avait pas de problèmes physiques et qu'il allait fêter ses 70 ans, mais il ne s'attendait pas à ce que, quelques mois plus tard, il décède d'un infarctus cérébral dû à des complications liées au diabète.
Le diabète de Li a été diagnostiqué il y a plus de dix ans, et il était assez grave à l'époque. Il a été hospitalisé pour une période de traitement, et il a également pris des médicaments hypoglycémiants pendant environ deux ans après sa sortie de l'hôpital.
Le médecin a suggéré à Li d'arrêter de prendre le médicament et d'essayer de le combiner à un régime alimentaire et à de l'exercice physique pour voir s'il pouvait maintenir sa glycémie stable.

Depuis un an, la glycémie de Li Old Man est assez stable, ce qui l'incite à se laisser aller, à penser que sa maladie se porte bien et à ne pas mesurer sa glycémie tous les jours, et à ne pas se rendre à l'hôpital pour un examen.
Le vieil homme Li, avant le début de l'apparition de la maison d'un ami, avait bu, l'alcool se sent étourdissements et des maux de tête, Li vieil homme n'a pas pris soin, s'est endormi, minuit soudainement vomir, ne peut pas parler clairement, la famille envoyé d'urgence à l'hôpital, confirmé comme une complication du diabète de l'infarctus cérébral.
Les médecins l'ont réanimé pendant plusieurs heures, mais n'ont finalement pas pu sauver Li Laohan.

Risques cérébrovasculaires du diabète
L'une des complications fatales du diabète est d'ordre cardiovasculaire. Elle se traduit principalement par des lésions microvasculaires diabétiques de l'aorte, de l'athérosclérose des artères cérébrales et par une hyperplasie endothéliale étendue des petits vaisseaux sanguins et un épaississement de la membrane basale des capillaires.
L'élévation de la glycémie entraîne l'apparition d'une hyperglycémie, d'une hyperlipidémie et d'une hypertension artérielle, ce qui conduit à une augmentation progressive de la morbidité et de la mortalité liées aux maladies cardiovasculaires et cérébrovasculaires du diabète. Les maladies cardiovasculaires comprennent les maladies coronariennes, les infarctus cérébraux, les hémorragies cérébrales, l'insuffisance cardiaque diabétique et l'arythmie.

Le taux de complication et de mortalité des maladies cardiaques et cérébrovasculaires diabétiques est 3,5 fois plus élevé que celui des patients non diabétiques, et il s'agit de la principale cause de mortalité dans le diabète de type 2.
Les médecins rappellent : aux diabétiques, 5 signaux pour consulter un médecin, vérifier le scanner cérébral
1, vertiges brusquement aggravés, et accompagnés de la rotation du ciel, de nausées, de vomissements .
2. aggravation soudaine des maux de tête, ou aggravation de maux de tête intermittents en maux de tête sévères et persistants.

3. apparition soudaine de troubles des mouvements des membres ou de troubles sensoriels, en particulier confinés à un côté du corps engourdissement soudain des membres, de la langue, du visage.
4. des troubles de l'élocution soudains ou temporaires et des difficultés de déglutition.
5. les yeux apparaissent soudainement et ne voient plus rien pendant un moment, même une insomnie soudaine et momentanée.
Les patients diabétiques, la conservation du système cérébro-vasculaire, manger deux fois, boire deux fois, éviter deux choses.
Mangez deux aliments :

1, Ashiwaki
Les asperges sont l'aliment favori de nombreuses personnes, elles sont généralement consommées de manière appropriée, pour contrôler la glycémie, les lipides sanguins et la tension artérielle, mais aussi pour restaurer la jeunesse et l'élasticité des vaisseaux sanguins, pour prévenir le vieillissement et le durcissement des vaisseaux sanguins, etc.
Les asperges contiennent de l'acide folique, des caroténoïdes qui peuvent améliorer le métabolisme de l'homocystéine dans l'organisme, améliorer le métabolisme du glucose sanguin, jouer un rôle dans la réduction de la glycémie, en outre, après la baisse de la glycémie, les asperges riches en fibres peuvent également stabiliser la glycémie.
Par conséquent, les diabétiques souhaitant prévenir l'infarctus cérébral, une consommation appropriée d'asperges permet généralement d'obtenir de bons résultats.

2. huile de graines de corossol d'automne
L'huile de graines d'akasu est de couleur jaune clair, avec une huile clarifiée et une odeur fraîche, et la teneur en acide α-linolénique est la plus élevée, avec environ 66,7 %.
L'acide alpha-linolénique peut prévenir l'agrégation plaquettaire, réduire la viscosité du sang, la vasodilatation, maintenir l'élasticité des vaisseaux sanguins, prévenir le spasme de l'artère coronaire, l'infarctus du myocarde, l'infarctus cérébral et la thrombose, et réduire les maladies cardiovasculaires et cérébrovasculaires.
Parallèlement, l'acide alpha-linolénique peut également augmenter la sensibilité de la régulation du métabolisme du glucose par l'insuline, ce qui est propice à l'amélioration de la tolérance au glucose pour corriger la résistance à l'insuline.
Par conséquent, les diabétiques qui souhaitent prévenir les maladies cardiovasculaires peuvent augmenter leur apport en acide alpha-linolénique en consommant 5 à 10 ml d'huile de graines d'okazu par jour.
Boire deux eaux :

1. le thé aux baies de cerises sauvages
Les cerises sauvages ont l'avantage de réduire à la fois le taux de sucre et de graisse, ce qui les rend idéales pour les diabétiques afin de réduire le taux de sucre et de prendre soin de leurs vaisseaux sanguins.
Des études cliniques ont montré que la baie de cerisier sauvage peut entraîner une réduction significative de la glycémie à jeun chez les diabétiques de type 2. Elle peut réduire le cholestérol total, le cholestérol de faible densité et les niveaux de triglycérides et augmenter les niveaux de cholestérol de haute densité.

2. thé à l'asclépiade et à la feuille de lotus
Le mélange de jus de lait, d'herbe, de feuilles de lotus et de douce-amère à petites feuilles, associé à l'infusion d'eau pour boire le thé, est également capable d'abaisser le taux de sucre et de clarifier le sang, ce qui convient aux patients diabétiques pour réguler le taux de sucre dans le sang, tout en prévenant les maladies cardiovasculaires et cérébrovasculaires.
L'asclépiade régule la glycémie postprandiale et augmente le taux de HDL, qui agit comme un régulateur lipidique.
La feuille de lotus est traditionnellement utilisée pour abaisser la tension artérielle et les lipides, et peut être très utile pour améliorer l'état visqueux du sang, pour entretenir les vaisseaux sanguins et pour prévenir les maladies vasculaires.
Les amers à petites feuilles peuvent réduire l'apparition de l'athérosclérose et ont également un effet anti-peroxydation lipidique.
Jaloux de deux choses :

1, éviter la dépendance au tabac et à l'alcool
Bon fumeur, aime boire, facile à provoquer un infarctus cérébral.
Les patients atteints d'un infarctus cérébral qui fumaient avaient 2,5 fois plus de risques d'avoir un infarctus cérébral que ceux qui ne fumaient pas.
Le tabagisme, non seulement accélère le processus d'athérosclérose, mais tend également à accélérer le rythme cardiaque, à augmenter la pression artérielle systolique et diastolique et à accroître le risque d'infarctus cérébral.
De même, la consommation d'alcool augmente la pression artérielle et accélère le rythme cardiaque. Lorsque les cigarettes et l'alcool vont de pair, les dommages sont de 1+1>2.

2, éviter les troubles du travail et du repos
À notre époque, il est devenu normal de rester éveillé la nuit et de ne pas se lever le matin.
Cependant, une telle routine désordonnée est également très défavorable au système cardiovasculaire.
Le manque de sommeil et la sécrétion par l'organisme d'hormones de stress, telles que l'adrénaline, provoquent une augmentation de la pression artérielle, ce qui peut facilement provoquer une crise cardiaque aiguë et un infarctus cérébral.
Ne pas se lever le matin n'est pas non plus bon pour la santé, notamment parce que cela peut entraîner des problèmes d'estomac tels que des ulcères.
Il est donc important de maintenir une bonne routine.
Note : Toutes les images proviennent de l'Internet. En cas d'infraction, vous pouvez nous contacter pour que nous les supprimions.
Weng Jianping, expert en chef du département des maladies endocriniennes et métaboliques de l'université Sun Yat-sen, a souligné un jour que 75 % des patients diabétiques meurent de maladies cardiovasculaires et cérébrovasculaires ! Le diabète n'est rien d'autre qu'une hyperglycémie, ce qui n'est pas effrayant en soi. Ce qui est effrayant, ce sont les complications causées par le diabète, l'hyperglycémie à long terme endommageant les vaisseaux sanguins, les nerfs, le système immunitaire, etc. de tout le corps, et le risque d'infarctus cérébral est plusieurs fois supérieur à celui des personnes en bonne santé.
Les diabétiques, le corps apparaît les "3 signaux" suivants doivent être la première fois à l'hôpital, il est probable qu'il s'agisse d'un infarctus cérébral !
1. les coins de la bouche sont crochus :Les premières crises d'infarctus cérébral se manifestent souvent par la chute d'un côté du visage, le coin de la bouche penché d'un côté et l'écoulement incontrôlable de salive par le coin de la bouche ;
2. un côté du bras ou de la jambe n'a pas de force :L'infarctus cérébral se produit généralement d'un côté de la tête, parce qu'un côté de la tête est dominé par le mouvement du côté opposé des membres, donc si un infarctus cérébral se produit d'un côté de la tête, souvent le côté opposé des bras et des jambes n'a pas de puissance, si vous constatez qu'un côté des bras et des jambes a diminué de puissance, vous devez également vous rendre à l'hôpital dès la première fois pour voir un médecin ;
3. le discours n'est plus bon :L'infarctus cérébral affecte le centre de la parole et les muscles du pharynx, du visage et de la langue, ce qui se traduit par une mauvaise élocution, des troubles de l'élocution, voire une incapacité à s'exprimer.
Dans la profession médicale, nous avons un dicton qui dit "Le temps est un cerveau."Plus tôt vous vous rendrez à l'hôpital et interviendrez en cas d'infarctus cérébral, plus vous pourrez sauver de tissu cérébral, et plus vous tarderez, plus le tissu cérébral ischémique se nécrosera ! Il faut donc se rendre à l'hôpital dès l'apparition des trois signaux ci-dessus !
Bien que l'infarctus cérébral soit fréquent, les patients diabétiques n'ont pas besoin d'être trop nerveux, en contrôlant leur alimentation, en améliorant leur exercice physique, en prenant régulièrement des médicaments pour contrôler leur glycémie, en surveillant fréquemment les changements de glycémie, en maintenant une glycémie stable, l'infarctus cérébral sera loin de vous !
Je suis un médecin généraliste, il n'est pas facile de coder, vos likes, commentaires, attention est la plus grande affirmation de moi. Si vous le trouvez utile, vous pouvez aussi le faire suivre à vos amis !
Ces questions et réponses proviennent des utilisateurs du site, elles ne représentent pas la position du site, s'il y a une infraction, veuillez contacter l'administrateur pour la supprimer.













