Quels sont les facteurs associés aux poussées de psoriasis ?
Quels sont les facteurs associés aux poussées de psoriasis ? 
Environnement, psychologie, infections, traumatismes, alcool, régime alimentaire et droguesLes poussées de psoriasis peuvent être causées par un certain nombre de facteurs. La rubrique "Demandez au médecin" vous fournira des informations détaillées sur ces facteurs et sur les moyens de prévenir les poussées de psoriasis.

facteur environnemental
La saison et le climat peuvent induire le psoriasis, l'humidité étant un facteur déclenchant courant. Si vous restez longtemps dans un environnement humide, notamment pour travailler sous l'eau, votre peau sera facilement imprégnée et vésiculeuse, et il est facile pour un grand nombre de bactéries de se multiplier, provoquant des infections cutanées et la morbidité.
Méthodes de réponse :
Veillez à ce que l'espace dans lequel vous vous trouvez soit sec, ne stockez pas d'eau et allez moins souvent dans des environnements humides ;
Séchez régulièrement votre literie, séchez-la dès que possible après le bain et ne portez pas de vêtements qui n'ont pas séché ;
Évitez de travailler sous l'eau, ou séchez-vous et mettez des vêtements secs lorsque vous avez terminé ou immédiatement.
facteur psychologique
Des facteurs psychologiques tels que le stress et l'anxiété peuvent amener de nombreux nerfs sensoriels de la peau à libérer des substances qui provoquent le psoriasis.
Méthodes de réponse :
Comprendre et accepter pleinement son état, envisager la maladie sous le bon angle et accepter le traitement de manière calme et rationnelle ;
Il est préférable de parler aux autres et d'exprimer ses sentiments et ses inquiétudes ;
La méditation, qui est bénéfique pour la paix et la santé physique et mentale, réduit la réponse immunitaire de l'organisme au stress.
Infection, traumatisme
Les infections bactériennes, virales et fongiques entraînent l'activation des lymphocytes T dans l'organisme et la production de cytokines qui participeraient à la formation de kératine dans le psoriasis. Les traumatismes peuvent exacerber le psoriasis en provoquant une prolifération des kératinocytes, et les kératinocytes en prolifération peuvent activer les lymphocytes T.
Méthodes de réponse :
Prenez des précautions pour vous protéger en évitant de vous rendre dans des lieux très fréquentés pendant la saison de forte infection et en vous tenant au chaud pendant la saison froide ;
Portez des protections et soyez vigilants lorsque vous effectuez des travaux qui présentent un risque de traumatisme ;
Consultez un médecin en cas d'infection ou de traumatisme et informez votre médecin de vos antécédents médicaux complets, tels qu'un psoriasis antérieur.
boire du vin
D'une part, l'alcool, en particulier l'alcool fort, peut directement dilater les vaisseaux sanguins, faciliter la libération des neutrophiles, s'infiltrer dans l'épiderme et provoquer des réactions inflammatoires. D'autre part, l'alcool peut également aggraver le psoriasis par une série de réactions.
Méthodes de réponse :
S'abstenir autant que possible de boire de l'alcool, ou boire <1 verre par jour, <4 verres par semaine, <50 ml par occasion pour le vin blanc et <500 ml par occasion pour la bière.
médicament vétérinaire
L'utilisation à long terme de certains médicaments peut induire ou aggraver le psoriasis, tels que les inhibiteurs des récepteurs β-adrénergiques, les inhibiteurs de l'enzyme de conversion de l'angiotensine, les antibiotiques à base de tétracycline, les médicaments antithrombotiques, etc., qui provoquent une insuffisance de kératinisation de la peau, se manifestant par un érythème, des squames et conduisant au psoriasis.
Méthodes de réponse :
Consultez votre médecin avant de prendre des médicaments et dites-lui que vous souffrez de psoriasis afin de choisir le bon médicament ;
Les poussées de psoriasis survenant pendant la prise du médicament doivent être examinées rapidement afin de déterminer si la dose du médicament doit être ajustée ou s'il faut passer à un autre médicament ;
Suivez les instructions du médecin pour utiliser le médicament à temps et conformément à la posologie, n'augmentez pas, ne diminuez pas la posologie et n'arrêtez pas le médicament de votre propre chef.
Bien qu'il n'existe pas de régime spécifique pour le psoriasis, certaines personnes trouvent que certains aliments aggravent ou améliorent leurs symptômes.
Des recherches publiées en 2017 dans l'American Journal of Dermatological Therapeutics ont montré que
Les aliments qui déclenchent le plus souvent le psoriasis sont les suivants :
L'alcool ;
Produits laitiers ;
Gluten, comme le blé, le malt, le seigle, l'orge ;
Sucre ;
Tomates.
D'autres aliments moins courants déclenchent le psoriasis, notamment la viande, les œufs, les aliments transformés, le pain, les sodas et les aliments épicés.
Les régimes alimentaires qui contribuent à améliorer les symptômes du psoriasis sont les suivants :
Régime sans gluten ;
Régime pauvre en glucides (légumes, légumineuses, fruits, etc.) et riche en protéines ;
Régime méditerranéen (à base de légumes et de fruits, de poisson, de grains et de céréales, de légumineuses et d'huile d'olive) ;
Fruits et légumes.
Certains patients utilisent également des compléments alimentaires en vente libre pour gérer leur maladie :
Huile de poisson ou suppléments d'acides gras oméga 3 ;
Les probiotiques ;
Vitamines A, B, C, D, E.
Il est important de consulter votre médecin avant d'utiliser des compléments alimentaires afin d'éviter les effets indésirables liés à votre état de santé ou à d'autres médicaments que vous utilisez.
L'état de chaque personne peut être différent, vous pouvez observer attentivement les changements de votre état après avoir consommé ce produit, et s'il entraîne une aggravation de votre état, veuillez éviter de le consommer.
Conseil : le psoriasis n'est qu'un accident de parcours dans votre belle vie, il faut faire face avec une énergie positive, suivre les conseils du médecin, le traitement et la prévention pour plus d'espoir de le vaincre !
Le contenu ci-dessus a été compilé à partir du groupe de réflexion de l'American Family Physician par "Ask the Doctor". Pour plus d'informations sur la santé faisant autorité et intéressantes, n'hésitez pas à nous suivre !
Les poussées de psoriasis indiquent qu'il n'a pas été complètement guéri et n'a rien à voir avec quelque facteur que ce soit. J'ai déjà guéri complètement des patients atteints de psoriasis sévère en utilisant la théorie de la médecine chinoise pure. Le psoriasis n'est pas affecté et ne réapparaîtra pas pour qu'on puisse parler de guérison. J'aime la médecine chinoise, je suis un amoureux de la médecine chinoise. Je pense qu'il n'y a pas de problème qui ne puisse être résolu par la médecine chinoise. En tant que Chinois, je suis fier d'avoir une théorie scientifique de la médecine chinoise aussi importante.
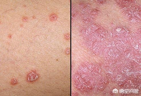
Tout d'abord, le nom médical du psoriasis est psoriasis, qui est une maladie inflammatoire chronique de la peau, susceptible de récidiver et de durer longtemps.
Les principales manifestations cliniques in vitro sont:1, érythème squameux, parfois accompagné de démangeaisons.2, peut être réparti sur tout le corps, le cuir chevelu, les membres sont plus fréquents.3, incidence élevée en hiver.
Classification clinique:1. psoriasis ordinaire.2. psoriasis pustuleux.3. psoriasis érythrodermique.4. psoriasis arthritique.
Les principales causes:1. diverses infections bactériennes détruisent le système immunitaire normal.2. des facteurs génétiques.3. des facteurs endocriniens, généralement plus fréquents chez les femmes.4. le tabagisme et la consommation d'alcool.
Traitement:1. injections toniques intramusculaires.2. glucocorticoïdes.3. méthotrexate.5. supplémentation en vitamine A.6. pommades hormonales topiques.7. anti-infectieux.
Le psoriasis, une maladie de la peau, va donc s'améliorer, mais il s'agit d'une maladie à long terme, et il faut donc être prudent avec les médicaments, en particulier les médicaments hormonaux.
Le psoriasis est une maladie inflammatoire chronique courante de la peau. Elle commence par des papules rouges inflammatoires, de la taille d'un grain de maïs ou d'un petit pois, qui s'élargissent et fusionnent progressivement pour former des plaques brun-rouge.
Il existe six facteurs principaux qui déclenchent le psoriasis :
Tout d'abord, elle est liée à des facteurs génétiques. Si un membre de votre famille est atteint de psoriasis, vous avez environ 30 % de chances d'en être atteint.
Deuxièmement, elle est liée à l'immunité du corps humain. Lorsque l'immunité du corps humain est faible, les bactéries peuvent en profiter, ce qui rend la peau humaine malade.
Troisièmement, le psoriasis est étroitement lié à l'infection. La recherche médicale clinique montre que l'infection streptococcique, l'infection à staphylocoque doré et l'infection fongique ont un lien très étroit avec le psoriasis, et certaines données pratiques montrent qu'environ 6 % des patients atteints de psoriasis ont des antécédents d'infection des voies respiratoires supérieures avant l'apparition du psoriasis.
Quatrièmement, les troubles endocriniens. La recherche médicale clinique montre que certains patients atteints de psoriasis présentent des troubles endocriniens dans leur organisme, qui se manifestent principalement par un déficit de sécrétion de l'hormone adrénocorticotrope et de l'hormone sexuelle.
Cinquièmement, elle est liée à l'état mental d'une personne. S'inquiéter beaucoup peut facilement conduire à des problèmes physiques, et certaines personnes peuvent souffrir de psoriasis.
Sixièmement, le psoriasis est également étroitement lié à des facteurs tels que le mode de vie, l'environnement et les médicaments. Les personnes qui abusent souvent de l'alcool, qui fument et qui prennent des médicaments stimulants ont également un risque plus élevé de développer un psoriasis.
Si vous aimez cet article, n'hésitez pas à le liker ou à le recommander à un(e) ami(e). Pour plus d'informations sur la peau, veuillez vous adresser à [Hu Yunfeng, dermatologue] !
Actuellement, le psoriasis est une maladie internationale qui ne peut être éradiquée, tout comme d'autres maladies telles que l'hypertension artérielle, le diabète et le cancer, et à ce jour, aucune équipe médicale n'a déclaré que le psoriasis avait été vaincu. Le corps humain est également très mystérieux, il y a beaucoup de maladies qui ne peuvent pas trouver la cause première de la maladie. Vouloir guérir n'est qu'une guérison clinique, la récidive est également inévitable. Seule l'attention portée à l'entretien et à la modification de la qualité physique permet de la contrôler ; après la guérison, la récurrence sera également contrôlée par l'entretien et le contrôle afin de pouvoir s'autoguérir.
La cause de la maladie ne peut être trouvée, c'est pourquoi nous avançons actuellement des facteurs de causalité empruntés à d'autres maladies de la peau et aux soins de santé, mais le psoriasis héréditaire est certain, cette maladie n'est pas contagieuse, mais héréditaire, c'est pourquoi la famille a des antécédents génétiques d'amis qui doivent faire attention à la prévention. Si l'on inclut les enfants dans la famille, il y a suffisamment de conditions déclenchantes pour que la maladie apparaisse. C'est pourquoi, lorsque je communique avec des patients dans les manchettes, j'ai toujours suggéré que non seulement nous devrions faire attention à nous-mêmes, mais aussi que les enfants de notre famille devraient être prévenus à l'avance. Si vous attendez qu'il soit trop tard, c'est un peu trop tard.
Tout le monde souhaite avoir un corps sain, mais le psoriasis est une maladie chronique de la peau plus tenace. Seule une attention à long terme peut soulager efficacement et retarder la récurrence du psoriasis.
Traumatisme : de nombreux patients appartiennent à cette catégorie, je suis également victime d'un traumatisme, une patiente a eu un accident de voiture après l'apparition du psoriasis. Y compris dans le processus de traitement, si vous ressentez des démangeaisons, si vous vous grattez ou si vous vous frottez involontairement à une blessure, cela peut être déclenché. Non seulement les patients eux-mêmes souffriront, mais le traitement sera plus difficile.
Alimentation : beaucoup de maladies sont liées à la consommation d'aliments, les gens disent que certains cheveux avant la guérison ne doivent pas être mangés, les aliments riches en calories et en graisses sont faciles à déclencher, vous ne voulez pas vivre heureux avec la bouche et la peau en mauvais état.
Physique:Les gens ne sont pas les mêmes, le physique n'est pas le même, pour ne pas avoir de maladie il faut avoir un bon physique, la vie c'est le mouvement, seulement adhérer à l'exercice, faire attention au repos et changer les mauvaises habitudes. Pour que vous puissiez avoir un bon corps, pour les patients tabous, le corps manquera beaucoup de vitamines, vous pouvez manger plus de fruits et boire plus d'eau pour consommer des vitamines en complément.
Peau:Seule une peau sèche peut entraîner des maladies de la peau, le temps est sec au printemps et en automne toute l'année, le bain ne doit pas être trop rigoureux, la température de l'eau ne doit pas être trop élevée, le contrôle de l'huile et les produits de toilette alcalins ne doivent pas être utilisés, il est préférable d'utiliser un gel douche, après le bain, vous pouvez utiliser de la glycérine, de l'huile d'olive, un tire-bouchon et d'autres produits de soin de la peau pour réduire la sécheresse de la peau. Le froid hivernal doit être maintenu au chaud, le froid et le chaud ne sont pas seulement propices à la fièvre froide, ils peuvent également provoquer un psoriasis grave.
Bonjour, je suis Little Kirin, le petit gars de Siu Lun Tong.
À ce jour, la cause du psoriasis n'est pas bien comprise. Ce qui est certain, en revanche, c'est queLe psoriasis est un processus dans lequel des bactéries et des virus spécifiques de l'organisme, qui s'infiltrent de la circulation sanguine dans le tissu sous-cutané, se reflètent sur la surface du corps.
La formation du psoriasis peut être liée à ces aspects :
1. les facteurs génétiques : si un membre de votre famille est atteint de psoriasis, vous risquez de l'être également ;
2. les troubles métaboliques et la mauvaise circulation du qi et du sang ;
3. les allergies, la cause la plus probable du psoriasis ;
Pourquoi ? Les personnes qui sont nées avec des allergies sont les plus susceptibles de souffrir. Souvent, elles ne savent même pas pourquoi, elles ont en quelque sorte "gagné à la loterie". En effet.Un régime alimentaire inadéquat peut entraîner des allergies et des infections cutanées susceptibles de déclencher le psoriasis.

En outre, il y a des personnes qui sonthyperimmunitéIl s'agit en fait d'un type d'allergie.
Les gens disent souvent "améliorer l'immunité", mais en fait, l'immunité n'est pas d'autant plus élevée qu'elle est meilleure, une fois élevée trop haut, plus que la paix de l'organisme n'en a besoin, elle est sujette à des symptômes allergiques. Par exemple, rhinite, pneumonie, néphrite, lupus érythémateux, spondylarthrite ankylosante, et bien sûr, psoriasis.
La MTC appelle cet état Wei Qi et Ying Blood.Lorsque les parties du corps ne font pas leur travail respectif et que les organes reçoivent plus de nutriments qu'ils n'en ont besoin, un trouble obsédant apparaît.
En fait, l'hyperimmunité est souvent plus difficile à traiter que l'hypoimmunité.Nous devons réguler notre immunité et maintenir l'équilibre de notre Qi et de notre sang afin de mieux nous défendre contre les virus.
En cas d'inconfort physique, vous pouvez laisser un message à Kirin ou répondre en arrière-plan, Kirin vous répondra à temps !
Psoriasis ou aller voir un médecin régulier bon, ne croyez pas en ce que la prescription, la prescription peut seulement faire la maladie de plus en plus grave, trouver un bon médecin avec la médecine traditionnelle chinoise effet est bon, en outre, ne pas mess manger, plus d'exercice plus d'exercice corps sera naturellement bon, cette maladie et certains est génétique, mais génétique n'est pas nécessairement obtenir le psoriasis, la clé doit également regarder le psoriasis est comment induire, l'immunité du corps est pauvre, la voix est toujours l'amour de l'inflammation, l'estomac et l'intestin n'est pas bon ont souvent Lin baritis. La personne est facile à obtenir, ne pas avoir génétique obtiendra, ajuster un bon esprit, manger plus de légumes vitamines, plus d'exercice moins malade ne sera pas obtenir ce psoriasis méchant, mon enfant est seulement 5 ans est la gorge est toujours l'amour de l'inflammation d'obtenir cette maladie, j'espère que ceux-ci peuvent vous donner une référence, plus l'effet de la médecine rapide, bonne médecine rapide plus sujettes à la récurrence, maintenant essuyer la médecine beaucoup d'hormones, j'espère que tous les amis du patient d'obtenir la maladie ne sont pas anxieux, Ne cherchez pas de médecin, n'allez pas chez le médecin, trouvez un bon médecin dans un hôpital régulier, sinon cela retardera la maladie, cette maladie est une maladie chronique, le traitement jusqu'à passer du temps, janvier et février ne sont pas guéris, au moins 5 mois à la moitié d'une année pour être bon, j'espère être en mesure de vous aider tous.
Selon la médecine chinoise, l'apparition du psoriasis est principalement liée à la chaleur du sang, à l'humidité, à la sécheresse du vent, à la stase sanguine et au déséquilibre de Chong Ren. La médecine moderne estime que l'apparition du psoriasis est liée à l'hérédité, aux infections, aux troubles métaboliques, aux troubles endocriniens, aux facteurs neuropsychologiques et aux troubles immunitaires.
La maladie du psoriasis se situe dans les poumons, et il y a généralement une infection chronique des poumons. Si la peau est infectée par des germes, le traitement est très compliqué et difficile, et il faut recourir à des antibiotiques internes, à l'injection de danshen, à des médicaments antifongiques externes et, enfin, à la crème Shennong Bai Cao pour terminer le travail. Bien sûr, l'effet est meilleur avec Niu Jiao Di Huang Tang plus la mue du serpent et le mille-pattes.
30g de corne de buffle, 30g de dihuang brut, 12g de pivoine, 9g de mudanpi.
Ces questions et réponses proviennent des utilisateurs du site, elles ne représentent pas la position du site, s'il y a une infraction, veuillez contacter l'administrateur pour la supprimer.