Comment savoir si votre cœur est bloqué ?
Comment savoir si votre cœur est bloqué ?
Les vaisseaux sanguins du cœur sont appelés artères coronaires, et l'obstruction des artères coronaires est également connue sous le nom de maladie coronarienne.

Comment puis-je détecter une maladie coronarienne ? Il existe plusieurs moyens
I. L'appréciation des symptômes
1、Présentation d'une angine de poitrine stable
- Une obstruction des artères coronaires entraîne un rétrécissement des vaisseaux sanguins et le cœur lui-même a besoin de moins de sang. Au repos, la situation est normale et aucun manque important de sang ou d'oxygène n'est ressenti.
- En cas d'activité, le cœur a besoin de plus d'oxygène, mais en raison du rétrécissement des vaisseaux sanguins, il n'est pas en mesure de fournir suffisamment d'oxygène. C'est alors que les symptômes de l'angine de poitrine apparaissent.
- L'angine de poitrine se caractérise principalement par une douleur thoracique et une oppression dans la région antérieure du cœur qui durent environ 5 minutes, avec une sensation de mort, qui peut s'accompagner de l'apparition d'une transpiration abondante. Elle est soulagée par un arrêt pour se reposer ou par la prise de nitroglycérine.

2. angine de poitrine instable
- Ce type d'angine est causé par une plaque instable dans le cœur, qui se rompt ou s'ulcère.
- Elle peut survenir au repos ou la nuit. La douleur est plus intense et dure plus longtemps que l'angine stable. La prise de nitroglycérine n'est pas très efficace.

3. les lacunes
- Il n'y a aucun moyen de savoir quelle quantité d'un vaisseau sanguin spécifique est bloquée et lequel est bloqué en jugeant une obstruction cardiaque par des symptômes.
- De nombreuses affections peuvent être à l'origine de douleurs et d'oppressions thoraciques, qui ne sont pas toujours dues à un blocage du cœur.
- Les symptômes de l'angine de poitrine indiquent que le rétrécissement des artères coronaires est plus grave. La situation est d'autant plus dangereuse que l'angine de poitrine est instable. À en juger par les symptômes, il n'y a aucun moyen de prévenir l'angine à un stade précoce.
II. jugement par le biais de divers examens
1. électrocardiogramme au repos
- Le blocage du cœur entraîne une ischémie myocardique, qui se manifeste sur l'ECG par un abaissement du segment ST.
- Toutefois, cette méthode n'est pas très sensible, c'est-à-dire qu'elle ne permet pas de détecter les maladies coronariennes. Certaines personnes sont atteintes d'une maladie coronarienne alors que leur cœur est bloqué. Pourtant, son ECG est normal. La proportion de ces personnes représente la moitié des patients atteints de maladie coronarienne.
2. électrocardiogramme ambulatoire de 24 heures
- L'appareil ECG est placé sur le corps et contacté pour surveiller l'état de l'ECG pendant 24 heures.
- Si une angine de poitrine apparaît au cours de cette période de 24 heures, un ECG anormal peut être enregistré.

3. l'expérience de la plaque de mouvement
- L'examen est réalisé en faisant courir le patient, comme sur un tapis roulant. L'angine est créée artificiellement, puis l'ECG est enregistré au fur et à mesure que l'angine se produit.

4. imagerie coronaire par tomodensitométrie
- Les artères coronaires sont examinées par injection d'un produit de contraste dans le corps, puis par tomodensitométrie. Il s'agit du meilleur examen qui puisse être réalisé en ambulatoire.
- La reconstruction en 3D permet de voir si les artères coronaires sont légèrement sténosées ou sévèrement sténosées et si ces vaisseaux sont problématiques.
- Cependant, par rapport à la coronarographie, il n'est pas possible de voir clairement quel pourcentage du vaisseau est rétréci.

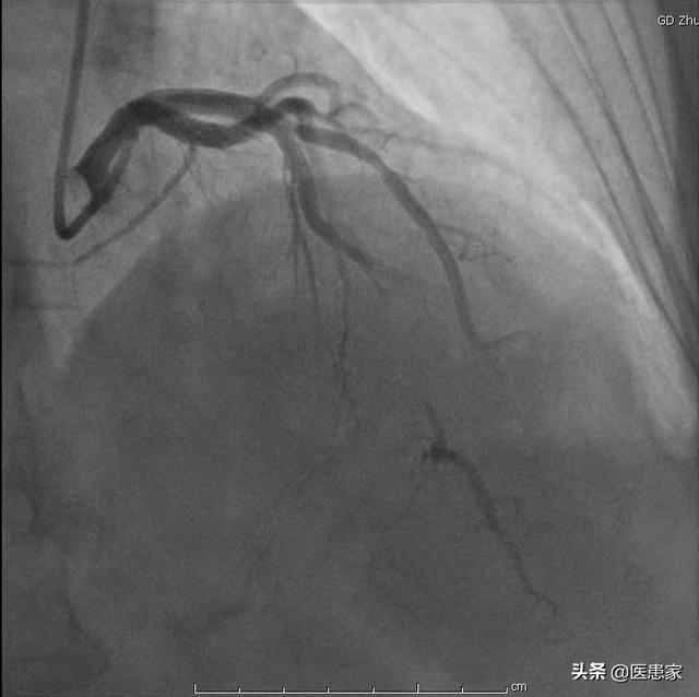
5. angiographie coronaire
- La coronarographie nécessite une hospitalisation et est invasive.
- Il a l'avantage d'être bien visible, ce qui est actuellement l'étalon-or du diagnostic coronarien, et si un certain examen révèle que l'obstruction est très grave, un stent peut être mis en place directement, sans qu'une seconde opération soit nécessaire.
- L'inconvénient est que les tests sont coûteux, nécessitent une hospitalisation et sont invasifs.

6. échographie des artères carotides
- L'échographie carotidienne permet d'examiner les artères carotides. Les artères carotides peuvent faire l'objet d'une échographie directe car elles sont proches de la peau.
- Bien que l'échographie carotidienne ne permette pas de voir les vaisseaux sanguins du cœur, les artères carotides et coronaires appartiennent au même système artériel. Cependant, les artères carotides et coronaires appartiennent au même système artériel.
- L'artère carotide est l'équivalent d'une fenêtre sur les vaisseaux sanguins de l'ensemble du corps, et si l'échographie de l'artère carotide révèle un épaississement de l'intima-média, c'est-à-dire la formation d'une plaque. C'est un signe clair qu'une plaque peut s'être formée dans le cœur également.
- Dans ce cas, les spécificités du cœur ne sont pas claires. Mais il est possible de commencer par la prévention. Par exemple, le contrôle des facteurs de risque tels que l'hypertension artérielle et le diabète, les interventions sur le mode de vie, etc.

résumés
- Voici quelques moyens de savoir si votre cœur est bloqué ou non, principalement par le biais de symptômes et d'examens.
- Parmi ces examens, je pense personnellement que l'échographie carotidienne est encore plus importante. En effet, en cas de symptômes d'angine de poitrine, le vaisseau est rétréci d'au moins 70 %. Et s'il n'y a pas de symptômes, je pense que personne ne fera un effort particulier pour vérifier le scanner coronaire, le test de la plaque d'effort, l'ECG de 24 heures, sans parler de l'angiographie coronaire.
- Bien qu'un électrocardiogramme puisse être vérifié lors d'un examen médical, il y a toujours une chance sur deux que l'électrocardiogramme soit normal même s'il y a un problème au niveau des vaisseaux sanguins.
- L'échographie carotidienne est un moyen plus visuel de voir ce qui se passe à l'intérieur des vaisseaux sanguins. L'état des artères carotides est révélateur des vaisseaux sanguins de l'ensemble du corps.
- Par conséquent, si un examen physique ou tout autre test révèle la formation d'une plaque carotidienne, il convient de le prendre au sérieux. En effet, à ce stade, le cœur peut déjà présenter un certain degré de rétrécissement.
Je suis Chen Dafu, qui insiste sur la science, veuillez me féliciter et m'accorder votre attention si vous êtes satisfait de ma réponse. Votre soutien est la plus grande motivation de ma création.
La plus grande crainte du cœur est l'obstruction, et une obstruction complète du cœur est un infarctus du myocarde, qui peut mettre en danger la vie du patient, voire entraîner une mort subite.
I. Ampleur de l'obstruction cardiaque

Les vaisseaux artériels cardiaques augmentent avec l'âge, notamment en cas d'hypertension, de diabète, d'hyperlipidémie et de mode de vie malsain, entre autres facteurs. Cela peut conduire à l'accumulation de déchets à l'intérieur du système cardiovasculaire et à la formation d'athérosclérose, également connue sous le nom de plaque, et l'aggravation progressive de cette plaque peut provoquer une sténose cardiovasculaire, causant une ischémie myocardique.
En règle générale, les sténoses cardiovasculaires inférieures à 50 % sont des sténoses légères ; ce type de sténose n'est généralement pas appelé maladie coronarienne, mais athérosclérose coronarienne ; les sténoses supérieures à 50 % sont appelées maladies coronariennes. Si le degré de sténose est d'environ 50 à 70 %, on parle de sténose modérée. Une sténose de plus de 75 % est une sténose sévère. Lorsque l'obstruction est de 99 à 100 %, on parle généralement d'obstruction complète.
Il existe deux conceptions de l'obstruction : d'une part, on parle d'obstruction lorsqu'elle est complètement bloquée et que le sang ne circule pas, ou presque pas, et d'autre part, les gens pensent qu'un rétrécissement est également appelé obstruction, mais qu'il n'est pas complètement bloqué.
II. détermination de l'obstruction cardiaque complète

L'obstruction complète des vaisseaux sanguins du cœur peut simplement être interprétée comme un infarctus aigu du myocarde, mais comment savoir s'il s'agit d'un infarctus du myocarde ?
Habituellement, nous jugeons s'il y a ou non un infarctus du myocarde en examinant trois indicateurs principaux : les symptômes, l'électrocardiogramme et les marqueurs du myocarde.
1. la performance des patients
Les manifestations de l'infarctus du myocarde sont nombreuses, mais la plus typique est la douleur persistante de type pression thoracique, accompagnée d'une oppression thoracique, d'un essoufflement et de sueurs, ainsi que d'un sentiment de mort imminente. Mais tous les infarctus du myocarde n'ont pas une manifestation aussi typique, certains infarctus du myocarde peuvent également se manifester par des douleurs cardiaques antérieures, des maux de tête, des maux de dents, des douleurs dorsales, des douleurs aux épaules, des douleurs épigastriques, une oppression thoracique et une asphyxie, des sueurs, une sensation de noirceur, une dyspnée, un évanouissement, etc.
2. les manifestations électrocardiographiques
L'infarctus du myocarde selon l'électrocardiogramme est également divisé en deux types : l'infarctus du myocarde avec sus-décalage du segment ST et l'infarctus du myocarde sans sus-décalage du segment ST ; l'infarctus du myocarde avec sus-décalage du segment ST, selon l'électrocardiogramme, permet essentiellement de juger d'un coup d'œil s'il y a un infarctus du myocarde. Mais l'infarctus du myocarde sans sus-décalage du segment ST est l'ischémie myocardique de l'électrocardiogramme, pour déterminer s'il y a un infarctus du myocarde, mais aussi avec des tests sanguins, des marqueurs myocardiques.

3. performance des marqueurs myocardiques
La troponine, la créatine kinase et les isoenzymes sont les principales, c'est-à-dire que ces trois éléments sont prélevés et testés, et s'ils sont élevés, en combinaison avec les symptômes ci-dessus ou les modifications de l'ECG, c'est aussi un moyen de déterminer s'il y a un infarctus du myocarde. Lorsque l'infarctus du myocarde se produit :
Troponine.Elle est cliniquement importante pour le diagnostic et la stratification du risque d'infarctus aigu du myocarde, avec une sensibilité diagnostique de 100 % et une longue durée. Chez les patients souffrant d'un infarctus aigu du myocarde, la libération commence dans les 3 à 6 heures, atteint son maximum dans les 10 à 24 heures, et le temps de retour à la normale de la cTnT et de la cTnI est de 10 à 15 jours et de 5 à 7 jours, respectivement.
Créatine kinase et ses isoenzymes.Le taux sérique de CK est significativement élevé dans l'infarctus du myocarde. Il commence à augmenter 2 à 4 heures après le début de l'infarctus du myocarde, atteint son maximum dans les 24 à 36 heures et revient à la normale en 3 à 5 jours. L'isoenzyme de la créatine kinase est la principale isoenzyme de diagnostic précoce de l'infarctus aigu du myocarde, avec une sensibilité élevée, un taux de détection positive allant jusqu'à 100 % et une spécificité élevée. L'isoenzyme augmente généralement 3 à 6 heures après le début de l'infarctus aigu du myocarde, atteint son maximum en 16 à 20 heures et revient à la normale en 3 à 4 jours.
L'infarctus du myocarde est jugé sur la base de ces 3 points. Si 2 points sont remplis, on peut parler d'infarctus du myocarde, ce qui signifie que le vaisseau sanguin est complètement obstrué.
4. occlusion chronique :
Bien entendu, il s'agit là d'un infarctus aigu du myocarde, c'est-à-dire d'une obstruction aiguë des vaisseaux sanguins par un thrombus ; il existe également un petit nombre de personnes qui ne souffrent pas d'une obstruction aiguë par un thrombus, mais d'une occlusion chronique ; l'électrocardiogramme permet parfois de détecter une manifestation d'infarctus du myocarde ancien, et la tomodensitométrie vasculaire cardiaque ou l'angiographie cardiaque permettent de déterminer si les vaisseaux sanguins sont obstrués.
III. détermination de l'obstruction cardiaque incomplète

Lorsqu'il s'agit d'une occlusion complète, c'est-à-dire lorsqu'un infarctus du myocarde s'est déjà produit, c'est à ce moment-là que chaque seconde compte pour sauver une vie, et beaucoup de gens n'arrivent même pas à l'hôpital avant que la mort subite ne se produise. Afin de la détecter le plus tôt possible, nous essayons tous de la détecter le plus tôt possible avant que le vaisseau sanguin ne soit complètement bloqué, c'est-à-dire lorsqu'il y a déjà une sténose plus grave.
1, l'angine de poitrine est généralement une manifestation d'une sténose cardiovasculaire grave
D'une manière générale, lorsque la sténose cardiovasculaire dépasse 75 %, elle peut provoquer une angine de poitrine, en particulier lorsque l'angine de poitrine survient à l'occasion d'un exercice, d'un travail, etc.
L'angine de poitrine peut se manifester par des maux de dents, des maux de tête, une gêne dans la gorge, des douleurs thoraciques, des douleurs précordiales, des douleurs dorsales, des douleurs aux épaules, des douleurs épigastriques, une oppression thoracique et un essoufflement, etc. Ces manifestations sont particulièrement aggravées par l'activité et soulagées par le repos. Elles durent généralement de 2 à 15 minutes, après quoi le soulagement est normal ; elles peuvent réapparaître après une activité. À ce stade, une sténose cardiovasculaire doit être fortement suspectée.
2. les inspections pertinentes
Un diagnostic préliminaire de sténose cardiovasculaire peut être posé en comparant l'électrocardiogramme (ECG) d'une crise d'angine de poitrine à l'ECG habituel, ou en effectuant un électrocardiogramme (ECG) ambulatoire et un test d'effort. La tomodensitométrie cardiaque ou l'angiographie cardiovasculaire est un examen relativement plus clair qui permet d'obtenir une image plus précise et de déterminer le degré exact de sténose.

En bref, la plupart des blocages des vaisseaux sanguins du cœur, une fois découverts, sont des blocages plus graves, parce que les sténoses légères et moyennes n'ont généralement pas de symptômes, les personnes qui n'ont pas de symptômes ne consulteront pas de médecin, ce qui nous oblige à mettre l'accent sur la prévention, à contrôler strictement l'hypertension artérielle, le diabète, l'hyperlipidémie, à contrôler le poids corporel, à adopter un régime alimentaire sain, à faire de l'exercice, à réduire les heures tardives et le stress, à arrêter de fumer et de boire de l'alcool, et ainsi de suite. De cette manière, nous pouvons prévenir et contrôler l'aggravation de la sténose cardiovasculaire, empêcher l'obstruction cardiovasculaire et prévenir l'infarctus du myocarde.
Au lieu de cela, nous attendons de ressentir des symptômes gênants avant de penser à nous rendre à l'hôpital, alors que la sténose cardiovasculaire a déjà dépassé 75 % ou qu'elle est complètement bloquée et qu'elle met la vie en danger ! Ce qui est encore plus effrayant, c'est que de nombreuses personnes dont les vaisseaux sanguins sont complètement obstrués n'arrivent même pas à l'hôpital avant de mourir subitement, car la plupart des morts subites sont causées par des obstructions cardiovasculaires.
Le cœur est comme une pompe, sauf que la pompe fournit de l'eau à tous les foyers, alors que le cœur fournit du sang à tous les organes et tissus de notre corps.Toutefois, il convient de noter que le cœur lui-même est un organe de notre corps et que, pour fonctionner correctement, il a également besoin d'un approvisionnement en sang, et les vaisseaux sanguins qui l'approvisionnent sont cliniquement connus sous le nom d'artères coronaires.
Par conséquent, il n'y a pas de blocage du cœur lui-même ; ce sont ses vaisseaux sanguins qui peuvent se bloquer.Il s'agit d'une obstruction des artères coronaires qui l'alimentent quotidiennement en sang et en oxygène.
Qu'advient-il de ce bouchon ?Les cas graves peuvent directement entraîner une ischémie et une hypoxie myocardiques ou une nécrose, déclenchant une maladie cardiaque, appelée maladie coronarienne.Et la maladie coronarienne est une maladie qui nécessite une attention particulière.La raison en est qu'elle peut entraîner plusieurs conséquences graves, telles que l'infarctus du myocarde suivi d'un choc cardiogénique, l'arythmie, qui provoque des battements chaotiques du cœur, et même la rupture cardiaque, qui est une complication contre laquelle nous ne pouvons pratiquement rien faire aujourd'hui, en janvier, etc.
Les maladies coronariennes sont ainsi devenues l'une des principales maladies menaçant la santé humaine.Ces dernières années, on observe également une tendance au rajeunissement des groupes d'âge et la prévention de l'infarctus du myocarde et des décès est une priorité absolue !Comment savoir si nos vaisseaux cardiaques sont obstrués ? Nous allons en parler aujourd'hui.

Examinons l'anatomie du cœur
Tout d'abord, il faut savoir que normalement, l'un d'entre nous a un cœur deLes 2/3 se trouvent à gauche de la ligne médiane de chacun, tandis que le 1/3 restant se trouve à droite de la ligne médiane.

Bien sûr.Nous avons vu à la clinique des personnes qui étaient tout à fait à l'opposé.Le cœur se trouve sur le côté droit du corps, et en fait la plus grande partie du cœur se trouve sur le côté droit, mais pas la totalité.Il s'agit d'un problème de développement congénital.。
Les trois artères coronaires principales qui alimentent notre cœur en sang et en oxygène sont divisées par la très courte artère coronaire gauche.artère circonflexe gauche和artère descendante antérieure gaucheaussiartère coronaire droiteIngrédients.

Parmi eux.Les artères circonflexe et descendante antérieure gauches de l'artère coronaire gauche assurent les deux tiers de l'approvisionnement en sang de notre cœur.Le blocage de l'artère coronaire gauche est donc beaucoup plus grave que celui de l'artère coronaire droite !
Comment a-t-on pu dire qu'une artère coronaire en parfait état s'était bouchée ?En fait, la raison principale est que notreLésions athérosclérotiques dans les artères coronairesCela entraîne le dépôt de lipides et d'autres impuretés sur les parois des vaisseaux sanguins pour former des plaques, et ensuiteAu fur et à mesure que cette plaque grossit, nos vaisseaux sanguins deviennent de plus en plus petitsLorsqu'il devient plus petit, il est inévitable que l'apport initial de tant de sang ne puisse plus en fournir autant, ce qui entraîne une ischémie ou une nécrose du myocarde, déclenchant l'apparition d'une maladie coronarienne.

Ce point, en fait, nous pensons au robinet de la maison, il est également clair qu'avec le temps, la paroi de ce tuyau d'eau peut être déposée de plus en plus d'impuretés, ce qui fait que ce tuyau d'eau devient de plus en plus étroit, de plus en plus étroit après que l'eau soit sortie du robinet, certainement dans nos maisons sur l'eau est petite, et même sérieuse sur l'eau sortie de l'eau.
Les causes de l'athérosclérose dans nos vaisseaux sanguins sont nombreuses et résultent d'une combinaison de facteursqui, selon les estimations actuelles, est principalement liée aux points suivants :
Premier point.l'âge (d'une personne)C'est quelque chose que nous ne pouvons pas changer. En effet, lorsque les gens vieillissent, leurs vaisseaux sanguins vieillissent avec eux, ce qui est irréversible. C'est également la raison pour laquelle, lorsque les gens vieillissent, beaucoup d'entre eux souffrent de maladies coronariennes ou d'autres maladies cardiovasculaires ;
Deuxième point.Les personnes ayant des antécédents familiaux d'athérosclérose;
Troisième point.Avoir de mauvaises habitudes telles que le tabagisme et l'abus d'alcool;
Quatrième point.Mauvais régime alimentaire, riche en sel et en graisses。
On peut donc constater que l'athérosclérose, en plus des facteurs incontrôlables tels que l'âge, les facteurs familiaux, l'âge de la retraite, l'âge de la retraite, l'âge de la retraite, etc.Il s'agit d'une lésion étroitement liée à nos habitudes.。
Une fois que nous savons ce qui précède, voyons comment les médecins peuvent déterminer quel vaisseau sanguin du cœur d'une personne est réellement obstrué.
Lorsque nous parlons de vaisseaux sanguins bloqués, cela n'apparaît certainement pas en un jour ou deux, c'est un processus de longue haleine.processus de dépôt lentCependant, d'un point de vue clinique, beaucoup de nos patients attendent qu'un événement particulièrement grave se produise, comme une crise cardiaque, une angine de poitrine ou même une mort subite, avant de réaliser qu'ils ont déjà eu une maladie coronarienne, et avant cela, très peu de gens y prêtaient attention.

En fait, le diagnostic de maladie coronarienne n'existe plus depuis longtemps.Dans le passé, le problème était de savoir comment diagnostiquer les maladies coronariennesIl s'agit en effet d'une maladie pulmonaire différente de celles que l'on pouvait entendre en prenant un stéthoscope et en écoutant les poumons.
À ce stade, certains diront : "Faisons un ECG", mais cela ne marchera pas, pourquoi ? Parce queLa maladie coronarienne est fondamentalement normale si vous n'avez pas d'attaque.C'est pourquoi certains patients peuvent avoir subi un examen médical et un ECG au cours de la première moitié du mois, puis être victimes d'une crise cardiaque dans les deux jours qui suivent, soupçonnant nos médecins de ne pas l'avoir détectée. En fait, c'est parce que lorsque la maladie coronarienne n'est pas un délit, elle a tendance à se manifester sous la forme d'un ECG normal. Par conséquent, dans le passé, avec seulement le stéthoscope et l'ECG, il était en fait difficile de diagnostiquer la maladie coronarienne, et on pouvait dire qu'elle ne pouvait pas être détectée.
Mais ensuite.Depuis l'échographie, la tomodensitométrie coronaire et surtout la coronarographie, le diagnostic de la maladie coronarienne n'est plus un problème.Il s'agit notamment de pouvoir voir exactement quel vaisseau sanguin du cœur est bloqué et dans quelle mesure chez ce patient.
En général, lorsque nos médecins soupçonnent que vous souffrez d'une maladie coronarienne, ils vous demandent de passer une échographie ou un scanner coronarien pour vérifier si votre cœur est hypertrophié, si vous souffrez d'une cardiomyopathie, d'une maladie valvulaire, etc.Bien sûr, ce scanner coronarien ne peut effectuer qu'un dépistage de la maladie coronarienne, en général, comme le scanner coronarien, s'il n'y a pas de problème, ce n'est pas un gros problème.Mais siNous avons constaté qu'il y avait un problème, mais pour l'instant nous ne pouvons pas dire directement que ce patient doit souffrir d'une maladie coronarienne et qu'il doit subir une angiographie coronarienne.。
Il s'agit d'introduire un tube dans le cœur et d'effectuer une imagerie sélective qui permet de voir les vaisseaux sanguins à l'endroit voulu et de déterminer la quantité de vaisseaux sanguins obstrués.

Il est donc important de rappeler que la coronarographie est l'examen de référence pour le diagnostic de la maladie coronarienne, tandis que la tomodensitométrie coronarienne ne peut être qu'un test de dépistage.
À ce stade, certains d'entre vous se demandent peut-être ce qu'il en est de laPuisque la coronarographie est le seul moyen de diagnostiquer définitivement une maladie coronarienne, de déterminer quel vaisseau sanguin est obstrué et à quel point il l'est, pourquoi les médecins veulent-ils que nous fassions un ECG, une échographie et une tomodensitométrie coronarienne, ce qui n'est pas une prescription aveugle de listes de contrôle ?
En fait, ce n'est pas vrai. Rappelez-vous, les gens.La coronarographie implique l'insertion d'un tube dans le cœur, ce qui est un examen invasif et coûteux, et le patient doit souvent être admis à l'hôpital avant que l'examen puisse être effectué.Par conséquent, pour certains cas qui ne sont pas particulièrement typiques, nos médecins soupçonnent que la possibilité d'une maladie coronarienne n'est pas particulièrement élevée, ils laisseront tout de même le patient effectuer un scanner coronarien pour effectuer un premier dépistage, et s'ils ont un degré de suspicion élevé, ils continueront à choisir l'angiographie coronarienne !

En général, la maladie coronarienne est diagnostiquée lorsque la coronarographie montre une sténose coronarienne ≥50%, alors qu'une sténose coronarienne <50% ne peut être qualifiée que d'athérosclérose coronarienne.
Quelles sont donc les circonstances habituelles dans lesquelles nous devrions suspecter une maladie coronarienne et nous rendre à l'hôpital pour un examen opportun ?
Après que la plupart des personnes ont une maladie coronarienne, lorsque l'obstruction des vaisseaux sanguins est plus grave, en raison de l'apparition d'une ischémie myocardique et d'une hypoxie, il peut y avoir uneDouleur thoracique, oppression thoracique, pression thoracique, oppression ou essoufflementParfois, beaucoup de gens ont tendance à dire que je suis cetteEt pas de douleur thoracique.C'estse sentir étoufféIl est important de savoir qu'il s'agit également d'un symptôme de maladie coronarienne.
Chez d'autres patients, il peut également y avoirDouleur dans le quart gauche, le bras gauche ou l'épaule gauche, ou sensation d'avoir parfois la gorge serréeSi vous souffrez d'une douleur quelconque, il peut s'agir d'un symptôme de maladie coronarienne, et vous devriez y prêter attention et vérifier la possibilité d'une maladie coronarienne en cas d'autres maladies.

Conseils professionnels
Si vous pensez que les vaisseaux sanguins de votre cœur sont obstrués, vous devez consulter le médecin à temps et vous inscrire d'emblée au service de cardiologie. Le médecin choisira alors de procéder à une prise de sang, à un électrocardiogramme, à une échographie ou à un scanner des artères coronaires et à d'autres examens en fonction de vos symptômes, afin de procéder à un premier dépistage.
Mais attention.Les vaisseaux sanguins de notre cœur ne sont pas bloqués aussi longtemps qu'ils le sont, nous aurons des symptômes, le cœur ne peut pas fonctionner correctement, en fait, notre cœur a un mécanisme très puissant, donc souvent le blocage des vaisseaux sanguins n'est pas très grave et ne va pas avoir de symptômes et d'inconfort, seulement à un certain degré de rétrécissement avant qu'il n'y ait des symptômes perceptibles, donc généralement nous devrions prêter attention à des examens médicaux réguliers, des bilans de santé.
Si vous avez des questions sur les vaisseaux sanguins obstrués dans le cœur, laissez un commentaire ci-dessous et nous en parlerons.
Le sujet dit le cœur bloqué ou non, en termes cliniques se réfère au cœur des vaisseaux sanguins artériels bloqués ou non, c'est-à-dire, nous disons souvent la maladie coronarienne, le nom complet est la maladie coronarienne athérosclérotique, se réfère à l'apparition de l'athérosclérose des artères coronaires (artères coronaires) causée par le rétrécissement de la lumière ou l'occlusion, résultant dans l'ischémie myocardique ou la nécrose causée par la maladie du cœur. Alors, quel type de méthode ou d'examen utilise-t-on pour savoir "si le cœur est bloqué ou non", voici ce qu'il faut comprendre ensemble.
La maladie coronarienne est le type le plus courant de maladie organique causée par l'athérosclérose, qui met gravement en danger la santé humaine. Cette maladie survient plus souvent chez les adultes de plus de 40 ans, l'incidence des hommes est plus précoce que celle des femmes, l'incidence des pays économiquement développés est plus élevée, ces dernières années, l'incidence a tendance à diminuer.Le plus jeune patient souffrant d'une obstruction d'un vaisseau sanguin dans le cœur avait 18 ans lorsqu'un stent a été posé, et la maladie est devenue l'une des principales menaces pour la santé humaine !
Il existe plusieurs façons de déterminer si le cœur est bloqué ou non !
I. En fonction des symptômes cliniques du patient
1. angine de poitrine stableÉgalement connue sous le nom d'angine de poitrine à l'effort, elle se caractérise par une douleur paroxystique d'écrasement ou une sensation d'étouffement dans la partie antérieure du thorax, principalement située dans la partie postérieure du sternum, qui peut irradier vers la région précordiale et le côté cubital du membre supérieur gauche, survenant souvent lors d'un effort accru, durant quelques minutes et disparaissant après le repos ou l'utilisation de préparations à base de nitrates, sans changement significatif du degré, de la fréquence, de la durée et de la nature des épisodes douloureux au cours de plusieurs mois. Sténose ou occlusion partielle de l'artère coronaire, le flux sanguin est réduit, en cas d'effort, de fluctuations émotionnelles, de satiété, de froid, la consommation d'oxygène du myocarde augmente, la présence d'une sténose provoque l'angine de poitrine !
2. angine de poitrine instableCes crises d'angine, au cours desquelles le patient ressent une gêne thoracique similaire à celle d'un angor stable typique, sont généralement plus graves et durent plus longtemps, jusqu'à des dizaines de minutes, et peuvent également survenir au repos.
3. l'infarctus aigu du myocardeLa plupart des patients présentaient des symptômes précurseurs tels que fatigue, gêne thoracique, palpitations, essoufflement, irritabilité et angine de poitrine quelques jours avant le début de la maladie, l'angine de poitrine nouvelle ou l'aggravation d'une angine de poitrine préexistante étant les symptômes les plus importants. Les crises d'angine sont plus fréquentes qu'auparavant, plus intenses, plus longues, mal traitées par la nitroglycérine et sans facteur déclenchant évident. La plupart des patients ressentent une douleur intense, certains ont de la fièvre, de la tachycardie, une élévation des globules blancs, des nausées, des vomissements, des douleurs abdominales et de la tachycardie.
II. sur la base de tests en laboratoire
1, ECG Chez les patients présentant une sténose ou une occlusion de l'artère coronaire, la plupart des patients présentent des modifications transitoires du segment ST (élévation ou dépression) et de l'onde T (aplatissement ou inversion) pendant les épisodes de douleur thoracique, dans lesquels les modifications dynamiques du segment ST (élévation ou dépression ≥0,1mv) sont une manifestation d'une maladie coronarienne grave, et un infarctus aigu du myocarde ou une mort subite peuvent survenir.
2、Electrocardiogramme test de charge Pour stimuler l'ischémie myocardique en augmentant la charge sur le cœur, une angine de poitrine typique et des modifications de l'électrocardiogramme principalement sous la forme d'une dépression horizontale ou vers le bas du segment ST de ≥0,1mv pendant 2 minutes pendant l'exercice ont été considérées comme les critères d'un test d'exercice positif.
3. Détection dynamique continue de l'ECG, que nous appelons souvent électrocardiogramme dynamique 24 heures sur 24, peut être trouvé dans le segment ST de l'électrocardiogramme 24 heures sur 24, les changements d'ondes T (ST-T) et une variété d'arythmies.
4. L'imagerie des artères coronaires par tomodensitométrie spiralée multicouche (CTA), que nous appelons souvent la CTA cardiaque, peut être utilisée pour déterminer le degré de sténose de la lumière coronaire et de calcification de la paroi, pour déterminer la distribution de la plaque à l'intérieur de la paroi de l'étendue de la plaque et la nature d'une certaine importance, la CTA des artères coronaires a une valeur prédictive négative élevée, s'il n'y a pas de lésions sténosées, ne peut généralement pas être un examen invasif, mais le degré de sténose de son jugement a encore une certaine limite, en particulier en cas de calcification de la paroi. Toutefois, sa capacité à déterminer le degré de sténose reste limitée, en particulier en présence de calcifications.
5, échographie cardiaque La plupart des patients souffrant d'angine de poitrine stable ne présentent aucune anomalie à l'échocardiographie au repos. Chez les patients ayant subi un infarctus du myocarde ancien ou une ischémie myocardique grave, l'échocardiographie peut détecter des anomalies dans le mouvement de la paroi ventriculaire dans la zone de nécrose ou d'ischémie. Elle peut également aider à détecter d'autres affections qui doivent être différenciées de l'angine de poitrine due à une sténose de l'artère coronaire, telles que la cardiomyopathie hypertrophique obstructive et la sténose aortique.
6. angiographie coronaireLa coronarographie est un examen invasif qui reste l'"étalon-or" pour le diagnostic de la maladie coronarienne.. La localisation des lésions sténosées peut être identifiée et leur étendue estimée. Il est généralement admis qu'une réduction du diamètre de la lumière de 70 à 75 % ou plus affecte gravement l'apport sanguin.
7, marqueurs myocardiques Lors d'un infarctus aigu, les marqueurs myocardiques, les globules blancs, les neutrophiles et la protéine C-réactive sont significativement plus élevés, ce qui suggère un blocage vasculaire.
Résumé : il s'agit de plusieurs vaisseaux sanguins coronaires rétrécis ou obstrués. Nous pouvons évaluer les aspects ci-dessus, lorsque les symptômes cliniques ou les résultats anormaux des tests, nous devons nous rendre dans un hôpital spécialisé pour un examen et un traitement standard, et ne pas être négligents. Aujourd'hui, l'incidence des maladies coronariennes continue d'augmenter, de plus en plus de personnes ont tendance à être plus jeunes, nous devrions tous développer de bonnes habitudes de vie et de travail !
Le cœur ne peut pas être bloqué !
Nous disons souvent que le cœur est bloqué, mais il s'agit en fait des "vaisseaux sanguins coronaires", la sténose des vaisseaux sanguins coronaires entraînant une interruption de la circulation sanguine interne, une réduction de l'approvisionnement, un manque de perfusion sanguine à long terme du "cœur", qui ne peut naturellement pas être aussi normal que par le passé, une série de symptômes anormaux, le représentant le plus typique de la maladie étant la "maladie coronarienne", les patients sont "bloqués". Une série de symptômes anormaux, le représentant le plus typique de la maladie étant la "maladie coronarienne", le cœur du patient est "bloqué".

Détection rapide par l'observation des symptômes du patient !
L'arrivée d'une maladie n'est pas silencieuse, la différence réside seulement dans le caractère flagrant ou obscur, dans la médecine de plus en plus de problèmes aujourd'hui, beaucoup de gens sont réticents à aller à l'hôpital pour vérifier, sans mentionner qu'il n'y a pas d'anomalie, même s'il y a un petit problème, mais aussi à cause d'une variété de raisons pour éviter négativement le médecin, si cette pratique est correcte de parler, je ne veux pas déranger, je préférerais la science quelques peu de connaissances que nous pouvons utiliser.
Le symptôme le plus intuitif de ce type de patient est la douleur, mais cette douleur peut concerner plusieurs sites (elle peut se situer au-dessus de la poitrine et en dessous du nez), et sa douleur doit être décrite spécifiquement, cette douleur est très spécifique, il y aura un sentiment d'étouffement et de mort imminente, qui est nettement différent des autres fourmillements et douleurs de brûlure, et comme tout est dû au manque d'apport sanguin des vaisseaux sanguins obstrués, le patient est susceptible d'aller bien au repos, et dès que le patient est au repos, il est possible qu'il ne se sente pas mal. En cas d'activité intense, les symptômes apparaissent parce que l'apport d'oxygène dans le sang n'est pas suffisant pour répondre à la consommation.

Un diagnostic précis grâce à des tests pertinents !
1, ECG : il s'agit de l'examen de base le plus courant pour les patients souffrant d'une maladie coronarienne. Bien qu'il soit difficile de fournir une base diagnostique, il peut fournir des informations précieuses grâce à une comparaison et une analyse minutieuses ; en conséquence, des mesures correspondantes peuvent être prises, et l'ECG dynamique peut être analysé de manière plus approfondie si nécessaire.
2, CTA coronaire : il est considéré comme l'un des deux tests les plus importants pour les patients souffrant de maladie coronarienne, il permet de voir visuellement les vaisseaux sanguins avec ou sans blocage de sténose, mais comme il s'agit d'une image statique, il y a un certain degré de variabilité, et ne peut que déterminer la présence ou l'absence de blocage de sténose, pour fournir un support pour l'imagerie ultérieure ou non.
3. Coronarographie : si l'angiographie coronarienne est l'étalon argent pour le diagnostic de la maladie coronarienne, nous appelons la coronarographie l'étalon or, qui ne doit avoir l'opinion de personne, c'est le test le plus précis pour confirmer le diagnostic de la maladie coronarienne, il n'y a personne.
(Je suis Luo Min, médecin-chef dans un hôpital de niveau 3A, un "vieux" médecin avec plus de 30 ans d'expérience clinique, mes efforts ne visent qu'à récolter les bénéfices de votre approbation, si ma réponse peut vous aider, j'espère que vous l'aimerez, que vous y prêterez attention, et si vous avez des questions, vous pouvez commenter ou m'écrire en privé, je ferai de mon mieux pour vous aider).
Comment savoir si votre cœur est bloqué ?
À partir de l'âge de 30 ans, le corps humain commence à déposer des "déchets sanguins" dans les vaisseaux sanguins, c'est-à-dire du cholestérol, des triglycérides et d'autres lipides, qui s'accumulent de plus en plus sur les parois des vaisseaux sanguins, formant des plaques telles que des plaques ressemblant à du gruau de millet jaune, qui est un processus continu et irréversible, lorsque le dépôt de plaques d'athérosclérose atteint un certain degré, il évolue vers une calcification, de sorte que les vaisseaux sanguins sont susceptibles de se rompre, faciles à bloquer, ce qui entraîne des accidents vasculaires cérébraux, des crises cardiaques, dont le taux d'occurrence double. Les vaisseaux sanguins sont faciles à rompre, faciles à bloquer, ce qui entraîne des accidents vasculaires cérébraux, des crises cardiaques et une multiplication de l'incidence.
D'une manière générale, si le degré de rétrécissement des artères coronaires est supérieur à 50 %, il s'agit d'une maladie coronarienne ; s'il est inférieur à 50 %, il s'agit d'athérosclérose coronarienne. Les maladies cardiovasculaires présentent un risque invalidant, voire mortel, mais ce qui est encore plus effrayant, c'est que même en cas d'obstruction ou de rétrécissement d'un vaisseau sanguin, le corps humain peut ne pas présenter de symptômes évidents. Des études ont même montré que 85 % des patients souffrant d'une obstruction de l'artère carotide n'ont pas de symptômes apparents, mais que le passage d'un état asymptomatique à un infarctus cérébral peut être très rapide. Soyez vigilant lorsque les quatre symptômes suivants se manifestent.
1 Anneau gériatrique
Apparition d'anneaux séniles dans l'œil. Les anneaux de vieillesse sont le plus souvent observés chez les personnes âgées et consistent essentiellement en un dépôt de substances lipidiques sur le bord de la cornée.
2 Lignes transversales du lobe de l'oreille
La présence de lignes horizontales au niveau du lobe de l'oreille peut indiquer la présence de caillots sanguins.
3 Douleurs à la mâchoire
La douleur à la mâchoire survient après une activité, ou après avoir trop mangé, ou en cas de stress émotionnel. L'angine de poitrine typique devrait se manifester par des douleurs thoraciques et de l'angine, mais la distribution de cette zone est la même que celle des nerfs de la mâchoire.

4 Douleur thoracique
L'obstruction des vaisseaux sanguins du cœur est souvent suivie d'une douleur thoracique et d'une sensation d'oppression après une activité physique et, dans les cas les plus graves, d'une angine de poitrine, qui est une douleur semblable à celle d'un couteau et qui s'étend parfois jusqu'au dos ou aux mains. Elle survient généralement pendant l'exercice et peut être soulagée par de la nitroglycérine ou des pilules cardiaques à action rapide. La présence d'arythmies, telles que des battements prématurés, et de symptômes d'insuffisance cardiaque suggère également un blocage cardiovasculaire.
5 Douleur à l'épaule
De nombreuses personnes pensent que la douleur à l'épaule est simplement un problème d'articulation et de rhumatisme, mais il peut en fait s'agir d'un problème cardiaque. Les patients souffrant d'une maladie coronarienne ressentent souvent une douleur à l'épaule gauche, paroxystique, irradiante et plus intense. Cette douleur ne varie pas en fonction du climat ou de la température, ce qui constitue la plus grande différence avec le rhumatisme et le point qui facilite l'identification. Par conséquent, en cas de douleur à l'épaule, en particulier du côté gauche, qui n'est pas affectée par le climat et la température, il convient d'être prudent et de ne pas traiter cette douleur comme un rhumatisme ou une douleur générale, afin de ne pas passer à côté du traitement et d'éviter des problèmes de santé.
6 Douleurs dentaires
Elle se caractérise par des crises très soudaines, sans avertissement, et l'apparition de la maladie est relativement douloureuse et insupportable, si bien que de nombreuses personnes la confondent souvent avec une maladie dentaire et l'ignorent.
En outre, les maux de tête inexpliqués et les douleurs abdominales doivent également alerter. Des maux de tête et des douleurs abdominales inexpliqués doivent également alerter.
Il est conseillé aux personnes âgées de plus de 40 ans de se soumettre à des examens réguliers. Les maladies cardiaques ne sont pas anodines et il est conseillé de se faire examiner par un médecin en cas de gêne cardiaque afin de ne pas rater le meilleur moment pour se faire soigner.
Je suis le pharmacien Wang, dont la mission est d'expliquer les connaissances complexes et difficiles des maladies avec des mots simples pour vous aider à gérer votre corps. Votre intérêt est ma plus grande motivation ! Par ailleurs, si des membres de votre famille souffrent également d'un blocage cardiaque ou non, n'hésitez pas à leur transmettre cet article !
Le cœur est la pompe à énergie de notre corps, notre tension artérielle, notre circulation périphérique doivent s'appuyer sur le cœur pour fournir un flux constant d'énergie pour se maintenir, la santé du cœur est donc particulièrement importante, et pour déterminer si le cœur est bloqué, il peut y avoir de nombreuses méthodes d'essai.
Tout d'abord, le test le plus fiable est la coronarographie, qui permet de déterminer clairement quel vaisseau sanguin du cœur est obstrué, l'étendue de l'obstruction, etc.
Deuxièmement, sur l'ECG, nous pouvons observer des changements dans le segment ST-T de l'ECG chez certains patients, en particulier dans le cas d'un infarctus du myocarde, avec une élévation du segment ST-T en arc de cercle.
Enfin, selon les symptômes cliniques, une oppression thoracique et une douleur thoracique fréquentes, en particulier en cas de stress émotionnel, d'activités, de tabagisme et de consommation d'alcool, doivent alerter sur la possibilité d'un blocage cardiaque, mais certains patients peuvent ne manifester qu'une gêne épigastrique ou aucun symptôme.
Les manifestations cliniques et certains examens auxiliaires permettent de déterminer si les vaisseaux sanguins du cœur sont obstrués.
Premièrement, l'approvisionnement en sang du cœur est principalement assuré par plusieurs gros vaisseaux sanguins de la branche descendante antérieure de l'artère coronaire gauche, de la branche circonflexe, de l'artère coronaire droite et de ses branches. Si ces grosses artères se bouchent, il y aura un déséquilibre entre l'apport sanguin et la consommation d'oxygène du cœur, et certaines manifestations cliniques se produiront. L'angine de poitrine peut être déterminée cliniquement s'il s'agit d'une douleur d'écrasement liée à l'activité dans la région précordiale, qui peut être soulagée après quelques minutes à dix minutes de repos, en particulier chez les patients présentant un nombre élevé de facteurs de risque cardiovasculaire tels que l'hypertension, le diabète sucré, l'hyperlipidémie, le tabagisme, etc.
Deuxièmement, un certain nombre de tests auxiliaires peuvent clarifier le diagnostic. Par exemple, la présence de modifications ischémiques secondaires ST-T associées à des épisodes de douleur thoracique, un électrocardiogramme ambulatoire de 24 heures suggérant des modifications dynamiques ST-T et un test d'effort positif suggèrent tous qu'il peut y avoir un blocage des vaisseaux sanguins cardiaques, ce qui doit être clarifié par une angiographie coronarienne ou une angiographie coronarienne. L'angiographie coronaire ou l'angiographie coronaire permet de déterminer directement s'il y a une sténose dans les vaisseaux cardiaques et le degré exact de sténose.

Lorsque la sténose de la lumière de l'artère coronaire est inférieure à 25 %, il s'agit d'une sténose légère ; lorsque la sténose de la lumière est comprise entre 25 % et 49 %, il s'agit d'une sténose légère ; lorsque la sténose de la lumière est comprise entre 50 % et 69 %, il s'agit d'une sténose modérée ; lorsque la sténose de la lumière est comprise entre 70 % et 99 %, il s'agit d'une sténose sévère ; lorsque la sténose de la lumière est supérieure à 100 %, il s'agit d'une occlusion. Lorsque la sténose de la lumière coronaire dépasse 50 %, une maladie coronarienne est diagnostiquée et nécessite un traitement à vie à base de statines, de médicaments hypolipidémiants, d'aspirine et d'autres médicaments antiplaquettaires.
Comment savoir si votre cœur est bloqué ?
En tant que médecins professionnels, nous pouvons comprendre qu'il s'agit d'une obstruction des vaisseaux sanguins du cœur, c'est-à-dire d'une maladie coronarienne, ou d'un rétrécissement des valves du cœur qui a entraîné une stagnation et une obstruction du sang dans le cœur gauche ou le cœur droit, mais je pense que l'auteur de la question veut parler d'une obstruction des artères coronaires, c'est-à-dire d'une maladie coronarienne.
Comment la maladie coronarienne peut-elle être détectée ? La maladie coronarienne est l'abréviation de maladie coronarienne athéroscléreuse. L'athérosclérose coronarienne causée par la sténose de l'artère coronaire est un processus pathologique à long terme, qui ne peut pas se former du jour au lendemain. (2) Pression artérielle élevée. (3) le diabète (4) Le tabagisme et l'alcoolisme. (5) Obésité. (6) L'âge : la tendance au rajeunissement est surtout observée chez les personnes d'âge moyen et les personnes âgées. Par conséquent, les personnes présentant les facteurs de risque susmentionnés doivent être averties de la possibilité de développer une maladie coronarienne.
La maladie coronarienne est la manifestation la plus directe de l'angine de poitrine, c'est-à-dire une douleur ressemblant à une pression dans la région antérieure du cœur ou derrière le sternum, qui dure plusieurs minutes et peut être soulagée par elle-même ou par la nitroglycérine sublinguale ; une crise d'angine typique suggère donc l'existence d'une maladie coronarienne ; bien entendu, une partie de la crise d'angine du patient n'est pas typique, par exemple le patient semble souffrir d'un mal de dents, d'une constriction pharyngée, d'une douleur dans l'épaule gauche et la branche supérieure gauche, d'une douleur dans la région épigastrique ; le patient présente en même temps des facteurs de risque élevés et doit donc également penser à la possibilité d'une maladie coronarienne. La possibilité d'une maladie coronarienne doit également être envisagée lorsque le patient présente des facteurs de risque élevés.
Certains patients ne présentent pas d'angor typique, mais la possibilité d'une maladie coronarienne doit être envisagée en cas d'ischémie myocardique à l'électrocardiogramme (ECG) ; bien entendu, l'électrocardiogramme (EKG) ambulatoire de 24 heures peut être utilisé pour observer s'il y a ou non une ischémie myocardique chez le patient au cours de la journée.
Le test de la plaque d'exercice (EPT) est un test permettant d'observer l'électrocardiogramme (ECG) dans des conditions d'exercice progressivement croissant afin de vérifier si une ischémie myocardique peut être induite et de détecter une maladie coronarienne.
La tomodensitométrie coronaire est un test non invasif qui permet de détecter la présence et l'étendue d'une sténose de l'artère coronaire, tandis que l'angiographie coronaire est l'examen de référence pour le diagnostic de la maladie coronaire, qui permet de détecter l'emplacement et l'étendue de la sténose et de procéder à une intervention.
En outre, lorsqu'un patient présente un infarctus, la présence d'un infarctus peut être confirmée par une analyse sanguine des marqueurs spécifiques associés à la nécrose myocardique, tels que la troponine, la créatine kinase et ses isoenzymes.
En résumé, la détection de la maladie coronarienne doit reposer sur une combinaison de facteurs de risque, de symptômes d'angine de poitrine, d'examens auxiliaires tels que l'électrocardiogramme, le test de la plaque d'effort, la tomodensitométrie coronarienne ou la coronarographie, et de marqueurs spécifiques associés à la nécrose myocardique.
En fait, ce que l'on appelle le blocage du cœur n'est pas très exact, nous devrions plutôt parler du blocage des vaisseaux sanguins du cœur, et ce vaisseau sanguin fait référence aux artères coronaires que l'on appelle souvent " artères coronaires ". L'artère coronaire est une "route principale" qui aide le cœur à faire fonctionner le sang dans les deux sens et maintient l'approvisionnement en sang du cœur ; son importance est évidente. Par conséquent, une fois l'artère coronaire bloquée, les conséquences peuvent être imaginées. Comment savoir si le cœur est bloqué ?

Commençons par les artères coronaires
En fait, nous savons tous que la forme du cœur est similaire à un cône inversé, comme une tête de melon, et que les artères coronaires sont situées au sommet de la tête, entourant le cœur pendant une semaine, d'où son nom. L'artère coronaire gauche est divisée en deux branches, dont l'artère coronaire gauche est divisée en deux branches, la branche descendante antérieure gauche et la branche de gyration, réparties dans différentes régions du cœur.

Comment savoir si notre cœur est bloqué ?
En fait, pour juger si les vaisseaux sanguins du cœur sont obstrués ou non, on se base généralement sur deux aspects, les manifestations cliniques et l'examen auxiliaire. Je vais vous donner ci-dessous une explication détaillée de ces deux aspects respectivement.
I. L'occlusion cardiovasculaire peut être détectée par des manifestations cliniques typiques :
1. oppression thoracique :
Une oppression thoracique et une dyspnée typiques se manifestent, en particulier après l'exercice et en montant les escaliers, et sont soulagées par un repos précoce.
2. angine de poitrine
Elle se manifeste généralement par une douleur de type pression derrière le sternum, accompagnée d'une sensation d'oppression et de gonflement, qui dure généralement de 3 à 5 minutes et survient plus souvent après une exposition au froid, un effort ou un stress émotionnel. Elle s'accompagne souvent d'une douleur irradiant de l'arrière de l'épaule. Selon la fréquence et la gravité des crises, l'angine de poitrine se divise en angine stable et angine instable. Dans le premier cas, l'état est stable et il n'y a pas de changement évident dans la localisation, la fréquence et le niveau de douleur des crises, et la douleur peut être soulagée par la prise de nitroglycérine sous la langue. Dans le second cas, il s'agit d'un précurseur de l'infarctus du myocarde.
3, Xiaotian.
L'obstruction des artères coronaires peut entraîner une insuffisance de l'apport sanguin aux artères coronaires et une réduction du débit cardiaque, ce qui se traduit par une insuffisance de l'apport sanguin au cerveau et provoque des étourdissements, des vertiges et même des évanouissements.
4. autres symptômes
L'obstruction des artères coronaires provoque également des manifestations d'insuffisance cardiaque : essoufflement, œdèmes, faiblesse générale, etc. Elle comprend également diverses arythmies, qui se manifestent par des palpitations et des vomissements.

Deuxièmement, l'examen auxiliaire commun pour détecter l'obstruction vasculaire
1、Coronarographie
Il s'agit de l'examen de référence pour la détermination de la maladie coronarienne. Il est utilisé pour confirmer le diagnostic de la maladie coronarienne et pour en préciser l'étendue. L'avantage est que le médecin peut observer visuellement si l'artère coronaire est ouverte ou s'il y a une plaque ou une sténose. Le processus opératoire peut également être réalisé en fonction de la situation, et le traitement par endoprothèse peut être mis en place en temps opportun.

2. l'électrocardiogramme
L'ECG est également un examen courant pour déterminer l'état des vaisseaux sanguins du cœur, avec peu de contre-indications et une durée d'examen courte sans effets secondaires. C'est pourquoi, de nos jours, il est généralement nécessaire d'effectuer un ECG dynamique sur 24 heures, c'est-à-dire de porter une petite boîte sur le corps, qui est un enregistreur ECG portable. Les changements de l'ECG sur 24 heures peuvent être analysés par l'ordinateur et, fondamentalement, les lésions peuvent être détectées.

3. l'expérience de la plaque de mouvement
Il s'agit d'un test permettant de déterminer si vous présentez des signes d'ischémie cardiaque en marchant et en courant sur un tapis roulant et en effectuant une mesure basée sur des informations de base telles que votre âge et votre sexe. En général, les symptômes de l'ischémie peuvent être induits après l'exercice et il est facile de déterminer l'étendue de votre état. Ce test est également très courant et relativement peu coûteux.

4, coloré et superlatif
Il est difficile de déterminer si un vaisseau sanguin est bloqué ou non et si le cœur est ischémique ou non par une échographie normale, alors que peut-on faire ? Il existe une méthode appelée échographie de charge, ou échocardiographie de charge, qui est similaire au test de la plaque d'exercice, en comparant les changements avant et après l'exercice, pour déduire l'ischémie du cœur et l'obstruction des vaisseaux sanguins. Il existe également une méthode modifiée appelée test de charge médicamenteuse, qui permet de déterminer les changements dans les valeurs de l'échographie cardiaque en comparant les valeurs avant et après l'utilisation de médicaments.

5, CTA.
Il s'agit d'un scanner dans lequel un produit de contraste est injecté pour visualiser les artères coronaires. Les résultats sont très précis, mais légèrement plus coûteux.

En outre, il existe un certain nombre de facteurs de risque élevés qui peuvent aider à déterminer si l'on est en présence d'une maladie ou d'un accident.
1. l'âge et le sexe : l'incidence des maladies coronariennes augmente après 40 ans ; l'incidence des maladies cardiaques est plus faible chez les femmes que chez les hommes avant la ménopause et égale à celle des hommes après la ménopause.
2) Hyperlipidémie : en dehors de l'âge, les troubles du métabolisme des lipides sont les principaux facteurs prédictifs des maladies coronariennes. Il existe une relation étroite entre les taux de cholestérol total (CT) et de cholestérol à lipoprotéines de basse densité (LDLC) et le risque de maladie coronarienne ; pour chaque augmentation de 1 % des taux de LDLC, le risque de maladie coronarienne augmente de 2 à 3 %. Les triglycérides (TG) sont un facteur prédictif indépendant de coronaropathie et sont souvent associés à un faible taux de HDLC et à une tolérance anormale au glucose, ces deux derniers étant également des facteurs de risque de coronaropathie.
3, l'hypertension : l'hypertension est étroitement liée à la formation et au développement de l'athérosclérose coronarienne. La pression artérielle systolique est un meilleur prédicteur des événements coronariens que la pression artérielle diastolique. Une pression artérielle systolique de 140-149 mmhg augmente davantage le risque de décès coronarien qu'une pression artérielle diastolique de 90-94 mmhg.
4. le tabagisme : le tabagisme est un facteur de risque important pour les maladies coronariennes et constitue la cause de décès la plus évitable. Il existe une relation dose-réponse claire entre les maladies coronariennes et le tabagisme.
5. le diabète sucré : les maladies coronariennes sont la principale cause de décès chez les diabétiques juvéniles, représentant près de 80 % de l'ensemble des décès et des admissions à l'hôpital chez les patients diabétiques.
6. l'obésité : elle a été clairement identifiée comme le principal facteur de risque de maladie coronarienne, qui peut augmenter le taux de mortalité par maladie coronarienne. L'obésité est définie par l'indice de masse corporelle (IMC = poids (kg)/taille au carré (m2)) chez les hommes = 27,8, chez les femmes = 27,3. L'IMC est positivement corrélé à l'augmentation des TC et TG et à la diminution du HDL-C.
7, la sédentarité : le risque de maladie coronarienne et de décès est doublé chez les personnes qui ne pratiquent pas de sport.
8) Il existe également des facteurs génétiques, liés à l'alcool et à l'environnement.

Comment traiter l'obstruction cardiaque ?
1, thérapie médicamenteuse : la thérapie médicamenteuse peut prendre un traitement anti-angineux, peut utiliser des médicaments nitrés ou des β-bloquants, améliorer le pronostic des statines couramment utilisées, des médicaments antiagrégants plaquettaires, tels que le Polivir, l'aspirine et ainsi de suite.
2, stenting : le stenting est l'implantation d'un stent, c'est-à-dire que, comme mentionné ci-dessus, une coronarographie peut être réalisée pour implanter un stent dans l'artère coronaire afin d'améliorer les symptômes du patient.
3、Traitement par pontage : le traitement par pontage est une chirurgie de dérivation de l'artère coronaire pour les patients qui ne peuvent pas subir l'implantation d'un stent.
4, changement de mode de vie : c'est le sujet cliché, régime pauvre en sel et en graisses, exercice physique modéré, contrôle du poids, etc.

Recommandation finale :
Le blocage cardiovasculaire étant de plus en plus fréquent chez les jeunes, et la mort subite de plus en plus fréquente, j'espère que vous ferez attention, dès l'apparition de symptômes similaires ou de facteurs de risque élevés, à vous rendre à l'hôpital en temps utile pour vérifier le pronostic d'un traitement précoce, qui est généralement meilleur.
Je suis le Dr Zhang en médecine générale, engagé à diffuser des connaissances médicales et de santé pour vous dans des mots faciles à comprendre, bienvenue à aimer l'attention, toutes les questions ou vous êtes intéressé par qui peut être laissé dans le message ci-dessous, je vais répondre à vous, merci pour votre soutien !
Ces questions et réponses proviennent des utilisateurs du site, elles ne représentent pas la position du site, s'il y a une infraction, veuillez contacter l'administrateur pour la supprimer.