Les patients atteints d'une maladie coronarienne doivent-ils être examinés par coronarographie ?
Les patients atteints d'une maladie coronarienne doivent-ils être examinés par coronarographie ?
Un patient de 56 ans, en consultation externe, a été invité à demander un test immédiatement, en disant qu'il voulait revoir une angiographie.
J'ai dit : premièrement, vous devez être admis à l'hôpital pour l'imagerie, et deuxièmement, quel est votre problème spécifique, parlez-nous-en et voyez s'il est nécessaire de revoir l'imagerie ?
Puis ce patient a dit : "J'ai subi une angiographie il y a un an qui a montré une sténose de 50 %, et il est temps de la réexaminer après un an.
J'ai dit : avez-vous une gêne, une oppression thoracique, un blocage de la respiration, une douleur dans la région précordiale ou quelque chose de ce genre ?
Il a dit : il n'y avait pas de gêne, c'était juste du temps !
J'ai dit : s'il n'y a pas de gêne, l'imagerie n'est pas nécessaire sans circonstances particulières, parce que premièrement, elle n'est pas nécessaire et deuxièmement, l'imagerie elle-même est un test invasif qui comporte des risques.
Après une explication détaillée, le patient a renoncé à sa "demande spéciale".
Dans quels cas les patients atteints d'une maladie coronarienne ont-ils besoin d'une imagerie ? Si ce n'est pas le cas, quels sont les éléments à examiner ?
Tout d'abord, pourquoi n'est-il pas recommandé d'examiner toutes les maladies coronariennes par imagerie ?
L'imagerie étant un examen invasif, équivalent à une intervention chirurgicale, elle comporte certains risques, tels que saignement, allergie au produit de contraste, lésion vasculaire, piégeage vasculaire, infarctus du myocarde induit, arythmie induite et, dans les cas les plus graves, même arrêt cardiaque par fibrillation ventriculaire, ce qui met en jeu le pronostic vital.
L'imagerie n'est pas comme un ECG ou une échographie, vous pouvez la faire quand vous voulez.
Deuxièmement, seules les personnes qui doivent être examinées doivent l'être :
1, l'apparition d'un angor typique, quel que soit le moment, le plus extrême comme juste après la pose d'un stent, une thrombose aiguë, vous devez immédiatement retourner à l'imagerie pour voir si la thrombose du stent ; tant que la preuve de l'angor est répétée à l'examen.
2, l'existence de lésions critiques, telles que l'imagerie d'origine, qui révèle une sténose de 70 à 80 % environ, qui peut être stentée ou non, et qui décide finalement de ne pas poser de stent, puis, après un an, en fonction de la situation, de revérifier l'imagerie, pour voir s'il y a des progrès.
3, lésion principale gauche, c'est-à-dire que la racine du vaisseau présente un rétrécissement, qu'une endoprothèse ait été posée ou non, il faut généralement décider au cas par cas d'examiner un cliché d'imagerie.
4, lésions graves de bifurcation après l'opération, le vaisseau ressemble beaucoup à une branche d'arbre, c'est-à-dire que plusieurs stents ont été posés à l'endroit de la bifurcation des vaisseaux sanguins, les conditions sont généralement examinées pour voir, parce qu'il y a ici une tendance à la re-sténose.
Troisièmement, la plupart des gens n'ont pas besoin d'examiner l'imagerie, mais seulement de procéder à un examen de routine.
1, ils surveillent généralement chez eux la tension artérielle, la glycémie, la fréquence cardiaque, la tension artérielle et la glycémie sont normales, la fréquence cardiaque est la meilleure au repos, près de 60 fois la meilleure ;
2, examen annuel des quatre lipides, en particulier des lipoprotéines de basse densité qui doivent être inférieures à 1,8 ; analyse sanguine pour vérifier s'il y a des problèmes de plaquettes et d'anémie ; examen des fonctions hépatiques et rénales, de la créatine kinase, des électrolytes, etc.
3. un électrocardiogramme pour vérifier s'il y a des arythmies ; une échographie pour voir la structure du cœur et sa fonction, et cela suffira.
4. Si l'on soupçonne un problème vasculaire mais que les preuves ne sont pas suffisantes, il convient de déterminer s'il est nécessaire de réaliser un test d'effort, un scanner coronarien, un nuclide cardiaque ou d'autres tests non invasifs à faible risque ne nécessitant pas d'hospitalisation, plutôt que d'examiner l'imagerie.
L'imagerie n'est pas quelque chose que l'on peut faire juste parce qu'on le veut !
Merci pour l'invitation à faire la une !
Les patients atteints d'une maladie coronarienne doivent-ils subir une coronarographie pour être examinés ? La réponse est non !
Pour déterminer si les patients ont besoin de revoir l'angiographie coronaire après la pose d'un stent coronaire, le chirurgien se base généralement sur les lésions du patient, l'effet postopératoire immédiat, le contrôle des facteurs de risque propres au patient (tabagisme, glycémie, tension artérielle, lipides sanguins) et les symptômes cliniques postopératoires du patient ou l'absence de symptômes, afin de porter un jugement exhaustif.Il ne s'agit pas d'une simple phrase sur le fait de vérifier ou de ne pas vérifier !
La majorité des patients qui subissent une endoprothèse veineuse clinique ne nécessitent pas d'imagerie de suivi régulière. Ces patients ont généralement des lésions relativement simples, un nombre relativement faible de 1 à 2 stents implantés, des résultats immédiats idéaux, voire parfaits, à l'endroit implanté, et aucune sténose expérimentale sévère dans les vaisseaux autres que ceux implantés avec des stents. Après l'intervention, ils peuvent arrêter strictement de fumer et prendre régulièrement de l'aspirine, du clopidogrel/tiglitazarol, ainsi que des médicaments antihypertenseurs, hypolipidémiants et hypoglycémiants. Il n'y a pas de gêne particulière après l'opération. Ces patients doivent être en mesure de faire ce qui suit :
- Contrôle régulier de la tension artérielle, de la glycémie et de la fréquence cardiaque à 60-65 battements/minute au repos.
- Le suivi postopératoire en ambulatoire des analyses sanguines de routine, des lipides, des fonctions hépatiques et rénales, de l'échographie cardiaque et de l'électrocardiogramme a été effectué en mars, juin et décembre.
- Pour les personnes présentant des symptômes angineux atypiques après l'intervention chirurgicale, une nouvelle angiographie coronaire par tomographie assistée par ordinateur ou un examen nucléaire plaquettaire ou myocardique à l'effort peuvent être envisagés pour clarifier la nécessité d'une nouvelle angiographie coronaire.

Le patient de 98 ans, chez qui un stent avait été implanté il y a 16 ans, n'a été examiné pour imagerie par le Dr Choi qu'en raison d'une élévation des enzymes cardiaques, et le stent ne présentait qu'une légère sténose.
ii,Patients nécessitant une révision régulière de la coronarographie
Ces patients comprennent, par opposition aux patients présentant des lésions simples :
1. les lésions complexes pour lesquelles la pose de 3 stents ou plus prend beaucoup de temps, alors que d'autres vaisseaux présentent encore une sténose relativement importante ;
2. 70% de sténose des lésions critiques résiduelles dans les vaisseaux non endigués (avec ou sans endoprothèse) ;
3. une mauvaise observance postopératoire, le fait de ne pas arrêter de fumer, de ne pas prendre correctement les médicaments pour le traitement...
4. localisation spéciale des lésions : patients porteurs d'endoprothèses complexes et spéciales, telles que le tronc principal gauche et la bifurcation complexe.
Le travail d'urgence du Dr Cui sur un patient de 80 ans souffrant d'une crise cardiaque aiguë et d'une sténose de 95 % du tronc principal gauche a été effectué avec soin, avec un risque très élevé de mort subite !
Malgré les progrès de l'industrie du stent et des techniques chirurgicales, le taux de resténose du stent est encore de l'ordre de 5 % (contre environ 20 % les années précédentes). Ces patients présentent un risque élevé de resténose et le chirurgien leur demande souvent de passer une imagerie de contrôle 6 à 9 mois ou 1 an après l'intervention.L'objectif est principalement : 1. de clarifier la situation de l'endoprothèse, de déterminer s'il y a prolifération et resténose à l'intérieur de l'endoprothèse ? 2. de déterminer si les lésions critiques restantes non traitées s'aggravent encore, et s'il y a aggravation, de la traiter à temps, afin d'éviter l'infarctus du myocarde, qui n'est pas encore une menace vitale !
En conclusion, nous devons comprendre que la maladie coronarienne ne peut pas être guérie, qu'il s'agisse d'un stent ou d'un pontage, ou d'un traitement conservateur médicamenteux, il s'agit d'un traitement palliatif ! La plaque vasculaire coronaire est un processus continu de formation, de rupture et de réparation.
Que l'on revoie ou non l'imagerie, il faut toujours suivre à la lettre les instructions du médecin concernant les médicaments, l'arrêt du tabac, le contrôle de la tension artérielle, de la glycémie et des lipides sanguins, un régime pauvre en sel et en graisses, le maintien d'un bon état d'esprit et la pratique active d'exercices d'aérobic !
Si vous avez des problèmes cardiaques, vous pouvez cliquer sur le coin supérieur droit et suivre le Dr Liang, cardiologue, qui partagera avec vous d'autres connaissances médicales.
En ce qui concerne la réponse à la question de savoir si les patients atteints d'une maladie coronarienne doivent être examinés au moyen d'une coronarographie, je voudrais tout d'abord féliciter le Dr Wong, qui a donné la première réponse dans le titre !
J'ai été profondément ému par la réponse du Dr Wang.
1er cas : Le Dr Wang a reçu un patient de 56 ans qui avait subi une coronarographie il y a un an et dont l'artère coronaire était obstruée à 50 %, et qui a demandé une nouvelle coronarographie.
Le Dr Wang lui a patiemment demandé s'il ressentait une gêne au niveau du cœur. Lorsque le patient a répondu qu'il n'en ressentait aucune, le Dr Wang lui a dit qu'il n'était pas nécessaire de procéder à une coronarographie s'il n'y avait pas de problème. Le Dr Wang a ajouté qu'il n'était pas nécessaire de procéder à une autre coronarographie s'il n'y avait pas de problème, afin que le vieil homme n'ait pas à dépenser à nouveau de l'argent et à subir un autre test risqué.
Lors de la deuxième étape, le Dr Wang a donné une importante conférence scientifique à ses patients, à savoir une conférence sur les connaissances en matière de dépistage cardiaque.
Le Dr Wang a d'abord expliqué au patient que la coronarographie est un examen invasif qui comporte certains risques. Le test n'est effectué que si les caractéristiques cardiaques de la patiente justifient la réalisation d'une mammographie.
Les examens cardiaques ne présentant pas les caractéristiques de la coronarographie sont généralement réalisés à l'aide d'un électrocardiogramme, d'une échographie cardiaque et d'une tomodensitométrie coronaire.
Touché par trois, le Dr Wang n'est pas guidé par les intérêts de l'hôpital, contrairement à certains médecins qui rédigent sans discernement des listes de contrôle pour générer des revenus pour l'hôpital.
On peut donc dire que le Dr Wang est un médecin avec une conscience, un médecin responsable et un bon médecin dans le cœur des gens.
Je souhaite au Dr Wang une famille heureuse, une bonne santé et beaucoup de succès. Il deviendra un leader à l'avenir et apportera plus de bonheur à la population.
Merci à la plateforme headline d'avoir sélectionné et promu ce bon médecin !
La coronarographie n'est pas nécessaire pour examiner les patients atteints d'une maladie coronarienne.
1) La coronarographie est en effet l'examen de référence pour le diagnostic de la maladie coronarienne. Il s'agit d'un examen dynamique qui permet d'identifier clairement l'emplacement des lésions sténosantes dans les différentes branches des artères coronaires et d'estimer leur étendue ainsi que l'irrigation sanguine de l'ensemble du vaisseau. Cependant, il s'agit d'un examen invasif, qui doit être réalisé par l'artère fémorale ou l'artère radiale, et le coût relatif de l'examen est plus élevé, de sorte que certains patients ne sont pas aptes à subir cet examen.
La coronarographie est en effet un examen fiable et très précis, mais elle présente aussi des inconvénients : si le vaisseau est endommagé, il faut injecter davantage de produit de contraste et la stimulation de l'artère coronaire par le fil-guide peut entraîner un risque accru de vasospasme dans l'artère coronaire.
La coronarographie, en général, est également indiquée :
- Par exemple, en médecine interne, chez les personnes souffrant d'un angor encore sévère, les lésions artérielles sont clairement identifiées et une thérapie interventionnelle ou un pontage doivent être envisagés ;
- Les personnes qui ont des douleurs thoraciques qui ressemblent à de l'angine de poitrine mais qui ne peuvent pas être diagnostiquées ;
2) S'il s'agit seulement d'un examen physique de la maladie coronarienne et qu'il n'y a pas de symptômes tels qu'une oppression thoracique, un essoufflement, une douleur thoracique, etc. il est recommandé de procéder d'abord à un examen coronarien par tomodensitométrie (CT) ; il s'agit d'un film CT, d'une imagerie numérique simulant le système des artères coronaires, c'est-à-dire d'une angiographie, pour montrer les problèmes des artères coronaires, pour voir s'il y a des plaques dans l'artère coronaire ? Quelle est la taille de la plaque ? Y a-t-il des calcifications ? Il s'agit d'un test non invasif dont le coût est moins élevé, ce qui est plus facile à accepter pour les patients.
Par conséquent, il n'est pas nécessaire de le faire, mais il faut examiner la situation spécifique du patient, s'il y a des symptômes de l'examen, on peut choisir de faire un, relativement aussi être assuré que certains ; s'il n'y a pas de symptômes, il suffit d'examiner l'examen physique, faire un scanner des artères coronaires sera également possible.
La maladie coronarienne est l'une des maladies chroniques les plus courantes, et la maladie coronarienne est l'une des principales causes de décès de nos résidents, l'importance de la maladie coronarienne est donc évidente ! Les maladies coronariennes sont nombreuses, à l'heure actuelle notre pays compte 11 millions de patients atteints de maladies coronariennes, après le diagnostic de maladies coronariennes, nous devons nous rendre régulièrement à l'hôpital pour les examiner, l'examen de l'artériographie coronarienne est un moyen courant d'examen, alors faut-il tous examiner l'imagerie ? Discutons ensemble de cette question.
I. Pourquoi la maladie coronarienne doit-elle faire l'objet d'un examen d'imagerie ?
Tout d'abord, il faut préciser que la coronarographie n'est qu'un test, un test important pour évaluer la gravité de la maladie coronarienne, le traitement de la maladie coronarienne, l'effet du traitement de la maladie coronarienne et pour déterminer si la maladie coronarienne est présente. Ainsi, pour de nombreux patients chez qui on a diagnostiqué une maladie coronarienne, afin de clarifier l'effet du traitement de la maladie coronarienne et d'évaluer la gravité de la maladie coronarienne, nous devons souvent choisir d'examiner l'angiographie coronarienne afin d'évaluer l'état de la maladie et de guider le traitement.
Deuxièmement, tous les patients doivent-ils subir une nouvelle coronarographie ?
Nous ne recommandons pas l'examen systématique de la coronarographie, ce qui signifie que tous les patients atteints d'une maladie coronarienne ne doivent pas être examinés et que, proportionnellement, la plupart d'entre eux n'ont pas besoin d'être examinés en vue d'une coronarographie. D'une part, la coronarographie est compliquée, d'autre part, la coronarographie est invasive, troisièmement, la coronarographie est un examen coûteux, et enfin, la coronarographie n'est pas très significative pour de nombreux patients, de sorte qu'il n'est pas nécessaire de répéter la coronarographie pour tous les patients.
C. Quels sont les patients qui ont besoin d'une nouvelle coronarographie ?
Pour quels patients faut-il revoir la coronarographie ? Il s'agit généralement des types suivants. D'une part, lorsqu'un patient présente de nouveaux symptômes, comme un syndrome coronarien aigu, et que nous revoyons l'imagerie afin d'évaluer et d'orienter l'état du patient. Le deuxième type est celui où il n'y a pas de nouveaux symptômes, mais où il y a une exacerbation de la condition, comme une hypertrophie du cœur et une insuffisance cardiaque ! Le troisième type concerne les besoins de traitement séquentiel ! Le quatrième type concerne les besoins en matière de recherche scientifique et d'expérimentation, mais ces besoins en matière de recherche scientifique et d'expérimentation ont fait l'objet d'un accord et d'une information préalables avec le patient !
Vous voyez ce que je veux dire ? Tous les patients atteints d'une maladie coronarienne n'ont pas besoin d'examiner la coronarographie, la plupart des patients ne sont pas recommandés pour un examen systématique de l'angiographie après tout, l'angiographie est une opération invasive. Suivez-nous pour des mises à jour quotidiennes sur la science et la technologie poussées vers vous.
Bien sûr que non, l'imagerie n'est qu'un des tests, ce n'est pas un test obligatoire et il peut être préjudiciable au patient s'il est effectué à l'aveuglette.

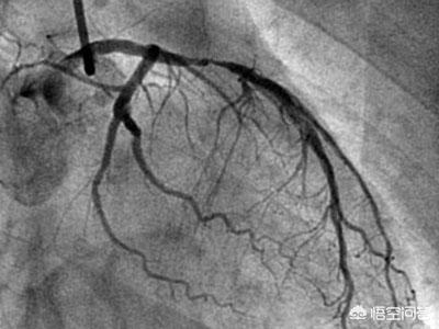
Qu'est-ce que la coronarographie ?
La coronarographie, contrairement à d'autres examens de routine, ne peut pas être effectuée à la légère en clinique, car elle peut être nocive pour le patient par rapport à des examens similaires, et le principe général est de ne pas l'effectuer si cela est possible.

Quelles sont les conséquences possibles de la coronarographie ?
1, arythmie.
2. Saignement et hématome au point de ponction.
3, crise cardiaque aiguë.
4, allergie aux contrastes.

Qu'est-ce qui est examiné chez les patients souffrant d'une maladie coronarienne ?
1. Électrocardiogramme : pour détecter la présence d'ischémie myocardique et d'arythmie.
2, routine sanguine : parce que les patients atteints de maladie coronarienne doivent prendre une variété de médicaments pendant une longue période, cela peut affecter les plaquettes et l'hémoglobine, il est nécessaire de revoir la routine sanguine.
3, Sang occulte dans les selles : cette mesure s'applique principalement aux patients ayant reçu un stent, en raison de la nécessité d'une double anticoagulation après le stent, il est facile d'avoir des saignements gastro-intestinaux ; à ce moment-là, il faut revérifier le sang occulte dans les selles pour voir s'il est positif.
4, échographie cardiaque : comme les patients atteints d'une maladie coronarienne ont souvent des problèmes d'approvisionnement en sang du myocarde, ce qui peut endommager le muscle cardiaque, vous devriez examiner l'échographie cardiaque pour voir s'il y a des changements dans la structure et la fonction du cœur.
5, Coronarographie : le test final, après la combinaison des tests précédents, afin de clarifier la situation des lésions des artères coronaires à l'origine de l'ischémie, il est nécessaire de procéder à une coronarographie.
(Je suis Luo Min, médecin-chef dans un hôpital de niveau 3A, un "vieux" médecin avec plus de 30 ans d'expérience clinique, mes efforts ne visent qu'à récolter les bénéfices de votre approbation, si ma réponse peut vous aider, j'espère que vous l'aimerez, que vous y prêterez attention, et si vous avez des questions, vous pouvez commenter ou m'écrire en privé, je ferai de mon mieux pour vous aider).
Pas nécessairement. Ma maladie coronarienne a fait l'objet de trois stents à l'hôpital l'hiver précédent, un an plus tard à l'hôpital, j'ai fait une échographie cardiaque, une surveillance cardiaque 24 heures sur 24 (boîte arrière), des analyses de sang, j'ai peur de faire de l'imagerie, le médecin a dit qu'il ne fallait pas utiliser l'imagerie, c'est très bien.
La coronarographie est l'une des méthodes de référence pour confirmer le diagnostic de maladie coronarienne et joue un rôle très important dans la détermination du degré de sténose des artères coronaires. Pour les patients atteints d'une maladie coronarienne due à l'athérosclérose des artères coronaires, dans les conditions médicales actuelles, il n'y a pas de remède efficace, un traitement à long terme est nécessaire, afin de stabiliser et de contrôler l'état et de réduire l'apparition de complications, nous devons prêter attention à la surveillance des changements de l'état et à l'examen régulier en même temps que le traitement régulier, et adhérer à l'examen régulier du contrôle de l'état et à l'élaboration d'un programme individualisé a un rôle irremplaçable, afin que les patients atteints d'une maladie coronarienne puissent bénéficier d'un traitement de qualité. Les patients atteints d'une maladie coronarienne doivent faire l'objet d'un examen régulier.

La maladie coronarienne fait principalement référence à la cardiopathie coronarienne athéroscléreuse, qui est une maladie cardiaque due à l'athérosclérose des artères coronaires, qui entraîne un rétrécissement ou une occlusion des artères coronaires, avec pour conséquence l'ischémie, l'hypoxie et la nécrose des cellules du muscle cardiaque. Pour diagnostiquer une maladie coronarienne, il est nécessaire de combiner les symptômes cliniques, les tests de laboratoire, l'électrocardiogramme, la tomodensitométrie coronarienne, la coronarographie et d'autres examens complets.

Certaines personnes se demandent quels éléments doivent être examinés chez les patients atteints de coronaropathie. Est-il nécessaire de revoir la coronarographie ? Si l'état des patients atteints de coronaropathie est stable, les examens visent principalement à détecter les effets secondaires des médicaments thérapeutiques correspondants, tels que la fonction hépatique pour déterminer si les statines entraînent des lésions du foie ; la routine sanguine et la coagulation pour déterminer le risque de saignement dû aux médicaments anticoagulants, tels que l'aspirine ; les profils des enzymes cardiaques pour déterminer si les statines entraînent des lésions du myocarde ou des lésions musculaires. Pour les personnes atteintes d'une maladie coronarienne qui présentent des symptômes d'ischémie tels qu'une oppression ou une douleur thoracique, des éléments tels que l'électrocardiogramme et l'échographie cardiaque peuvent être examinés en fonction de leur état.

En ce qui concerne la nécessité de revoir la coronarographie, il n'est pas recommandé de revoir systématiquement la coronarographie, car la coronarographie est, après tout, une opération invasive ; il faut la revoir ou essayer de lui préférer des tests non invasifs, tels que l'électrocardiographie, l'échographie cardiaque, le test de la plaque ou la tomodensitométrie coronaire, etc. et, pour ses propres lésions coronariennes, revoir les crises d'angine fréquentes ou les infarctus du myocarde, poser un stent après la réapparition de l'angine de poitrine, à ce moment-là, on peut améliorer la coronarographie l'examen, afin de mieux comprendre le degré de la maladie coronarienne. Nous espérons que vous comprendrez et suivrez correctement les conseils des médecins professionnels pour effectuer un diagnostic, un traitement et un examen standardisés.
J'espère que cet article pourra vous aider, si vous avez des questions, n'hésitez pas à laisser un message à la fin de l'article, nous pourrons en discuter ensemble.
Cet article a été initialement rédigé par Dr Lai on Health (anciennement connu sous le nom de GP Sweeper).
Suivez @DrLeeTalksHealth pour plus de connaissances sur la santé.
Les patients souffrant d'une artère coronaire ne sont généralement pas obligés de subir une coronarographie à chaque fois qu'ils sont examinés. Les patients peuvent être soumis à un ECG et à des examens de biochimie sanguine et de routine sanguine au moment de l'examen. Si le patient présente fréquemment des symptômes d'angine de poitrine pendant la période de convalescence, il est nécessaire de procéder à un examen des vaisseaux sanguins du cœur ou à une coronarographie sous la direction du médecin. Pendant la période de convalescence, le patient doit prendre soin de son état de santé et adopter un régime alimentaire léger, en évitant les aliments gras ou épicés.
La coronarographie est un examen invasif principalement utilisé pour le diagnostic de la maladie coronarienne, le suivi préopératoire et postopératoire de la pose d'une endoprothèse coronarienne, etc. En raison de sa nature invasive et de l'influence du produit de contraste, des radiations et d'autres problèmes, elle n'est pas utilisée comme programme d'examen de routine pour les patients souffrant d'une maladie coronarienne.
Examen de routine des patients atteints d'une maladie coronarienne
Les patients atteints d'une maladie coronarienne doivent régulièrement passer en revue les lipides sanguins, la glycémie, la tension artérielle, la fonction hépatique, la fonction rénale, la routine sanguine et d'autres tests biochimiques, ainsi que l'ECG, l'échographie cardiaque et d'autres tests auxiliaires, en particulier les lipides sanguins, qui doivent être maintenus sous le contrôle d'une lipoprotéine de basse densité de 1,8 mmol / L. En bref, il s'agit de passer en revue certains éléments qui causent l'athérosclérose, les effets secondaires liés aux statines et les éléments permettant d'évaluer l'état de santé, tels que l'échographie cardiaque et l'électrocardiogramme.

Nécessité d'une nouvelle coronarographie
1. sur la base d'une médication régulière, lorsque la fréquence et la durée des épisodes de douleur thoracique ont récemment augmenté de manière significative par rapport à la précédente, et lorsqu'il y a une aggravation de l'état de santé. À ce moment-là, il peut y avoir des changements dans la plaque artérielle et l'imagerie est nécessaire pour réévaluer le plan de traitement.
2、Suspicion d'infarctus. Une douleur soudaine et persistante à la pression précordiale antérieure, contenant de la nitroglycérine, etc. ne soulage pas, on soupçonne une crise cardiaque, il faut immédiatement examiner la coronarographie et, si nécessaire, procéder à une ICP d'urgence.
3) Six mois à un an après la pose d'une endoprothèse coronaire, en particulier lorsqu'il y a plusieurs endoprothèses et que les lésions sont plus compliquées, il est préférable de revoir l'imagerie pour savoir s'il y a une resténose de l'endoprothèse et ainsi de suite.

En d'autres termes, lorsque l'état de la maladie coronarienne est stable, il n'est pas nécessaire de revoir l'imagerie, mais il suffit de continuer à prendre régulièrement des médicaments, de revoir régulièrement certains facteurs de risque cardiovasculaire, et si l'état est instable et s'aggrave manifestement, vous pouvez envisager de revoir la coronarographie.
Ces questions et réponses proviennent des utilisateurs du site, elles ne représentent pas la position du site, s'il y a une infraction, veuillez contacter l'administrateur pour la supprimer.
