Quels sont les symptômes physiques d'une hémorragie cérébrale imminente ? Qui est le plus susceptible d'avoir une hémorragie cérébrale ?
Quels sont les symptômes physiques d'une hémorragie cérébrale imminente ? Qui est le plus susceptible d'avoir une hémorragie cérébrale ?
Il y a quelques jours, le frère de la famille, âgé de 46 ans, est décédé d'une hémorragie cérébrale. Il est resté aux soins intensifs pendant plusieurs jours, sans qu'aucun argent ne soit dépensé, et il n'a pas été sauvé. Il n'avait que 46 ans et ses enfants étaient encore à l'école ; il est donc décédé, laissant une famille derrière lui.
Quels sont les symptômes physiques d'une hémorragie cérébrale imminente ? Qui est le plus susceptible d'avoir une hémorragie cérébrale ?
Le frère aurait été en bonne santé jusqu'à sa mort et, le jour même de l'attaque, il s'était rendu à la clinique pour un rhume. Par la suite, alors qu'il se rendait au travail dans l'après-midi, il a soudainement ressenti un mal de tête foudroyant et a déclaré que son membre gauche était comme rongé par des fourmis, au moment où son collègue appelait à l'aide, il était déjà inconscient. Après avoir été envoyé à l'hôpital, il a été diagnostiqué comme souffrant d'une hémorragie cérébrale et est décédé après avoir été réanimé.

Symptômes au début de l'hémorragie cérébrale !
Un survivant d'une hémorragie cérébrale a un jour décrit le début de sa maladie comme suit : dans un premier temps, il s'est senti comme un coup de tonnerre, sa tête était congestionnée et sa tension artérielle augmentait ; dans un deuxième temps, il a commencé à avoir un mal de tête intense, très intense, accompagné de vomissements ; dans un troisième temps, il a perdu connaissance et s'est évanoui.
Il s'agit d'un symptôme typique d'une hémorragie du tronc cérébral et du type d'hémorragie cérébrale le plus grave, bien que tous les patients ne présentent pas ces symptômes. Les symptômes exacts d'une hémorragie cérébrale varient d'un patient à l'autre. Le plus souvent, les patients présentent un début soudain, s'effondrant brusquement sur le sol, suivi de vomissements, de ronflements et d'incontinence, après quoi ils tombent dans le coma. Certains patients sont moins gravement atteints et peuvent être conscients, mais seulement souffrir de maux de tête et d'une vision floue.
1. précurseur d'une hémorragie cérébrale :L'hémorragie cérébrale se manifeste rapidement, mais il existe des signes avant-coureurs, tels que des saignements de nez récurrents inexplicables, des hémorragies au fond de l'œil, etc. ; des vertiges et des maux de tête inexplicables ; des troubles de l'élocution, une aphasie transitoire, une incapacité à comprendre les paroles d'autrui ; une vision floue et une image double ; un engourdissement et une faiblesse des membres, des anomalies de la posture de marche, des chutes d'objets ; un bavage inexplicable, des yeux et une bouche déformés ; de la fatigue, etc.
2. les symptômes de l'hémorragie cérébrale :Les symptômes spécifiques de l'hémorragie cérébrale sont liés à l'importance et à la localisation du saignement. Parmi eux, l'hémorragie la plus fréquente dans les ganglions de la base du cerveau se manifeste par une hémiparésie, un engourdissement de la moitié des membres, une hémianopsie, etc. ; l'hémorragie thalamique se manifeste souvent par des troubles moteurs avec engourdissement et douleur de la moitié des membres, etc. ; l'hémorragie dans le tronc cérébral se manifeste souvent par des céphalées sévères, des vertiges, des vomissements et une paralysie des membres, etc. ; l'hémorragie cérébelleuse se manifeste souvent par des vomissements et des douleurs dans la région occipitale, etc. ; l'hémorragie dans les ventricules du cerveau se manifeste par des céphalées, des vomissements, une aphasie, etc. Dans de rares cas, on observe un coma, une paralysie, etc. qui sont généralement bénins.

Ce sont les personnes qui présentent un risque élevé d'hémorragie cérébrale !
Pour parler des groupes à haut risque d'hémorragie cérébrale, il faut d'abord connaître les facteurs de causalité de l'hémorragie cérébrale. D'une manière générale, l'hémorragie cérébrale peut être divisée en hémorragie cérébrale primaire et hémorragie cérébrale secondaire. L'hémorragie cérébrale primaire désigne l'hémorragie cérébrale induite par une hypertension de longue durée ou une angiopathie amyloïde, qui représente environ 85 % des cas ; l'hémorragie cérébrale secondaire désigne l'hémorragie cérébrale secondaire à une malformation vasculaire, un anévrisme, une tumeur intracrânienne, une maladie hématologique etc. et l'hémorragie cérébrale peut également être induite par l'utilisation de certains médicaments.
Sur cette base, il existe plusieurs catégories principales de personnes présentant un risque élevé d'hémorragie cérébrale :
La première catégorie est celle des personnes souffrant d'hypertension artérielle.Il s'agit du type le plus courant. La cause la plus fréquente de l'hémorragie cérébrale étant l'hypertension artérielle, une pression artérielle non contrôlée à long terme entraîne une artériosclérose cérébrale, un anévrisme cérébral, etc., rendant les vaisseaux sanguins insupportables, puis la rencontre avec certains facteurs qui blessent les vaisseaux sanguins, tels que des fluctuations émotionnelles, un exercice physique intense, une augmentation soudaine de la pression artérielle, des changements de température, etc.
La deuxième catégorie est celle des personnes atteintes de certaines maladies.Par exemple, les patients atteints de maladies telles que l'angiopathie amyloïde, les maladies hématologiques, les tumeurs intracrâniennes, les malformations vasculaires et les anévrismes cérébraux présentent un risque d'hémorragie cérébrale beaucoup plus élevé que les personnes normales. Pour ces patients, les maladies qui peuvent être traitées doivent l'être activement, et celles qui ne peuvent pas l'être doivent faire l'objet d'un examen régulier afin de toujours prendre conscience du risque.

Le troisième groupe est celui des patients qui prennent certains médicaments.Par exemple, l'utilisation à long terme de médicaments antiplaquettaires (aspirine, clopidogrel, etc.), la prise d'anticoagulants (warfarine, etc.), la prise de sympathomimétiques (cocaïne, amphétamine, etc.) augmentent le risque d'hémorragie cérébrale, et ce groupe de personnes doit également faire l'objet d'un examen régulier afin de détecter les risques potentiels et d'y répondre en temps utile.
La quatrième catégorie est celle des personnes ayant de mauvaises habitudes de vie.Les mauvaises habitudes de vie à long terme sont également responsables des dommages causés aux vaisseaux sanguins, et ne sont pas propices à la gestion de la tension artérielle, des lipides sanguins, etc. ou constituent un facteur direct d'hémorragie cérébrale. Par exemple, le tabagisme et la consommation d'alcool à long terme, une alimentation riche en sel, en graisses et en sucres, la suralimentation, la sédentarité, l'obésité, une pression excessive, des nuits prolongées, des émotions surexcitées, etc. sont des facteurs à haut risque d'hémorragie cérébrale, et nous devons activement améliorer nos mauvaises habitudes et mener une vie saine.
Je suis le Dr Wong, un médecin cardiovasculaire qui s'efforce d'expliquer en termes simples des connaissances complexes et difficiles sur les maladies, afin de vous aider à gérer votre corps. Vos éloges sont ma plus grande motivation ! En outre, si des membres de votre famille ont également des problèmes liés à cette maladie, n'hésitez pas à leur transmettre cet article !
Pour être honnête, l'hémorragie cérébrale est aujourd'hui considérée comme une maladie à incidence relativement élevée, et c'est une maladie plus mortelle, tout le monde doit être impliqué dans les patients atteints d'hémorragie cérébrale, et c'est maintenant de plus en plus jeune, dire que cinquante ou soixante ans peuvent avoir une hémorragie cérébrale est acceptable, mais maintenant beaucoup de personnes âgées de trente ou quarante ans ont fréquemment une hémorragie cérébrale, ces deux jours ont également vu le commentaire que son collègue âgé de plus de 30 ans pour travailler a soudainement eu une hémorragie cérébrale ! L'hémorragie cérébrale n'est pas acceptée par la population en général, mais en fin de compte, elle se produit avant l'apparition de certains signes avant-coureurs.
Existe-t-il des signes avant-coureurs d'une hémorragie cérébrale ?
1, en tant que médecin, vous avez besoin de faits sur lesquels fonder vos théories, donc pas de conneries, pour une hémorragie cérébrale, c'est uneMaladies plus aiguës, plus graves, avec un risque élevé de décès si elles surviennent. Il est désormais confirmé que les patients atteints d'hémorragie cérébrale sont précédés d'une apparition soudaine de la maladiemaux de tête sévèresCes maux de tête sont souvent accompagnésSymptômes de nausées et de vomissementsCependant, en raison de la progression rapide de la maladie, si les premiers stades de la maladie et ses manifestations pré-maladie ne sont pas détectés le plus tôt possible, un traitement efficace risque de ne pas être disponible. Une fois qu'un patient a développé une hémorragie cérébrale, lesLa tension artérielle montera en flèche et sera ridiculement élevée.
2. en raison deL'hémorragie cérébrale hypertensive est également relativement fréquenteLa raison pour laquelle il faut se concentrer sur les patients souffrant d'hypertension artérielle est la suivante : les hémorragies cérébrales hypertensives surviennent généralement dans l'enfance.Davantage chez les personnes d'âge moyen et plus âgéesLa première est que le nombre de patients masculins est plus élevé que le nombre de patients féminins, et que l'apparition de la maladie est également saisonnière.L'hiver et le printemps sont déjà les saisons les plus propices aux maladies cardiovasculairesC'est pourquoi l'hémorragie cérébrale n'est pas une exception, car la différence de température entre l'hiver et le printemps ainsi que les stimuli du froid affectent fortement la tension artérielle et les vaisseaux sanguins. Il s'agit également de vous dire que si vous souffrez d'hypertension depuis longtemps, vous devez faire attention aux hémorragies cérébrales.

Qu'est-ce qui déclenche la survenue d'une hémorragie cérébrale ?
- En fait, la principale raison pour laquelle une hémorragie cérébrale se produit est la suivanteLésions des vaisseaux cérébrauxpar exempleRupture de micro-artères dans le cerveau : hémorragieQu'est-ce qu'un anévrisme cérébral ? C'est une simple question deRenflement en forme de ballon dans la paroi d'un vaisseau sanguin cérébral.C'est comme siLa paroi du pneu est mince et bombée.Mais si vous me demandez pourquoi les petites artères de la tête développent des anévrismes, je vous répondrai que c'est principalement dû à l'hypertension artérielle.La relation entre l'hypertension et l'hémorragie cérébrale est extrêmement étroite.parce que les parois des vaisseaux sanguins cérébraux sont chroniquement affectées par l'augmentation de la pression due à l'hypertension artérielle.Des modifications anévrismales peuvent se produire dans des parties du canal qui étaient à l'origine à parois minces ou durcies.Cependant, ces anévrismes sont généralement très petits, si petits que nous ne pouvons pas les voir à l'œil nu, et lorsqu'il y a une augmentation soudaine de la pression artérielle à un moment donné et une fluctuation soudaine et drastique de la pression artérielle, cela peut entraîner la rupture de l'anévrisme et une hémorragie, ainsi qu'une hémorragie cérébrale.
- De plus, l'hypertension artérielle a un impact surLes effets à long terme sur les vaisseaux sanguins cérébraux endommagent également la paroi des vaisseaux sanguinsSi l'endothélium des vaisseaux sanguins est endommagé, les lipides présents dans le sang peuvent profiter de la situation, ce qui entraîne des changements au niveau de l'hyperplasie, de la dégénérescence et de l'infiltration cellulaire dans la paroi du vaisseau, qui peuvent conduire à une nécrose sévère de la paroi du vaisseau, puis à une rupture et à une hémorragie.
- Et puis il y a ceci.Les modifications athérosclérotiques des vaisseaux sanguins du cerveau augmentent également le risque d'hémorragie cérébrale.et éventuellement la rupture d'un vaisseau sanguin plus important pour cause de saignement.

Comment contrôler la pression artérielle chez les patients hypertendus pour réduire les hémorragies cérébrales ?
1) Sommes-nous tous en train de réfléchir à une question qui estLes personnes souffrant d'hypertension doivent faire de leur mieux pour maintenir leur tension artérielle dans des limites normales ou raisonnables, ou au moins pour la maintenir stable.Par conséquent, de nombreux amis ou fans ont déclaré qu'ils souffraient rarement d'hypertension en général, ou que leur tension artérielle n'était pas très élevée, qu'ils souffraient généralement d'hypertension mais ne présentaient aucun symptôme, ou qu'ils ne prenaient des médicaments qu'après l'apparition de symptômes tels que des maux de tête, qu'ils soient dus ou non à l'hypertension.
2) Je vais donc vous faire un exposé séparé, tout d'abord, si nous disons queDéveloppe rarement une hypertension artérielle au cours de sa vie normaleSi votre tension artérielle n'augmente qu'occasionnellement sous l'effet d'une activité ou d'une émotion, il est possible dePas de nécessité de prendre des médicaments antihypertenseursmais la pression artérielle doit toujours être gérée, ce qui peut être fait dans le cadre d'un programme d'éducation à la santé.Renforcement du corps, arrêt de la consommation de tabac et d'alcool, contrôle des émotionsDeuxièmement, si la tension artérielle habituelle est supérieure à la normale, mais qu'elle se situe entre la normale et l'élevée, vous pouvez choisir en fonction de votre propre situation économique et de votre condition physique, il est également recommandé de réguler la tension artérielle en modifiant le mode de vie, mais si la tension artérielle est supérieure à la normale, vous pouvez choisir en fonction de votre propre situation économique et de votre condition physique.Après une période plus longue et si les attentes ne sont pas satisfaites, un traitement médicamenteux est nécessaire.Si la tension artérielle fluctue fortement, il est recommandé d'utiliser des médicaments pour la stabiliser et de la réguler dans un service de cardiologie.

3. En ce qui concerne le contrôle de la tension artérielle, les jeunes peuvent la contrôler à un niveau normal, tandis que les personnes âgées et les patients souffrant de maladies plus graves doivent relâcher la pression artérielle. Il n'est pas recommandé de contrôler la tension artérielle à un niveau normal, car il peut y avoir un apport sanguin insuffisant ou des effets vasculaires cérébraux, une tension élevée de 140-150 mmHg est acceptable.
Sœur Sun m'a appelé hier pour me dire que la bouche de son beau-père s'était soudainement déformée pendant qu'il mangeait son repas, qu'il ne pouvait plus parler et qu'il ne pouvait plus bouger le côté droit de son corps.
J'ai dit : dépêche-toi d'appeler le 120, ça ne sert à rien de m'appeler.
Sister Sun a dit : "Je ne sais pas ce qu'on peut faire maintenant, pouvez-vous prendre de l'aspirine en guise de premiers soins ?
J'ai dit : mettez la personne à l'aise, veillez à ce qu'elle n'ait rien dans la bouche, qu'elle ne s'étouffe pas. Il n'est pas recommandé de prendre des médicaments, parce que maintenant nous pouvons seulement dire qu'il s'agit d'un accident vasculaire cérébral, mais nous ne pourrons pas dire s'il s'agit d'une hémorragie cérébrale ou d'un infarctus cérébral à partir de la manifestation. S'il s'agit d'une hémorragie cérébrale, prendre de l'aspirine pour augmenter le saignement, c'est mauvais. Allons d'abord à l'hôpital.
120 La pression artérielle a été mesurée à 200/100, tandis que la perfusion a été envoyée à l'hôpital, où l'on a procédé d'urgence à une tomodensitométrie cérébrale qui a d'abord révélé une hémorragie cérébrale.
Après l'opération, j'ai été envoyée dans l'unité de soins, et Sun est venue me remercier en disant que c'était grâce à moi si je n'avais pas autorisé la prise d'aspirine, sinon il y aurait eu plus d'hémorragies.
L'hémorragie cérébrale et l'infarctus cérébral sont tous deux des maladies vasculaires cérébrales, que nous appelons aussi collectivement accident vasculaire cérébral ou AVC. Bien que les manifestations soient fondamentalement les mêmes, l'une est un vaisseau sanguin qui éclate et saigne, et l'autre est un vaisseau sanguin bloqué par un thrombus, et les principes de traitement sont complètement opposés. Il n'est donc pas facile de déterminer s'il s'agit d'une hémorragie cérébrale ou d'un infarctus cérébral sur la base des symptômes, et nous devons confirmer le diagnostic par un examen tomodensitométrique avant d'oser utiliser des médicaments pour traiter la maladie.
Causes d'hémorragie cérébrale :
L'hémorragie cérébrale est simplement définie comme un saignement causé par la rupture d'un vaisseau sanguin dans le cerveau, ce qui exclut généralement les saignements causés par un traumatisme. La plupart des hémorragies cérébrales sont associées à l'hyperlipidémie, au diabète, à l'hypertension et à l'athérosclérose, qui sont les principales causes d'hémorragie cérébrale.
Elle peut également être associée à des malformations vasculaires, des anévrismes, des troubles de la coagulation, après un traitement anticoagulant ou antiplaquettaire, après une thérapie thrombolytique, une transformation hémorragique post-infarctus, des troubles hématologiques, la maladie du fumeur, des néoplasmes primaires ou métastatiques, une thrombose du sinus veineux, une vascularite, une grossesse, etc.
L'hémorragie cérébrale peut être déclenchée par un exercice ou un travail intense, le changement climatique, le tabagisme, l'alcoolisme, l'excès de sel, le surpoids, les fluctuations de la tension artérielle, le stress émotionnel et le surmenage.
L'hémorragie cérébrale est hautement fatale, 30 à 40 % des hémorragies cérébrales entraînant la mort dans la phase aiguë, et beaucoup d'autres laissant des séquelles : hémiplégie et aphasie, paraplégie, alitement prolongé, etc.
Quand faut-il suspecter une hémorragie cérébrale ?
Les plus courantes sont 1 le visage, pour savoir si la bouche et les yeux sont déformés, 2 les bras, pour savoir s'il y a une faiblesse unilatérale, et l'écoute du zéro pour savoir si le discours est clair. La plupart des hémorragies cérébrales ont des manifestations très évidentes, telles que l'hémiparésie, l'aphasie et les troubles de l'élocution ; les vomissements, les crises de vertige, la léthargie ou le coma ; l'inégalité des pupilles, l'hémianopsie et les troubles des mouvements oculaires ; les maux de tête, les vertiges souvent accompagnés de maux de tête et d'autres manifestations.
Cependant, si ces manifestations se sont déjà produites, cela signifie qu'une hémorragie cérébrale ou un infarctus cérébral s'est déjà produit et qu'il ne peut s'agir d'un précurseur d'hémorragie cérébrale. Si nous devons dire que les précurseurs d'hémorragie cérébrale sont des facteurs à haut risque, et que ceux qui sont plus susceptibles d'avoir une hémorragie cérébrale sont les précurseurs de l'hémorragie cérébrale, nous pouvons dire que les précurseurs d'hémorragie cérébrale sont des facteurs à haut risque.
Qui est le plus susceptible d'avoir une hémorragie cérébrale ?
Comme nous l'avons dit plus haut, la plupart des hémorragies cérébrales sont associées à l'hypertension artérielle, au diabète, à l'hyperlipidémie et à l'athérosclérose, et ces facteurs peuvent être contrôlés. L'hypertension artérielle est la cause la plus fréquente et la plus directe des hémorragies cérébrales. Si vous souffrez de ces trois facteurs et qu'ils ne sont pas contrôlés correctement, vous courez un risque accru d'hémorragie cérébrale.
En outre, le tabagisme, l'alcoolisme, l'obésité, les sautes d'humeur, le surmenage et d'autres facteurs déclenchants augmentent le risque d'hémorragie cérébrale.
Ainsi, la prévention de l'hémorragie cérébrale, ou pour revenir à notre science quotidienne, se concentre sur les points suivants : la surveillance de la tension artérielle doit être activement contrôlée, en particulier la tension artérielle ne doit pas être trop élevée. En même temps, les trous et le poids, une alimentation saine, l'absence de tabac et d'alcool, éviter de se coucher tard, la bonne humeur et ainsi de suite, une vie saine globale afin de prévenir l'hémorragie cérébrale !
L'hémorragie cérébrale est une maladie très grave et mortelle avec un taux d'invalidité très élevé. À l'heure actuelle, l'hémorragie cérébrale et l'infarctus cérébral se voient attribuer conjointement l'"honneur" d'être les maladies présentant les taux d'invalidité et de mortalité les plus élevés dans la liste des maladies en Chine.
Je vous présenterai ici les symptômes et signes les plus courants de l'hémorragie cérébrale hypertensive et de l'hémorragie sous-arachnoïdienne, puis je vous donnerai un aperçu des personnes les plus susceptibles de subir une hémorragie cérébrale et des facteurs de risque de déclenchement d'une hémorragie cérébrale.
hémorragie cérébrale hypertensive
L'hémorragie cérébrale hypertensive est le type d'hémorragie cérébrale le plus courant dans la pratique clinique, et les symptômes varient en fonction de la localisation de l'hémorragie cérébrale.
Le site le plus courant de l'hémorragie cérébrale hypertensive est la capsule interne. La capsule interne est un nœud de transport important dans le cerveau, les fibres nerveuses du cortex moteur du cerveau et les fibres nerveuses sensorielles du corps passant par cet endroit.

Lorsqu'un vaisseau sanguin se rompt et saigne, le sang qui s'écoule comprime et endommage les fibres nerveuses et le tissu cérébral environnants. Le patient présente alors les symptômes suivants.
1. les maux de tête. Ce point n'est pas difficile à comprendre et ne sera pas expliqué plus avant.
2. une diminution de la force d'un côté du membre ou une paralysie complète, ce que l'on appelle souvent l'hémiplégie. Comme je l'ai mentionné précédemment, la capsule interne est l'endroit où passent nos nerfs moteurs. Lorsqu'il y a un saignement dans cette zone, cela entraîne une compression et une lésion des nerfs moteurs. Si la lésion est légère, ou si seule une partie du nerf est endommagée, il y aura une perte de force musculaire et une inflexibilité des bras et des jambes. Si l'atteinte est plus grave, il s'agit d'une hémiplégie complète d'un membre.
3. les coins de la bouche sont déformés et l'élocution est difficile. Cela est dû à des lésions des fibres nerveuses qui innervent les muscles faciaux.
4. déficience sensorielle d'un membre, engourdissement et incapacité à ressentir la douleur, le toucher et la température. Ces troubles sont dus à des lésions des fibres nerveuses.
5) Altération de la conscience. En cas d'hémorragie cérébrale grave, le patient est directement inconscient en raison de la forte pression exercée sur le cerveau.
6. une forte augmentation de la pression artérielle. Il s'agit d'une manifestation importante chez les patients souffrant d'hémorragie cérébrale. Elle est due à l'augmentation de la pression dans la cavité crânienne, qui doit être augmentée pour continuer à pomper le sang vers le cœur.
Comme 70 % des hémorragies cérébrales se produisent dans la capsule interne, c'est ainsi que nous voyons souvent des personnes atteintes d'hémorragies cérébrales dans notre vie.
En outre, en raison de l'augmentation de la pression crânienne, le patient peut souffrir de nausées et de vomissements (les nausées et les vomissements sont essentiellement fréquents en cas de lésions intracérébrales, telles que l'encéphalite et les tumeurs cérébrales, qui sont associées à une augmentation de la pression intracrânienne stimulant le centre du vomissement).
S'il s'agit d'une hémorragie du cervelet, celui-ci contrôle notre équilibre et nos mouvements. Ainsi, après une hémorragie cérébelleuse, le patient souffrira également de maux de tête et, en même temps, de vertiges, d'une marche instable, d'une station debout instable et d'autres problèmes.
Une autre zone est le saignement dans le tronc cérébral, qui est également connu comme le centre de la vie parce que le centre qui contrôle notre respiration et notre rythme cardiaque est situé dans le tronc cérébral. Les hémorragies du tronc cérébral sont les plus dangereuses et une petite quantité d'hémorragie peut être fatale.
L'un de mes patients les plus impressionnants présentait une hémorragie de quelques millilitres dans le tronc cérébral, et tout allait bien. Un jour, lors de son enregistrement, il nous parlait et soudain son cœur et sa respiration se sont arrêtés. De plus, comme le tronc cérébral est petit et que sa fonction est importante, il est difficile d'opérer en cas d'hémorragie cérébrale, et la plupart d'entre elles sont traitées de manière conservatrice, avec un taux de mortalité très élevé.
En savoir plus sur l'hémorragie sous-arachnoïdienne
Les symptômes d'une hémorragie sous-arachnoïdienne sont différents de ceux d'une hémorragie hypertensive. Le sang de l'hémorragie sous-arachnoïdienne se trouve dans l'espace sous-arachnoïdien, une couche de cavité qui entoure la surface du cerveau, et ne forme pas de caillot pour comprimer un tissu cérébral particulier après le saignement. Elle se manifeste de la manière suivante
1) Maux de tête sévères. Le patient les décrit comme une douleur sans précédent, un mal de tête atroce, un mal de tête qu'il n'a jamais connu de sa vie.
2. raideur et douleur dans la nuque. Il s'agit du résultat d'une irritation sanguine appelée signe d'irritation méningée, une manifestation classique de l'hémorragie sous-arachnoïdienne.
3. nausées et vomissements
4. les troubles de la conscience
Qui est exposé au risque d'hémorragie cérébrale ?
1. les patients souffrant d'hypertension artérielle. L'hypertension artérielle se traduit par une fragilisation des vaisseaux sanguins, qui sont soumis à une pression. Lorsque la pression est élevée, les vaisseaux sanguins peuvent facilement éclater.
En particulier si vous êtes constipé, ou si vous êtes facilement agité, vous êtes plus susceptible de faire éclater vos vaisseaux sanguins cérébraux.
Lorsque vous poussez alors que vous êtes constipé, votre tension artérielle monte en flèche et boum !
Les émotions sont à fleur de peau, la tension artérielle augmente et c'est le boom. Tant de gens meurent d'avoir été estropiés à la table de mahjong, au milieu d'une bagarre. Tout le monde devrait avoir des gens comme ça autour de soi.
2. les personnes qui savent boire de grandes quantités d'alcool. Inutile de préciser que, chaque année, de nombreuses personnes meurent en buvant de l'alcool.
3. les patients présentant des malformations vasculaires congénitales à l'intérieur du crâne. Par exemple, les patients souffrant d'anévrismes. Les patients atteints d'angiomes caverneux, de malformations artérioveineuses. C'est inné, il n'y a aucun moyen.
4) L'utilisation à long terme de l'aspirine et d'autres médicaments antiplaquettaires augmente le risque d'hémorragie cérébrale, mais peut réduire l'incidence de l'infarctus cérébral, il s'agit de peser le pour et le contre.
Si vous souffrez d'hypertension artérielle, vous devez prendre vos médicaments correctement
Les maladies cardiovasculaires et cérébrovasculaires et le cancer sont les deux principales causes de mortalité qui limitent l'espérance de vie humaine. En moyenne, trois à cinq patients atteints d'hémorragie cérébrale se présentent chaque jour dans nos hôpitaux, soit presque autant que pour le cancer du poumon. La plupart d'entre eux sont d'âge moyen ou âgés, et les plus jeunes ont une hémorragie cérébrale dans la trentaine.
Au total, 21 patients ayant subi un scanner ont été admis hier dans l'équipe de nuit, dont trois présentant des hémorragies cérébrales et des symptômes variés.
Les symptômes physiques courants de l'hémorragie cérébrale sont les suivants :
1. mal de tête soudain et sévère, souvent accompagné de nausées et de vomissements.
Une hémorragie cérébrale due à la rupture d'un vaisseau sanguin, entraînant une augmentation de la pression cérébrale, peut provoquer des maux de tête insupportables.
Ce patient, âgé de 52 ans, a été admis pour des maux de tête soudains et un scanner a clairement montré une hémorragie cérébrale thalamique gauche. Cette petite hémorragie est généralement mieux traitée et ne laisse pas de séquelles graves.
2. perte soudaine du mouvement d'un membre.
Une hémorragie cérébrale affectant les centres nerveux ou détruisant les fibres de conduction nerveuse peut provoquer une immobilité unilatérale des membres. Il est parfois impossible de la différencier d'un infarctus cérébral aigu en termes de symptômes et il est nécessaire d'effectuer une tomodensitométrie en urgence pour la clarifier.
3. troubles soudains de l'élocution ou coma soudain.
Ce phénomène est plus fréquent chez les patients dont la maladie se manifeste de façon nocturne.
Il s'agissait d'un patient de 66 ans trouvé inconscient par sa compagne à 3 heures du matin avec une hémorragie cérébrale massive du côté droit. Cependant, à l'époque où le scanner n'existait pas, le taux de mortalité de cette pathologie était très élevé. Avec l'aide d'un diagnostic quantitatif et localisé précis et opportun par tomodensitométrie, une ponction et un drainage peuvent être effectués à temps, ce qui permet de préserver le sexe et d'atténuer les complications.
Pourquoi les maladies cérébrovasculaires sont-elles si nombreuses de nos jours ?
La raison la plus importante est que la vie est meilleure, que la suralimentation, l'hypertension artérielle, l'hyperlipidémie et l'hyperglycémie augmentent dans la population, que les gens se couchent souvent tard, qu'ils fument et boivent, qu'ils mènent une vie irrégulière, ce qui entraîne l'apparition précoce de l'athérosclérose. Les hémorragies cérébrales surviennent même dans la trentaine (une petite partie de la cause est le développement anormal des vaisseaux sanguins, comme l'anévrisme, les parois des vaisseaux sanguins sont plus fragiles et faciles à rompre).
Nous le savons.Les vaisseaux sanguins humains sont comme des tuyaux d'eau, élastiques pour ne pas se rompre.Lorsque la pression artérielle est élevée, le tabagisme, etc., endommage la paroi interne des vaisseaux sanguins, la formation de plaques d'athérome, l'élasticité des vaisseaux sanguins diminue, leur fragilité augmente, mais une fatigue excessive, tard dans la nuit, ou après une violente colère, une pression artérielle élevée peut provoquer une rupture des vaisseaux sanguins.
De nombreux patients souffrant d'hypertension artérielle, d'hyperlipidémie et d'hyperglycémie, écoutant les rumeurs selon lesquelles la consommation à long terme de médicaments occidentaux a des effets secondaires, arrêtent secrètement de prendre des médicaments, laissant la tension artérielle et la glycémie rester élevées toute l'année, ce qui augmente le risque d'infarctus cérébral et d'hémorragie cérébrale.
Je suis le Dr Howe en imagerie. Bienvenue !
C'est une très bonne question ! Selon les statistiques des lignes directrices chinoises sur le diagnostic et le traitement des hémorragies cérébrales publiées en 2014, l'incidence annuelle des hémorragies cérébrales en Chine est d'une à une et demie sur 10 000 personnes, en particulier celles âgées de plus de 50 ans, et la plupart d'entre elles souffrent d'hypertension artérielle.
À ce jour, le taux de mortalité le plus élevé parmi les maladies cérébrovasculaires aiguës reste l'hémorragie cérébrale.
Quels sont donc les symptômes physiques d'une hémorragie cérébrale imminente ? Quelles sont les personnes les plus sujettes aux hémorragies cérébrales ? Ils sont énumérés ci-dessous à titre indicatif.

Quel est le type de saignement d'une hémorragie cérébrale ?
La première chose à exclure est que certaines hémorragies cérébrales dues à un traumatisme n'entrent pas dans la catégorie clinique des hémorragies cérébrales ; l'hémorragie cérébrale clinique se réfère à l'hémorragie parenchymateuse primaire, ou à ce que l'on appelle l'hémorragie cérébrale spontanée.
Dans les maladies vasculaires cérébrales aiguës, environ 20 % ou plus sont des hémorragies cérébrales, et la grande majorité des hémorragies se produisent dans les hémisphères cérébraux, avec seulement une très faible proportion d'hémorragies se produisant dans le tronc cérébral et le cervelet.
La pathologie de l'hémorragie cérébrale est causée par la rupture d'un vaisseau sanguin dans le cerveau et l'écoulement du sang à partir de la rupture, et ses facteurs prédisposants sont liés aux maladies cardiovasculaires et cérébrovasculaires.

Quels sont les symptômes physiques d'une hémorragie cérébrale imminente ?
Comme d'autres maladies cérébrovasculaires, l'hémorragie cérébrale survient souvent sans signes évidents, peut-être un petit nombre de patients peuvent-ils présenter des vertiges, des maux de tête ou une faiblesse des membres et d'autres symptômes, mais ils sont plus que légers, non spécifiques et peuvent facilement être ignorés.
Mais une fois que la maladie s'est déclarée, l'ensemble des symptômes typiques peut se manifester très rapidement.
Qui est le plus susceptible d'avoir une hémorragie cérébrale ?
1) Les patients hypertendus sont plus sujets aux hémorragies cérébrales : d'après les observations cliniques, la plupart des patients souffrant d'hémorragies cérébrales ont des antécédents d'hypertension, en particulier d'hypertension combinée à l'athérosclérose, ce qui est plus susceptible de provoquer des hémorragies cérébrales ;
2. les patients souffrant de maladies artérielles cérébrales sont plus enclins aux hémorragies cérébrales : par exemple, les patients souffrant de malformations artérioveineuses cérébrales, d'anévrismes, de troubles hématologiques, d'hémorragies post-infarctus, etc ;
3) Les personnes ayant un mauvais mode de vie sont plus susceptibles de subir une hémorragie cérébrale : situations typiques, telles que le surpoids ou l'obésité, l'abus d'alcool et le tabagisme à long terme, ou l'exposition à long terme au tabagisme passif, etc ;
4. la consommation de drogues à long terme, plus susceptible de provoquer une hémorragie cérébrale : par exemple, la consommation de cocaïne ou de méthamphétamine à long terme, etc ;
5) Certaines autres maladies secondaires sont plus susceptibles de provoquer une hémorragie cérébrale : diabète, insuffisance cardiaque, arythmie, accident vasculaire cérébral, etc.

En résumé : lorsqu'une hémorragie cérébrale survient, il n'y a généralement aucun signe dans le corps ; certains patients peuvent présenter des symptômes tels que des vertiges, des maux de tête ou une faiblesse des membres, mais ils sont généralement légers et négligés ; certains patients souffrant d'hypertension artérielle, de maladies artérielles cérébrales et ceux ayant un mode de vie médiocre sont plus sujets à l'hémorragie cérébrale.
Êtes-vous d'accord avec moi ?
Mise à jour quotidienne des points chauds de la santé, des points de douleur médicaux ; si ce que je dis, est exactement ce que vous pensez, alors s'il vous plaît aimez, retweetez, suivez Zhu Xiaojun a dit santé !
hémorragie cérébrale
Les symptômes courants de l'hémorragie cérébrale sont principalement l'apparition soudaine d'un dysfonctionnement cérébral local, qui s'accompagne souvent de troubles de l'éveil, de maux de tête, de nausées et de vomissements. Si une lésion de haute densité est observée, on considère qu'il s'agit d'une possible hémorragie intracérébrale ; toutefois, les symptômes cliniques d'un infarctus cérébral ou d'une hémorragie cérébrale peuvent être très similaires, et il convient donc de procéder à un examen précis du cerveau pour déterminer si l'accident vasculaire cérébral est de nature hémorragique ou ischémique.
Les sites de saignement sont généralement
1. hémorragie locale superficielle 2. hémorragie cérébrale profonde dans la région des noyaux basaux 3. hémorragie du tronc cérébral 4. hémorragie cérébelleuse
La pression artérielle de ces patients atteints d'hémorragie cérébrale est généralement très élevée ; elle est généralement abaissée à 150/90 mmHg comme objectif, et si elle est trop élevée, le nitroprussiate de sodium peut être utilisé, ainsi que d'autres types d'agents hypotenseurs par voie orale ou intraveineuse ; la pression artérielle ne doit pas être trop abaissée, afin de ne pas réduire la perfusion du flux sanguin intracrânien. Un petit nombre de patients peuvent développer une hypotension, auquel cas la dopamine est utilisée pour augmenter la pression artérielle à 120-140/80-90 mmHg.
Réponse du Dr Zhang : Hémorragie cérébrale et groupes à haut risque.
L'hémorragie cérébrale, également appelée accident vasculaire cérébral hémorragique, est une hémorragie intra-parenchymateuse non traumatique du cerveau, dont l'incidence est de (60-80)/100 000 par an et qui représente 20 à 30 % des troubles vasculaires cérébraux aigus (l'autre partie étant l'infarctus cérébral).
Quels sont les symptômes physiques d'une hémorragie cérébrale ?
L'hémorragie cérébrale est une maladie vasculaire cérébrale aiguë qui, une fois déclarée, évolue rapidement, atteignant généralement son paroxysme en l'espace de quelques minutes ou de quelques heures. Par conséquent, les symptômes de l'hémorragie cérébrale ne peuvent être utilisés que comme indices diagnostiques, et non comme base d'une intervention précoce.L'hémorragie cérébrale survient le plus souvent de manière soudaine lors d'une excitation émotionnelle ou d'une activité. Après l'apparition de l'hémorragie, on observe souvent des maux de tête, des vomissements et différents degrés de troubles de la conscience, tels que la somnolence ou le coma.。
Qui est exposé au risque d'hémorragie cérébrale ?
Les personnes souffrant d'hypertension artérielle sont les plus vulnérables aux hémorragies cérébrales. En outre, les personnes qui sont dépendantes de l'alcool depuis longtemps et qui fument beaucoup sont également sujettes à des lésions vasculaires, provoquant des hémorragies cérébrales. Les petites artères du cerveau subissent des lésions chroniques sous l'action d'une hypertension artérielle de longue durée, une dégénérescence vitreuse, une nécrose fibrinoïde et même la formation de micro-anévrismes ou d'anévrismes de piégeage, ce qui fait que lorsque la pression artérielle augmente soudainement, il est très facile de provoquer une rupture des vaisseaux sanguins et des hémorragies. Il s'agit de la pathogénie la plus importante de l'hémorragie cérébrale.
En fait, les maladies cardiovasculaires et cérébrovasculaires aiguës sont étroitement liées aux "trois hauts". Pour prévenir les hémorragies cérébrales, il faut d'abord contrôler sa propre tension artérielle (les lipides et la glycémie doivent également faire l'objet d'une attention particulière) ; en outre, il faut essayer d'arrêter de fumer et de boire de l'alcool, suivre un régime pauvre en sel et en matières grasses, maintenir un état d'esprit calme et éviter les hauts et les bas émotionnels.
Dr Zhang Online - Bienvenue à votre attention !
Lorsqu'il est question d'hémorragie cérébrale, je ne peux m'empêcher de penser à mon oncle, victime d'une hémorragie cérébrale soudaine il y a dix ans. Heureusement, sa famille l'a découvert à temps et a pu lui sauver la vie de justesse, mais il a dû passer le reste de sa vie dans un fauteuil roulant. Chaque fois que nous le regardons, nous voulons lui parler, mais nous ne pouvons pas dire la force emmêlée, nous avons le cœur serré, sans parler de la difficulté de .......
L'hémorragie cérébrale est l'une des maladies les plus mortelles chez les personnes d'âge moyen et les personnes âgées, avec un début rapide, un état vicieux et un taux élevé de mort cérébrale, qui peut ôter la vie à une personne en quelques heures ou en quelques jours.

Au cours du développement progressif et de l'évolution de l'hémorragie cérébrale, l'organisme présente certaines anomalies qui sont susceptibles d'être les précurseurs de l'hémorragie cérébrale :
1. maux de tête sévères
Le mal de tête est le premier symptôme de l'hémorragie cérébrale et se situe souvent du côté de la tête qui saigne. Il n'y a pas de cause évidente à ce mal de tête, et la nature et la durée de la douleur sont variables : il peut s'agir d'un mal de tête intermittent qui se transforme progressivement en une douleur continue et insupportable, et qui s'accompagne dans certains cas de nausées et de vomissements, le plus souvent de vomissements projectifs.
2. le vertige est difficile à supporter
La plupart des personnes ressentent des vertiges plus ou moins importants avant qu'une hémorragie cérébrale ne se produise. Ces vertiges surviennent sans raison apparente, donnent l'impression d'être dans le ciel, et il est impossible de se lever et de tomber facilement au sol.

3. hémiplégie des membres
De nombreux patients atteints d'hémorragie cérébrale ressentent soudainement un engourdissement et une faiblesse de la moitié du corps avant l'apparition de la maladie, avec des difficultés à se mouvoir, une préhension instable et la chute d'objets initialement tenus dans la main, et certains patients présentent par la suite des symptômes tels que des coins de la bouche de travers, de la bave, etc.
4. troubles de l'élocution
Les difficultés d'élocution sont l'un des signes précoces les plus fréquents chez les patients souffrant d'hémorragie cérébrale, qui présentent souvent une langue raide, une langue gonflée et des troubles de l'élocution.
5. l'obscurité devant les yeux
Obscurité soudaine et passagère devant les yeux, vision floue d'un œil, voire vision double. Ces symptômes peuvent être les signes avant-coureurs d'une hémorragie cérébrale et ne doivent pas être pris au sérieux.
6. les troubles de la conscience
Le patient est peu réceptif, voire somnolent ou comateux, et dans certains cas, il présente une incontinence urinaire et fécale. Le degré de gravité est lié à la localisation de l'hémorragie cérébrale, à l'importance et à la rapidité du saignement.
7. saignements de nez fréquents
La rhinite générale et la sinusite sont les causes les plus fréquentes des saignements de nez. Les saignements de nez normaux ne sont pas terribles, mais s'ils sont accompagnés d'une hypertension artérielle, les symptômes des saignements de nez doivent également être pris en compte.
8. somnolence diurne et bâillements
À l'origine, le bâillement était une réaction physiologique du corps humain due au manque de sommeil, mais les personnes souffrant de troubles cérébrovasculaires peuvent à tout moment et en tout lieu bâiller fréquemment, ce qui est souvent le résultat d'une hypoxie cérébrale.

Dès l'apparition des symptômes de l'appel, vous devez être vigilant et vous rendre à l'hôpital pour une évaluation et un traitement à temps afin de contrôler la progression de la maladie et d'éviter des conséquences graves.
Qui est exposé au risque d'hémorragie cérébrale ?
1. les patients souffrant d'hypertension artérielle
L'hypertension est la principale cause et le principal facteur de risque d'hémorragie cérébrale (mon oncle a eu une hémorragie cérébrale en raison d'une hypertension non contrôlée à long terme). Compte tenu des effets à long terme de l'hypertension, tout facteur susceptible de déclencher une augmentation à court terme de la pression artérielle peut entraîner une hémorragie cérébrale.
2. le tabagisme et l'alcoolisme
L'Organisation mondiale de la santé reconnaît que le tabagisme a un impact plus grave sur la santé humaine : le tabagisme à long terme peut fragiliser les vaisseaux sanguins de l'organisme, la capacité à résister aux fluctuations de la pression artérielle diminue, ce qui favorise les ruptures vasculaires cérébrales ; la consommation d'alcool à long terme peut provoquer une contraction vasculaire, un dysfonctionnement diastolique, des lésions endothéliales vasculaires et un dépôt de lipides intravasculaires, ce qui aggrave les conditions vasculaires et favorise les hémorragies cérébrales.

3. l'excitation émotionnelle
L'excitation émotionnelle est une autre cause importante d'hémorragie cérébrale. Il n'est pas difficile de constater que la plupart des patients atteints d'hémorragie cérébrale ont des antécédents d'excitation émotionnelle avant l'apparition de la maladie, ce qui est dû à l'excitation du nerf sympathique, à l'accélération du rythme cardiaque, à l'augmentation soudaine de la pression artérielle et à la rupture des vaisseaux sanguins initialement fragiles pendant un court laps de temps lorsque l'humeur change.
4、Prolongation des veillées tardives et fatigue excessive
Au cours d'une journée de travail bien remplie, si vous ne dormez pas suffisamment, votre corps est en état de surmenage, ce qui tend à augmenter la viscosité du sang et à perturber les conditions vasculaires, ce qui peut entraîner une hémorragie cérébrale.
L'hémorragie cérébrale n'est pas une maladie localisée, mais une maladie qui affecte l'ensemble du corps, non seulement pendant un certain temps, mais pour toute la vie. C'est pourquoi nous devons la prévenir activement et la traiter avant qu'elle ne se déclare. Dès que vous vous sentez mal, vous devez consulter un médecin à temps, afin de ne pas retarder l'évolution de la maladie et de ne pas manquer le meilleur moment pour la traiter.
★ Si cette réponse est utile, merci de l'aimer et de la soutenir !
L'hémorragie cérébrale est causée par la rupture d'un vaisseau sanguin dans le cerveau, ce qui est également connu sous le nom d'éclatement d'un vaisseau sanguin. On distingue généralement les hémorragies traumatiques et les hémorragies spontanées. Les patients traumatisés ont souvent des antécédents médicaux clairs, tandis que les patients spontanés ont souvent des maladies sous-jacentes, et la plupart d'entre eux n'ont pas d'aura avant l'apparition de la maladie, et l'apparition de la maladie est soudaine.
Les hémorragies cérébrales spontanées sont le plus souvent causées par des hémorragies intracérébrales et des hémorragies sous-arachnoïdiennes, qui sont fondamentalement asymptomatiques avant l'hémorragie, et certaines d'entre elles peuvent être déclenchées par un stress émotionnel, la consommation d'alcool ou des changements soudains de température.
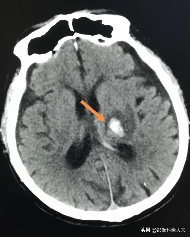
Plus de la moitié des hémorragies intracérébrales sont causées par l'hypertension artérielle, c'est pourquoi nous disons souvent que nous devons prendre des médicaments contre l'hypertension artérielle, même en l'absence de symptômes, par crainte d'une hémorragie cérébrale soudaine, et en prenant des médicaments pour contrôler la tension artérielle au bon niveau, nous pouvons réduire considérablement le risque d'hémorragie cérébrale. Les autres causes d'hémorragie intracérébrale sont les anévrismes, les malformations vasculaires cérébrales, les accidents vasculaires cérébraux dus à des tumeurs cérébrales et les complications d'un traitement anticoagulant. L'hémorragie intracérébrale peut être associée à de violents maux de tête, à des vomissements et à l'apparition précoce de symptômes neurologiques tels que l'hémiparésie, les troubles de la parole et l'épilepsie (c'est-à-dire que la personne entière ne réagit pas). Les hémorragies du tronc cérébral et du cervelet peuvent également se manifester par des vertiges. La photo ci-dessous montre un patient souffrant d'une hémorragie intracérébrale (zone blanche sur la photo ci-dessous), ayant des antécédents d'hypertension, qui s'est soudainement effondré alors qu'il faisait du vélo dans la rue.

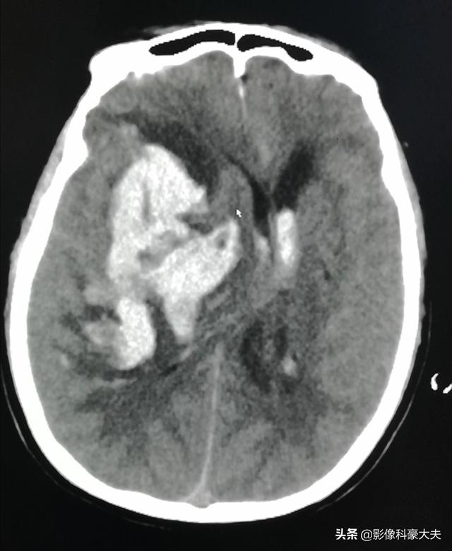
L'hémorragie sous-arachnoïdienne est principalement causée par des anévrismes intracrâniens et des malformations vasculaires cérébrales (spinales), qui représentent environ 70 % des hémorragies sous-arachnoïdiennes spontanées, suivis par l'artériosclérose hypertensive, la maladie tabagique et les maladies du sang. Le pronostic global de l'hémorragie sous-arachnoïdienne spontanée est mauvais et le taux d'invalidité des survivants est relativement élevé. La plupart des patients présentent un début rapide de la maladie, sans symptômes d'aura, se manifestant par des céphalées sévères, une photophobie, des nausées, des vomissements, une pâleur, des sueurs froides, parfois accompagnés d'épilepsie, de vertiges, de douleurs au niveau du cou et des épaules ou des membres inférieurs, et environ la moitié des patients présentent des symptômes mentaux, tels que l'agitation, la confusion, la désorientation, etc. Dans les cas graves, le patient peut tomber dans le coma, voire subir une hernie cérébrale et mourir. J'ai rencontré un patient de ce type, un garçon de 25 ans, entraîneur de fitness, qui a subi une rupture soudaine d'un anévrisme cérébral et une hémorragie, qui a été sauvé pendant longtemps, mais dont le pronostic est très sombre. La photo ci-dessous montre un patient souffrant d'une rupture d'anévrisme cérébral (flèche droite) et d'une hémorragie (zone blanche encerclée à gauche), ayant des antécédents d'hypertension, se disputant avec quelqu'un et s'effondrant soudainement sur le sol.

Quelles sont les personnes les plus susceptibles de subir une hémorragie cérébrale ? Les personnes âgées souffrant de pathologies sous-jacentes et les personnes présentant des anomalies vasculaires. Pour les anomalies vasculaires, il n'y a pas de choix, elles sont nées comme elles sont. Cependant, pour les personnes souffrant de maladies sous-jacentes, la prévention de l'hémorragie cérébrale repose souvent sur le contrôle de ces maladies, telles que l'hypertension, l'hyperglycémie et l'hypertension artérielle, qui exacerbent la sclérose vasculaire, réduisent l'élasticité des vaisseaux sanguins et augmentent leur fragilité, augmentant ainsi le risque d'hémorragie cérébrale. Certaines personnes pensent qu'en l'absence de symptômes, il n'est pas nécessaire de prendre des médicaments, ce qui est faux. L'absence de symptômes ne signifie pas qu'il n'y a pas de mal ni de risque, mais qu'il faut prendre des médicaments en toute honnêteté.
Je suis @ShadowMedicineCho et vous pouvez me suivre pour en savoir plus sur la médecine apparentée.
Ces questions et réponses proviennent des utilisateurs du site, elles ne représentent pas la position du site, s'il y a une infraction, veuillez contacter l'administrateur pour la supprimer.