Recherche sur Internet La phytothérapie peut guérir la sténose cardiovasculaire à 80 %, est-ce vrai ?
Recherche sur Internet La phytothérapie peut guérir la sténose cardiovasculaire à 80 %, est-ce vrai ?
Je ne sais pas si le titre demande si la médecine chinoise peut guérir 80 % des patients atteints de sténose cardiovasculaire ou si 80 % des patients atteints de sténose cardiovasculaire peuvent être guéris par la médecine chinoise, car la première question concerne le taux de guérison, tandis que la seconde porte sur la possibilité de guérir. Toutefois, la réponse à l'une ou l'autre de ces questions peut ne pas être satisfaisante.
Recherche sur Internet La phytothérapie peut guérir la sténose cardiovasculaire à 80 %, est-ce vrai ?
Avant de comprendre ce problème, il faut savoir comment se produit la sténose cardiovasculaire. Comme nous le savons tous, la sténose cardiovasculaire est très dangereuse : une fois qu'elle se produit, elle signifie que l'apport de sang au cœur est insuffisant, ce qui affecte l'apport normal de sang et d'oxygène à l'ensemble de l'organisme. D'une manière générale, une sténose cardiovasculaire de plus de 50 % peut être diagnostiquée comme une maladie coronarienne, et si elle est complètement bloquée, on parle de crise cardiaque aiguë. Par conséquent, pour les patients qui présentent une sténose cardiovasculaire, mais dont le degré de sténose n'a pas encore dépassé 50 %, il est indispensable d'intervenir à temps pour empêcher la sténose de continuer à s'aggraver.

Comment se produit la sténose cardiovasculaire ?Le changement pathologique sous-jacent à la sténose cardiovasculaire est l'athérosclérose, d'où le nom complet de la maladie coronarienne : maladie coronarienne athéroscléreuse. De toute évidence, la sténose cardiovasculaire est causée par la formation de plaques d'athérome, dont la taille augmente progressivement, entraînant un rétrécissement graduel des vaisseaux sanguins jusqu'à ce qu'ils soient complètement obstrués. La rupture soudaine de la plaque, entraînant la formation de caillots sanguins, est un facteur de développement de l'infarctus du myocarde.
La sténose cardiovasculaire peut-elle être inversée ?Comme indiqué ci-dessus, le facteur pathologique de la sténose cardiovasculaire est l'athérosclérose, qui est un produit du vieillissement et se produit et se développe progressivement avec l'âge, ce qui correspond au vieillissement naturel des êtres humains et est généralement inévitable. De plus, une fois que l'athérosclérose s'est déclarée, il est difficile de l'inverser. Seules les petites plaques aux stades précoces peuvent disparaître avec des médicaments (statines telles que les comprimés de Rosuvastatine Calcium), mais chez la grande majorité des patients, une fois que la plaque est formée, elle ne peut pas disparaître, et les médicaments ne peuvent que ralentir la croissance et empêcher le rétrécissement des vaisseaux sanguins de s'aggraver. En d'autres termes, la plaque d'athérome est irréversible, et la sténose cardiovasculaire ne peut naturellement pas être inversée. La médecine occidentale ne peut pas inverser la plaque, l'effet thérapeutique de la médecine traditionnelle chinoise est encore plus limité. La médecine chinoise met l'accent sur un traitement basé sur des preuves, pour les personnes souffrant de sténose cardiovasculaire, les cas légers peuvent ne pas avoir de gêne, tandis que les cas graves peuvent seulement être en mesure de soulager la gêne grâce à certains médicaments traditionnels chinois qui activent la circulation sanguine et éliminent la stase sanguine, ce qui ne peut être qu'un traitement symptomatique mais ne peut pas traiter la cause, c'est-à-dire, traiter les symptômes mais pas la cause fondamentale.

Toutefois, s'il est impossible d'inverser la formation de la plaque, il est possible de la ralentir grâce à des médicaments et à des interventions sur le mode de vie. C'est pourquoi de nombreuses personnes âgées peuvent vivre aussi longtemps et en bonne santé que les personnes normales, même si elles présentent une plaque. D'une manière générale, les médecins évaluent le risque élevé de maladie cardiovasculaire, ainsi que la sténose de l'artère coronaire de plus de 50 % des patients diagnostiqués avec une maladie coronarienne, il est nécessaire de commencer un traitement médicamenteux. Les médicaments couramment utilisés comprennent les statines stabilisatrices de plaque telles que le Ruijie, les médicaments antiagrégants plaquettaires tels que l'aspirine, etc. qui est le médicament de base, mais aussi les médicaments antihypertenseurs pour la maladie d'origine, les médicaments hypoglycémiques, etc. Les esters, tels que le mononitrate d'isosorbide Xincang, etc., sont également des médicaments de base. Pour les patients souffrant d'une sténose cardiovasculaire à 80 %, l'état a été prédit comme étant plus grave, et l'on pense généralement que lorsque la sténose est supérieure à 70 %, le patient devra subir la pose d'un stent pour débloquer les vaisseaux sanguins obstrués et aider à rétablir l'apport sanguin normal au myocarde, faute de quoi le patient peut être confronté à un infarctus à tout moment !的Risques. En d'autres termes, pour les patients présentant une sténose cardiovasculaire de 80 %, il peut être difficile de maintenir la vie du patient avec la médecine traditionnelle chinoise ou la médecine occidentale, sans parler d'une guérison complète, et seule la pose d'un stent ou d'un pontage peut sauver la vie du patient.
Je suis le pharmacien Wang, qui insiste sur la diffusion des connaissances sur les maladies cardiovasculaires et cérébrovasculaires avec des mots simples et faciles à comprendre, et qui consacre ses modestes efforts à une Chine en bonne santé. Si vous pensez que ma réponse vous est utile, n'hésitez pas à laisser un "j'aime" ! Par ailleurs, si vous avez encore des questions concernant la sténose cardiovasculaire, n'hésitez pas à laisser un message, nous en discuterons ensemble !
La médecine chinoise guérit 80 % des sténoses, alors que la médecine occidentale doit probablement poser des stents pour la plupart des 80 % de sténoses d'après les normes d'imagerie !
C'est un monde de différence, et à ce patient et à ce médecin, je dis félicitations, félicitations !
Mais est-il vrai que 80 % des sténoses cardiovasculaires peuvent être guéries par la phytothérapie ?
Tout d'abord, je n'ai pas vu un tel cas non plus, et je n'ose donc pas dire si c'est vrai ou non ; mais posons quelques questions au médecin ou à la personne qui a dit qu'il pouvait guérir 80 % des cas avec la médecine chinoise pour qu'il y réponde :
Tout d'abord, la compréhension par la médecine moderne de 80 pour cent de l'impact de la maladie sur la santé.
Une sténose cardiovasculaire de plus de 50 % est appelée maladie coronarienne, lorsqu'elle est supérieure à 70 %, une angine peut survenir, et lorsqu'elle est de 80 %, il s'agit déjà d'une sténose sévère. Qu'elle soit stable ou instable, l'angine peut survenir après un effort, une activité ou un exercice. Si elle est instable, l'angine peut survenir même au repos, et même une rupture de plaque peut se produire, formant un caillot sanguin et déclenchant un infarctus du myocarde.
Pour 80 % des sténoses, il est nécessaire de mener une vie saine, d'arrêter de fumer et de boire, de contrôler son poids, d'avoir une alimentation saine et de suivre un traitement médicamenteux régulier ; même une partie de la population a besoin d'une endoprothèse ou même d'un pontage pour résoudre cette sténose grave.
Seul un très petit nombre de personnes, en particulier celles qui adoptent un mode de vie sain et prennent des statines, peuvent voir leur plaque inversée, c'est-à-dire réduite. Mais dans la plupart des cas, la plaque est simplement stabilisée et ne progresse plus, ce qui est le meilleur résultat.
C'est ce que la médecine moderne connaît et traite pour ces 80%.
Deuxièmement, un remède est-il un remède ?
On dit que 80 % des sténoses peuvent être guéries par la médecine traditionnelle chinoise et, selon les normes de la médecine occidentale, la guérison signifie que la sténose peut être réduite à moins de 50 % et qu'il n'y a pas de maladie coronarienne ; cet effet peut être considéré comme parfait, mais jusqu'à présent, aucun cas de ce type n'a été rapporté dans la littérature officielle, tant en Chine qu'à l'étranger. Toutefois, aucun cas de ce type n'a été rapporté dans la littérature officielle, tant au niveau national qu'international. En effet, le niveau médical actuel n'est pas en mesure de traiter 80 % des sténoses à moins de 50 %, ni même de faire disparaître la plaque.
Si cette médecine chinoise peut guérir la maladie, elle est vraiment la première du genre dans le monde et peut être récompensée !
Troisièmement, le remède est-il la disparition des symptômes ?
Il existe également ce que l'on appelle une guérison, c'est-à-dire que 80 % des personnes qui souffraient d'angine de poitrine n'en souffrent plus après le traitement. Dans ce cas, il s'agit d'une guérison :
1) La médecine chinoise est-elle utilisée seule ou s'agit-il d'une combinaison de médecine chinoise et occidentale ?
Si la médecine chinoise et la médecine occidentale sont combinées, il est difficile de dire quel est le rôle de chacun.
2) Une fois les symptômes disparus, n'aurez-vous plus jamais besoin de prendre des médicaments à l'avenir ? Ou bien devrez-vous prendre des médicaments tous les jours, comme dans la médecine occidentale, et donc préparer des toniques tous les jours, ou bien prendre des médicaments chinois exclusifs ?
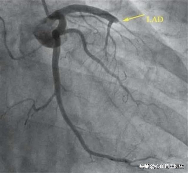
3. la disparition des symptômes ne signifie pas la guérison, mais seulement le contrôle ; sans oublier comment la sténose de 80 % a-t-elle été diagnostiquée ? S'agit-il d'un scanner coronaire ou d'une angiographie coronaire, s'agit-il d'un vaisseau majeur ou d'un petit vaisseau ? Le scanner ou l'angiographie ont-ils été revus après la guérison, et de combien la sténose de 80 % a-t-elle diminué après l'examen ?
Autant de questions auxquelles il convient d'apporter des réponses claires avant d'oser affirmer que le traitement est efficace.
On ne peut pas dire que si l'on prend sept doses de médecine chinoise et que l'on n'a pas de crises d'angine, on est guéri. En effet, il existe de nombreux moyens de contrôler l'angine, par exemple, après s'être reposé, l'angine peut ne pas se manifester temporairement ; un autre exemple est que lorsque les petits vaisseaux sanguins sont rétrécis à 80 %, il y a de l'angine, mais il n'y a pas de traitement actif, et lorsque les petits vaisseaux sanguins sont complètement occlus, il n'y aura plus d'angine à l'avenir.
Ainsi, pour affirmer que la médecine chinoise guérit 80 % des sténoses, il faut d'abord fournir de telles preuves avant d'oser l'affirmer.
Quatrièmement, s'agit-il d'une simple affaire ?
Le fait de guérir 80 % des sténoses permet-il de guérir plusieurs patients ou un seul ? La guérison d'un seul patient n'a en fait que peu d'importance, car nous entendons toujours parler de cas difficiles, de cancers, qui sont finalement guéris grâce à des remèdes secrets ou biaisés. Bien sûr, nous y croyons, mais il s'agit toujours de cas individuels, c'est-à-dire qu'il est possible que de tels cas se produisent occasionnellement. Mais le remède est destiné au grand public, il y a 11 millions de maladies coronariennes dans notre pays ; des millions de personnes se font poser des stents chaque année ; nous ne pouvons utiliser que les méthodes qui fonctionnent pour la majorité des gens avant de les utiliser à des fins de promotion. Au lieu de cela, le monde est guéri de ce profit, et il est utilisé pour la promotion.
C'est comme un billet de loterie : quelqu'un peut sûrement gagner 5 millions de dollars, mais un seul peut le faire ; 99,99 % des gens se retrouvent les mains vides !
Quoi qu'il en soit, nous n'osons pas dire que des personnes n'ont pas été guéries, mais j'aimerais demander à ce médecin ou à une certaine personne qui promeut l'utilisation de la médecine chinoise pour guérir 80 % des sténoses de répondre d'abord à ces quatre questions !
En fait, beaucoup de mensonges ne résistent pas à l'examen, et pour peu que les patients se rassurent et les analysent attentivement, beaucoup de vérités apparaîtront !

Comment les médicaments traitent-ils la sténose cardiovasculaire ?
La sténose coronarienne a pour impact le plus direct sur les patients la réduction de la perfusion d'oxygène dans le sang, et toutes les activités physiologiques de l'organisme consomment de l'énergie qui ne sort pas de nulle part, l'énergie pour fournir nos activités quotidiennes est le sang, la réduction de l'approvisionnement en sang fera que notre corps ne pourra pas supporter la consommation d'activités intenses, et une fois que la consommation est supérieure à l'approvisionnement, une série de symptômes anormaux apparaissent.
Il existe de nombreuses raisons à ce rétrécissement et à ce blocage, notamment le vieillissement, une alimentation irrégulière, le tabagisme et l'alcoolisme, les troubles nerveux, etc. Certains de ces facteurs peuvent être évités, mais d'autres sont inévitables, une fois que la plaque coronaire s'est formée, il n'y a aucun moyen de l'inverser efficacement, le traitement de ces patients par les médicaments est le plus souvent retardé, retardé, parce qu'ils sont incapables d'améliorer les foyers sous-jacents, de sorte que le médicament se contente de traiter les symptômes plutôt que de "guérir". Les médicaments sont plus un traitement symptomatique qu'un "remède", et il y a une grande différence entre les deux.

Le concept de "cure" est important !
La véritable signification de la guérison devrait être "l'inversion", la condition physique du patient est complètement rétablie comme avant la maladie, cette guérison n'est pas seulement la surface de la guérison, le plus important est la guérison interne de l'organisme, la disparition des plaques, l'expansion des vaisseaux sanguins, etc. C'est le "remède" le plus parfait.
Cependant, en réalité, de nombreuses personnes interprètent délibérément de manière erronée le terme "guérison", pour tromper la majorité des patients qui n'ont pas de connaissances médicales, la disparition des symptômes appelée "guérison", qui est une sorte de faux éphémère pour retrouver la santé, le patient peut être après une série de traitements, les symptômes ont complètement disparu, mais en fait ces symptômes ne sont que temporairement masqués, la plupart du temps avec l'aide de médicaments pour des effets à court terme. Mais en réalité, ces symptômes ne sont que temporairement masqués, le plus souvent par les effets à court terme des médicaments.
Si un patient présentant une sténose de 80 % est alité pendant une longue période, même si aucune mesure n'est prise, il se peut que tout aille bien et qu'il n'y ait aucun symptôme clinique, mais peut-on dire qu'il est "guéri" ?

La médecine chinoise est un art de guérir, pas un art divin !
J'ai un certain nombre d'amis qui sont à la fois des praticiens de la MTC et des médecins occidentaux, et je crois donc aussi aux merveilles de la MTC, mais je la considère simplement comme une sorte d'art médical, tout comme la division moderne des départements.
Le traitement de toute maladie doit être envisagé à partir de la cause première, et le médecin doit comprendre sa pathogenèse, sinon tout traitement est une chimère, à cause de cette compréhension : "Le traitement de la maladie coronarienne (sténose cardiovasculaire) ne peut en aucun cas être inversé par quelques médicaments, le patient a besoin d'une gamme complète de traitements qui doivent être entrepris à partir de la cause première de la maladie, le médicament n'est qu'une partie d'un programme de traitement complet, mais pas la totalité". Les médicaments ne sont qu'une partie du programme de traitement complet, mais pas tout".
La médecine est rigoureuse, toute conclusion doit être prudente, une facette de la guérison de cent maladies, n'existe que dans la légende, aucun médecin n'ose affirmer qu'il s'agit d'un traitement à 100%, j'espère donc que les patients et les amis réfléchissent à deux fois avant de faire quoi que ce soit !
(Je suis Luo Min, médecin-chef dans un hôpital de niveau 3A, un "vieux" médecin avec plus de 30 ans d'expérience clinique, mes efforts ne visent qu'à récolter les bénéfices de votre approbation, si ma réponse peut vous aider, j'espère que vous l'aimerez, que vous y prêterez attention, et si vous avez des questions, vous pouvez commenter ou m'écrire en privé, je ferai de mon mieux pour vous aider).

Cette explosion d'informations dans le monde, une variété de choses que vous ne pouvez pas penser peut être éclaté, mais vraiment faux, nous devons avoir la capacité de penser indépendamment, sinon votre cerveau, chargé avec d'autres personnes pour vous laisser penser à des choses, puis vous avez complètement devenir quelqu'un d'autre cerveau lavé après les poireaux.
Une sténose cardiovasculaire de 80 % est déjà une sténose relativement grave en cardiologie et, du moins dans les rapports mondiaux actuels dans le domaine cardiovasculaire, nous n'avons pas vu de cas de sténose de 80 % disparaître complètement. Je recommanderais donc personnellement une approche prudente de cette nouvelle.
I. La sténose thrombotique aiguë des vaisseaux sanguins peut-elle disparaître ?
Si la sténose est causée par un thrombus aigu, le thrombus peut disparaître après anticoagulation et d'autres traitements, et une telle sténose fait également partie des quelques patients souffrant de syndromes coronariens aigus. Cependant, je voudrais souligner qu'une fois qu'un tel thrombus s'est formé, le patient n'aura peut-être pas la possibilité d'utiliser la médecine chinoise, car le taux de mortalité des patients souffrant d'infarctus du myocarde reviendra à son niveau initial alarmant s'ils ne bénéficient pas d'un traitement adéquat, tel que l'agrégation antiplaquettaire et la régulation des lipides. Je crains donc que ce type de thrombus ne fasse pas l'objet de discussions.

Deuxièmement, est-il difficile d'éliminer une sténose stable due à l'athérosclérose ?
Outre la thrombose aiguë, il existe une sténose athéroscléreuse, qui est le résultat d'un processus long et chronique. Pour ce type de sténose, il n'existe aucun moyen efficace d'éliminer la sténose, d'une part, l'athérosclérose est la loi naturelle du métabolisme des êtres humains, d'autre part, l'athérosclérose elle-même est un processus irréversible. Il est donc difficile d'éliminer une telle sténose.

Réfléchissez et la vérité vous apparaîtra clairement.
En fait, si vous y réfléchissez bien, vous saurez si cette nouvelle est vraie ou non. Si l'athérosclérose peut être supprimée et inversée, l'espérance de vie humaine peut être prolongée jusqu'à un âge inattendu. En effet, les maladies telles que l'infarctus cérébral, l'hémorragie cérébrale, l'infarctus du myocarde et l'angine de poitrine, qui affectent actuellement le plus l'espérance de vie de la population, sont toutes le résultat de l'athérosclérose. Alors, si une médecine chinoise peut inverser ce processus, le prix Nobel est hors de question. Je suggère que le protagoniste de cette nouvelle puisse poser sa candidature au prix Nobel, tout en faisant progresser la médecine de la mère patrie. Si c'est vrai, je crains que les grands médias, tels que CCTV, ne l'aient déjà diffusé dans le monde entier, et qu'il ne soit pas nécessaire de répandre de tels ragots de personne à personne.

Ce qui est vrai n'est pas vrai ! Je suis sûr que tout cela sera concluant, mais ce n'est certainement pas à nous d'en discuter. Si c'était vraiment réversible, les directives médicales auraient été révisées depuis longtemps et nous n'aurions pas à en débattre ici. Vous voyez ce que je veux dire ? Suivez-nous et nous vous tweeterons des mises à jour quotidiennes sur la science !
Les filets, c'est la pêche ! La médecine des filets, c'est la pêche à l'argent ! Elle active la circulation sanguine et élimine la stase sanguine ! Mais il faut changer ses mauvaises habitudes ! S'astreindre à des exercices cohérents et appropriés ! Puis, en fonction des manifestations cliniques, prescrire des médicaments ! Quelle est la prescription ? Sera-t-elle efficace ?
Ne croyez pas à ces choses, il vaut mieux aller dans un grand hôpital et se faire examiner, le médecin vous donnera le bon plan de traitement.
Je pense personnellement que, quel que soit le type de maladie, il faut prendre le bon médicament pour en voir l'effet, on ne peut pas se tromper, après tout, c'est lié à la vie humaine, donc, quelle que soit la maladie, il faut aller à l'hôpital après un diagnostic formel, ne pas plaider dans la requête en ligne, après tout, nous ne sommes pas un médecin.
vraiment
Il est difficile de dire s'il y en a 80 % ou non, sans faire d'enquête, mais il est certain que cela fonctionne.
Il est préférable de demander l'avis d'un médecin avant d'utiliser un médicament. Les maladies cardiovasculaires, c'est embêtant.
Ces questions et réponses proviennent des utilisateurs du site, elles ne représentent pas la position du site, s'il y a une infraction, veuillez contacter l'administrateur pour la supprimer.