Dois-je passer un cardiogramme si je souffre d'une maladie coronarienne ? Existe-t-il un autre moyen ?
Dois-je passer un cardiogramme si je souffre d'une maladie coronarienne ? Existe-t-il un autre moyen ?
Un cardiogramme, ou plus précisément une coronarographie, est un examen qui permet de déterminer la présence de plaques d'athérome sur les parois des vaisseaux sanguins (artères coronaires) qui alimentent le cœur en sang. Si c'est le cas, quel est le degré de rétrécissement de la lumière des vaisseaux sanguins, afin de déterminer s'il y a une maladie des artères coronaires, ce qui est l'étalon-or pour le diagnostic de la maladie des artères coronaires.
Existe-t-il donc un autre moyen de diagnostiquer la maladie coronarienne que la coronarographie ?Que dois-je faire si j'ai peur de subir une coronarographie pour diverses raisons ou si je ne peux pas subir une coronarographie en raison d'une insuffisance rénale ?
On dit que la coronarographie est l'étalon-or pour le diagnostic de la maladie coronarienne, mais ce n'est pas le seul étalon. Il existe également les moyens suivants pour aider à déterminer si vous souffrez d'une maladie coronarienne.
1. les symptômes
En cas d'activité, d'effort ou d'excitation émotionnelle, la zone antérieure du cœur ou la poitrine se trouve au milieu de l'ennui, de la gêne douloureuse, généralement de la taille de la paume de la main, qui dure plusieurs minutes ; après le repos, les symptômes s'améliorent progressivement. Cette situation doit être considérée comme une angine de poitrine coronarienne, qui dure plus de 15 à 20 minutes sans soulagement, et doit faire penser à un infarctus aigu du myocarde ; il faut se rendre immédiatement à l'hôpital pour des examens complémentaires.
2. l'électrocardiogramme
Chez les patients présentant des épisodes d'oppression thoracique et de douleur thoracique durant plusieurs minutes, un ECG simple est susceptible d'être normal. Vous devrez subir un ECG ambulatoire ou un test d'effort pour déterminer si vous souffrez d'une maladie coronarienne.
Électrocardiographie ambulatoire.Pour effectuer ce test, il ne faut jamais s'allonger et se reposer. Habituellement, comment les activités, même besoin d'aller délibérément à monter les escaliers, l'escalade pour induire leur serrement de poitrine et la douleur thoracique inconfort, cette fois l'électrocardiogramme sera enregistré, après la crise de l'inconfort d'arrêter et de se reposer immédiatement. 24 heures plus tard, le médecin analysera vos 24h électrocardiogramme changements, si la crise de serrement de poitrine et la douleur thoracique avec l'ischémie myocardique électrocardiogramme changements, et aucun symptôme lorsque l'électrocardiogramme est normal, alors le diagnostic de la maladie coronarienne. est très probable.
Test de mouvement.Marche rapide sur un appareil semblable à un tapis roulant, dont la vitesse peut être réglée de lente à rapide ; en même temps, le sujet est attaché à une feuille d'électrodes, qui est reliée à l'appareil d'électrocardiogramme. Les symptômes du sujet disparaissent progressivement après l'arrêt de l'exercice et l'ECG revient à la normale, c'est-à-dire que le test d'effort est positif et que la possibilité d'une maladie coronarienne est considérée comme élevée.
3. l'angiographie coronaire
Une aiguille à demeure est placée dans le bras et, lors d'un examen par tomodensitométrie, un agent de contraste est rapidement injecté, qui s'écoulera dans les vaisseaux sanguins du cœur, puis une tomodensitométrie est réalisée et, enfin, une imagerie tridimensionnelle des artères coronaires est effectuée en arrière-plan pour voir s'il y a une sténose des vaisseaux sanguins coronaires et pour juger du degré de sténose. Cependant, cette technique n'est pas aussi précise que la coronarographie en raison de facteurs tels que la coopération, le rythme cardiaque, la respiration, etc. Afin de prévenir la néphropathie de contraste, vous devez boire beaucoup d'eau après l'examen afin d'excréter le produit de contraste le plus rapidement possible. Les personnes dont la fonction rénale est anormale doivent être évaluées par un médecin avant de décider si elles peuvent subir cet examen.
4. prélèvement sanguin pour la recherche de marqueurs cardiaques
Pour les patients souffrant d'une oppression thoracique et d'une douleur thoracique durant plus de 15 à 20 minutes, il faut se méfier de l'infarctus aigu du myocarde. Les patients souffrant d'un infarctus aigu du myocarde présentent des marqueurs myocardiques élevés, mais le marqueur myocardique spécifique, la troponine, est généralement élevé après 4 heures, de sorte que la première fois que vous vérifiez si la troponine est normale, vous devrez la vérifier à nouveau.
L'angiographie coronaire est-elle donc toujours nécessaire lorsqu'une maladie coronaire est fortement suspectée par les méthodes susmentionnées ?
Le mot "définitivement" est trop absolu, et le patient et sa famille doivent également être consultés. Toutefois, d'un point de vue thérapeutique, le Dr Xu recommande toujours la coronarographie pour les patients suivants.
Les patients souffrant d'infarctus aigu du myocarde, d'angor instable, y compris les patients souffrant d'angor naissant, d'angor s'aggravant et d'angor mal traité par des médicaments, qui présentent tous des plaques instables dans leur corps, sont aidés à les détecter grâce à la coronarographie, et un grand nombre de preuves suggèrent que les interventions chez ces patients peuvent contribuer à réduire l'infarctus, à réduire la mortalité cardiovasculaire et à améliorer le pronostic.
Chez les patients très stables souffrant d'angor d'effort, les médicaments sont très efficaces et les études ont montré que l'intervention n'apportait pas de bénéfice supplémentaire à ce groupe de patients par rapport aux médicaments et que, par conséquent, la coronarographie et l'intervention n'étaient pas nécessaires.
J'espère que les réponses ci-dessus vous seront utiles !
Concentrez-vous sur la santé, concentrez-vous sur la santé cardiovasculaire Dr Xu !
M. Wong, un vieil homme d'affaires, près de la clinique, a dit : docteur, donnez-moi une imagerie ? Nous ne sommes pas mauvais payeurs !
J'ai dit : "Pourquoi êtes-vous mal à l'aise ? L'inconfort de l'imagerie, l'ECG, l'échographie et d'autres tests ne sont pas des examens de routine, ils sont invasifs et peuvent être risqués.
M. Wong : L'imagerie n'est-elle pas le meilleur moyen de contrôler le cœur ?
Dr Wang : Non, le cœur présente de nombreux types de maladies, il suffit de choisir le bon patient, pas la meilleure imagerie, et l'imagerie sert principalement à vérifier les vaisseaux sanguins du cœur, c'est-à-dire à voir s'il n'y a pas de maladie coronarienne, pas à faire de l'imagerie pour découvrir les maladies cardiaques !
M. Wong : Alors faites-en un aussi, c'est très bien de toute façon !
Dr Wong : Bien sûr que quelque chose ne va pas, car l'imagerie comporte des risques.
1. saignements ou hématomes
Examen invasif, qui implique de pénétrer dans le corps, la cardiographie consiste à placer un tube à travers le point de ponction (artère radiculaire du poignet ou de la cuisse), par lequel un tube de connexion, également appelé gaine, relie le monde extérieur aux vaisseaux sanguins, ce qui peut provoquer des saignements locaux, des saignements systémiques, des hématomes au point de ponction, des vasospasmes, des lésions de la paroi des vaisseaux sanguins, des pseudo-anévrismes et des fistules artério-veineuses, etc.
2. néphropathie de contraste.
Comme il s'agit d'une imagerie, il est nécessaire d'utiliser un produit de contraste, qui doit être métabolisé par les reins. Le diabète, l'insuffisance rénale et les personnes âgées sont plus susceptibles de développer une néphropathie de contraste.
3. très peu de risques.
Complications telles que rupture du fil-guide, rupture du cathéter, entortillement du fil-guide, etc., crises d'angine de poitrine, infarctus aigu du myocarde, vasospasme aigu, piégeage de l'artère coronaire, perforation de l'artère coronaire, arythmies diverses et embolies diverses.
Après avoir entendu cela, M. Wong a immédiatement déclaré qu'il ne ferait plus rien !
Je lui ai dit de ne pas le faire, non pas parce que c'était dangereux, mais simplement parce que ce n'était pas nécessaire, car vous n'aviez pas les manifestations typiques de la maladie coronarienne, et qu'il n'était pas nécessaire de prendre le risque de le faire.
Mais si une imagerie est nécessaire, même si elle est risquée, allez-y !
L'imagerie cardiaque est un examen cardiovasculaire courant, une méthode courante de diagnostic et de traitement des maladies coronariennes ; dans une certaine mesure, l'imagerie cardiaque est l'"étalon-or" pour le diagnostic des maladies coronariennes ; en d'autres termes, pour savoir s'il y a une maladie coronarienne, s'il y a une sténose cardiovasculaire, il suffit de faire une imagerie !
De nos jours, la coronarographie devient de plus en plus courante, les établissements médicaux, grands et petits, peuvent effectuer cet examen, mais le contrôle des indications est de moins en moins strict, aujourd'hui, parlons du type de personnes à qui il convient de faire subir cet examen !
Ces 7 conditions nécessitent une cardiographie :
1. l'infarctus aigu du myocarde :
Je m'en tiendrai là. Il faut le faire. Il faut le faire. Le plus tôt sera le mieux ! N'hésitez pas ! Parce que le seul moyen de sauver votre vie est de faire une imagerie immédiatement, de voir où se trouve l'obstruction et d'ouvrir le vaisseau tout de suite !
2. angine de poitrine définitive, en particulier une angine qui ne peut être contrôlée par des médicaments :
En cas d'angine d'effort, il est préférable de prendre des médicaments ; en cas d'angine instable, il est recommandé de procéder à une coronarographie pour approfondir les investigations. Bien entendu, l'angine d'effort peut également évoluer et se transformer en angine d'effort aggravée, et la décision de procéder ou non à une angiographie doit alors être prise au cas par cas.
3. bloc de branche gauche soudain :
Il s'agit d'une modification de l'électrocardiogramme, parfois une fois l'électrocardiogramme trouvé anormal, un bloc de branche gauche complet ; le plus critique habituellement un électrocardiogramme normal, soudainement apparu ce bloc de branche gauche complet, qui doit également faire un examen d'imagerie, pour exclure l'ischémie myocardique causée par la fin de la gauche ; les lignes directrices ont clairement souligné que la branche gauche soudaine est d'améliorer l'examen angiographique de l'artère coronaire.
4. insuffisance cardiaque de cause incertaine :
Chez certains patients, le premier symptôme est l'insuffisance cardiaque, c'est-à-dire l'insuffisance cardiaque, mais la cause n'est pas claire, il est recommandé d'améliorer l'examen coronarographique pour clarifier l'état vasculaire coronarien. Parce que certaines personnes ont une angine de poitrine atypique, une crise de symptômes a été l'insuffisance cardiaque ; bien sûr, il faut écarter des causes claires telles que l'insuffisance cardiaque hypertensive, l'insuffisance cardiaque éolienne, l'insuffisance cardiaque pulmonaire, l'insuffisance cardiaque valvulaire, l'insuffisance cardiaque cardiomyopathique et ainsi de suite.
5) L'arythmie ventriculaire soudaine n'a pas de cause claire :
Arythmie ventriculaire soudaine pour exclure les troubles électrolytiques, l'insuffisance cardiaque, les problèmes structurels du cœur ; pour clarifier si l'arythmie est due à une maladie coronarienne. Une coronarographie est effectuée.
6. survie à la mort subite :
En cas de syncope soudaine, de perte de conscience et d'autres conditions, après un sauvetage actif, après l'exclusion de l'origine cérébrale et de l'arythmie maligne, il est recommandé d'améliorer l'angiographie coronarienne. En effet, la mort cardiaque subite représente la grande majorité des morts subites, et les lésions vasculaires cardiaques sont les plus fréquentes parmi les morts cardiaques subites.
7, Récidive de l'angine de poitrine après la pose d'un stent :
Ces examens sont nécessaires, d'une part pour vérifier s'il existe une resténose du stent et d'autre part pour examiner les autres vaisseaux, de préférence en conjonction avec les résultats de la dernière imagerie.
En général, il n'est pas vrai que les patients peuvent subir une angiographie s'ils le souhaitent, et il n'est pas vrai non plus que les médecins laissent tous leurs patients subir une angiographie.
Nous devons saisir les indications de l'imagerie cardiaque et la refaire au moment opportun, plutôt que de traiter le patient comme un médecin spécialiste de l'imagerie et de le laisser faire l'imagerie lorsqu'il le rencontre, ce qui est différent d'une machine.
Les personnes qui ne devraient pas avoir recours à l'imagerie ne peuvent qu'augmenter le risque et les dommages s'ils le font ; les personnes qui doivent avoir recours à l'imagerie en valent la peine même s'il y a un risque, car l'imagerie peut nous aider à résoudre nos problèmes.
J'espère que les patients consulteront rapidement un médecin en cas de problème, qu'ils suivront le processus, qu'ils auront davantage confiance et qu'ils seront moins sceptiques.
Après tout, nous sommes des professionnels !
De plus, j'espère que ces médecins spécialistes de l'imagerie ne se contentent pas de regarder le patient, quelles que soient les circonstances, et de lui dire : "Faites une imagerie et vous verrez !".
Après tout, chacun est un parent et un enfant, et si vous ne le voulez pas, ne le faites pas aux autres ! Après tout, les gens agissent, Dieu regarde !
La coronarographie est l'un des principaux tests de dépistage de la maladie coronarienne, mais elle n'est pas obligatoire !

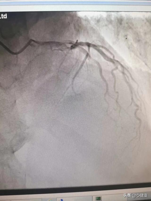
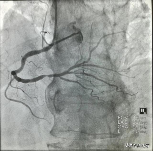
Qu'est-ce que la coronarographie ?
La coronarographie est l'examen de référence pour confirmer le diagnostic de maladie coronarienne, mais il s'agit également d'un examen invasif, nocif pour le patient, qui ne peut donc pas être effectué quand on le souhaite, comme n'importe quel autre examen, et qui requiert généralement l'avis d'un médecin professionnel avant d'être pratiqué.
La coronarographie est réalisée pendant que le patient est éveillé et peut être achevée en moins de 10 heures (si tout se passe bien), mais peut prendre plus de temps si les vaisseaux sanguins du patient sont fins et difficiles à localiser, mais elle est généralement considérée comme un examen chirurgical mineur.
1, le médecin fait une ponction dans l'artère de la main droite du patient et y introduit une gaine, qui est la base de tout.
2, le cathéter de contraste est acheminé vers le cœur à travers la gaine.
3. L'agent de contraste est injecté par un cathéter de contraste et visualisé extérieurement par une radiographie.
C'est pourquoi la coronarographie est un examen invasif, dont aucun médecin n'ose dire qu'il est nécessaire de l'effectuer, et de nombreuses conditions doivent être prises en compte pour qu'elle puisse être réalisée.

La coronarographie est précise, mais ce n'est pas la seule solution !
Tout d'abord, je dois vous rappeler qu'il ne suffit pas de dire que vous souffrez d'une maladie coronarienne, vous pouvez avoir des symptômes tels qu'une oppression thoracique et une douleur thoracique, mais cela ne signifie pas qu'il s'agit d'une maladie coronarienne, je n'ai pas l'intention d'attaquer qui que ce soit, mais à l'heure actuelle, de nombreux médecins, la première fois qu'ils entendent une douleur thoracique et une oppression thoracique, sans enquête et examen détaillés, affirment qu'il s'agit d'une "maladie coronarienne", le diagnostic de ce type de fiabilité n'est pas très élevé.
Un patient chez qui l'on suspecte une maladie coronarienne doit subir un examen complet, tel que l'électrocardiogramme (ECG) le plus élémentaire, qui peut fournir des informations de base, telles que l'arythmie, l'ischémie myocardique, etc., puis subir un test d'effort (électrocardiogramme (EKG) ambulatoire), qui peut montrer si l'irrigation sanguine du myocarde est normale ou non lors d'un exercice, puis, si la situation n'est pas optimiste, il est également possible d'opter pour une angiographie coronarienne. Si la situation n'est pas optimiste et qu'il n'y a pas d'urgence à faire une angiographie, vous pouvez également opter pour l'angiographie coronarienne, qui n'est pas aussi précise que l'angiographie, mais qui peut grosso modo déterminer s'il y a ou non une sténose coronarienne. Le médecin peut alors découvrir le problème à partir des symptômes, des antécédents médicaux et de l'examen, avant d'envisager une angiographie pour la clarification finale.
(Je suis Luo Min, médecin-chef dans un hôpital de niveau 3A, un "vieux" médecin avec plus de 30 ans d'expérience clinique, mes efforts ne visent qu'à récolter les bénéfices de votre approbation, si ma réponse peut vous aider, j'espère que vous l'aimerez, que vous y prêterez attention, et si vous avez des questions, vous pouvez commenter ou m'écrire en privé, je ferai de mon mieux pour vous aider).
La coronarographie est-elle nécessaire en cas de maladie coronarienne ? C'est en effet une question qui préoccupe de nombreuses personnes, et l'on peut dire que tout cardiologue rencontre des patients qui s'interrogent à ce sujet. Aujourd'hui, le Dr Zhang va vous donner une explication détaillée de ce problème. Il s'efforcera de vous faire comprendre, à la fin de son exposé, ce qu'il faut faire en matière d'imagerie, pour que tout le monde puisse voir !
Tout d'abord, on dit qu'il n'y a pas d'obligation ni d'absolu dans le monde, et même pour les patients souffrant d'une maladie coronarienne, il n'est pas possible de dire qu'il est absolument nécessaire d'avoir recours à la coronarographie. Alors, qui a besoin d'une coronarographie et qui n'a pas besoin d'une coronarographie ?

Commençons par une citation de Sones, cardiologue de renommée mondiale, qui a déclaré : "La coronarographie peut être pratiquée à condition que le médecin qui l'opère soit compétent, qualifié, bien équipé et accepté par le patient, et que la coronarographie résolve le problème clinique". Cette affirmation peut sembler simple, mais elle est encore difficile à comprendre pour le grand public.
En fait, lorsque nous pratiquons des coronarographies, nous pouvons les classer en deux catégories pour des raisons différentes :
I. La coronarographie est pratiquée pour le diagnostic de la maladie.
1, douleur thoracique atypique, cliniquement difficile à diagnostiquer s'il s'agit d'une angine de poitrine, il est probable qu'il faille procéder à une coronarographie.
2. une hypertrophie inexpliquée du cœur, une arythmie et une diminution de la fonction cardiaque, qui nécessitent également une angiographie coronaire pour vérifier si les artères coronaires sont obstruées.
3, arrêt cardiaque après réanimation cardio-pulmonaire, pour effectuer une coronarographie afin de voir la situation de l'artère coronaire.
4) Les patients présentant des anomalies à l'ECG, telles qu'un bloc de branche et des anomalies de l'onde T, peuvent nécessiter une coronarographie lorsque la cause doit être clarifiée.
5) Certaines professions particulières (pilotes d'avion, personnes travaillant à haute altitude) exigent une clarification préalable des artères coronaires et peuvent nécessiter une coronarographie.

II. la coronarographie est pratiquée pour le traitement de la maladie
1, le diagnostic clinique des patients atteints de maladie coronarienne, en même temps que les symptômes de l'ischémie du myocarde s'il y a une aggravation, comme une douleur thoracique, une oppression thoracique et d'autres symptômes clairs de crise d'ischémie du myocarde plus fréquents qu'auparavant, il est probable qu'il faille effectuer dès que possible une angiographie coronarienne. Bien entendu, pour les patients souffrant d'un infarctus aigu du myocarde ou d'un syndrome coronarien aigu, il est encore plus important de procéder à une coronarographie. Dans ces cas, une coronarographie sera probablement effectuée pour l'étape suivante du traitement.
2) Dans le cas d'un infarctus du myocarde ancien, une coronarographie est également nécessaire si l'on souhaite poursuivre le traitement.
3) Une coronarographie peut être nécessaire si des symptômes d'ischémie myocardique apparaissent après l'implantation d'un stent coronaire ou un pontage aorto-coronaire, ou si un examen est nécessaire pour évaluer le pronostic de l'intervention chirurgicale.
4, les patients souffrant de cardiopathie valvulaire doivent subir une angiographie coronarienne avant la chirurgie de remplacement de la valve.
5) Une coronarographie est probablement nécessaire avant le traitement chirurgical d'une cardiopathie congénitale.
6. La cardiomyopathie hypertrophique doit faire l'objet d'une coronarographie avant de procéder à l'ablation par radiofréquence.

Il s'agit des pathologies qui peuvent nécessiter une coronarographie, et le résumé qui en est fait ici peut être incomplet. Parallèlement, ces dernières années, grâce aux progrès de la tomodensitométrie hélicoïdale multicoupe, de nombreuses pathologies peuvent également être résolues par l'angiographie coronaire, de sorte que certaines des pathologies susmentionnées ne nécessitent pas d'angiographie coronaire.
Dans l'ensemble, que l'on fasse ou non une coronarographie, il faut toujours écouter l'avis du médecin responsable, quand il faut le faire résolument, quand il ne faut pas le faire, il n'est pas nécessaire d'aller jusqu'à la perte du crime.
Toutes les maladies coronariennes ne nécessitent pas d'angiographie et toutes les maladies non coronariennes ne nécessitent pas d'angiographie, et nous devons comprendre que ces deux questions exigent de savoir quel est le but de notre angiographie.
I. La maladie coronarienne doit-elle faire l'objet d'une imagerie ?
Si toutes les maladies coronariennes nécessitaient une imagerie, le service de cardiologie représenterait une très lourde charge pour les 300 millions de patients souffrant de maladies cardiovasculaires. L'angiographie a pour but, d'une part, d'évaluer les lésions du patient et de guider le traitement et, d'autre part, de poursuivre la reconstruction hématologique. Et puis, bien sûr, il s'agit aussi de déterminer si le patient souffre ou non d'une maladie coronarienne, d'identifier le diagnostic et de comprendre la situation ! Ainsi, dans le cas d'une maladie coronarienne stable, nous connaissons déjà les risques possibles, et plus tard, s'il existe un certain degré de certitude quant à sa guérison, il n'est absolument pas nécessaire de recourir à l'imagerie.
Deuxièmement, si vous n'avez pas de maladie coronarienne, vous n'avez pas nécessairement besoin d'imagerie ?
Bien sûr que non, comme nous venons de le mentionner, la coronaropathie est parfois utilisée pour déterminer si nous avons une coronaropathie ou non. Ainsi, pour un patient qui n'a pas de coronaropathie mais dont les symptômes cliniques y ressemblent beaucoup et qui font que le médecin soupçonne fortement une coronaropathie, l'angiographie est toujours très nécessaire.
L'imagerie dépend de nombreux facteurs
La décision d'effectuer une angiographie dépend de nombreux facteurs et pas seulement du diagnostic du patient. Nous devons comprendre que l'imagerie n'est qu'un test, qu'un moyen de comprendre l'état de nos vaisseaux sanguins, et qu'elle n'est pas le seul moyen ou le choix inévitable pour la maladie coronarienne.
Cependant, si notre maladie coronarienne se modifie, par exemple en cas d'instabilité, d'angor, d'infarctus aigu du myocarde ou de toute autre affection nécessitant une imagerie, nous devons la réaliser le plus rapidement possible, plutôt que d'hésiter à la faire !
Voir ce qui se passe ? Suivez-nous pour recevoir des mises à jour quotidiennes sur la science.
En tant que maladie cardiaque la plus courante, la maladie coronarienne est très répandue chez les personnes d'âge moyen et les personnes âgées. L'imagerie cardiaque, ou coronarographie comme nous l'appelons, est l'"étalon-or" pour le diagnostic de la maladie coronarienne. Toutefois, la coronarographie étant un examen invasif, de nombreux patients ont des inquiétudes à son sujet.

Dois-je passer un cardiogramme si je souffre d'une maladie coronarienne ? Existe-t-il un autre moyen ?
Le changement pathologique de la maladie coronarienne est le rétrécissement de l'artère coronaire dû à la formation d'une plaque d'athérome dans l'artère coronaire. En général, une sténose de l'artère coronaire de plus de 50 % peut être diagnostiquée comme une maladie coronarienne. Le diagnostic de sténose de l'artère coronaire peut être établi par le scanner coronaire et la coronarographie, et l'électrocardiographie peut être utilisée comme test auxiliaire pour l'ischémie myocardique. Parmi ces examens, la coronarographie, qui est l'"étalon-or" du diagnostic des maladies coronariennes, est plus précise. Cependant, comme la coronarographie est un examen invasif qui comporte certains risques et qui est coûteux, de nombreux patients la rejettent.
La coronarographie est-elle donc indispensable en cas de maladie coronarienne ? En fait, la question de savoir s'il est nécessaire de procéder à une coronarographie doit tenir compte de divers facteurs. D'une manière générale, pour les patients souffrant d'une maladie coronarienne, si les symptômes de l'angine sont typiques, l'expérience clinique permet de diagnostiquer une maladie coronarienne ; si le pronostic de la sténose coronarienne est plus grave, il est probable qu'il faille poser une endoprothèse, il est recommandé d'effectuer une coronarographie dès que possible pour clarifier la situation ; à ce stade, le scanner des artères coronaires est redondant et ne fera que retarder la situation. Si le pronostic de la sténose de l'artère coronaire est léger et que les symptômes de l'angine de poitrine sont légers, en fait, selon les souhaits du patient, vous pouvez choisir de ne pas effectuer de coronarographie.

En général, la coronarographie est principalement utilisée pour les patients souffrant d'angine de poitrine qui présentent des symptômes angineux atypiques ou qui sont cliniquement difficiles à diagnostiquer. Elle est surtout utilisée pour les patients qui ne peuvent toujours pas être diagnostiqués par l'ECG et la tomodensitométrie coronaire, ou pour ceux qui n'ont pas été traités efficacement par les médicaments conventionnels. En outre, la coronarographie ne convient pas à tout le monde ; les patients présentant des épisodes d'arythmie ventriculaire sévère, une insuffisance cardiaque grave et d'autres maladies ne peuvent pas effectuer de coronarographie.
Plus précisément, les groupes de personnes suivants doivent subir une coronarographie : les patients qui ont besoin d'un diagnostic clair, les patients souffrant d'angine et suspectés de maladie coronarienne, les patients souffrant d'insuffisance cardiaque non diagnostiquée, d'arythmie, etc. ; les patients qui ont besoin d'un examen plus approfondi, comme des anomalies de l'électrocardiogramme, un examen de tomodensitométrie coronaire suggérant que l'artère coronaire est gravement rétrécie, etc. ; les patients ayant des antécédents de maladie cardiaque, y compris les patients ayant déjà reçu un diagnostic de maladie coronarienne, les patients ayant subi un infarctus et souffrant d'angine récurrente ou les patients présentant une rechute après la pose d'une endoprothèse, etc. Les patients ayant des antécédents de maladie cardiaque, y compris la récurrence de l'angine chez les patients ayant déjà reçu un diagnostic de maladie coronarienne ou d'infarctus, ou la récurrence chez les patients ayant reçu un stent, etc. En outre, la coronarographie est également nécessaire pour certains patients âgés qui doivent subir des interventions chirurgicales majeures ou pour les patients souffrant de maladies cardiaques qui ont besoin d'un traitement chirurgical.
Je suis le pharmacien Wang, qui insiste sur la diffusion des connaissances sur les maladies cardiovasculaires et cérébrovasculaires avec des mots simples et faciles à comprendre, et qui consacre ses modestes efforts à une Chine en bonne santé. Si vous pensez que ma réponse vous est utile, n'hésitez pas à laisser un "j'aime" ! En outre, si vous avez encore des questions concernant l'examen de coronarographie, n'hésitez pas à laisser un message, nous en discuterons ensemble.
La coronarographie est l'indice de référence pour le diagnostic de la maladie coronarienne. Outre son rôle diagnostique, elle peut également guider le traitement, en particulier lorsque la nécessité d'une thérapie interventionnelle doit être réalisée par coronarographie.
Tout d'abord, pour les patients suspectés de coronaropathie et présentant des facteurs de susceptibilité à la coronaropathie (par exemple, hypertension, hyperlipidémie, diabète sucré, etc.), s'ils présentent une oppression thoracique et une douleur thoracique liées à l'activité, qui peuvent être soulagées en quelques minutes à dix minutes après le repos, on peut diagnostiquer cliniquement une coronaropathie, mais la confirmation finale du diagnostic nécessite un examen de coronarographie. La coronarographie est un examen invasif qui nécessite une hospitalisation, et l'agent de contraste a un certain effet sur le corps humain (par exemple, l'allergie au contraste, etc.), de sorte que certains patients hésitent à s'y soumettre.

L'angiographie coronaire peut être réalisée en ambulatoire sans qu'il soit nécessaire de ponctionner une artère ou d'envoyer un cathéter dans le cœur, et convient à certains patients qui ont peur de la coronarographie. La valeur prédictive d'une angiographie coronaire négative est bonne (89,1 %) et celle d'une angiographie positive est de 82,4 %, et il arrive que le résultat de l'angiographie coronaire soit plus lourd qu'il ne l'est en réalité.

Si le patient est prêt à poser un stent ou s'il est victime d'une crise cardiaque aiguë, quel que soit le résultat de l'angiographie coronarienne, il convient de procéder d'abord à une coronarographie lorsqu'un stent est nécessaire. En fait, l'angiographie coronaire est très avancée, les médecins compétents peuvent réaliser l'opération en dix minutes, la probabilité de complications graves est généralement très faible, il n'y a pas lieu d'avoir trop peur, il faut vérifier ou il faut faire.
Ce premier changement de régime et d'habitudes, manger plus de légumes et de céréales, manger moins de viande, faire de l'exercice modéré, il est préférable de voir un traitement de médecine traditionnelle chinoise est meilleur, ne doit pas nécessairement faire une cardiographie.
Vous pouvez consulter un praticien de médecine chinoise et il sera préférable de prendre des médicaments chinois pour le réguler.
Ces questions et réponses proviennent des utilisateurs du site, elles ne représentent pas la position du site, s'il y a une infraction, veuillez contacter l'administrateur pour la supprimer.
