Peut-on vivre longtemps après un infarctus cérébral aigu ?
Peut-on vivre longtemps après un infarctus cérébral aigu ?
Les cardiopathies ischémiques et les accidents vasculaires cérébraux sont devenus les maladies les plus meurtrières au monde. Dans mon pays, les cardiopathies ischémiques et les accidents vasculaires cérébraux sont également devenus les maladies les plus meurtrières, en raison de l'augmentation de la population vieillissante.
Les conséquences de l'infarctus cérébral varient en fonction des différents sites d'infarctus et des volumes d'infarctus cérébral aigu. Malgré le développement de la technologie médicale actuelle et une compréhension plus approfondie des maladies cardiovasculaires et cérébrovasculaires qu'auparavant, l'infarctus cérébral conserve inévitablement un certain taux de mortalité au stade aigu.
Certains patients souffrent d'un blocage de l'artère carotide interne, qui affecte la moitié du cerveau ; certains patients ont un infarctus du tronc cérébral, qui affecte le centre vital, et le taux de mortalité aiguë de ces patients est très élevé. Certains patients présentent également des complications graves après un infarctus cérébral, telles qu'une infection pulmonaire incontrôlable et une hémorragie gastro-intestinale aiguë, qui augmentent également le taux de mortalité de l'infarctus cérébral au cours de la phase aiguë.
Les patients qui survivent à la phase aiguë ont des conséquences différentes en raison de la gravité de la maladie, des maladies sous-jacentes, de l'observance, des soins familiaux, de l'attitude à l'égard de la maladie et de l'état d'esprit.
Selon les statistiques, après la phase aiguë de l'infarctus cérébral, environ 10 % des patients peuvent se rétablir presque complètement grâce à un traitement opportun et à une formation en rééducation, etc. ; environ 25 % des patients n'ont plus que des symptômes relativement légers qui n'affectent pas leur vie quotidienne ; 40 % des patients ont un handicap modéré et peuvent avoir besoin de béquilles ou d'un fauteuil roulant, et certaines activités telles que le bain nécessitent l'aide d'autres personnes ; et environ 10 % des patients sont gravement handicapés et alités, et ont besoin d'une prise en charge totale par d'autres personnes.
Parmi ces patients survivants, environ un quart est exposé au risque de décès 4 semaines à un an après un infarctus cérébral aigu, et le taux de mortalité dans les 5 ans suivant un infarctus cérébral aigu est environ deux fois plus élevé que chez les sujets normaux. Les facteurs associés au décès dans les 5 ans suivant un infarctus cérébral aigu sont l'âge, le handicap, les maladies cardiovasculaires récurrentes, le diabète sucré et la dépression.
Mais cela ne veut pas dire que l'on ne vit pas longtemps après un infarctus cérébral aigu ! Il existe encore une proportion importante de patients qui survivent longtemps après leur premier infarctus cérébral. Ces patients présentent certaines caractéristiques communes.Optimiste, bonne hygiène de vie, ne pas fumer ni boire, bonne observance, écouter son médecin, bonne maîtrise des facteurs de risque, réadaptation active, rester actif, contrôles de santé réguliers.De nombreux patients peuvent vivre 10, 20 ou 30 ans après un infarctus cérébral aigu.
Pour d'autres questions de santé, veuillez cliquer sur le coin supérieur droit du "+ attention" : Dr Lee et vous parlez de santé.
Une fois que l'infarctus cérébral aigu se produit, il est nécessaire de se précipiter à l'hôpital pour obtenir des secours, car la thrombolyse est la mesure la plus importante pour rétablir le flux sanguin, dans les 4,5 heures suivant l'apparition de la maladie (choisir la thrombolyse systémique intraventriculaire), l'apparition de la maladie dans les 4,5 heures-6 heures ou moins (comme la suspicion d'un accident vasculaire cérébral progressif peut être retardée jusqu'à 12 heures, la thrombose de l'artère basilaire peut être retardée jusqu'à 48 heures) pour choisir la thrombolyse interventionnelle locale intra-artérielle peut être efficace pour rétablir le flux sanguin. L'infarctus cérébral a un taux de mortalité plus faible que l'hémorragie cérébrale et un taux d'invalidité plus élevé, de sorte qu'une fois que le temps de traitement n'est pas respecté, cela peut conduire à l'invalidité ou au décès du patient.
Ne convient pas à la thrombolyse artérioveineuse5. maladies graves du cœur, du foie, des reins et d'autres organes parenchymateux.
Médicaments thrombolytiques :
1) Alteplase (Aetonix) :L'alteplase (activateur recombinant du fibrinogène de type tissulaire) est une glycoprotéine qui active directement la conversion du fibrinogène en enzymes fibrinolytiques, entraînant la dégradation de la fibrine et la lyse du caillot. Il est principalement utilisé dans les cas d'infarctus du myocarde aigu, d'embolie pulmonaire massive aiguë avec flux sanguin instable et d'accident vasculaire cérébral ischémique aigu. Il est contre-indiqué chez les personnes présentant un risque élevé de saignement en raison de ses effets indésirables.
2. l'urokinase :L'urokinase agit directement sur le système fibrinolytique endogène et peut catalyser le clivage du fibrinogène en enzymes fibrinolytiques, conduisant à la dégradation de la fibrine et à la dissolution du caillot, avec une action rapide et un bon effet sur les thrombus nouvellement formés. Il est principalement utilisé pour le traitement thrombolytique des maladies thromboemboliques, notamment l'infarctus aigu du myocarde, l'embolie pulmonaire aiguë généralisée et l'embolie cérébrale aiguë. Les patients souffrant d'un accident vasculaire cérébral ischémique dans les 6 heures suivant son apparition et qui ne peuvent pas utiliser l'alteplase peuvent envisager l'utilisation de l'urokinase, mais les indications de son utilisation doivent être strictes.
Il n'y a pas de réponse définitive à cette question car le pronostic de l'infarctus cérébral est lié à de très nombreux facteurs.
Le site de l'infarctus, de même que la zone de l'infarctus, si l'infarctus se situe dans une zone très critique, comme le tronc cérébral, il est possible de développer une déficience respiratoire peu de temps après le début de la maladie et donc de conduire à la mort. En revanche, si l'infarctus se situe dans une zone non fonctionnelle, il peut n'y avoir que des vertiges et des malaises.
La taille des infarctus est telle que les petits infarctus peuvent n'entraîner aucune déficience fonctionnelle significative, tandis que les grands infarctus cérébraux peuvent présenter une hypertension crânienne sévère, un gonflement du cerveau et un décès à court terme en raison d'une hernie cérébrale.
En effet, la durée de vie d'un infarctus cérébral massif, s'il dépasse l'œdème cérébral, dépend en grande partie des complications et, in fine, de la qualité des soins prodigués par la famille.
Même si le patient est dans le coma depuis longtemps, s'il est alité, s'il reçoit les soins appropriés, il peut aussi survivre à long terme. Au contraire, même si le patient a récupéré et est capable de vivre seul, s'il ne prête pas attention à l'entretien, il peut bientôt se retrouver en état de rechute.
Merci pour l'invitation à poser des questions !
"L'infarctus cérébral est classé cliniquement comme un accident vasculaire cérébral ischémique, souvent appelé infarctus cérébral, et est l'une des maladies cérébrovasculaires les plus courantes. Cette question porte sur les perspectives de survie après la survenue d'un infarctus cérébral, d'un point de vue général de l'influence d'un très grand nombre de facteurs, le plus important étant trois aspects, l'un d'eux est le type de maladie, le deuxième est de prendre la méthode de traitement, le troisième est le début de la réadaptation et de la prévention, le Dr Elf suivant sera analysé à partir des trois aspects de la réponse à vous donner.

Tout d'abord, parlons du type d'infarctus cérébral. Ce qui est généralement associé à la survie, c'est la localisation de l'infarctus et la taille de la zone infarcie. Il existe une zone très importante du cerveau humain appelée tronc cérébral, qui gère la conscience, la respiration et le rythme cardiaque, et qui est alimentée par le système de l'artère vertébrale basilaire. Un infarctus complet dans ce système peut entraîner une perte de conscience rapide et une transition facile vers l'arrêt respiratoire. En outre, en cas d'infarctus cérébral important d'un côté du cerveau, généralement causé par un blocage de l'artère cérébrale moyenne ou de l'artère carotide interne d'un côté du cerveau, il peut en résulter un infarctus cérébral important et une hernie pouvant facilement entraîner une compression des centres vitaux du tronc cérébral, ce qui peut finalement entraîner la mort dans un court laps de temps.

Parlons un peu plus du traitement. En cas d'AVC ischémique aigu, si vous arrivez au centre d'AVC dans les 3 à 4,5 heures, vous aurez la possibilité de subir une thrombolyse intraveineuse, et si la thrombolyse n'est pas efficace, certains patients peuvent également subir une thérapie interventionnelle. Si ces deux traitements sont efficaces, ils augmenteront les chances de survie du patient, et en même temps, en combinaison avec la prévention et le traitement des complications de la phase aiguë, d'un point de vue global, nous pouvons non seulement atteindre l'objectif de sauver des vies, mais aussi avoir une bonne qualité de vie.

Enfin, nous parlerons de la rééducation et de la prévention après l'apparition de la maladie. L'infarctus cérébral grave mentionné précédemment est relativement rare dans l'ensemble, et la plupart des patients ne présentent que des déficits neurologiques partiels. En outre, ces patients ont déjà perdu la meilleure période de traitement ultra-précoce lorsqu'ils recherchent un traitement médical, de sorte que nombre d'entre eux conserveront certaines séquelles, telles qu'une altération des mouvements des membres, des troubles de l'élocution, etc. Dans ce cas, si la rééducation peut être effectuée à temps, ainsi que la prévention d'une éventuelle récidive de l'infarctus cérébral, on peut non seulement rétablir une bonne qualité de vie, mais aussi éviter la répétition de situations similaires, alors que si ces mesures de traitement ne peuvent être mises en œuvre, l'infarctus cérébral peut réapparaître et, en fin de compte, mettre la vie du patient en danger.
Bonjour ! Selon la nutritionniste, la clé de l'espérance de vie réside toujours dans le fait que la personne suive ou non un traitement actif.
Aujourd'hui, l'infarctus cérébral est de plus en plus fréquent, mais aussi de plus en plus jeune. L'homme nutritionnel a vu la plupart des infarctus cérébraux de la mort, il y a ces sortes de :
1. l'absence de réanimation en temps utile
Qu'il s'agisse d'une première attaque cérébrale ou d'une seconde, elle peut être fatale si elle n'est pas secourue à temps. Ce matin, j'ai également vu aux nouvelles que l'hôpital de Shanghai était en colère contre le conducteur qui avait occupé la route pour secourir le patient victime d'une attaque cérébrale. Lorsqu'une attaque cérébrale se produit, le temps est un facteur essentiel. Beaucoup de gens perdent le temps.
2. les complications
Le taux de mortalité et d'invalidité lié à l'infarctus cérébral est extrêmement élevé. Bien que de nombreux patients soient secourus, ils ne savent pas comment traiter activement les complications, ce qui conduit finalement à l'invalidité. Après l'invalidité, de nombreuses personnes perdent la capacité de prendre soin d'elles-mêmes et doivent rester au lit pendant une longue période.
Une position allongée prolongée peut entraîner deux problèmes graves : une escarre et une infection pulmonaire. Combien de temps faut-il pour que cela se produise ? En cas de mauvais soins, elle peut apparaître en l'espace de six mois seulement. 3 à 5 ans plus tard, il est également fréquent que la cause finale du décès soit due à une combinaison d'infections pulmonaires graves.
Au contraire, si vous suivez activement un traitement pour prévenir la récurrence de l'infarctus cérébral et si vous traitez activement les complications. Il ne s'agit pas de revenir à un état tout à fait normal, mais tant que la personne peut s'occuper d'elle-même, qu'elle n'est pas alitée à long terme, elle peut vivre jusqu'à 70 ans, voire plus.
En résumé, si vous ne la traitez pas de manière agressive, votre vie sera courte ; si vous la traitez de manière agressive, votre vie sera longue !
Enfin, je vous souhaite un prompt rétablissement !
J'espère que les suggestions ci-dessus vous aideront à obtenir davantage d'informations sur la santé et que vous serez attentif à la mise au point des soins de santé !
Il n'y a pas de réponse définitive à cette question ; l'infarctus cérébral aigu peut être fatal, mais il peut aussi être sans danger pour la vie s'il est traité à temps, et ce temps long est difficile à définir.

Les attaques cérébrales sont soit mortelles, soit invalidantes, et le temps presse !
En fait, je n'ai pas besoin de le dire, beaucoup de gens ont une certaine compréhension de l'infarctus cérébral, ils peuvent être entourés de patients atteints d'infarctus cérébral, une variété de séquelles, c'est parce qu'une partie de leur cerveau dans la période précoce des changements ischémiques dans certaines zones du cerveau, cette période de temps les cellules du cerveau ne sont pas complètement nécrosées, mais seulement en raison de l'ischémie et les dommages qui se produisent, la période de temps d'obtenir ou non un traitement en temps opportun, il déterminera le pronostic du patient.
Les cellules cérébrales sont très dépendantes de l'oxygène sanguin, elles ont une certaine réserve interne d'oxygène sanguin, et une courte période d'ischémie est acceptable, mais une période d'ischémie plus longue (plus de 4,5 minutes) entraînera leur nécrose, qui est irréversible, avec de graves déficits fonctionnels (par exemple, la paralysie) et même la mort.

Vivra-t-il encore longtemps ?
L'infarctus cérébral est franchement une maladie qui peut avoir un impact sur la vie et la santé du patient.
En outre, les miracles ne manquent jamais dans ce monde, et de nombreux patients en phase terminale peuvent être soudainement guéris ou vivre une vie paisible au crépuscule de leur vie ; en tant que médecin, je ne suis pas en mesure d'affirmer la vie d'un patient, et je n'ose parler que des points de vue et du pronostic de la maladie.
L'infarctus cérébral, bien que ces dernières années la tendance au vieillissement soit évidente, mais selon les données actuelles, le groupe des personnes âgées reste la force principale, les personnes âgées elles-mêmes ont vu leur qualité physique se dégrader, elles sont plus vulnérables aux effets néfastes de la maladie, ce qui est également le cas d'un grand nombre de personnes âgées en bonne santé à cause d'une maladie et la raison de l'effondrement de la maladie peut n'être qu'un déclencheur, si le patient est une personne âgée souffrant d'infarctus cérébral, il est probable qu'une réaction en chaîne finira par mettre sa vie en danger s'il ne reçoit pas un traitement efficace en temps utile. Si le patient est un patient âgé atteint d'infarctus cérébral, il est très probable qu'une réaction en chaîne se produise s'il ne reçoit pas un traitement efficace en temps voulu, ce qui finira par mettre sa vie en danger.
(Je suis Luo Min, médecin-chef dans un hôpital de niveau 3A, un "vieux" médecin avec plus de 30 ans d'expérience clinique, mes efforts ne visent qu'à récolter les bénéfices de votre approbation, si ma réponse peut vous aider, j'espère que vous l'aimerez, que vous y prêterez attention, et si vous avez des questions, vous pouvez commenter ou m'écrire en privé, je ferai de mon mieux pour vous aider).
Je suis médecin, résident, spécialisé dans la vulgarisation des connaissances médicales au profit de la santé humaine, si vous voulez en savoir plus, n'hésitez pas à me prêter attention, si vous avez des questions, laissez-moi un message, je vous répondrai !
Peut-on vivre longtemps avec un infarctus cérébral ?

Dans le passé, l'infarctus cérébral était l'apanage des personnes âgées, mais de nos jours, nous voyons souvent des personnes d'âge moyen et des jeunes souffrir d'un infarctus cérébral. De nombreuses personnes peuvent se demander combien de temps elles peuvent vivre avec un infarctus cérébral. En fait, il n'est pas facile de répondre à cette question, car la durée de vie dépend de nombreux aspects, dont le résumé spécifique est le suivant :
1. le siège de l'infarctus cérébral :
Si l'infarctus se produit dans une partie peu importante du corps, le patient peut ne pas souffrir de complications significatives. En revanche, si l'infarctus se produit dans une partie importante du corps, comme le tronc cérébral, il peut entraîner une dépression respiratoire et un décès immédiat ;
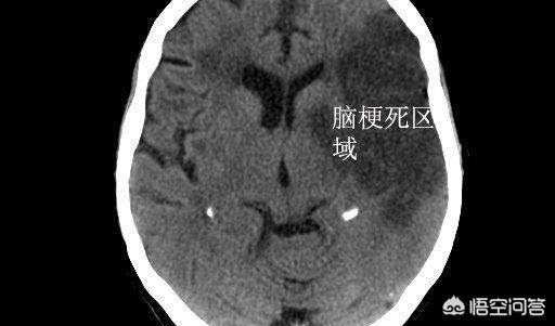
2. la taille de l'infarctus :

(La couleur particulièrement foncée correspond à la partie infarcie)
Certaines personnes ayant subi un infarctus à un âge relativement jeune peuvent ne présenter aucun symptôme après un infarctus cérébral, tel que l'infarctus cérébral caverneux, et beaucoup d'entre elles ne ressentent que des vertiges tout au plus ; cependant, si l'infarctus survient à un âge relativement avancé, dans plus de 50 % des cas, il est très difficile pour un tel patient de survivre ;
3. liés à l'état sous-jacent du patient :
Certaines personnes âgées ayant subi un infarctus cérébral sont elles-mêmes atteintes de nombreuses maladies, telles que l'hypertension, le diabète, les maladies coronariennes et d'autres maladies, et leur état de santé est relativement médiocre, de sorte que si elles subissent un autre infarctus cérébral, ces patients ne vivront pas longtemps ;
4. liés à la prise en charge de la famille :

Nous savons tous que l'infarctus cérébral peut entraîner une hémiplégie, une aphasie, et que la plupart des patients atteints d'infarctus cérébral ne mourront pas, mais qu'après le traitement, ils peuvent laisser des séquelles, telles que l'impossibilité de parler ou de marcher ; un tel patient peut vivre un ou deux jours, mais à long terme, il est facile d'avoir des problèmes ; parce que même une bonne personne qui reste au lit pendant une semaine sera mal à l'aise, si elle reste longtemps au lit, elle sera facilement exposée au risque de mort subite. Si la famille du patient s'occupe bien du patient, celui-ci peut vivre plus longtemps ; si les soins ne sont pas bons, le patient peut ne pas tenir six mois ;
5. elle est liée à l'âge du patient au moment de l'apparition de la maladie :
Certaines personnes âgées peuvent avoir plus de 80 ans lorsqu'elles développent la maladie, et elles sont déjà assez âgées, de sorte que même si elles n'ont pas d'infarctus cérébral, on estime qu'elles ne vivront pas longtemps, et lorsqu'elles ont un infarctus cérébral dans de telles circonstances, l'espérance de vie des patients ne sera certainement pas très longue.
Enfin, la durée de vie d'un infarctus cérébral dépend des facteurs mentionnés ci-dessus, je ne les répéterai donc pas ici.
Ce qui précède est ma réponse à la question, purement tapée à la main, ce n'est pas facile, si vous estimez que l'écriture peut être récompensée par un éloge, si vous avez des questions vous pouvez laisser un message ci-dessous ......
CONTEXTE ET BUT - Malgré les progrès réalisés dans le traitement des troubles neurologiques, la mortalité (CI) après un infarctus cérébral est restée inchangée au cours des 20 dernières années. Il est possible que des facteurs clés affectant la survie aient été négligés. L'objectif de cette étude était de déterminer la mortalité et les causes après le premier infarctus.
MÉTHODES - Dans cette étude cas-témoins basée sur la population, tous les dossiers médicaux disponibles ont été examinés pour la première fois entre 1985 et 1989 pour les résidents de Rochester (Minnesota), CI, afin de déterminer la maladie et la cause du décès. Les facteurs prédictifs de la mortalité ont été analysés.
Résultats - Le premier IC a enregistré 444 patients. La survie à 1 mois était de 83 %, à 1 an de 71 % et à 5 ans de 46 %. Les causes de décès les plus fréquentes étaient les événements cardiovasculaires (22 %), les infections respiratoires (21 %) et les complications initiales de l'AVC (14 %). Les récidives d'AVC et de cancer représentaient respectivement 9 % et 7,5 % des décès. Au cours du premier mois suivant l'IC, 51 % des décès ont été attribués à l'IC initial, 22 % aux infections respiratoires et 12 % aux événements cardiovasculaires. Au cours de la première année, 26 % des décès ont été attribués à des infections respiratoires et 28 % à des maladies cardiovasculaires. Les patients avaient un taux de mortalité plus élevé que les témoins au moins deux ans après l'IC. L'âge, les complications cardiaques, la gravité de l'IC, la récurrence de l'AVC, les crises d'épilepsie et les maladies respiratoires et cardiovasculaires étaient des facteurs prédictifs indépendants de décès.
Conclusions - Au cours du premier mois suivant l'IC, la mortalité est principalement due à des complications neurologiques. Pour améliorer la survie à long terme après un IC, un traitement agressif des maladies pulmonaires et cardiaques est aussi important que la prévention secondaire des accidents vasculaires cérébraux.
L'infarctus du myocarde est-il bénin ? Ou est-il extrêmement grave ? Dans le premier cas, il n'y a pas de problème pour vivre quelques années. S'il s'agit d'un infarctus extrêmement grave, cela dépend de son destin.
Ces questions et réponses proviennent des utilisateurs du site, elles ne représentent pas la position du site, s'il y a une infraction, veuillez contacter l'administrateur pour la supprimer.
