Où se situent l'oppression thoracique et l'essoufflement ?
Où se situent l'oppression thoracique et l'essoufflement ?
L'oppression thoracique et l'essoufflement sont des symptômes subjectifs, ce qui signifie que la plupart de ces symptômes sont décrits par la personne elle-même, plutôt que recueillis par le médecin lors d'un examen, et qu'ils sont très subjectifs.

1,Une partie des patients la décrivent comme étant causée par des facteurs psychologiques. La sensation d'oppression thoracique et d'essoufflement, qui n'existe pas en réalité, et l'observation et l'examen du médecin qui révèlent que la respiration est régulière et que le rythme cardiaque n'est pas rapide, ce qui n'est pas différent de celui d'une personne normale, cette soi-disant oppression thoracique et cet essoufflement sont donc entièrement subjectifs et il n'y a pas de résultat positif à l'issue d'un grand nombre d'examens.
2L'oppression thoracique et l'essoufflement sont des réactions pathologiques.. Il s'agit donc d'une réaction à la maladie. Cet état est souvent le signe d'un essoufflement ou d'un manque d'oxygène. Il peut être subdivisé en essoufflement au repos et en essoufflement après une activité.
1) Si un jeune présente des symptômes d'oppression thoracique et d'essoufflement, il s'agit le plus souvent de deux cas : l'un est un asthme bronchique, l'autre un pneumothorax spontané.
L'asthme bronchique est une maladie inflammatoire chronique des voies respiratoires, avec un début soudain, c'est-à-dire des épisodes d'oppression thoracique, d'essoufflement, de dyspnée et de dyspnée, la dyspnée expiratoire étant le principal symptôme, mais pouvant également être accompagnée de toux et d'expectoration. Les symptômes sont principalement une dyspnée expiratoire, mais peuvent également s'accompagner d'une toux et d'une expectoration. Les crises surviennent souvent après des infections (par exemple des rhumes), une exposition à la fumée, à l'air froid, au pollen et à d'autres substances allergiques.

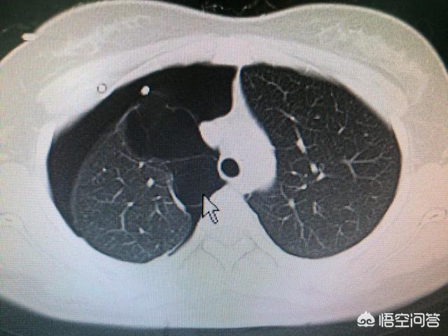
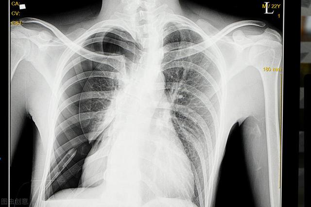
L'asthme bronchique est très variable d'un individu à l'autre, et une grande partie de la maladie peut avoir des crises soudaines ainsi que des rémissions naturelles, ce qui fait qu'il est souvent facilement négligé. Le pneumothorax spontané est également l'une des maladies les plus courantes chez les jeunes. Il s'agit généralement d'un pneumopéritoine, c'est-à-dire que la cavité pleurale de la cavité étanche à l'air est pénétrée dans le gaz, ce qui provoque une oppression thoracique, un essoufflement, une mauvaise respiration et d'autres symptômes.

Il s'accompagne généralement de douleurs thoraciques et la gravité des symptômes varie en fonction de la quantité de gaz ; un grand nombre de pneumothorax peut entraîner des difficultés respiratoires évidentes, voire une insuffisance respiratoire, et le diagnostic est généralement confirmé par une radiographie du thorax, qui permet de voir le gaz dans la cavité pleurale.
2) Si les personnes âgées présentent des symptômes d'oppression thoracique et d'essoufflement, il existe généralement deux cas de figure : l'un est la bronchopneumopathie chronique obstructive, qui désigne généralement ce que l'on appelle la bronchite chronique et l'emphysème. Le second est l'insuffisance cardiaque chronique, que l'on appelle aussi communément maladie cardiaque.
La bronchopneumopathie chronique obstructive (BPCO) est également une maladie inflammatoire chronique des voies respiratoires, caractérisée par une restriction du débit d'air et une réversibilité incomplète, souvent accompagnée d'une bronchite chronique et d'un développement de l'emphysème, principalement chez les patients de plus de 40 ans qui fument. Les symptômes d'oppression thoracique et d'essoufflement se développent et s'aggravent progressivement, et les tests de la fonction cardiorespiratoire peuvent révéler une restriction du débit d'air et un dysfonctionnement ventilatoire obstructif.

Les causes de l'insuffisance cardiaque chronique sont encore plus nombreuses : maladies pulmonaires, maladies coronariennes, hypertension, diabète sucré, insuffisance rénale, etc. L'insuffisance cardiaque entraîne un apport insuffisant de sang et d'oxygène aux organes, d'où l'apparition des symptômes d'oppression thoracique et d'essoufflement. D'autre part, la stase pulmonaire causée par l'insuffisance cardiaque aggrave également les symptômes d'oppression thoracique et d'essoufflement.
En résumé.Les causes de l'oppression thoracique et de l'essoufflement sont très complexes, la liste ci-dessus n'est qu'une approximation, les problèmes spécifiques doivent être analysés de manière approfondie, en fonction des symptômes cliniques et des examens pertinents, afin de pouvoir les déterminer avec précision.
Bonjour, c'est un plaisir de répondre à votre question. Il existe de nombreuses causes d'oppression thoracique et d'essoufflement, et comme vous posez cette question de manière plus générale, je ne peux vous donner que quelques-unes des causes les plus courantes.
Premièrement, les maladies cardiaques, les maladies coronariennes, l'ischémie myocardique et d'autres maladies aiguës et chroniques du système cardiaque.La maladie coronarienne, l'ischémie myocardique peuvent apparaître en cas d'effort, de sautes d'humeur et d'autres états, alors que la maladie coronarienne survient plus souvent dans un état de calme ou de sommeil. En règle générale, l'électrocardiogramme, l'examen du cœur et l'examen de la tension artérielle sont effectués.Le diagnostic peut être confirmé par une échographie sale, etc.
Deuxièmement, les maladies pulmonaires, par exemple les cardiopathies pulmonaires, les maladies pulmonaires obstructives chroniques (MPOC), les bronchites chroniques, l'asthme allergique, etc.Les troubles pulmonaires s'accompagnent principalement de toux et d'expectorations et peuvent être diagnostiqués de manière différenciée par la radiographie pulmonaire, le scanner, l'IRM, la bronchoscopie et les tests de la fonction pulmonaire.
Troisièmement, je vais me concentrer sur l'essoufflement dans la poitrine dû à la spondylose cervicale, car il s'agit d'une affection très facile à diagnostiquer à tort.À la clinique, de nombreux patients se sont présentés à cause d'une oppression thoracique et d'un essoufflement, et après un examen complet, il n'y avait pas d'anomalie, et en fin de compte, ils étaient toujours traités en fonction d'une maladie cardiaque ou pulmonaire, et naturellement, le résultat n'était pas évident.
La spondylose cervicale sympathique, très fréquente en clinique, n'est pas facile à diagnostiquer en raison de l'examen du rachis cervical et de l'absence de base diagnostique dans l'examen de routine. Les principales manifestations sont les suivantes : maux de tête et vertiges, insomnie et somnolence, panique, oppression thoracique et essoufflement, tension artérielle anormale, ballonnements et éructations, haut-le-cœur, yeux secs, vision floue, perte d'audition, perte de mémoire, anxiété et dépression, congestion nasale et écoulement nasal, et sensation de corps étranger dans la gorge.
En général, après un traitement symptomatique, l'oppression thoracique et l'essoufflement peuvent être éliminés très rapidement, et nous utilisons principalement le traitement par petites aiguilles en clinique avec de bons résultats.
Quatrièmement, la névrose cardiaque, l'hystérie ou l'essoufflement dû à l'anxiété et à la nervosité.Cette situation est principalement observée chez les femmes, avec de nombreux facteurs mentaux, des indices psychologiques, après un conseil psychologique et une régulation, peut être rapidement soulagée. L'examen de routine ne révèle aucune lésion organique.
Cinquièmement, l'oppression thoracique et l'essoufflement causés par des maladies liées à la colonne vertébrale.Par exemple, des anomalies de la conduction nerveuse causées par des troubles et des désalignements des petites articulations des vertèbres cervicales et thoraciques, entraînant une oppression thoracique et un essoufflement, se produisent également de temps à autre dans la clinique. Le diagnostic peut être clairement établi après un examen physique ou un film. Dans ce cas, les petites articulations peuvent être desserrées puis remises en place par manipulation, et l'effet est bon.
Les causes les plus courantes de l'oppression thoracique et de l'essoufflement sont probablement ces causes, bien sûr, il y a d'autres causes, nous ne les répéterons pas ici, nous vous invitons à en ajouter d'autres, ou à laisser un message sous la zone de commentaires, pour une communication et un apprentissage mutuels !
Oppression thoracique, rétention du souffle, on peut dire que 30 à 40 % de la population, à des degrés divers, souffre de cette maladie. En médecine chinoise, elle est appelée paralysie thoracique. Ses causes sont : la congestion du qi du poumon, la stase du sang du cœur, la stagnation du qi du foie. Parmi ces causes, la plus importante est : a, la congestion pulmonaire et gazeuse de la poitrine : elle provoque une gêne thoracique, une oppression thoracique, un essoufflement, parfois une douleur cachée et d'autres symptômes. Elle se divise spécifiquement en : 1, causée par le vent et le froid externes, le traitement peut être servi : soupe à l'éphédra plus réduction, petit dragon bleu plus soupe au gypse. 2, causée par la mauvaise chaleur et la congestion des poumons, le traitement peut être servi : soupe au chanvre, à l'abricot et à la glycérine de pierre plus réduction. 3, causée par l'escarboucle du poumon et le qi du poumon, le traitement peut être servi : mille roseaux d'or et tiges de la soupe plus réduction. Stase du sang du cœur et congestion de la poitrine : stase du sang du cœur et blocage de la paralysie, et oppression de la poitrine, essoufflement, essoufflement, parfois douleur cachée dans la poitrine, parfois la nuit pour le pire. Traitement : Haematopoietic Blood Stasis Tang, Citrus Aurantium Scallion et Cinnamon Branch Tang.
Dans la terminologie médicale, l'oppression thoracique et l'essoufflement ne sont que des symptômes, et l'origine exacte du problème doit être diagnostiquée et traitée par des spécialistes à l'aide de techniques diagnostiques et thérapeutiques raisonnables, combinées à des analyses cliniques, afin de parvenir à une conclusion préliminaire. Les maladies courantes qui peuvent provoquer des symptômes d'oppression thoracique et d'essoufflement sont les maladies du système cardiovasculaire, les maladies du système respiratoire, certaines névroses, l'anémie modérée à sévère et les complications causées par d'autres maladies. Les maladies du système cardiovasculaire qui provoquent les symptômes susmentionnés peuvent être une maladie coronarienne, une insuffisance cardiaque, un infarctus du myocarde, une myocardite, une cardiomyopathie dilatée, une péricardite, un épanchement péricardique, etc. Les maladies du système respiratoire peuvent être des infections pulmonaires, divers types de bronchites, l'asthme, un épanchement pleural, un pneumothorax, un corps étranger trachéal, et même certaines maladies médiastinales. Les maladies cardiovasculaires et respiratoires peuvent faire l'objet d'un examen auxiliaire raisonnable à l'hôpital, le spécialiste pouvant donner une conclusion préliminaire sur la base des autres symptômes et signes accompagnant le patient, comme le diagnostic de la maladie coronarienne qui peut être basé sur l'électrocardiogramme, l'échographie cardiaque, les examens biochimiques sanguins pertinents, les antécédents médicaux du patient et même l'artériographie coronarienne pour établir le diagnostic ; les infections intrapulmonaires peuvent être examinées sur la base des symptômes cliniques, de la tomodensitométrie thoracique ou de la radiographie CR, Le diagnostic préliminaire peut être établi en examinant les symptômes cliniques, le scanner thoracique ou le film CR, les analyses sanguines de routine et divers indicateurs inflammatoires, les cultures d'expectoration et de sang, ainsi que d'autres tests raisonnables. La névrose peut également se présenter avec les symptômes susmentionnés ; elle est plus fréquente chez les jeunes et les personnes d'âge moyen, davantage chez les femmes que chez les hommes, avec des symptômes évidents d'oppression thoracique et d'essoufflement, mais l'examen clinique est normal, ce qui peut être associé à d'autres symptômes psychiatriques et aux antécédents médicaux pour établir un diagnostic préliminaire. D'autres maladies telles que l'anémie et la cardiopathie anémique, l'hyperthyroïdie et la cardiopathie hyperthyroïdienne peuvent présenter des symptômes évidents d'oppression thoracique et d'essoufflement. Par conséquent, quel que soit le type de personne, si vous présentez les symptômes susmentionnés, vous devez vous rendre à l'hôpital pour consulter un médecin, ne pas éviter le traitement médical et enterrer votre santé, après un diagnostic et un traitement professionnels et spécialisés, pour donner à votre santé des points supplémentaires, afin que vous puissiez avoir de meilleurs lendemains. Merci à tous.
Les causes de l'oppression thoracique et de l'essoufflement sont nombreuses, il y a des raisons émotionnelles, mais aussi des maladies, trop de tension, d'excitation, de colère provoquent une oppression thoracique et un essoufflement, certaines maladies cardiovasculaires, des maladies pulmonaires peuvent provoquer une oppression thoracique et un essoufflement, certains régimes alimentaires trop complets et les femmes enceintes présentent également ce symptôme.
L'oppression thoracique et l'essoufflement rendent le corps inconfortable, l'alimentation, la parole, l'action, le souffle sont affectés. Par exemple, lorsqu'une personne est trop tendue et agitée, elle a le souffle court, la poitrine est oppressée, et certaines personnes ne peuvent même pas parler. Certaines attaques de maladies cardiovasculaires s'accompagnent également d'une oppression thoracique et d'un essoufflement, de nausées et de vomissements. Comme les maladies coronariennes, les maladies cardiaques, les abcès pulmonaires, les maladies cardiaques pulmonaires, la pleurésie, l'épanchement pleural, la bronchite chronique, le dysfonctionnement pulmonaire, etc.
L'oppression thoracique et l'essoufflement concernent le système cardiovasculaire, les poumons, l'estomac et la poitrine. Ces endroits ne sont pas confortables, certaines personnes peuvent y voir des raisons émotionnelles ou un symptôme de gêne. Certaines femmes enceintes peuvent souffrir d'oppression thoracique et d'essoufflement à cause du fœtus, qui peut rendre le qi et le sang insuffisants ou affecter le fonctionnement normal du qi et du sang, et peut donc également souffrir d'oppression thoracique et d'essoufflement.
Une alimentation trop riche ou trop rapide entraîne également une oppression thoracique et un essoufflement. Les personnes qui souffrent souvent d'oppression thoracique et d'essoufflement doivent veiller à en identifier les causes afin de prévenir l'apparition de certaines maladies cardiovasculaires et cérébrovasculaires.
Certaines femmes ménopausées et personnes souffrant d'hyperthyroïdie peuvent également souffrir d'oppression thoracique et d'essoufflement, et les nuits tardives et les efforts fréquents peuvent également provoquer une oppression thoracique et un essoufflement.
Les personnes souffrant d'oppression thoracique et d'essoufflement doivent réguler leur humeur, faire attention à leur alimentation, combiner travail et repos, faire de l'exercice physique, manger moins gras et moins froid, et prendre des mesures préventives et curatives actives pour éviter l'apparition de maladies graves.
谢邀.
Les causes de l'oppression thoracique et de l'essoufflement comprennent des causes physiologiques, psychologiques et pathologiques.
1. les causes physiologiques de l'oppression thoracique et de l'essoufflement :
La maladie est surtout observée chez les jeunes femmes, pourquoi ?
Principalement parce que la sécrétion d'œstrogènes dans le corps des jeunes femmes est généralement plus vigoureuse, ce qui entraîne un épaississement de la graisse sous-cutanée des amies, en particulier chez les patientes en surpoids, l'épaississement de la graisse sous-cutanée consomme beaucoup plus d'oxygène que les muscles, de sorte que les jeunes amies vont provoquer une augmentation de l'apport d'oxygène dans le corps, un manque relatif d'oxygène se manifestant par une oppression thoracique et un essoufflement.Elle a été plus prononcée après l'événement.
2. l'oppression thoracique et l'essoufflement dus à des raisons psychologiques :
Cela est tout à fait compréhensible et est principalement dû à la mauvaise humeur, à l'indignation et au sentiment d'être bloqué à l'intérieur.
3. les causes pathologiques de l'oppression thoracique et de l'essoufflement
①Maladie cardiaque : maladie coronarienne, maladie des artères coronaires, maladie du cœur élevé, maladie du cœur dilaté, maladie du myocarde, traumatisme cardiaque, etc.
(ii) Lésions respiratoires :
1), Obstruction ou compression des voies respiratoires : tumeur du larynx, tumeur de la trachée ou des bronches.

(2) Maladies pulmonaires : divers types de pneumonie, bronchopneumonie, emphysème, asthme bronchique, pneumothorax, embolie pulmonaire, cancer du poumon, tuberculose, pneumoconiose, contusion pulmonaire, etc.
3) Lésions thoraciques, de la paroi thoracique et de la plèvre : déformations thoraciques, adhérences pleurales sévères.
4) Restriction diaphragmatique : faiblesse diaphragmatique, grande quantité de liquide péritonéal, grossesse tardive, tumeur énorme dans la cavité abdominale, etc.
5) Lésions nerveuses et musculaires : myasthénie, etc.
(iii) Lésions du système cranio-cérébral : essoufflement dû à un dysfonctionnement respiratoire central causé par un accident vasculaire cérébral, une lésion cérébrale traumatique, une tumeur cérébrale, une encéphalite, une méningite et un abcès cérébral.
④Troubles hématologiques : anémie sévère, etc.
⑤. Diverses sortes d'intoxications : intoxication aiguë à la morphine et à d'autres drogues, intoxication aiguë aux pesticides, acidocétose diabétique, etc.

(Images tirées d'Internet, non destinées à un usage commercial ! (Le contenu de cet article est fourni à titre de référence uniquement, il ne constitue pas une base de diagnostic et de médication, et ne peut remplacer le diagnostic et le traitement des médecins et autres personnels médicaux et les conseils, si vous ne vous sentez pas bien, veuillez consulter un médecin en temps opportun).
Les causes de l'oppression thoracique et de l'essoufflement sont nombreuses, avec une variété de maladies possibles, et il faut généralement une combinaison d'examens pertinents pour déterminer le type de maladie qui en est la cause.
De nombreuses personnes présentent souvent des symptômes d'oppression thoracique et d'essoufflement, mais elles ne savent pas ce qui les provoque. Quelles sont donc les maladies susceptibles de provoquer une oppression thoracique et un essoufflement ? Aujourd'hui, le Dr Liu vous parle des causes courantes de l'oppression thoracique et de l'essoufflement.

I. Maladie pulmonaire obstructive chronique.
La bronchopneumopathie chronique obstructive (BPCO), également connue sous le nom de maladie pulmonaire obstructive chronique (MPOC), est un groupe de maladies pulmonaires caractérisées par une limitation du débit d'air, qui n'est pas entièrement réversible et dont l'aggravation est généralement progressive.
- Quels sont donc les symptômes de la bronchopneumopathie chronique obstructive ?
Dans le cas de la BPCO, les symptômes les plus courants sont les suivantstoux chroniqueUne toux chronique peut durer toute une vie et se manifeste généralement le matin ;
En plus de la toux.Oppression thoracique et essoufflementIl s'agit du symptôme le plus courant, car lorsque la fonction pulmonaire du patient est faible, les symptômes d'oppression thoracique et d'essoufflement sont plus prononcés, en particulier lorsque le patient est actif ;
Au fur et à mesure que la maladie progresse, les patients peuvent souffrir d'essoufflement même au repos, ce qui est également un problème de santé publique.Symptômes caractéristiques de la BPCO。
En outre, les patients atteints de bronchopneumopathie chronique obstructive (BPCO) peuvent également souffrir de咳痰Symptômes : toux avec expectoration de mucus blanc ou d'expectoration mousseuse de plasma, parfois de sang, et, comme pour la toux, plus d'expectoration tôt le matin.
En outre, lorsque l'oppression thoracique et l'essoufflement sont exacerbés, les patients peuvent présenter les symptômes suivantsessoufflementL'état de la maladie est souvent révélateur d'une affection très grave à ce moment-là.

- Quels sont les examens à effectuer en cas de suspicion de bronchopneumopathie chronique obstructive ?
Si l'on soupçonne la présence d'un lentigo, il est conseillé au patient de subir les examens appropriés en temps opportun :
1) Tests de la fonction pulmonaire.L'examen de la fonction pulmonaire est l'indice objectif le plus important pour déterminer la limitation du débit d'air, et c'est le test préféré car il a une valeur importante pour le diagnostic de la bronchopneumopathie chronique obstructive (BPCO), l'évaluation de sa gravité, l'évolution de la maladie, le pronostic et la réponse au traitement.
2. examen tomodensitométrique des poumons.L'examen tomodensitométrique des poumons permet d'observer la gravité de la bronchite chronique ainsi que l'emphysème dans les poumons, ce qui permet de déterminer indirectement la gravité de l'état du patient.
3. l'examen de l'analyse des gaz du sang.L'analyse des gaz du sang est un test complémentaire important pour déterminer la présence d'hypoxémie, d'hypercapnie, de déséquilibre acido-basique et d'insuffisance respiratoire.

Une fois la BPCO diagnostiquée, elle doit être traitée activement afin d'éviter une aggravation de la maladie, des complications et, en fin de compte, la mise en danger de la vie du patient.Médicaments, oxygénothérapie, etc.etc. ; parallèlement, il convient également de veiller à éviter certains facteurs de déclenchement à haut risque dans la vie quotidienne, tels queTabagisme, poussière, pollution de l'air, etc.Restez à l'écart.

II. l'asthme bronchique.
L'asthme bronchique peut diversement conduire àOppression thoracique, essoufflementL'apparition de . Le principal symptôme de l'asthme bronchique est la survenue d'épisodes de râles accompagnés d'une sensation d'inconfort.Dyspnée expiratoire ou épisodes d'oppression thoracique et de touxLe patient peut également avoir une position forcée ou une respiration assise. Dans les cas les plus graves, il peut y avoir une position forcée ou une respiration assise avec des expectorations plus blanches et mousseuses, voire une cyanose.

En cas de suspicion d'asthme bronchique, les tests recommandés sont les suivants :
Examen des expectorations.En effet, les expectorations des patients souffrant d'asthme bronchique peuvent être observées au microscope avec un nombre relativement important d'éosinophiles.
Tests de la fonction respiratoire.Il est possible de se faire une idée de la fonction ventilatoire.
Analyse des gaz du sang artériel.L'analyse des gaz du sang permet de détecter la présence d'une alcalose ou d'une acidose et indirectement la présence d'un asthme bronchique.
De même, après un diagnostic d'asthme, le traitement est particulièrement crucial et consiste en ce qui suitDésallergénisation, médicaments, immunothérapie, etc.etc.

Cancer du poumon.
Pourquoi le cancer du poumon provoque-t-il une oppression thoracique et un essoufflement ? En effet, lorsque la lésion cancéreuse du poumon est relativement importante, elle entraîne une obstruction partielle des bronches, ce qui affecte la fonction pulmonaire et se traduit par l'apparition des symptômes suivantsOppression thoracique, essoufflementsymptômes du cancer du poumon. Mais en général, si le cancer du poumon se manifeste par une oppression thoracique et un essoufflement, cela signifie que le cancer du poumon est en cours de guérison.Il s'agit d'un cancer du poumon avancé.car, en général, lesLes premiers symptômes du cancer du poumon ne sont pas évidents。
En cas de cancer du poumon à un stade moyen ou avancé, outre l'oppression thoracique et l'essoufflement, il peut y avoir des signes d'oppression thoracique.Douleur sourde, douleur vague, etc.dans le cas d'un cancer central du poumon, il peut également y avoir des symptômes de cancer du poumon.le sang qui circule dans le corps (souvent comme métaphore d'une émotion forte ou d'un sang chaud)Symptômes tels que

Pour le diagnostic du cancer du poumon, la méthode de diagnostic la plus importante est l'imagerie. La radiographie du thorax permet de détecter le cancer du poumon avec des lésions plus importantes, mais pour les cancers du poumon plus petits, il est toujours nécessaire de passer l'examen médical.Tomodensitométrie du thoraxpour poser un diagnostic. Un scanner du thorax est également le meilleur moyen de dépister et de diagnostiquer le cancer du poumon. En outre, il est souvent possible deBronchoscopie à fibres optiques ou ponction guidée par CTDes examens tels que le prélèvement de tissu de la lésion et la réalisation d'une biopsie pathologique permettent d'établir le diagnostic de référence.

Une fois le cancer du poumon diagnostiqué, pour ceux qui peuvent être traités chirurgicalement, il est important deAblation chirurgicale agressiveparce que c'est le seul moyen de guérir le cancer du poumon, et pour ceux qui ne peuvent pas être traités par résection chirurgicale, il y a une option deChimiothérapie, immunothérapie, thérapie ciblée, etc.D'autres traitements pour améliorer la qualité et prolonger la survie.

IV. pneumothorax.
Le pneumothorax est également une cause très fréquente d'oppression thoracique et d'essoufflement. Lorsqu'un pneumothorax se produit, la cavité thoracique contient une grande quantité de gaz, qui comprime les tissus pulmonaires et les rend inopérants, ce qui affecte la fonction pulmonaire et l'apparence de l'asthme.serréSymptômes.
En cas de suspicion de pneumothorax, le premier examen est l'imagerie, principalementRadiographie thoracique et tomodensitométrie thoracique. Une radiographie du thorax suffit généralement à confirmer la présence d'un pneumothorax et, pour certains patients, un scanner du thorax peut être réalisé.
En termes de traitement, un pneumothorax normal peut être traité par uneDrainage thoracique ferméL'administration de l'insuline, qui draine le gaz hors du corps, permet de rouvrir le tissu pulmonaire et de soulager les symptômes d'oppression thoracique et d'essoufflement.

V. Maladie coronarienne.
Certaines affections cardiaques peuvent également provoquer une oppression thoracique et un essoufflement, comme la maladie coronarienne, dont beaucoup de gens savent qu'elle est un problème de santé publique.Le symptôme le plus courant de la maladie coronarienne est la douleur ou l'oppression thoracique.. Elle survient souvent après un exercice physique intense, un stress émotionnel ou un repas copieux.La sensation d'écrasement, de compression.Les symptômes d'oppression thoracique et d'essoufflement apparaissent à leur tour. Bien entendu, la maladie coronarienne ne dure généralement pas plus de cinq minutes ; si elle dure trop longtemps, elle risque de provoquer un infarctus du myocarde.

En cas de suspicion de maladie coronarienne, des investigations actives sont recommandées pour clarifier le diagnostic.Coronarographie, tomodensitométrie coronaire, CRP sanguine, échocardiographie, etc.etc. La combinaison de ces tests est généralement suffisante pour établir un diagnostic définitif de maladie coronarienne.
En ce qui concerne le traitement des maladies coronariennes, les traitements courants sont les suivantsTraitements pharmacologiques, interventionnels et de dérivationetc. Quant à la méthode de traitement exacte à adopter, elle doit être décidée après une évaluation détaillée par des spécialistes en fonction de l'état spécifique du patient.

Résumé : Ce symptôme d'oppression thoracique et d'essoufflement est très courant. Une simple oppression thoracique et un essoufflement ne permettent pas de déterminer le type de maladie, et il est souvent nécessaire d'y associer d'autres symptômes et de procéder à un examen auxiliaire pour en juger. En cas d'oppression thoracique et d'essoufflement prolongés, il est recommandé de se rendre à l'hôpital en temps utile pour améliorer l'examen et déterminer le type de maladie en cause, afin de mettre en œuvre un traitement symptomatique.
Bien sûr, il existe d'autres maladies relativement rares qui peuvent également entraîner une oppression thoracique, un essoufflement, le Dr Liu ne va pas les expliquer une par une, si vous avez encore des questions, vous pouvez laisser un message ci-dessous, nous en discuterons ensemble. Je suis le Dr Liu, le mot de code n'est pas facile, si vous êtes d'accord avec mon point de vue, si vous m'aidez à mettre le doigt sur un problème, prêtez-moi attention, apprenez-en plus sur la santé et les connaissances médicales.
De nombreuses maladies peuvent entraîner un essoufflement et, parfois, même des personnes ne souffrant d'aucune maladie peuvent en souffrir.
En tant que médecin cardiovasculaire, vous êtes plus susceptible d'être en contact avec divers patients souffrant d'oppression thoracique et d'essoufflement et, dans le cas de nos maladies cardiovasculaires, de nombreuses maladies cardiovasculaires courantes peuvent entraîner une oppression thoracique et un essoufflement.
I. Oppression thoracique et essoufflement dus à des maladies cardiovasculaires

1. l'angine de poitrine :
Beaucoup de gens pensent que l'angine de poitrine est une douleur dans la région du cœur, en fait, ce n'est pas tout à fait vrai, précisément parce que beaucoup de gens ne savent pas que l'angine de poitrine a beaucoup de performances, de sorte que beaucoup de gens ne prennent pas l'angine de poitrine au sérieux, le développement des lipides pour l'infarctus du myocarde. L'oppression thoracique et l'essoufflement, en particulier l'oppression thoracique, sont des manifestations courantes de l'angine de poitrine. Elle ne dure pas plus de 2 à 15 minutes à chaque fois, elle est surtout aggravée par l'activité physique, l'exercice et ainsi de suite, et peut être progressivement soulagée par le repos. Lorsque l'oppression thoracique persiste, il est possible qu'un infarctus du myocarde se soit produit, il faut appeler immédiatement le 120 !
Que l'oppression thoracique et l'essoufflement soient ou non de l'angine de poitrine, en plus d'un diagnostic détaillé basé sur nos symptômes, nous devons les combiner avec un électrocardiogramme, un test d'effort, voire une tomodensitométrie ou une imagerie.
2. l'insuffisance cardiaque :

Les symptômes les plus courants de l'insuffisance cardiaque sont l'oppression thoracique et l'essoufflement ; l'oppression thoracique et l'essoufflement doivent donc être considérés comme ne relevant pas de l'insuffisance cardiaque. De nombreuses maladies cardiaques, si elles ne sont pas traitées à temps, peuvent entraîner une hypertrophie du cœur, et cette dernière peut conduire à l'insuffisance cardiaque. Par exemple, une hypertension artérielle de longue durée, une maladie coronarienne, une ischémie myocardique, un infarctus du myocarde, une cardiopathie valvulaire, une cardiomyopathie, une arythmie et d'autres maladies cardiaques peuvent entraîner une hypertrophie du cœur, et donc une insuffisance cardiaque.
Dans les cas graves, il est impossible de s'allonger et de se reposer, et l'on observe une oppression thoracique et une rétention de la respiration après s'être allongé, qui peuvent être soulagées en s'asseyant. En cas de suspicion d'insuffisance cardiaque, il est nécessaire de procéder à une échographie cardiaque afin de vérifier si le cœur est hypertrophié et d'évaluer la fonction cardiaque à terme.
3. arythmie cardiaque :
Un symptôme courant de l'arythmie est la palpitation et la panique, mais certaines personnes peuvent également ressentir une oppression thoracique et un essoufflement, qu'il s'agisse d'une tachyarythmie, d'une arythmie chronique ou même d'un battement prématuré.
Si l'on soupçonne une arythmie, un ECG supplémentaire ou un ECG ambulatoire, voire des examens électrophysiologiques, sont nécessaires pour clarifier la situation.
Outre les maladies cardiovasculaires qui peuvent provoquer une oppression thoracique et un essoufflement, les maladies pulmonaires sont une autre cause d'oppression thoracique et d'essoufflement.
II. l'oppression thoracique et l'essoufflement dus aux poumons et aux organes

Les poumons sont le tuyau de la respiration, c'est le tuyau de l'oxygène, les problèmes pulmonaires, l'oxygène n'est pas suffisant, naturellement il y aura une oppression thoracique et un essoufflement ; la trachée est l'oxygène dans les poumons doit passer par le canal, les problèmes de trachée, peuvent également conduire à une oppression thoracique et un essoufflement, tels que les maladies respiratoires courantes de la trachée, l'inflammation des grosses bronches, des tumeurs, ou des corps étrangers, etc. Toutes ces maladies provoquent une oppression thoracique et un essoufflement.
Si l'oppression thoracique et l'essoufflement s'accompagnent de symptômes de toux, il est encore plus important de suspecter une maladie respiratoire. Veillez à exclure d'abord les maladies des poumons et de la trachée, et rendez-vous d'abord dans un service de médecine respiratoire pour connaître les recommandations de votre médecin. Le diagnostic est ensuite précisé par une radiographie ou un scanner thoracique.
Troisièmement, la paroi thoracique peut également provoquer une oppression thoracique et un essoufflement :

L'oppression thoracique et l'essoufflement peuvent également être dus à diverses causes d'épanchement pleural ou de pneumothorax. Certaines personnes obèses souffrent également d'oppression thoracique et d'essoufflement après une activité, car la surcharge pondérale exige une plus grande consommation d'oxygène et donne naturellement l'impression d'un effort plus important que les autres. L'essoufflement causé par des maladies thoraciques peut également être diagnostiqué à l'aide de radiographies pulmonaires ou d'un scanner.
IV. autres maladies systémiques :

Les maladies systémiques peuvent parfois entraîner une oppression thoracique et un essoufflement, comme l'anémie qui peut entraîner une oppression thoracique et un essoufflement ; un déséquilibre acido-basique qui peut entraîner une oppression thoracique et un essoufflement ; le stade terminal de diverses maladies chroniques qui peut entraîner une oppression thoracique et un essoufflement ; une malnutrition sévère qui peut entraîner une oppression thoracique et un essoufflement. Une malnutrition sévère peut entraîner une oppression thoracique et un essoufflement. Cela nécessite une évaluation plus détaillée.
Cinquièmement, l'oppression thoracique et l'essoufflement peuvent survenir en l'absence de maladie organique :

Nous avons parlé plus haut de diverses maladies, en particulier du cœur, des poumons et de la paroi thoracique, qui sont à l'origine de l'oppression thoracique et de l'essoufflement. Mais parfois, après une série d'examens, aucune maladie n'a été trouvée, mais le patient souffre d'oppression thoracique et d'essoufflement. Cette fois, il faut envisager les causes mentales, telles que la tension, l'anxiété, la peur et d'autres facteurs mentaux, qui peuvent également provoquer une oppression thoracique et un essoufflement. S'il n'y a pas de maladie organique, mais que le patient se perçoit comme ayant une oppression thoracique et un essoufflement, il n'y a pas lieu d'être nerveux, d'une part, plus d'activités, d'autre part, détourner l'attention dans une certaine mesure peut soulager l'oppression thoracique et l'essoufflement.
En conclusion, l'oppression thoracique et l'essoufflement ne sont qu'une manifestation courante, et ce n'est que lorsque nous en aurons découvert la cause que nous saurons comment la soulager ou la traiter.
Bonjour, je suis heureux d'être invité à répondre à cette question.
L'oppression thoracique et l'essoufflement sont des maladies respiratoires courantes. Les patients ressentent généralement un essoufflement, la respiration est très difficile et l'affection peut être grave et mettre leur vie en danger.

Il existe un certain nombre de causes de cette maladie, qui peuvent être classées comme suit.

1. l'oppression thoracique fonctionnelle : une sensation d'oppression thoracique et de fatigue due à des événements désagréables pour soi (altercations verbales, disputes ou séjour dans un climat à faible pression barométrique).

2) Infections respiratoires : une infection des voies respiratoires peut bloquer les voies respiratoires et ce type de maladie peut provoquer une sensation d'oppression dans la poitrine.
3) Maladies pulmonaires : pneumonie, bronchite et autres maladies pulmonaires, qui s'accompagnent souvent de symptômes d'oppression thoracique et d'essoufflement.

4. les troubles sanguins : la leucémie, les syndromes myélodysplasiques, la myélofibrose et d'autres maladies sont associées à une oppression thoracique et à un essoufflement.
Il s'agit là de quelques causes courantes d'oppression thoracique et d'essoufflement. J'espère pouvoir vous aider, bienvenue à la consultation privée.
L'oppression thoracique et l'essoufflement sont des symptômes cliniques qui n'appartiennent pas à une maladie. Cette situation peut être causée par de nombreux types de maladies, et elle peut survenir chez les jeunes, mais aussi chez les personnes âgées. Quelles sont donc les causes de l'oppression thoracique et de l'essoufflement ? Quelle est la cause de l'oppression thoracique et de l'essoufflement ? Nous allons parler ici de cette question préoccupante.

Première cause : essoufflement dû à des facteurs physiologiques
Certaines personnes souffrent d'oppression thoracique et d'essoufflement, ce qui n'est pas dû à certaines maladies, mais peut être causé par le stress ou le manque d'exercice, ce qui entraîne une insuffisance de la fonction cardio-pulmonaire.
Par exemple, si nous voyons quelqu'un ou quelque chose qui nous fait peur, comme une souris qui voit un chat, nous sommes trop tendus et effrayés, ce qui provoque une respiration anormale. Ou bien certaines personnes ont peur dans un espace confiné, et même génèrent de la peur, leur respiration devient alors très rapide, elles ressentent une oppression thoracique et un essoufflement. Ou encore, nous ne faisons généralement pas beaucoup d'exercice, mais tant que la quantité d'exercice est un peu élevée, nous ressentons un manque d'oxygène, une oppression thoracique et une sensation d'essoufflement. En fait, il s'agit de facteurs subjectifs perçus par les personnes concernées, leur propre perception de l'oppression thoracique et de l'essoufflement n'est pas vraiment une oppression thoracique et un essoufflement. Dans ce cas, après les examens pertinents, leurs fonctions cardio-pulmonaires sont normales.

La deuxième raison : l'essoufflement est causé par certaines maladies.
En fait, de nombreuses maladies, en particulier les problèmes cardiaques et pulmonaires, affectent la respiration normale du corps, c'est-à-dire que nous avons l'impression que la respiration n'est pas fluide ou que l'oxygène n'est pas suffisant pour être utilisé, ce qui entraîne une oppression thoracique et un essoufflement. Il s'agit principalement des maladies suivantes :
1. les maladies cardiaques
Les maladies cardiaques cliniques, telles que les cardiopathies congénitales, les cardiopathies rhumatismales, les cardiopathies coronariennes, les cardiopathies hypertensives, l'insuffisance cardiaque chronique, la myocardite et les traumatismes cardiaques, etc., entraînent une insuffisance de l'apport sanguin dans l'organisme, ce qui favorise l'hypoxie et l'oppression thoracique. Afin de remédier à ce manque d'oxygène, nous avons tendance à accélérer notre fréquence respiratoire, ce qui entraîne un essoufflement.
2. les maladies pulmonaires
Les poumons sont le lieu d'échange des gaz dans notre corps, le lieu où l'oxygène et le dioxyde de carbone sont échangés. Lorsqu'il y a un problème dans les poumons, cela interfère naturellement avec l'échange normal des gaz, et il y a une tendance à l'hypoxie, qui se manifeste également par une oppression thoracique et un essoufflement. Par exemple, la bronchopneumopathie chronique obstructive, la bronchite chronique, l'emphysème, la pneumonie, l'asthme bronchique, la tuberculose, la pneumoconiose, la contusion pulmonaire, le pneumothorax spontané, l'embolie pulmonaire, le cancer du poumon, etc., toutes ces maladies causent des dommages aux tissus pulmonaires, ce qui affecte la fonction respiratoire normale et entraîne naturellement des symptômes d'oppression thoracique et d'essoufflement.
3. autres maladies
Outre les maladies cardio-pulmonaires susceptibles de provoquer une oppression thoracique et un essoufflement, d'autres maladies peuvent également entraîner une oppression thoracique et un essoufflement, telles que les tumeurs du larynx, de la trachée ou des bronches, qui peuvent provoquer une obstruction des voies respiratoires et un essoufflement ; une faiblesse diaphragmatique, un épanchement abdominal, une pleurésie, des déformations thoraciques ou des adhérences pleurales graves qui affectent la respiration normale des poumons peuvent également provoquer une oppression thoracique et un essoufflement ; en outre, les maladies qui provoquent un dysfonctionnement respiratoire central, telles que les accidents vasculaires cérébraux, les tumeurs cérébrales traumatiques, les méningites, les abcès cérébraux, etc. peuvent également entraîner un essoufflement ; de plus, une anémie sévère peut entraîner une oppression thoracique. Les maladies qui provoquent un dysfonctionnement du système respiratoire central, telles que les accidents vasculaires cérébraux, les lésions cérébrales traumatiques, les tumeurs cérébrales, les méningites, les abcès cérébraux, etc., peuvent également entraîner un essoufflement ; en outre, une anémie grave, qui fait que le sang transporte trop d'oxygène, est également susceptible d'entraîner des symptômes d'essoufflement ; enfin, les empoisonnements peuvent également provoquer des symptômes d'essoufflement, tels que l'empoisonnement au monoxyde de carbone, l'empoisonnement aigu par les pesticides, la mort aux rats, l'acidocétose diabétique, etc.
En général, les causes de l'oppression thoracique et de l'essoufflement sont multiples, il y a des raisons subjectives et des raisons pathologiques. En cas d'oppression thoracique et d'essoufflement, il faut d'abord vérifier si l'oppression est due à des raisons subjectives et si les personnes concernées n'ont pas été trop nerveuses ou trop effrayées. Si l'on soupçonne que ce type d'oppression thoracique et d'essoufflement est dû à certaines maladies, il convient de se rendre à l'hôpital à temps pour effectuer les examens nécessaires, afin de clarifier la cause de la maladie et de procéder à un traitement précoce.

Note de l'auteur : Je suis très heureux de vulgariser les connaissances liées à la santé pour tout le monde, je suis gaucher pour dire médical, chaque jour avec un langage simple pour vous de vulgariser les connaissances médicales professionnelles, les mots de code n'est pas facile, si vous aimez mon article, aidez-moi à pointer un éloge ! Si vous avez encore des questions, vous pouvez laisser un message dans la section des commentaires, bienvenue à l'attention, en avant, merci pour votre soutien !
Ces questions et réponses proviennent des utilisateurs du site, elles ne représentent pas la position du site, s'il y a une infraction, veuillez contacter l'administrateur pour la supprimer.