J'ai des migraines depuis 23 ans, les crises se situent principalement sur le côté gauche de la tête, et maintenant elles se sont transformées en douleurs dans les points de bassin éolien sur les deux côtés de la tête, comment puis-je les réguler ?
J'ai des migraines depuis 23 ans, les crises se situent principalement sur le côté gauche de la tête, et maintenant elles se sont transformées en douleurs dans les points de bassin éolien sur les deux côtés de la tête, comment puis-je les réguler ?
Dès que j'ai vu cette question, la première chose qui m'est venue à l'esprit en tant que chirurgien orthopédique a été qu'il pouvait s'agir d'un problème de cou qui provoque des migraines chez les patients, et je me suis donc empressé de rechercher l'emplacement du point Fengchi dont parlait le sujet, pour confirmer mes propres pensées, et il s'est avéré qu'il s'agissait d'un emplacement très similaire ! Quel problème le Dr Xie considérait-il donc comme étant à l'origine de la migraine et de la douleur du sujet à cet endroit du point Fengchi ? Il s'agirait d'un problème au niveau des muscles sous-occipitaux du cou !

Le groupe musculaire sous-occipital est un groupe très complexe de petits muscles qui forment un triangle sous-occipital, à l'intérieur duquel se trouvent des muscles importants.artère vertébrale et nerf sous-occipitalLa stimulation du muscle sous-occipital peut lentement provoquer des spasmes et des tensions dans le groupe musculaire sous-occipital, ce qui stimule le nerf sous-occipital et l'artère vertébrale, et plus particulièrement le nerf sous-occipital, ce qui provoque des migraines chez de nombreux patients.douleur de tensionque l'irritation de l'artère vertébrale peut provoquer des vertiges chez le patient.Voyez-vous où se trouve le groupe musculaire sous-occipital ? N'est-il pas proche de l'emplacement du point du bassin éolien ?。
Les problèmes causés par les spasmes de tension musculaire ont un nom dans la médecine occidentale : les points gâchettes, également appelés points douloureux provocateurs, ce qui signifie que la stimulation de cette zone induit une douleur dans la zone correspondante, et généralement dans la région de l'abdomen et de l'épaule.Le point d'excitation près du groupe musculaire sous-occipital est celui qui se trouve dans cette position sur l'image ci-dessous.Et nous pouvons également voir s'il est plus proche du point de Fengchi ?
而L'amplitude de la douleur induite par le groupe musculaire sous-occipital est indiquée ci-dessousIl s'agit généralement d'une migraine.
Bien que le Dr Xie ne connaisse pas la médecine chinoise, la description des symptômes du patient laisse fortement supposer que cet ami souffre d'un problème au niveau du groupe musculaire sous-occipital.
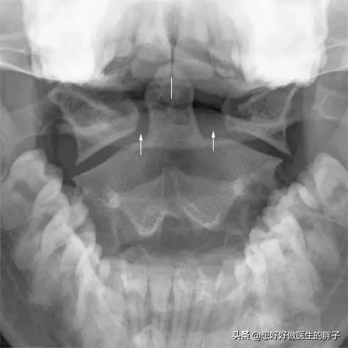
En ce qui concerne la description du sujet, il y a des antécédents de migraines depuis plus de vingt ans, et la douleur a commencé à se manifester près des points Fengchi, ce qui, si le problème est dû à la musculature sous-occipitale, suggère que le problème musculaire peut devenir plus important. Il est recommandé de procéder à un examen initial d'unRadiographie de la colonne cervicaleIl est également conseillé de vérifier la présence d'anomalies de la courbure cervicale.Film bouche ouverte du rachis cervicalAfin de déterminer s'il existe une anomalie anatomique au niveau du rachis cervical, c'est-à-dire du rachis atlanto-axial, il est possible d'établir un diagnostic préliminaire de l'état du patient et d'observer s'il y a ou non des problèmes au niveau du rachis cervical.
Ce symptôme suggère de prendreAcupuncture et manipulationDétendre les muscles tendus, si la douleur est plus prononcée et provoque une détresse plus importante, affectant sérieusement la qualité de vie et de travail, il est alors possible deMédicaments anti-inflammatoires et analgésiques oraux ou topiques pour réduire les symptômes. Il existe un certain nombre de traitements de physiothérapie qui peuvent être essayés, tels quel'électrothérapie interférentielle (IET)Par exemplestimulation électrique transcutanée des nerfssont un excellent moyen d'atténuer ce symptôme.
Si le patient n'est toujours pas soulagé par les approches conservatrices, il peut être nécessaire deConsultez un médecin spécialiste de la douleur pour savoir si une fermeture locale peut être envisagée.Pour aider les patients à soulager leurs symptômes, il est recommandé de recourir à ce traitement fermé lorsque le traitement conservateur n'a pas fonctionné pendant 4 à 6 semaines.
En tant que patient, vous ne devez pas vous fier uniquement à votre médecin, mais vous devez faire vous-même quelques exercices d'étirement et de rééducation du cou pour détendre les muscles du cou et vous aider à résoudre le problème.
● Massage du couCette approche est très simple, acheter deux petites balles de tennis dans des chaussettes en coton, les placer dans le cou et les rouler d'avant en arrière permet d'obtenir un bon massage de la colonne vertébrale atlanto-axiale autour du rôle des muscles, en particulier pour la relaxation des groupes musculaires sous-occipitaux qui ont un bon effet.
●Les étirements du cou peuvent être très efficaces pour relâcher les muscles et les fascias tendus et pour favoriser la circulation sanguine au niveau du site de la blessure, contribuant ainsi à réduire les symptômes et à contrôler l'inflammation.La seule chose nécessaire est la persévérance du patient. Beaucoup de patients ne peuvent pas adhérer parce que l'exercice de rééducation est caractérisé par le fait que bien qu'il fonctionne, mais souvent l'effet n'est pas particulièrement rapide, de sorte que beaucoup de patients sont impatients, demandant une solution immédiate au problème, il est recommandé que les amis avec des problèmes doivent changer cette idée, adhérer à l'exercice de rééducation scientifique et systématique, s'il y a un médecin professionnel de rééducation pour vous guider c'est le mieux, s'il n'y a pas de médecin professionnel pour vous guider, vous pouvez suivre les méthodes suivantes. Essayez de vous aider vous-même à soulager les symptômes.


résumés
以上就是对于题主问题的解答,出现风池穴范围的疼痛,很有可能是西医的枕下肌群出现了问题,明确是否存在颈椎曲度的问题,可以进行针灸、手法治疗(正规医院),帮助自己缓解 Les symptômes, et dans la vie quotidienne, devraient prêter attention à l'utilisation de la colonne cervicale, à l'automassage scientifique et aux exercices de rééducation, pour observer si cela peut aider à soulager les symptômes, si les symptômes après 4-6 semaines de traitement, ne peuvent toujours pas être soulagés, il est alors recommandé de procéder à un examen et à un traitement supplémentaires pour exclure l'existence d'autres problèmes.
Comme le patient ne peut pas être personnellement vérifié, le diagnostic détaillé, ce qui précède est seulement à partir des symptômes pour parler d'un peu de considération, il doit y avoir des endroits biaisés, ces réponses sont principalement du domaine de l'orthopédie pour fournir une façon de penser, de fournir une possibilité pour le sujet, si vous avez encore d'autres doutes, vous pouvez laisser un message ci-dessous, nous pouvons explorer ensemble.
Je suis Xie Xinhui qui insiste sur l'utilisation d'un langage simple pour expliquer la connaissance de maladies complexes, il n'est pas facile à coder, si vous êtes d'accord avec mon point de vue, s'il vous plaît aidez à pointer une préoccupation ou cliquez sur un like, si vous ou les membres de votre famille sont également troublés par cela, s'il vous plaît transmettez cet article au besoin d'eux, merci !
En tant qu'auteur ayant étudié les maux de tête, examinons vos maux de tête du point de vue de la MTC.
La médecine chinoise estime que la migraine du côté gauche est due à la chaleur de la vésicule biliaire qui se déplace vers le cerveau. En même temps, la vésicule biliaire et le foie sont comme la surface intérieure, il s'agit donc aussi d'un problème de foie, de dépression du foie et de stagnation du qi, de dépression du foie et de feu, d'où la chaleur de la vésicule biliaire. Le foie est le principal régulateur, le principal générateur et l'ascension se fait en douceur, tandis que la vésicule biliaire est la maison du yang clair et la descente se fait en douceur. La chaleur stagnante dans le méridien du foie est transmise à la vésicule biliaire, ce qui fait monter le qi de la vésicule biliaire, formant la chaleur de la vésicule biliaire qui se déplace vers le cerveau, d'où le mal de tête du côté gauche.
La médecine chinoise considère qu'une douleur prolongée pénètre dans le complexe, qu'une douleur prolongée entraîne une stase et qu'une douleur prolongée entraîne une déficience. Par conséquent, en cas de maux de tête prolongés, il y a naturellement une stase et une déficience du qi.
A ce stade, vous dites que le mal de tête s'est déplacé vers le point Fengchi. En fait, à mon avis, il ne s'agit pas d'une métastase, mais du fait que la migraine précédente du côté gauche n'a pas été guérie et que, dans le même temps, l'arrière de la tête a été attaqué par le vent, ce qui a entraîné des maux de tête symétriques de part et d'autre du bassin du vent.
En résumé, votre mal de tête, qu'il s'agisse d'une migraine ou d'un mal de tête cérébral post-méridien solaire, doit éliminer la stase sanguine, revigorer le sang et dissiper le vent. En saisissant cette clé, le mal de tête peut être guéri.
Consultez-moi pour vos problèmes de maux de tête et résolvez-les facilement.
Je ne sais pas quel âge j'ai, mais j'ai des migraines depuis 23 ans, donc je ne pense pas que ce soit une douleur constante, sinon qui en souffrirait, et je voudrais souligner que les deux côtés de la tête, qui ne sont pas les bassins d'air, sont les tempes, n'est-ce pas ? Si vous ressentez une douleur au niveau du bassin d'air, personne n'appelle cela un mal de tête, mais une douleur à l'arrière de la tête, n'est-ce pas ?
migraineux
La migraine désigne généralement une sensation douloureuse dans une partie de la tête, et non dans l'ensemble de la tête. Elle peut se manifester à différents endroits, par exemple à l'arrière de la tête, près des tempes, au sommet de la tête, et peut également être unilatérale ou bilatérale.
Le point de Fengchi ?

Depuis le point de bassin éolien, ou mention, cette partie est l'emplacement du groupe musculaire sous-occipital, c'est-à-dire dans la zone arrière de la tête en dessous, généralement cette partie de la douleur n'est pas appelée une migraine, la plupart d'entre eux sont dus à un mauvais alignement du segment supérieur du cou et le groupe musculaire sous-occipital, l'extrémité supérieure de la tension musculaire semispinalis causée par le massage pour éliminer la douleur peut être mieux.
les tempes (sur les côtés de la tête humaine)

Deux muscles principaux sont essentiels en cas de douleur près des tempes, le groupe musculaire sous-occipital et le muscle sterno-cléido-mastoïdien ; le premier peut également s'accompagner d'une sécheresse des yeux et d'une douleur dans le cercle au-dessus des oreilles ; le second peut provoquer une douleur profonde dans l'orbite, accompagnée d'une douleur frontale, tous ces muscles pouvant être palpés en présence de douleur.
Examiner les points douloureux

Les groupes musculaires sous-occipitaux du point de douleur mentionné précédemment se trouvent dans le "point de la piscine à vent", à proximité, appuyez sur la douleur du même diagnostic de base, les deux côtés de la douleur doivent être pressés, la douleur musculaire sterno-cléido-mastoïdienne à l'arrière de la tête près du processus mastoïdien de la position, appuyez sur les nombreuses personnes apparaîtront à partir du point de douleur connecté à la tempe près de la douleur peut être diagnostiquée.
Massez-la.
Le massage des muscles du cou, en raison de la taille des muscles, ne doit pas être pressé pendant une longue période, pas trop de force, un point de 3 minutes, une fois par jour, bien sûr, la colonne vertébrale cervicale petits troubles articulaires peut également induire la migraine, si les muscles ne peuvent pas trouver le point de douleur, de considérer ce problème, il n'y a pas de moyen de traiter avec leur propre, de trouver une personne à la bonne position !
Li, 66 ans, a des antécédents de migraines depuis 15 ans. Wang affirme que chaque crise de migraine se traduit par une douleur au-dessus de l'orbite droite, accompagnée de nausées et de vomissements, d'une peur du bruit et de la lumière.
Habituellement, Wang Daisy aime particulièrement la danse, après la retraite, tous les jours, elle se rend au square en bas de chez elle et ses amis dansent le quadrille, mais ces dernières années, les crises de migraine sont très fréquentes, chaque mal de tête dure quelques minutes, surtout après les activités du mal de tête est plus grave, tante Wang a l'impression que toute la tête va exploser.

Quelle est l'existence de cette migraine ?
De nos jours, la société est de plus en plus soumise à la pression de la vie et le corps de nombreuses personnes se trouve dans un état de sous-santé, en particulier dans la classe ouvrière, où la pression du travail et de la vie entraîne souvent l'apparition de symptômes physiques, tels que les migraines, la dépression, etc. la santé physique et mentale.
La migraine est un type de céphalée primaire qui se manifeste par une douleur frontotemporale, pariétale, oculaire, rétro-orbitaire ou péri-orbitaire, unique ou bilatérale, principalement sous la forme d'une douleur paroxystique lancinante, gonflante ou pulsatile, qui peut être accompagnée de vertiges, de nausées, de vomissements, de photophobie, de phonophobie, d'irritabilité, de somnolence, de malaise, etc. et, dans certains cas, d'une aura visuelle telle qu'une distorsion du champ visuel, un défaut du champ visuel, des éclairs lumineux, des taches sombres, etc. Le mal de tête dure quelques minutes, heures ou jours et peut être soulagé. Dans certains cas, il existe des antécédents familiaux de récurrence.

Que pouvez-vous donc faire pour soulager une migraine ?
Vous pouvez utiliser des packs de glace pour appliquer des compresses froides.
Tout d'abord, mettez de la glace dans une poche de glace ou dans une serviette, puis utilisez la poche de glace pour la placer sur la zone du mal de tête, principalement pour faire se contracter les vaisseaux sanguins dilatés. Les personnes souffrant de migraines déclenchées par la dilatation des vaisseaux sanguins peuvent obtenir un soulagement efficace et les symptômes des migraines légères seront éliminés si vous faites cela régulièrement.
Massage de la tête approprié
Les patients souffrant d'une crise de migraine peuvent se faire masser la tête de manière appropriée, en n'oubliant pas de masser les tempes, en utilisant les doigts pour masser délicatement les tempes d'avant en arrière, mais aussi en les frottant légèrement avec le poing. Insister dix minutes après les symptômes de la migraine pour ressentir un certain soulagement.
Refuser le chocolat.
Non seulement le chocolat fait grossir, mais il contient également du mannitol, qui est un suspect majeur dans les maux de tête, et le fromage vieilli contient également du mannitol et doit être évité.
Éviter les efforts
Les patients doivent également éviter le surmenage dans leur vie quotidienne et, dans le même temps, les efforts excessifs. Les patients devraient également éviter le surmenage dans leur vie quotidienne, tout en évitant les efforts excessifs.
(Je suis Luo Min, médecin-chef dans un hôpital de niveau 3A, un "vieux" médecin avec plus de 30 ans d'expérience clinique, mes efforts ne visent qu'à récolter les bénéfices de votre approbation, si ma réponse peut vous aider, j'espère que vous l'aimerez, que vous y prêterez attention, et si vous avez des questions, vous pouvez commenter ou m'écrire en privé, je ferai de mon mieux pour vous aider).
Trouvez un médecin occidental et prenez trois ans de médicaments inefficaces en remplacement.
Trouvez un praticien de médecine chinoise et prenez trois pilules pour un remplacement inefficace.
Migraines pour trouver les habitudes de vie cause des migraines, migraines la plupart des blessures au sang du foie (je suis), blessure au sang du foie de nombreuses raisons à trouver leur propre, j'ai une bonne méthode est d'écrire un journal de santé, trois repas par jour à manger quoi, quelle heure pour dormir bien dormir, combien d'exercice pendant la journée ? Les habitudes alimentaires pour trouver la raison, j'ai cherché la médecine chinoise pour manger beaucoup de médicaments peut encore souvent attaquer, ils trouvent le piège original, trouver la cause du médicament et de la guérison, et maintenant très peu de récurrence des maux de tête, j'espère vous aider ...
Il est facile de tomber malade, mais difficile de s'en débarrasser. Chez une personne en bonne santé, il n'y a pas de symptômes d'inconfort de la tête aux pieds. S'il y en a, qu'il s'agisse d'un état de santé précaire ou d'une véritable maladie, ils doivent être ajustés et traités pendant qu'ils sont encore légers. Le coût sera beaucoup, beaucoup moins élevé. N'oubliez pas ! Il n'y a pas de médicament pour le regret. Consultez un praticien de médecine traditionnelle chinoise (MTC).
Il y a six symptômes de maux de tête, cette personne a une douleur au flanc et développe ensuite une douleur dans les deux bassins éoliens, ce qui indique que la douleur est aggravée, cette maladie est dans la nuque. Des compresses chaudes aggravées amélioreront les symptômes.
Les migraines peuvent également avoir pour origine une rhinite ou une sinusite. Les rhinites et les sinusites sont dues à des acariens (acariens frétillants, acariens de la gale, acariens des glandes graisseuses et bien d'autres variétés d'acariens différents) communément appelés : acariens. Une fois envahis dans les narines et entre les sinus, ils sont destructeurs, grignotant les glandes lipidiques ; certains acariens piquent des douleurs (zona), d'autres piquent des démangeaisons (gale). Ces acariens continuent à se multiplier. Le grignotage de la peau amincit, dessèche, gonfle, fait apparaître des bosses petites et grandes, pensez-y : le système respiratoire est définitivement affecté. Le manque d'oxygène est une caractéristique majeure ! Le manque d'oxygène dans le cerveau affecte l'échange naturel d'oxygène. La circulation sanguine et l'apport d'oxygène ont un rôle à jouer. Quel est le concept de l'hypoxie ? Les maux de tête surviennent, d'abord unilatéralement (début de la réaction de blocage des voies nasales de ce côté), puis une réaction similaire de l'autre côté, pour la même raison. Donc : la rhinite est la partie inférieure de toute la cavité nasale, avec un spécial, 4 épais, le plus doux et épais avec un motif de papier toilette, 2 petits morceaux de rond mince plié, rapidement trempé dans l'eau dans les narines près de la peau un par un pour tirer vers le bas. 5 ~ ~ 7 acariens vers le bas de la montagne. Préparer le papier et s'en débarrasser. Il y a aussi des acariens dans la région des sinus, ce qui est plus grave. Si vous ne parvenez pas à introduire le papier dans les sinus, vous pouvez aller à l'hôpital pour l'enlever, mais il reste encore des acariens dans les sinus après l'opération. Dans l'un d'eux se trouve la partie la plus profonde de la cavité nasale, ce qui est le type le plus grave. Elle détruit les voies nasales. Je suis allé à l'hôpital pour l'obtenir. Mais il est généralement courant de voir la partie inférieure de la cavité nasale.
Les migraines sont généralement causées par une spondylose cervicale. En particulier, la hernie ou le désalignement de la première et de la sixième vertèbre cervicale ou l'hyperplasie et l'inflammation provoquent des migraines. Le traitement consiste en une réinitialisation orthopédique et un traitement anti-inflammatoire à base de plantes.
Ces questions et réponses proviennent des utilisateurs du site, elles ne représentent pas la position du site, s'il y a une infraction, veuillez contacter l'administrateur pour la supprimer.
