Qu'est-ce qu'une verrue rouge ? Que dois-je faire ?
Qu'est-ce qu'une verrue rouge ? Que dois-je faire ?
Merci pour la question !
Les verrues, vous en savez sans doute un peu plus. "Une verrue est aussi communément appelée "verrue", ce qui inclut les verrues communes, les verrues plates, les verrues filiformes, les condylomes acuminés, etc. et est généralement causée par une infection par le virus du papillome humain.
Mais quand il s'agit d'une verrue rouge, je m'interroge, car les verrues que nous voyons couramment sont généralement pâles ou de la couleur de la peau, d'un rose légèrement plus foncé, mais rarement rouges.
Il se peut donc que l'auteur de la question n'ait pas une idée claire de ce qu'est une verrue et qu'il soit confus. J'aimerais donc énumérer quelques maladies qui ressemblent à des verrues pour la gouverne du lecteur.
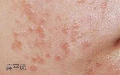
1, verrues plates

Il s'agit bien d'une verrue, causée par une infection au papillomavirus humain (HPV), généralement de couleur peau ou rose, ce rose ne correspondant pas tout à fait à la description du sujet. Survenant généralement à l'adolescence, le plus souvent au niveau du visage ou des mains et des pieds, les papules roses et plates, de taille variable, à surface lisse, rondes, ovales ou polygonales, parfois en forme de perles, constituent la réaction homotypique de la maladie.
La maladie se guérit d'elle-même mais prend beaucoup de temps, parfois un an, parfois deux ans. La crème topique à l'acide rétinoïque et la crème au penciclovir peuvent également être utilisées. Pilules d'isotrétinoïne par voie orale. Le laser ou l'électrocautère. Certaines personnes utilisent des médicaments immunomodulateurs par voie orale, qui ne sont pas étayés par des preuves.
2、Hémangiome gériatrique

Elle est en effet rouge et ressemble à première vue à une verrue, mais sa surface est généralement lisse et douce et s'estompe à la pression, contrairement aux verrues communes, dont la surface est rugueuse et qui sont de la couleur de la peau ou pâles. Il s'agit d'une sorte d'hémangiome, appelé hémangiome sénile, qui ne touche pas uniquement les personnes d'âge moyen ou les personnes âgées, mais aussi des jeunes. Cela n'a rien à voir avec les infections virales. Certains disent que c'est le signe d'une mauvaise désintoxication du foie, ce qui, à mon avis, est également absurde. On pense généralement qu'elle est liée au vieillissement de la peau.
Il n'est pas nécessaire de traiter, si vous êtes particulièrement belle, vous pouvez vous rendre dans les institutions médicales de beauté ou dans le service de dermatologie de l'hôpital pour effectuer une électrocautérisation ou une excision chirurgicale. Manger des médicaments et essuyer des médicaments n'est pas utile.
3, ecchymose arachnéenne

Il s'agit d'une dilatation capillaire idiopathique, formée par la dilatation des segments terminaux des branches des petites artères de la peau. Le naevus présente un point central entouré de petites branches de vaisseaux sanguins en forme radiale, dont la forme ressemble à celle d'une araignée, d'où le nom de naevus arachnéen. Lorsqu'on appuie légèrement sur la tache rouge centrale, la couleur des vaisseaux sanguins environnants s'éclaircit également. Certaines personnes disent que cette maladie n'est pas bonne pour le foie, mais ce n'est pas le cas, elle peut également survenir chez des personnes en bonne santé, comme les femmes enceintes et les enfants.
Il n'y a rien de bon dans le traitement, on peut utiliser des micro-ondes pour nécroser les petites artères centrales, il n'y a plus d'apport sanguin, cette maladie va se guérir d'elle-même.
Merci pour l'invitation.
Je ne sais pas si vous avez trouvé, la vie, beaucoup de gens dos de la main, les doigts, ont poussé quelques petites bosses, ils ne font pas mal, mais est de voir les gens étouffant de panique. Certaines personnes veulent demander, ces bosses rouges à la fin, c'est quoi ? Y aura-t-il un risque pour la santé ?

D'un point de vue médical, ces petites boules de chair sont appelées "verrues", bien qu'elles soient plus communément connues sous le nom de "verrue".
Une verrue est une tumeur bénigne de la peau causée par une lésion de la peau et une infection par le virus du papillome humain. Les verrues naissent agitées et peuvent s'inoculer elles-mêmes. Si elles ne sont pas traitées à temps, elles peuvent s'étendre à d'autres endroits.

D'une manière générale, il existe de nombreux types de verrues, comme la verrue commune. Elles sont généralement de couleur brun-jaune et se développent de préférence sur le corps des enfants et des adolescents.
Il n'y a pas lieu de s'inquiéter pour ce type de verrue, elle est peut-être juste un peu dure au toucher et pas très confortable, mais après 1 ou 2 ans, elle disparaîtra d'elle-même.

Il existe également un type de verrues appelé "molluscum contagiosum" qui se développe généralement sur le cou et sous les aisselles des femmes.
Les femmes d'âge moyen et les femmes âgées sont plus susceptibles d'être infectées, et certaines femmes enceintes peuvent également développer des verrues. Ce type de verrue n'est pas grave, il ne nécessite généralement pas de traitement et disparaît de lui-même.

Attention toutefois s'il s'agit d'une verrue plantaire, qui est une excroissance préférée des femmes de plus de 30 ans sur le visage et le cou.
Elle n'affecte pas seulement l'esthétique, mais détruit également l'immunité de l'organisme, provoquant des allergies, déclenchant des maladies telles que l'hépatite et, dans les cas les plus graves, conduisant même au cancer.

Il existe de nombreux médicaments pour traiter les verrues sur le marché aujourd'hui, et certaines personnes se font également enlever leur verrue par voie chirurgicale, alors assurez-vous de suivre les instructions de votre médecin afin d'éviter les cicatrices.
La verrue, comme nous l'appelons dans notre langue maternelle, désigne généralement un organisme superflu qui se développe sur le dessus du corps. Une verrue est un nom commun pour ce qui est généralement appelé une verrue en termes médicaux, à savoir une masse de chair ronde.
La première chose qui vient à l'esprit lorsqu'on parle de verrue rouge, ce sont les verrues planes. Les verrues planes, qui constituent sans doute l'un des types les plus courants de tumeurs indésirables, apparaissent à la suite d'une infection par le virus du papillome humain. Minuscules, roses et contagieuses, elles peuvent s'étendre de plus en plus si on les gratte.

L'élimination du papillomavirus humain dépend principalement de l'immunité de l'organisme. En règle générale, tant qu'il n'y a pas de croissance importante, seulement quelques cas sporadiques, tant que l'on ne gratte pas et que l'on ne se gratte pas, certains peuvent croître et disparaître d'eux-mêmes, et le virus s'élimine de lui-même. Toutefois, si la tumeur s'est développée sur une grande surface, le laser ou la cryothérapie peuvent être envisagés.
L'hémangiome sénile est une autre possibilité fréquente de verrue rouge. Bien qu'il s'agisse d'un hémangiome sénile, les personnes âgées ne sont pas les seules à en être atteintes. Ma grand-mère en a deux, qui ont poussé toute sa vie. On dit qu'elles n'étaient qu'un peu petites au début, mais qu'avec l'âge, elles ont atteint la taille d'un grain de soja, et qu'elles ne font pas mal et ne démangent pas.

Si vous ne savez pas vraiment ce qui a poussé, la meilleure chose à faire est de demander à votre médecin de l'examiner. Pour les excroissances plus importantes qui ont affecté votre apparence ou votre vie, vous pouvez vous en débarrasser grâce à la chirurgie au laser.
Le Dr Liu Guangjin a fait des commentaires très détaillés, et je continue personnellement à y répondre.
En général, les verrues poussent sur la main ou le visage, la plupart sont de couleur chair, si la surface a l'apparence de fleurs, on parle de verrues communes, si elle est plate, on parle de verrues plates, la surface a l'air lisse, en dermatoscopie, on peut voir de très petites taches de sang rouge, alors qu'à l'œil nu, ce type de verrues plates est toujours de couleur chair ou marron. En réalité, la réalité n'est pas une bonne idée.
Ensuite, le propriétaire de la verrue rouge, je tends vers deux possibilités, l'une est ce que nous appelons habituellement les angiomes des cerises, ou si elle se développe chez les personnes âgées, nous l'appelons angiomes gériatriques, elle peut se développer dans le tronc et les membres, individuelle peut se développer sur le visage, est la couleur de la cerise que nous mangeons, rouge violacé, la surface est lisse, les jeunes ont également, mais moins souvent, la relation avec le vieillissement de la peau, et la peau n'est pas aussi bonne qu'elle l'a été auparavant. On la trouve également chez les jeunes, mais moins fréquemment, et chez les personnes plus âgées, elle est liée au vieillissement de la peau. Ce type de problème n'affecte que la beauté, il n'a aucun effet sur le corps, il faut donc laisser la nature suivre son cours.
L'autre est ce que l'on appelle le nævus vasculaire ou nævus araignée, une petite tache rouge au milieu, entourée de très fins vaisseaux sanguins radiaux. La tache rouge disparaît lorsque l'on appuie dessus avec un minuscule coton-tige ou un autre objet au centre, et revient à la normale lorsque l'on se détend. On peut aussi la traiter en la battant, ce qui est très simple et n'est pas contagieux.
Dr Xu, pratique pour m'aider à faire un diagnostic préliminaire, cela fait 1 mois, au début de mon petit doigt ventre sous-cutané il y a 2 points rouges proéminents, de légères bosses dures, il y a une douleur à la pression, et puis j'ai cassé les points rouges, la plaie n'a pas guéri, la périphérie de la kératinisation de la peau, un peu comme un cor, au milieu de la très facile à saigner, presser après le jour suivant, le doigt entier est gonflé, je ne sais pas ce que c'est ? S'il vous plaît aider à aider à diagnostiquer, 🙏 merci !


Les lames de rasage sont coupées tous les deux jours.
Tout d'abord, la verrue, la verrue est ce que nous appelons le nom commun, en fait, ce sont les verrues, y compris la verrue commune, les verrues filiformes, etc., principalement dues au virus HPV, la verrue est rarement rose, rouge, fondamentalement proche de la couleur de la peau, la verrue blanche. Les verrues plates peuvent être proches de la couleur de la chair ou du brun, mais l'état rouge ne l'est pas.

La verrue rouge peut être quelque peu confondue par le patient, les bosses de chair rouge sont un organisme superflu commun, il peut s'agir d'un angiome de cerise, également connu sous le nom d'hémangiome gériatrique, le plus souvent chez les personnes âgées, mais cette maladie tend progressivement à toucher les jeunes, ce type d'hémangiome ne grossit pas, il ne peut qu'augmenter, il n'est généralement pas nécessaire de le traiter, s'il affecte vraiment l'apparence, il faut opter pour un traitement au laser ou par congélation.

En outre, les excroissances rouges peuvent également être des naevi d'araignée, une petite tache rouge sur la peau qui est entourée de vaisseaux sanguins à l'aspect rayonnant, semblable à une toile d'araignée, et cette affection cutanée doit être traitée à temps et ne guérira pas d'elle-même.

Par ailleurs, de nombreux enfants en bas âge développent des taches rouges qui augmentent avec l'âge et dont la couleur s'estompe lorsqu'on appuie dessus. Il peut s'agir d'un hémangiome, alors prenez-le au sérieux ! Si vous avez des questions concernant la peau et l'hémangiome, veuillez consulter le message privé !
Merci pour votre invitation. Ce que le commun des mortels appelle une verrue est une petite bosse rouge sur la peau. Ces petites bosses rouges sont en fait une infection virale. Deux affections cliniques sont plus courantes : les verrues planes et le molluscum contagiosum infectieux. Le petit moine suivant vous donnera une introduction.
condylome acuminé
Les verrues planes sont causées par une infection par le virus du papillome humain.Le virus responsable du cancer du col de l'utérus est un sous-type différent de la même espèce. Ce sont les virus HPV-1, 2, 4 et 7 à faible risque qui provoquent les verrues communes.Les verrues planes sont des papules plates roses, marron clair ou jaunâtres, légèrement surélevées, qui tendent à être disposées de façon linéaire, généralement en grand nombre.Elle apparaît sur le front, autour de la bouche, sur le dos des mains et sur les zones rasées.

Les verrues planes sont généralement traitées parLa cryothérapie physique, la congélation à l'azote liquide, plus utilisée cliniquement.Ce traitement peut être associé à une thérapie antivirale systémique, telle que des injections d'interféron, et à l'application topique d'une crème d'imiquimod à 5 %, d'un gel d'acide A associé à un gel d'interféron alpha-2b humain recombinant, ou d'une crème/pommade à base de phtalidomide.
condylome (zoologie)
Le molluscum contagiosum est causé par une infection par un poxvirus à ADN double brin.Elle se caractérise par une distribution dispersée avec un léger ombilic, et les lésions apparaissent souvent en grappes, à la différence des verrues communes, car les paumes et les orteils ne sont pas touchés. Elle peut être transmise par auto-inoculation, par grattage, par contact avec des lésions ou des contaminants.

Traitement du molluscum contagiosumLa méthode la plus efficace consiste à stériliser systématiquement la peau locale, puis à utiliser une pince à épiler pour briser le molluscum contagiosum.Essorez le molluscum contagiosum et stérilisez-le à nouveau pour prévenir l'infection. En application locale, vous pouvez appliquer du Bactrim pour prévenir l'infection.
Note : Medical Sweeper original content, I hope you will be helpful ; images from the network, if any infringement, please contact to delete.
Je me souviens que lorsque j'étais enfant, j'avais une verrue sur les mains, certains enfants se moquaient toujours de lui, ce qui le rendait malheureux, mais parce qu'il ne savait pas quoi faire, il se repliait sur lui-même. Une fois, j'étais à la maison et j'ai discuté par inadvertance avec mon grand-père sur le sujet de la verrue qui ne peut pas être guérie, mon grand-père a ri et a dit, cette verrue n'est pas une grande maladie, qu'est-ce qui ne peut pas être guéri ?

Grand-père m'a dit que la verrue est une maladie de la peau qui, dans le folklore, est également connue sous le nom d'"œil verruqueux", de "flèche de tendon flétrie", de "verrue", etc. Elle est encore plus fréquente. En ce qui concerne la cause de la maladie, la plupart des lésions de la peau et des muqueuses sont dues à une infection. Les premières manifestations cliniques sont des boutons durs et solides, de couleur jaune grisâtre ou brun jaunâtre, dont la surface kératinisée est rugueuse. En raison de la lenteur de l'évolution de cette maladie, elle peut s'atténuer naturellement, d'où son nom de "mille jours de plaies", mais il est généralement nécessaire de recourir à des médicaments locaux ou à un traitement chirurgical.
J'ai donc partagé cette nouvelle avec ce petit poilu, cette nouvelle l'a illuminé, il m'a donc supplié de trouver grand-père pour lui demander une recette secrète. Je vais dire cette nouvelle à grand-père, grand-père m'a demandé d'apporter le petit poil à la maison, grand-père a obtenu quelques châtaignes d'eau, couper avec la viande de châtaigne d'eau essuyer les verrues, essuyer quatre ou cinq fois par jour, chaque fois qu'il est essuyé à la kératine des verrues doux, off, sensation légèrement douloureuse, et montrer la pointe d'une aiguille comme un point de sang jusqu'à présent, généralement deux semaines ou plus peuvent être guéries.

Grand-père m'a également dit que pour traiter les verrues, on peut utiliser les germes de soja. L'utilisation spécifique est également plus intéressante : prendre la quantité appropriée de germes de soja, les faire cuire comme un repas, les manger jusqu'à satiété. Pendant la période de traitement, trois repas par jour de germes de soja comme repas, ne pas manger d'autres aliments et des articles gras, même après avoir mangé pendant trois jours, changé pour un régime végétarien, mais toujours des germes de soja comme plat principal, environ une semaine, la verrue peut être guérie.
Il existe également une médecine chinoise plus spécifique qui a également un bon effet sur la verrue, mais cette médecine n'est disponible qu'à la campagne, les citadins ne peuvent pas l'obtenir. Il s'agit d'une vache qui mâche de la salive et qui l'applique sur la verrue 2 à 3 fois par jour, ce qui lui permet de disparaître en 7 à 10 jours. Beaucoup de familles rurales modernes élèvent rarement du bétail, cette formule est sur le point d'être perdue ah !

Pour une verrue normale, vous pouvez également utiliser de l'eau d'alun. Faites tremper la verrue dans de l'alun en faisant fondre de l'eau tiède et en ajoutant de l'eau légèrement chaude, plusieurs fois par jour. La verrue peut également être soignée en frottant constamment des pointes fraîches de rhododendron sur la zone affectée pendant environ 2 minutes à chaque fois, 6 à 8 fois par jour. Vous pouvez également utiliser de l'amarante fraîche pour la réduire en purée et l'appliquer en externe, ce qui peut également avoir un bon effet thérapeutique.
Les singes sont médicalement appelés verrues planes, et sont traités lentement avec des médicaments chinois ou occidentaux, et rapidement et efficacement avec des lasers.
La crème à la vitamine A acide peut être utilisée pour contrôler l'hyperkératose des follicules pileux. Elle est disponible en pharmacie. Lavez vos bras tous les jours. Frottez également vos bras avec du sel. Massez pendant quelques instants. Au bout de deux mois, les poils disparaîtront naturellement. Tout est question de persévérance. La chose la plus importante est d'insister sur l'utilisation du bain de sel de mer pour voir, j'ai aussi, mais j'ai utilisé le lavage de sel de mer pendant plus de 2 mois (dit pour être en mesure de consommer la graisse) les résultats de la graisse n'a pas disparu, ces petites taches rouges sont beaucoup plus petits. Il peut aussi s'agir d'acariens, essayez d'acheter du Mitex.
Ces questions et réponses proviennent des utilisateurs du site, elles ne représentent pas la position du site, s'il y a une infraction, veuillez contacter l'administrateur pour la supprimer.