Ma tension artérielle augmentera-t-elle si je ne prends pas mon traitement contre l'hypertension ?
Ma tension artérielle augmentera-t-elle si je ne prends pas mon traitement contre l'hypertension ?
Une fois diagnostiquée, l'hypertension nécessite un traitement presque à vie. Le traitement dit à vie n'est pas une médication à vie ; certains patients peuvent également contrôler leur tension artérielle jusqu'à la norme grâce à des interventions sur le mode de vie, mais la majorité des patients hypertendus ont besoin de médicaments pour abaisser leur tension artérielle, faute de quoi celle-ci peut devenir de plus en plus élevée, ce qui augmente considérablement le risque d'événements cardiovasculaires tels que l'accident vasculaire cérébral et l'infarctus du myocarde.
La pression artérielle est un processus qui s'élève lentement et qui est généralement asymptomatique dans les premiers stades, de sorte que certains patients ayant reçu un diagnostic définitif d'hypertension présentent déjà une pression artérielle élevée, supérieure à 160/100 mmHg, nécessitant l'instauration d'un traitement pharmacologique antihypertenseur, dans le but d'empêcher la pression artérielle de continuer à augmenter et de réduire le risque d'événements cardiovasculaires et cérébrovasculaires majeurs. Certains patients ne tolèrent pas l'hypertension artérielle, même si l'augmentation n'est pas significative, et même si leur tension artérielle est inférieure à 160/100 mmHg, ils peuvent développer des lésions des organes cibles, notamment l'athérosclérose carotidienne et la formation de plaques, l'hypertrophie ventriculaire gauche, la diminution du taux de filtration glomérulaire et la protéinurie. L'objectif du traitement de l'hypertension est de réduire les lésions des organes cibles. Par conséquent, si des lésions des organes cibles sont déjà apparues, même si la tension artérielle n'est pas élevée, il convient de commencer à prendre des médicaments pour abaisser la tension artérielle et de la contrôler en dessous de 140/90 mmHg chez les patients ordinaires et en dessous de 130/80 mmHg chez les patients souffrant de diabète sucré comorbide et d'une protéinurie. Les patients hypertendus atteints de diabète sucré doivent également être conscients que les deux peuvent endommager les organes cibles de manière synergique, et ce groupe de patients doit commencer à prendre des médicaments pour abaisser sa tension artérielle si elle dépasse 140/90 mmHg, plutôt que d'observer si elle va augmenter de plus en plus.
Quels sont donc les patients hypertendus qui peuvent se passer temporairement de médicaments ? La première et principale condition est que la pression artérielle soit inférieure à 160/100 mmHg. En raison de la baisse limitée de la pression artérielle par l'intervention sur le mode de vie, cette partie de la pression artérielle du patient n'augmente pas beaucoup, de sorte qu'il est plus facile de contrôler la pression artérielle pour répondre à la norme. Deuxièmement, il n'y a pas de lésions des organes cibles, pas de complications liées à l'hypertension, pas de diabète, de dyslipidémie et d'autres maladies sous-jacentes, et le risque d'événements cardiovasculaires futurs dans ce groupe de patients est faible. Les interventions courantes sur le mode de vie comprennent le contrôle de l'apport en sodium à moins de 6 g par jour, ainsi que la limitation de la consommation d'aliments et de condiments riches en sodium, et la consommation d'une plus grande quantité de fruits et de légumes frais, en particulier d'aliments riches en potassium, qui peuvent contrer l'élévation de la pression artérielle induite par le sodium. Deuxièmement, il convient de limiter la consommation d'alcool, en particulier d'alcool moins fort. Il est recommandé de faire de l'exercice une demi-heure par jour et au moins 5 jours par semaine, avec des exercices aérobiques d'intensité modérée, tels que le jogging, le vélo, la marche rapide, le tai-chi, etc. Si, après 3 à 6 mois de traitements non pharmacologiques, la pression artérielle ne peut toujours pas être contrôlée selon les normes, un traitement médicamenteux doit être mis en place pour abaisser la pression artérielle.
En résumé, les patients souffrant d'hypertension sans intervention peuvent voir leur tension artérielle continuer à augmenter, mais tous les patients n'ont pas besoin de médicaments pour abaisser leur tension artérielle. Si la tension artérielle est inférieure à 160/100 mmHg, s'il n'y a pas de lésions des organes cibles, s'il n'y a pas de complications, s'il n'y a pas de diabète sucré chez certains patients, des changements de mode de vie peuvent permettre non seulement d'éviter que la tension artérielle continue à augmenter, mais aussi de contrôler la tension artérielle jusqu'à la norme.
Merci à tous pour votre lecture !
Corrigez-moi si je me trompe ! N'hésitez pas à poser des questions et à les partager dans la section des commentaires !
Note : Le contenu de ce texte est destiné à être utilisé en tant que science de la santé uniquement, et n'est pas destiné à servir de conseil ou d'opinion médicale, et n'est pas considéré comme une orientation médicale.
La tension artérielle des patients hypertendus va-t-elle augmenter de plus en plus s'ils ne prennent pas leurs médicaments ? C'est en effet une grande question, et la raison pour laquelle je dis que c'est une grande question, c'est que si cette question n'est pas clarifiée, elle peut induire de nombreuses personnes en erreur et les inciter à cesser de prendre leurs médicaments antihypertenseurs, ce qui peut éventuellement entraîner de graves conséquences. Aujourd'hui, le Dr Zhang tente de vous donner une explication à cette question.
Tout d'abord, on dit qu'il n'y a pas d'absolu dans le monde, et on ne peut pas dire que tous les patients hypertendus auront une tension artérielle de plus en plus élevée s'ils ne prennent pas de médicaments antihypertenseurs. Cependant, pour la plupart des patients hypertendus, la prise de médicaments antihypertenseurs par voie orale doit être respectée. Pour de nombreux patients hypertendus, le fait de ne pas prendre de médicaments antihypertenseurs peut avoir des conséquences désastreuses. Cependant, il existe effectivement quelques patients hypertendus qui ne prennent pas de médicaments antihypertenseurs et dont la tension artérielle peut être contrôlée efficacement par une amélioration stricte du mode de vie ou par le contrôle de certains facteurs qui conduisent à une tension artérielle élevée.
Pour vous donner un exemple, pour de nombreux jeunes patients souffrant d'hypertension légère, tant qu'ils veillent à ne pas se coucher tard, à contrôler leur poids, à réduire la consommation d'aliments riches en sel et en graisses, et à faire plus d'exercice, la tension artérielle de certaines personnes peut lentement et sûrement s'améliorer progressivement ou même revenir à la normale. Toutefois, le Dr Zhang tient à souligner que cela ne signifie pas que tous les patients hypertendus peuvent contrôler leur tension artérielle en améliorant leur mode de vie et que, dans de nombreux cas, l'intervention de médicaments antihypertenseurs est encore nécessaire. Par conséquent, pour la plupart des patients hypertendus, un traitement antihypertenseur reste nécessaire.
Quant à savoir si la tension artérielle des patients hypertendus va augmenter de plus en plus s'ils ne prennent pas de médicaments antihypertenseurs, cela dépend de la situation spécifique. Mais dans tous les cas, vous devriez consulter régulièrement un médecin lorsque votre tension artérielle est élevée, et laisser votre médecin décider de votre prochain plan de traitement, au lieu de choisir vous-même un médicament antihypertenseur au hasard ou de ne pas traiter du tout votre tension artérielle.

Les médicaments ne sont pas la seule option pour les personnes souffrant d'hypertension artérielle !

L'hypertension artérielle est aujourd'hui de plus en plus répandue, avec un taux d'incidence moyen d'environ 30 %. Dans un groupe de patients aussi important, tout le monde ne prend pas de médicaments, une grande partie de la population peut faire baisser sa tension artérielle grâce à une vie saine et à des habitudes alimentaires, et le rôle du médicament n'est pas aussi important que nous le pensons, si vous ne faites pas attention à contrôler vos habitudes alimentaires, à boire et à fumer tous les jours, même si vous prenez les médicaments à temps, la tension artérielle peut continuer à augmenter. augmenter rapidement.

Le traitement de l'hypertension doit être complet !
L'hypertension est une maladie chronique, le processus de traitement doit également être lent, ne pas se précipiter, de nombreux patients ont déjà abaissé le contrôle de la pression artérielle, mais à cause de la précipitation à forcer trop, chaque jour l'attention à la pression artérielle insomnie, mais faire la pression artérielle va et vient, c'est un phénomène clinique commun.
Le traitement doit être divisé en trois aspects : 1, commencez par les bases, limitez généralement l'apport en sodium, pratiquez souvent une activité physique modérée, dites adieu à l'obésité et au surpoids, éliminez des années de tabagisme et d'abus d'alcool, et maintenez un état d'esprit calme et optimiste. 2, pour certains patients souffrant d'hypertension artérielle, il est impératif d'abaisser la tension artérielle pour la contrôler, afin d'éviter d'endommager les organes cibles, vous devez donc prendre des médicaments antihypertenseurs conformément aux instructions du médecin. 3, pour les patients souffrant d'hypertension chronique et récurrente, vous devez rechercher activement la source principale de la maladie, qui peut être causée par d'autres problèmes, afin d'éliminer le point central qui peut être récupéré par le biais du traitement causal. Pour les patients souffrant d'hypertension qui n'a pas été guérie depuis longtemps et qui est récurrente, nous devons rechercher activement la source principale de la maladie. L'augmentation de la pression artérielle peut être causée par d'autres problèmes, qui peuvent être récupérés en traitant la cause et en supprimant les foyers de la maladie.

Bien que les médicaments ne soient pas le seul moyen de traiter l'hypertension artérielle, nous ne devons pas résister aveuglément à la prise de médicaments !
L'existence de la toxicité des médicaments est nuisible au corps humain, mais il y a deux côtés à tout, les médicaments sont pour le traitement de la maladie, pas comme un repas, nous devrions respecter strictement les instructions du médecin dans le processus de prise de médicaments pour contrôler l'ingestion de médicaments.
Ce dosage raisonnable de médicaments est très peu nocif pour le corps humain, et en même temps, il peut prendre en charge l'élévation persistante de la pression artérielle, qui est plus nocive, ce qui est le bénéfice le plus direct que la prise de médicaments peut nous apporter, tandis que le risque d'effets secondaires est très faible.
En choisissant le moindre des deux maux, je pense que nous ferons tous le meilleur choix !
L'hypertension n'est pas effrayante, il n'est pas nécessaire de prendre aveuglément des médicaments, nous devons choisir la bonne approche en fonction de notre propre situation, la stabilité de la tension artérielle est liée à notre santé, veillez à être vigilants et à mettre en œuvre activement des contre-mesures.
(Je suis Luo Min, médecin-chef dans un hôpital de niveau 3A, un "vieux" médecin avec plus de 30 ans d'expérience clinique, mes efforts ne visent qu'à récolter les bénéfices de votre approbation, si ma réponse peut vous aider, j'espère que vous l'aimerez, que vous y prêterez attention, et si vous avez des questions, vous pouvez commenter ou m'écrire en privé, je ferai de mon mieux pour vous aider).
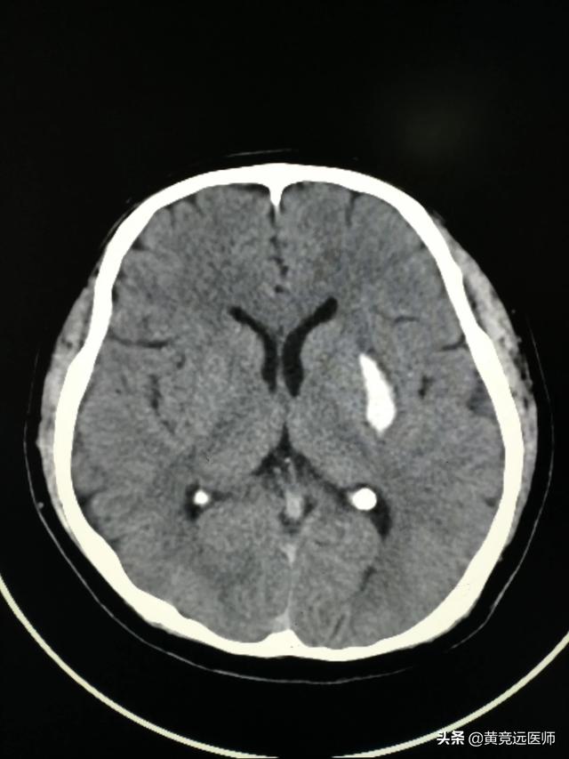
Une fois l'hypertension diagnostiquée, il faut prendre des médicaments à vie pour maintenir la tension artérielle dans une fourchette stable et éviter les fluctuations importantes. Si l'on ne prend pas de médicaments ou si l'on arrête de les prendre à mi-chemin, la tension artérielle n'est pas facile à contrôler, et si la tension artérielle est trop élevée et traverse les vaisseaux sanguins du cerveau, provoquant une hémorragie intracrânienne, la qualité de vie sera gravement affectée à un stade ultérieur. L'image ci-dessous montre un patient souffrant d'une hémorragie cérébrale hypertensive, qui peut affecter le mouvement d'un membre. La santé n'est donc pas une affaire banale, et nous devons commencer par le moindre détail ! Un régime pauvre en sodium et en sel, une fois malheureusement atteint, ne soyez pas trop triste, allez dans un hôpital régulier, trouvez un médecin régulier, utilisez raisonnablement les médicaments, c'est une garantie de santé.

Pas nécessairement, un exercice modéré, pas de stress, un peu de légèreté, la tension artérielle peut parfois baisser.
Oui, c'est vrai ! C'est comme un ressort, plus vous tirez longtemps dans les limites, plus vous avez de tension.
[Un médecin professionnel pour répondre à vos questions]

La réponse à cette question n'est pas nécessairement, toute maladie a une raison d'être, et l'hypertension est une maladie étroitement liée au mode de vie, de sorte que lorsque l'hypertension survient, la chose la plus importante est de trouver et d'analyser la cause de l'hypertension, et de prendre les mesures de contrôle appropriées pour la cause, pas nécessairement en prenant des médicaments, par exemple :
- Mesurer sa propre tension artérielle à la maison dans les limites de la normale, mais dépasser les critères diagnostiques de l'hypertension artérielle de 140/90 mmHg lorsqu'elle est mesurée à l'hôpital, c'est ce qu'on appelle le phénomène de la blouse blanche et ce n'est pas de l'hypertension véritable ;
- Les personnes qui se couchent tard, qui travaillent et se reposent de manière irrégulière pendant une longue période, en raison d'une grave perturbation des rythmes physiologiques du corps, entraînent un niveau de pression artérielle plus élevé pendant la nuit, ce qui augmente le niveau de base de la pression artérielle tout au long de la journée, entraînant une augmentation de la pression artérielle.
- De grandes quantités d'alcool conduisent à une augmentation de la pression artérielle, l'acétaldéhyde, métabolite de l'alcool, stimulera la vasodilatation, ce qui entraînera une diminution de la pression artérielle, mais avec l'achèvement de la décomposition de l'acétaldéhyde, le rebond des vaisseaux sanguins stimulés peut également provoquer une augmentation temporaire de la pression artérielle.
- En cas de ronflement sévère pendant le sommeil, le corps peut être privé d'oxygène en raison d'une inhalation insuffisante d'oxygène, ce qui peut provoquer une série de réactions, et la pression artérielle doit être augmentée pour assurer un apport sanguin adéquat pendant les activités physiologiques.
- En cas d'instabilité émotionnelle et d'irritabilité, le rythme cardiaque s'accélère et le cœur se contracte de manière incomplète, ce qui entraîne un retour insuffisant du sang vers le cœur, qui reste dans les vaisseaux sanguins, provoquant une augmentation et une fluctuation de la pression artérielle.

Par exemple, une femme d'âge moyen a une tension artérielle normale, mais depuis que sa fille a donné naissance à un enfant, parce qu'elle est restée chez sa fille pour s'occuper de l'enfant, et qu'elle a dû faire la cuisine et s'occuper des petits-enfants, elle n'a pas assez de temps chaque jour, non seulement la fatigue physique et l'esprit sont toujours dans un état de tension élevée, mais elle a souvent des vertiges et des maux de tête, et sa tension artérielle est supérieure aux critères diagnostiques de l'hypertension. Après avoir discuté avec sa fille de la possibilité d'engager une nounou, elle est retournée chez elle et s'est reposée pendant un certain temps, et sa tension artérielle est revenue à la normale.
Un autre exemple est celui d'un homme qui a commencé à boire de l'alcool dès l'adolescence, pas moins d'un demi-catalogue par jour, plus une période de temps à cause du travail, c'est-à-dire fatigue et tension, sensation d'hébétude toute la journée, mesure de la pression artérielle supérieure aux critères diagnostiques de l'hypertension, pensant qu'il souffrait d'hypertension. Le point positif est qu'après la fin du travail, il a pu récupérer et, grâce à la discipline familiale, il a progressivement réduit sa consommation d'alcool jusqu'à l'arrêt de l'alcool.

Dans la plupart des cas, la pression artérielle peut être contrôlée efficacement en 3 à 6 mois, et la pression artérielle n'est pas nécessairement de plus en plus élevée, mais l'essentiel réside dans le degré d'attention accordé à l'hypertension artérielle et dans la pertinence des mesures mises en place. Si la tension artérielle est toujours supérieure à 140/90 mmHg après une intervention sur le mode de vie, des médicaments antihypertenseurs doivent être pris rapidement.
Il convient de rappeler que : la situation mentionnée ci-dessus se réfère au sang entre 140-160/90-100mmHg, et après l'examen n'a pas eu lieu le cœur, le cerveau, les yeux, les reins et d'autres organes de la maladie, tels que supérieur à 160/100mmHg, ou déjà les organes principaux de l'apparition des lésions doivent être pris en temps opportun des médicaments antihypertenseurs, nous devons savoir que le contrôle stable de la pression artérielle est très important pour arrêter et ralentir la progression de ces lésions.
J'espère que cette réponse pourra vous aider. N'hésitez pas à cliquer sur l'attention et à laisser un message, afin d'apprendre et d'échanger davantage de connaissances en matière de santé.
Pas nécessairement. Toutefois, dans la plupart des cas, le traitement doit être poursuivi, que la tension artérielle continue ou non d'augmenter.
L'hypertension, qui doit remplir quatre conditions à la fois - nouvellement détectée, hypertension simple, asymptomatique, pression artérielle inférieure à 160/100 - et qui doit être contrôlée par des interventions quotidiennes sur le mode de vie, peut également être contrôlée sans médicament dans ce cas. Dans le cas contraire, la tension artérielle va devenir de plus en plus élevée et peut entraîner des complications dommageables pour l'organisme.

Les médecins ne recommandent pas aux patients hypertendus d'arrêter leur traitement au milieu de la journée, et même si le patient a l'impression que sa tension artérielle est revenue à la normale, il doit veiller à ce qu'elle ne fluctue pas sous la surveillance étroite de son médecin.
Chez les personnes souffrant d'hypertension artérielle, en l'absence de médicaments, la tension artérielle peut rester élevée, rester la même, fluctuer occasionnellement et baisser légèrement. Cependant, la tension artérielle en elle-même n'est pas la question la plus importante. La prise de médicaments pour abaisser la tension artérielle n'est pas non plus le but ultime ; le véritable but ultime est d'éviter les dommages au système cardiovasculaire, etc.
En effet, l'hypertension n'est pas grave en soi et les risques et complications qu'elle entraîne ne sont pas dus aux symptômes cliniques.
Les maladies causées par l'hypertension artérielle sont nombreuses et graves, principalement sous la forme de lésions du cœur, du cerveau, des reins, de la rétine, des vaisseaux sanguins, à l'exception de la rétine, chaque partie du corps pouvant présenter de graves complications, avec le risque d'une issue fatale. Les fluctuations de la pression artérielle peuvent causer des dommages encore plus importants.
Si le patient ne prend pas de médicaments et que sa tension artérielle reste élevée pendant une longue période, même si elle est asymptomatique, elle peut être très dommageable pour l'organisme. Si elle n'est pas contrôlée, elle finira par endommager les organes cibles. Il s'agit d'un processus long et lent, et au fur et à mesure que le temps passe, ces dommages deviennent de plus en plus apparents. Il est trop tard pour se rappeler de prendre des médicaments jusqu'à ce que les symptômes apparaissent.
En général, dans un délai de 2 à 3 mois, si la tension artérielle revient en dessous de 140/90 ou même en dessous de 130/80, il n'est pas nécessaire de prendre des médicaments. Si la tension artérielle est toujours supérieure à 140/90, des médicaments doivent être pris. Et ceux qui ont déjà des complications, comme les maladies cardiovasculaires et cérébrovasculaires, le diabète, etc., doivent également prendre des médicaments, que leur tension artérielle soit normalisée ou non.
L'hypertension artérielle sans traitement est très dangereuse.
Il est certain que sans médicament, la tension artérielle continuera à augmenter, ce qui est prouvé par la science médicale. Par ailleurs, ne pas prendre de médicaments pendant une longue période entraînera une augmentation continue de la tension artérielle et diverses complications, telles que les maladies cardiovasculaires et la néphropathie hypertensive, qui conduiront finalement à l'encéphalopathie hypertensive et à la mort cérébrale accidentelle.
Ces questions et réponses proviennent des utilisateurs du site, elles ne représentent pas la position du site, s'il y a une infraction, veuillez contacter l'administrateur pour la supprimer.
