Un "nodule pulmonaire" découvert lors d'un examen physique peut-il réellement se transformer en cancer du poumon ?
Un "nodule pulmonaire" découvert lors d'un examen physique peut-il réellement se transformer en cancer du poumon ?
Nodules pulmonaires et cancer du poumon : quel est le lien ?
Le terme "petits nodules pulmonaires" désigne ceux dont le diamètre est inférieur à 1 cm. Il existe une corrélation positive entre la taille d'un nodule pulmonaire et la probabilité d'un cancer du poumon. Cette réponse traite des petits nodules.
Examinons la relation complexe entre les petits nodules pulmonaires et le cancer du poumon.
1) Il existe de petits nodules pulmonaires qui sont à l'origine d'un cancer du poumon.
Les cancers du poumon sont classés en adénocarcinome, carcinome malpighien, carcinome à grandes cellules, carcinome à petites cellules, carcinome carcinoïde, etc. Lorsque ces cancers sont de petite taille, ils ne sont pas aussi typiques que lorsqu'ils sont de grande taille.
L'expérience du lecteur de film, ainsi que diverses mesures, sont nécessaires pour diagnostiquer ce sous-ensemble de petits nodules pulmonaires.

2) Il existe de petits nodules pulmonaires qui ne sont pas cancéreux au départ.Il s'agit plutôt d'une hyperplasie adénomateuse atypique, etc., qui évolue lentement vers un adénocarcinome invasif, ce qui est le plus souvent observé dans les nodules en verre dépoli.
3) Certains petits nodules pulmonaires bénins n'évoluent pas vers un cancer du poumon.
Les ganglions lymphatiques intrapulmonaires, par exemple, peuvent se présenter sous la forme de petits nodules dans les poumons et peuvent même croître lentement, mais il s'agit d'un phénomène bénin qui ne devient pas malin. Il existe des nodules en verre dépoli qui disparaissent après un examen de suivi, ce qui indique une inflammation. D'autres nodules sont dus à la tuberculose, à d'autres affections inflammatoires ou à des tumeurs bénignes.

4. il existe de petits nodules pulmonaires qui doivent être opérés même s'ils ne sont pas cancéreux.
Par exemple, le pneumocytome sclérosant, la tumeur de malformation partielle, etc.
5) Il existe de petits nodules pulmonaires non cancéreux, mais d'autres types de tumeurs malignes.
Par exemple, lymphome, métastase, sarcome, etc.

Lorsqu'un nodule pulmonaire est découvert, il doit être analysé en fonction de la situation clinique, des manifestations tomodensitométriques, etc. Plus le nodule est petit, plus il est difficile de le caractériser, c'est pourquoi une observation de suivi est parfois nécessaire.
Il ne faut pas non plus être aveuglément agressif et opérer lorsqu'on trouve un nodule, ni être aveuglément optimiste et ignorer lorsqu'on trouve un nodule.
La probabilité de détecter de petits nodules pulmonaires lors de l'examen physique est élevée, et il y a beaucoup plus de nodules bénins que de nodules malins.
L'objectif de notre inspection est deIdentifier les petits nodules susceptibles d'évoluer vers un cancer du poumon et les éliminer à temps, ce qui permet d'éviter un cancer du poumon à un stade intermédiaire ou avancé.。
D'un point de vue pathologique, les petits nodules pulmonaires peuvent être divisés en trois types, avec des principes de prise en charge différents :
1. nodules bénins
Des nodules pulmonaires bénins, dont certains sont des foyers de prolifération et de calcification et d'autres des ganglions lymphatiques, peuvent être détectés dans les poumons de nombreuses personnes en raison d'une tuberculose ancienne, de la pollution de l'air, de l'inhalation professionnelle, du tabagisme de longue durée et du tabagisme passif.
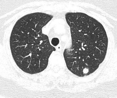
Il s'agit d'un petit nodule sur la plèvre interlobaire, et de tels nodules isolés sur la plèvre interlobaire sont presque toujours bénins et ne suscitent pas d'inquiétude.
2. nodules pulmonaires malins
Par exemple, dans les nodules mixtes de verre dépoli, il y a plus de malins que de bénins.
Les signes de malignité sont les suivants :
1. nodules mixtes en verre dépoli avec tirage pleural ;
2) Ombres claires en verre dépoli sur les marges, suggérant une croissance annexielle des cellules tumorales ;
3) Les signes d'insufflation bronchique interne sont légèrement raides, dilatés, déformés, parfois ressentis comme des signes vacuolaires, une pénétration vasculaire, un épaississement et un sillon.

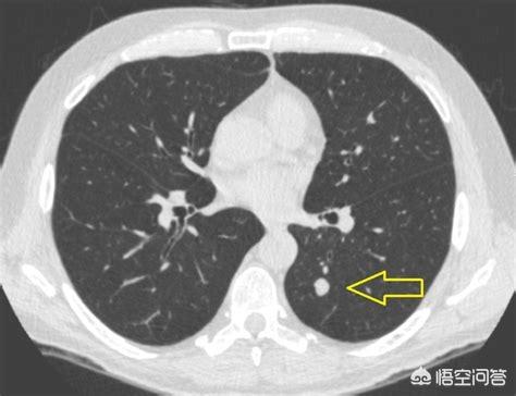
Il s'agit d'un cas d'adénocarcinome pulmonaire confirmé chirurgicalement.
En revanche, les nodules pulmonaires solides sont beaucoup plus bénins que malins. Les nodules pulmonaires malins présentent généralement des bavures, des lobulations, des troncatures bronchiques, des spicules, des signes de dépression pleurale et des signes d'amas vasculaires.
Il s'agit d'un résumé très condensé et pratique du professeur Huang de l'hôpital de cancérologie de Shandong !
3. les petits nodules d'apparence bénigne qui peuvent évoluer vers un cancer du poumon
Ces petits nodules, d'apparence bénigne et lisse sans signe de malignité, peuvent grossir et présenter progressivement des signes de malignité au cours d'un suivi ultérieur.

Un petit nodule solide comme celui-ci, d'environ 4 mm, était lisse et ne présentait aucun signe évident de malignité. Mais deux ans et quatre mois plus tard :
La pathologie a ensuite confirmé qu'il s'agissait d'un cancer du poumon à petites cellules.
Comment repérer ces petits nodules potentiels de cancer du poumon ?
On ne peut pas opérer les nodules pulmonaires dès qu'on les trouve, ce qui tuerait injustement les nodules bénins qui constituent la majorité de la population, et serait laborieux et préjudiciable à notre santé.
Que faire ? En deux étapes :
1. retirer les petits nodules présentant des signes évidents de malignité ;
2) Pour les petits nodules qui ne présentent pas de signes évidents de malignité, suivre et observer, les méchants se révèlent toujours.
A ce stade, vous comprenez pourquoi nous avons classé les nodules pulmonaires en fonction du niveau de risque :
Ne paniquez donc pas tout de suite si vous trouvez des nodules pulmonaires lors de votre examen physique.
Si votre médecin local vous conseille de suivre et d'observer, cela signifie au moins qu'il n'est pas encore certain qu'il s'agisse d'un cancer du poumon et qu'il faut voir comment il évolue de manière dynamique au fil du temps.
Les lignes directrices mondiales montrent que ces observations de suivi ne retardent généralement pas le traitement.
Je suis le Dr Howe en imagerie, merci de me lire et n'hésitez pas à me suivre !
Je suis le Dr Little Shadow, un médecin spécialiste de l'imagerie. Les petits nodules pulmonaires qui apparaissent lors d'un examen physique peuvent se transformer en cancer du poumon. La plupart des nodules pulmonaires observés lors d'un examen physique sont bénins et moins de 10 % d'entre eux se transforment en cancer du poumon.
Antécédents de croissance d'un petit nodule pulmonaire qui s'est transformé en cancer du poumon
Il y a deux jours, j'ai lu un cas, le patient, un homme de 57 ans, a été examiné pendant trois ans et a enregistré le processus de transformation d'un nodule de 0,5 cm en cancer du poumon ; à chaque examen, le nodule augmente de taille, mais le patient n'a pas opté pour la chirurgie.
La flèche pointe vers le nodule, qui était très petit lorsqu'il a été découvert en mars 2016, environ 0,5 cm, et maintenant les examens médicaux de routine révèlent de très nombreux nodules comme celui-ci.Il n'existe aucun moyen de déterminer s'il s'agit d'une tumeur bénigne ou maligne sur les images, seule l'option de l'examen, et l'examen et le suivi constituent également le meilleur outil.
Sept mois plus tard, lors du deuxième examen de suivi en octobre 2016, il était évident que ce nodule était devenu plus grand et plus rond. Le nodule élargi lors du suivi devait alerter sur la possibilité d'une tumeur maligne, mais cette patiente n'a toujours pas opté pour la chirurgie.
Après encore 1 an et 2 mois, le troisième examen en décembre 2017.Vous pouvez voir que ce nodule est beaucoup plus grand qu'avant, les signes malins sont lobulés et il est devenu solide à l'intérieur, ces signes diagnostiquent le cancer du poumon fondamentalement, mais le patient n'a toujours pas été opéré.
Le nodule s'était transformé en masse (>3cm) et ce cancer du poumon pouvait être un cas d'école, avec fondamentalement tous les signes de malignité qui soutiennent le cancer du poumon.Bords irréguliers, lobulation, bavures et signes d'arrachement pleural.
Heureusement, aucune lésion métastatique n'a encore été observée et l'ablation chirurgicale est encore possible. Si le traitement n'est pas encore une option, revenez pour un examen dans un an et vous pouvez vous attendre à de multiples changements métastatiques. En fait, lors du deuxième examen, les lésions étaient plus importantes et une résection chirurgicale aurait dû être effectuée à ce moment-là, sans récidive ni métastase. À mesure que la lésion grossit, il peut y avoir des cellules cancéreuses dans le sang, et le risque de récidive et de métastase est alors plus élevé.
J'ai rencontré beaucoup, beaucoup d'autres cas comme celui-ci dans le cadre de mon travail.
Celle-ci, par exemple, a été réexaminée un an et demi plus tard et la lésion s'était élargie.
Par exemple, celle-ci, observée pendant 4 années consécutives, la masse n'a cessé de croître.
Un examen de suivi précoce ne retardera pas la maladie ; si le suivi révèle que la lésion est élargie ou présente d'autres signes de malignité, il convient de procéder à une résection chirurgicale précoce.
Certains amis demandent souvent ce qu'il faut faire lorsqu'ils découvrent des nodules pulmonaires. S'il n'y a pas de signe de malignité au scanner, vous pouvez choisir de réexaminer, par exemple, ces petits nodules, de les réexaminer dans trois mois ou six mois, si le nodule a grossi, de les traiter rapidement, et s'il n'y a pas de changement, vous pouvez également continuer à les suivre. Le suivi ne conduira pas à une métastase du nodule, ne retardera pas le traitement, et pour les nodules qui ne peuvent pas être caractérisés, le suivi est le meilleur outil.
Certains de mes amis m'ont dit : pourquoi ne pas les avoir tous retirés plus tôt ? C'est parce que tous les nodules ne sont pas malins, que les nodules malins ne représentent qu'une faible proportion et que la chirurgie n'est recommandée que pour ceux qui ont une tendance à la malignité, et qu'il n'est pas nécessaire d'exagérer le traitement chirurgical.
Les nodules pulmonaires peuvent être réellement cancéreux, mais ils ne le sont pas toujours.
Les nodules pulmonaires sont avant tout des ombres des poumons ≤ 3cm, s'ils sont > 3cm ils sont appelés masses. Les nodules pulmonaires sont généralement classés, en fonction de leur densité, en nodules solides et sub-solides (c'est-à-dire en nodules de verre pilé). Les nodules pulmonaires peuvent être solitaires (c'est-à-dire un) ou multiples (c'est-à-dire plus d'un). Avec la popularité du scanner spiralé multicouche, de plus en plus de nodules pulmonaires asymptomatiques ont été découverts, et de nombreuses personnes s'inquiètent de savoir s'il s'agit d'un cancer du poumon, mais en fait, il n'y a pas lieu de s'inquiéter, la plupart d'entre eux sont bénins, et seul un petit nombre d'entre eux est un cancer du poumon.
Comment les nodules pulmonaires sont-ils détectés ?
Les nodules pulmonaires sont généralement détectés par radiographie (radiographie du thorax) ou par tomodensitométrie, principalement par tomodensitométrie, car de nombreux petits nodules ne sont pas du tout visibles sur une radiographie du thorax et doivent être détectés par une tomodensitométrie du thorax. C'est ce que se demandent de nombreuses personnes qui font la une des journaux : pourquoi n'y a-t-il rien à redire aux examens médicaux annuels et, soudain, un cancer du poumon se déclare-t-il ? On suppose que l'examen physique a été effectué à l'aide d'une radiographie du thorax plutôt que d'un scanner. Par exemple, si l'on veut voir s'il y a des lésions substantielles (excroissances) dans le foie ou les reins, il faut faire une échographie ou un scanner, et si l'on veut voir les lésions gastro-intestinales, il faut faire une gastroscopie ou une coloscopie, et pas seulement des tests de laboratoire tels que des analyses de sang et d'urine, mais beaucoup de lésions peuvent être normales dans les tests de laboratoire. Ainsi, pour détecter de petites lésions précoces dans les poumons, ou des lésions précancéreuses, en particulier des nodules de verre dépoli, il est recommandé d'effectuer un scanner hélicoïdal à faible dose.
Que faire en cas de découverte d'un nodule pulmonaire ??
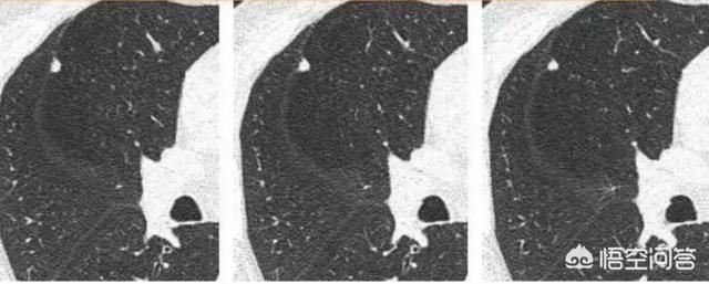
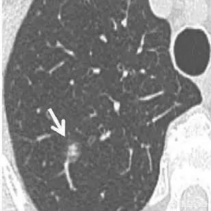
L'étape suivante consiste à déterminer la nature bénigne ou maligne des nodules pulmonaires. Les nodules bénins ne sont en aucun cas des ganglions lymphatiques dans les poumons, des tumeurs difformes, des pneumocytomes sclérosants, etc. Les nodules restants sont ceux qui peuvent être bénins ou malins, et le principe général du traitement de ces nodules est de recommander un suivi, avec un délai de révision allant de 3 mois à 1 an, en fonction des spécificités du nodule (morphologie, taille, densité, etc.). Certains nodules peuvent se résorber et disparaître au cours du suivi, comme les nodules inflammatoires, tandis que d'autres peuvent rester inchangés, comme les granulomes, ce qui est une bonne information. Si des signes de malignité apparaissent au cours du suivi, tels que l'élargissement du nodule, l'augmentation des composants réels ou solides dans le nodule de verre dépoli, un nodule plus dense, ou la présence de vaisseaux sanguins périphériques qui se développent, etc. En fait, c'est comme regarder les gens, un visage de droiture est généralement une bonne personne, une mauvaise personne féroce et vicieuse, et certains temporaires ne peuvent être vus que par l'observation du comportement de la personne, si les règles ne sont généralement pas effrayées, et si vous trouvez qu'il y a un mauvais comportement devrait être traité en temps opportun. Figure 1, nodule de verre dépoli dans la partie supérieure du poumon gauche (flèche orange), suivi pendant plus de deux ans sans changement. Figure 2, deux petits nodules de verre dépoli dans la partie supérieure du poumon droit (flèches orange), qui ont disparu après deux ans. Figure 3, nodule en verre dépoli dans la partie supérieure droite du poumon, qui a grossi au cours du troisième suivi, il est recommandé de le traiter positivement, et la pathologie chirurgicale du carcinome in situ, c'est-à-dire des lésions précancéreuses, peut réellement tuer le cancer du poumon dans l'œuf.



Qui est recommandé pour le dépistage annuel du cancer du poumon par tomodensitométrie à faible dose ?
Un dépistage annuel est recommandé aux personnes présentant un risque élevé de cancer du poumon. c.-à-d.Âge ≥ 40 ans avec l'un des éléments suivants :① Tabagisme ≥ 20 paquets/an (ou 400 cigarettes/an), ou a déjà fumé mais a arrêté depuis moins de 15 ans. ② Antécédents d'exposition environnementale ou professionnelle à haut risque (par exemple, amiante, uranium, etc.). Maladie pulmonaire obstructive chronique combinée, fibrose pulmonaire diffuse ou antécédents de tuberculose. Antécédents familiaux de tumeur maligne ou de cancer du poumon.
Par KO :La découverte de nodules pulmonaires doit être prise au sérieux, mais il n'y a pas lieu de s'inquiéter outre mesure. Les nodules pulmonaires peuvent être cancéreux, mais la plupart d'entre eux sont bénins, et le pronostic d'un cancer du poumon précoce ou de lésions précancéreuses est très bon s'ils sont détectés et traités à temps.
Je le suis.Docteur en cinéma C HaoSi la réponse vous intéresse, vous pouvez consulter d'autres articles sur le sujet.
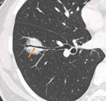
En parlant de nodules, examinons d'abord un cas de petits nodules dans les poumons. Le patient avait un rhume et une toux et un examen par scanner thoracique a révélé un nodule en verre dépoli dans le poumon droit, et une image en coupe du lobe supérieur droit du poumon avec une épaisseur de couche de 1 mm a montré un nodule partiellement solide d'une taille de 6 mm, sa partie solide (flèches) étant inférieure à 4 mm. les bords étaient clairs, et le patient a été considéré comme inflammatoire au vu de ses antécédents médicaux, et un examen de l'inflammation a été recommandé.
Les images tomodensitométriques de suivi à 3 mois ont montré une résolution complète de la lésion, compatible avec une étiologie bénigne.

Ce cas illustre le fait que tous les petits nodules pulmonaires ne sont pas malins et qu'ils ne se transforment pas tous en cancer du poumon.
À quoi ressemble donc un nodule susceptible de se transformer en cancer du poumon ?
Les petits nodules malins dans les poumons présentent souvent des signes typiques de malignité, la densité à l'intérieur du nodule est souvent inégale, certains nodules précoces deviennent du verre dépoli, ou une densité mixte de verre dépoli, et de petites cavités peuvent être observées dans certains nodules. Les marges sont encore plus typiques, car les nodules malins ont besoin d'un important apport sanguin pour survivre, de sorte que les marges peuvent souvent être infiltrées par de courtes bavures et de petits agrégats de vaisseaux sanguins appelés amas vasculaires, qui peuvent être observés à proximité des petits vaisseaux dans les petits nodules.
Si vous trouvez dans les poumons des nodules suspects présentant les signes ci-dessus, vous devez leur accorder une grande attention, en particulier aux nodules mixtes, qui doivent être traités à temps ou faire l'objet d'un suivi étroit. Il existe également ce que l'on appelle souvent des nodules en verre, les nodules en verre doivent être examinés en fonction de la densité et des bords, ainsi que de la taille du diamètre du temps de suivi et du programme, s'il s'agit d'un nodule inflammatoire, nous devons examiner et comparer après un traitement anti-inflammatoire, afin d'observer s'il y a une résorption et un rétrécissement des changements du nodule. Si de petits nodules sont découverts dans les poumons, il ne faut pas s'inquiéter, en fonction des manifestations spécifiques des nodules, d'autres examens cliniques pour déterminer s'il est nécessaire de procéder à un examen ou à un suivi.
Si vous avez des questions, n'hésitez pas à laisser un message ci-dessous, si vous pensez que ce n'est pas mal, j'espère vous féliciter pour votre soutien, vos encouragements sont ma force pour aller de l'avant !
En fait, cette question n'est pas scientifique. Elle devrait plutôt porter sur les nodules pulmonaires qui sont des cancers du poumon et ceux qui ne le sont pas. En effet, les nodules pulmonaires sont un concept d'imagerie, alors que le cancer du poumon est un diagnostic pathologique de la maladie.
Ces dernières années, de plus en plus de nodules pulmonaires sont détectés grâce à la prise de conscience de la population en matière de santé et à l'amélioration des méthodes de dépistage. Certaines personnes ont calculé qu'environ 1/3 ou plus des personnes en bonne santé âgées de plus de 45 ans trouveront des nodules dans leurs poumons s'ils passent un scanner thoracique.
Il existe de nombreuses causes de nodules pulmonaires et la plupart des petits nodules pulmonaires sont bénins, à l'exception du cancer du poumon. Ces nodules pulmonaires bénins sont principalement dus à une inflammation des poumons telle qu'une infection, une tuberculose ou un champignon. Outre les nodules inflammatoires bénins, certaines tumeurs bénignes se manifestent également sous la forme de nodules pulmonaires, comme les tumeurs malignes et les hémangiomes. Par conséquent, lorsque vous trouvez un nodule pulmonaire, vous devez en déterminer l'origine.
Comme certains nodules pulmonaires sont des manifestations précoces du cancer du poumon ou de tumeurs pulmonaires, c'est-à-dire que la tumeur vient de se développer et que les nodules sont relativement petits, il est difficile de déterminer s'ils sont bénins ou malins. Les médecins demanderont donc au patient de se soumettre à un examen dans le but d'établir un diagnostic différentiel, de faire une comparaison avant/après et d'observer s'il y a des changements dans la croissance des nodules.
On ne peut donc pas dire que le nodule est devenu un cancer du poumon, mais le nodule peut lui-même être une lésion précancéreuse ou un stade précoce du cancer du poumon, et le médecin doit seulement l'observer pendant un certain temps pour confirmer s'il est causé par un cancer du poumon ou non.
Seuls quelques-uns des nodules pulmonaires découverts lors d'un examen physique sont des cancers du poumon à un stade précoce, la plupart d'entre eux étant des lésions bénignes. La plupart des nodules pulmonaires bénins sont des ganglions lymphatiques, des plaques inflammatoires et des foyers de prolifération dans les poumons, qui n'évoluent généralement pas dans le sens d'un cancer du poumon. Cependant, les nodules pulmonaires béninsCertaines de ces lésions hyperplasiques adénomateuses atypiques sont susceptibles d'évoluer vers un cancer du poumon, mais elles peuvent aussi rester inchangées jusqu'à la fin de la vie.
En général, pour les minuscules nodules de verre dépoli avec de petites lésions et une densité trop faible, nous recommandons de poursuivre le suivi et l'observation. Toutefois, certains patients ne souhaitent pas conserver le risque à l'intérieur de leur corps et demandent avec insistance une intervention chirurgicale pour les retirer.。
Les lésions d'hyperplasie adénomateuse atypique sont généralement inférieures à 5 mm et dépassent relativement rarement 8 mm. Ci-dessous, le scanner et la pathologie d'une hyperplasie adénomateuse atypique de 8 mm.
Pour les nodules en verre dépoli qui ne sont pas considérés comme ayant atteint le stade de l'opportunité chirurgicale, ou qui peuvent être au stade d'hyperplasie adénomateuse atypique.Quelles sont les affections qui nécessitent une intervention chirurgicale immédiate ?? Le lecteur du film doit comparer attentivement les lésions avant et après, et si elles s'avèrent êtreLa lésion est légèrement plus grande que la précédente, voire légèrement plus dense, ou un vaisseau sanguin s'est développé dans la lésion.C'est l'heure de la chirurgie, par exemple, dans l'image ci-dessous.
En outre.Certains nodules solides, bien qu'ils soient très petits et que les caractéristiques de la lésion soient considérées comme bénignes, doivent néanmoins faire l'objet d'un suivi régulier selon les exigences du médecin。
J'espère que ce qui précède vous aidera
Bienvenue pour suivre @MedicalScienceDr Xu
Sans aucun symptôme gênant, l'examen physique a révélé de petits nodules pulmonaires. M. Zhang, 37 ans, a commencé à prendre le thé, inquiet, il pensait qu'il n'était pas loin du cancer du poumon, mais son enfant vient d'entrer à l'école maternelle, et ses parents sont âgés et doivent être pris en charge, il ne savait pas comment faire face à la situation. Mais ce que le pharmacien Wang a à dire, c'est que ce n'est pas le cas.

D'où viennent les petits nodules pulmonaires ?
Les gaz qui pénètrent dans les poumons par le nez et la bouche contiennent des poussières et d'autres corps étrangers, qui sont généralement adsorbés par les cils des voies respiratoires et transportés jusqu'à la gorge, où ils provoquent une sensation de corps étranger, qui est éliminée par la toux. Cependant, les cils ne sont pas efficaces à 100 % pour éliminer ces particules et certaines petites particules peuvent se déposer dans les alvéoles, où les cellules immunitaires et les lymphocytes les trouvent, les "traitent" et les encapsulent pour former des taches ou des nodules calcifiés dans les poumons.
En d'autres termes, les petits nodules pulmonaires se forment en tant que réponse physiologique normale de l'organisme.
Les petits nodules pulmonaires sont-ils synonymes de cancer du poumon ?
En réalité, il y a effectivement des personnes chez qui on a diagnostiqué un cancer du poumon quelques années après la détection de petits nodules pulmonaires, mais les petits nodules pulmonaires vont-ils définitivement évoluer vers un cancer du poumon ? La réponse est évidemment non.
La plupart des nodules pulmonaires sont généralement éliminés par l'inhalation d'une substance étrangère, telle qu'une bactérie ou un virus, qui provoque la mobilisation des cellules immunitaires dans une réaction inflammatoire "d'enveloppement". Dans le cas des nodules pulmonaires d'origine allergique, une tumeur bénigne peut éventuellement se former. Il est vrai que 20 % des nodules pulmonaires peuvent se transformer en cancer du poumon, car le corps étranger encapsulé par les cellules immunitaires se développe progressivement, entraînant des modifications génétiques.
Cela dit, il est possible, mais pas à 100 %, que les petits nodules pulmonaires détectés se transforment en cancer du poumon !

Comment prendre en charge les petits nodules pulmonaires ?
Quelle est donc la manière la plus scientifique de réagir à un petit nodule pulmonaire lorsqu'il est détecté ?
Tout d'abord, un médecin professionnel procédera à la caractérisation. En fonction de la taille et de la forme du nodule et de l'état général du patient, le médecin déterminera si le nodule doit être enlevé chirurgicalement ou simplement observé. D'une manière générale, les nodules substantiels de plus d'un pouce, les nodules poilus ressemblant à du verre et les nodules mixtes entre les deux sont ceux qui doivent être surveillés avec le plus grand soin. Il est également important de faire attention si le patient a des antécédents familiaux de cancer du poumon, s'il a déjà eu des tumeurs ou s'il est un fumeur de longue date.
Deuxièmement, un dépistage régulier
Plus de 90 % des nodules pulmonaires ne présentent aucune manifestation anormale. Si le patient développe des symptômes tels qu'une toux de sang, une forte fièvre et des douleurs, cela signifie qu'il a déjà évolué vers un cancer du poumon ou des stades avancés. Par conséquent, même en l'absence de symptômes, les personnes atteintes de petits nodules pulmonaires doivent se soumettre à un dépistage régulier en vue d'une détection précoce et d'une intervention thérapeutique.

Je suis le pharmacien Wang, qui s'efforce d'expliquer les connaissances complexes et difficiles des maladies avec des mots simples pour vous aider à gérer votre corps. Vos éloges sont ma plus grande motivation ! Par ailleurs, si des membres de votre famille ont également des problèmes liés à cette maladie, n'hésitez pas à leur transmettre cet article !
Je répondrai volontiers à cette question !
Les "nodules pulmonaires" détectés lors d'un examen physique peuvent-ils réellement se transformer en cancer du poumon ?
On peut dire que ce problème dérange beaucoup de gens, il y a beaucoup de gens qui depuis la découverte de leurs poumons ont développé un nodule, du thé et du riz, toute la journée pensant à aller à la chirurgie pour le couper, les résultats de tout, a trouvé que c'est aussi une lésion inflammatoire ou un nodule rassis, il y a longtemps, juste avant que le bien-être de l'unité n'est pas si bon, ne leur a pas fourni les avantages de l'examen médical annuel !
Avec cette question, j'espère donner à ceux qui trouvent des nodules dans les poumons dans leur corps un avertissement que nous ne recommandons certainement pas l'ablation chirurgicale des nodules pulmonaires en premier lieu.En particulier, la découverte initiale par tomodensitométrie d'un nodule soudain dans les poumons ne constitue pas une base de comparaison, et l'accent clinique est davantage mis sur une comparaison avant-après pour déterminer si la découverte initiale d'un nodule pulmonaire est susceptible d'être maligne ou non.C'est comme lorsque vous rencontrez votre petite amie pour la première fois, vous ne savez pas si elle a pris du poids ou si elle en a perdu, et sauter aveuglément aux conclusions à son sujet à ce moment-là est sans fondement et sujet à de mauvaises interprétations ! Par conséquent, lors du premier examen physique ayant révélé la présence de nodules pulmonaires, nous insistons sur le fait qu'il ne faut pas paniquer, prêter attention aux examens réguliers, ne pas se précipiter pour pratiquer une intervention chirurgicale, car on ne sait tout simplement pas combien de temps les nodules vont mal, ils peuvent exister depuis longtemps, ou il peut s'agir simplement d'un symptôme d'inflammation, anti-inflammatoire, après avoir disparu.
la raison pour laquellePour déterminer s'il s'agit d'un cancer du poumon, il faut non seulement examiner la tomodensitométrie thoracique, mais aussi combiner l'observation régulière des modifications des nodules, des marqueurs tumoraux, des anticorps liés au cancer du poumon et du séquençage des gènes, ce qui constitue une série de résultats permettant d'établir un diagnostic plus précis.De nombreux patients soupçonnés de présenter des modifications malignes dans les nodules pulmonaires qui ont subi une résection constatent que près de la moitié d'entre eux ne sont pas atteints d'un cancer du poumon à un stade précoce !
On peut dire que 80 % des petits nodules pulmonaires sont bénins. Bien entendu, la malignité doit être fortement suspectée en cas d'augmentation rapide de la taille à court terme et de nodules à bavures. Pour les nodules translucides en verre dépoli, si leur taille est inférieure à 8 mm, ils peuvent être observés et une augmentation de taille à court terme doit être traitée. En effet, il peut s'agir d'une lésion précancéreuse.
Par ailleurs, l'hôpital de cancérologie de Jiangsu organise tous les mardis après-midi une clinique spécialisée dans les nodules pulmonaires. Des spécialistes de la chirurgie thoracique, de la radiothérapie, de l'imagerie et de la chimiothérapie s'y réunissent et devraient être en mesure d'offrir aux patients atteints de nodules la meilleure option possible.
Bienvenue à l'hôpital provincial de cancérologie de Jiangsu Li Feng. Vous pouvez discuter en privé.
Ces questions et réponses proviennent des utilisateurs du site, elles ne représentent pas la position du site, s'il y a une infraction, veuillez contacter l'administrateur pour la supprimer.