cancer du poumon
Quel est le problème avec le cancer du poumon ?
Quel est le problème avec le cancer du poumon ?
2025-02-14 02:56 142 vues 10 réponses
À quel moment le cancer du poumon provoque-t-il un enrouement de la gorge ?
À quel moment le cancer du poumon provoque-t-il un enrouement de la gorge ?
2025-02-14 01:51 42 vues 10 réponses
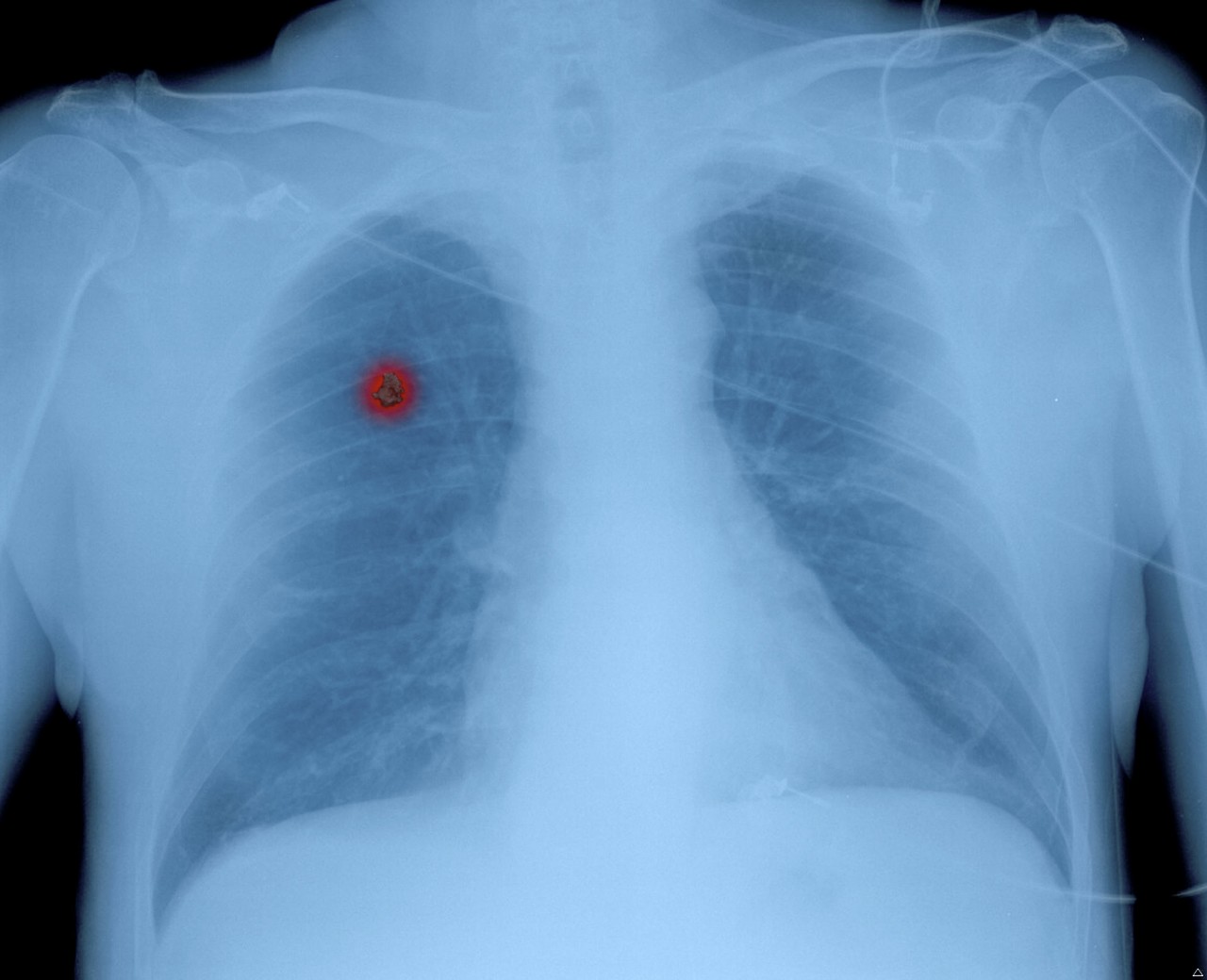
Un "nodule pulmonaire" découvert lors d'un examen physique peut-il réellement se transformer en cancer du poumon ?
Un "nodule pulmonaire" découvert lors d'un examen physique peut-il réellement se transformer en cancer du poumon ?
2025-02-14 01:43 44 vues 10 réponses
A quel stade du cancer du poumon la toux de sang se situe-t-elle et à quoi dois-je faire attention ?
A quel stade du cancer du poumon la toux de sang se situe-t-elle et à quoi dois-je faire attention ?
2025-02-14 01:35 44 vues 8 réponses
Le tabagisme est-il le "principal responsable" du cancer du poumon ?
Le tabagisme est-il le "principal responsable" du cancer du poumon ?
2025-02-14 01:34 48 vues 10 réponses
Un cancer du poumon à un stade avancé peut-il être une bonne chose même s'il ne provoque pas de toux ou de respiration sifflante ?
Un cancer du poumon à un stade avancé peut-il être une bonne chose même s'il ne provoque pas de toux ou de respiration sifflante ?
2025-02-14 01:29 41 vues 7 réponses
Est-il vrai que 65 % des cancers du poumon à un stade précoce réapparaissent après une intervention chirurgicale ?
Est-il vrai que 65 % des cancers du poumon à un stade précoce réapparaissent après une intervention chirurgicale ?
2025-02-14 01:25 44 vues 10 réponses
Quelle est la substance noire que le cancer du poumon finit par rejeter et combien de jours puis-je survivre ?
Quelle est la substance noire que le cancer du poumon finit par rejeter et combien de jours puis-je survivre ?
2025-02-14 01:19 46 vues 10 réponses
Quelle est la substance noire que le cancer du poumon finit par rejeter et combien de jours puis-je survivre ?
Quelle est la substance noire que le cancer du poumon finit par rejeter et combien de jours puis-je survivre ?
2025-02-14 00:41 43 vues 10 réponses
Est-il vrai que 65 % des cancers du poumon à un stade précoce réapparaissent après une intervention chirurgicale ?
Est-il vrai que 65 % des cancers du poumon à un stade précoce réapparaissent après une intervention chirurgicale ?
2025-02-14 00:37 55 vues 10 réponses
Combien de temps faut-il pour se remettre d'une opération du cancer du poumon ?
Combien de temps faut-il pour se remettre d'une opération du cancer du poumon ?
2025-02-14 00:37 35 vues 4 réponses
Une femme de 28 ans atteinte d'un cancer du poumon a dépensé 100 000 dollars en médicaments ciblés pour la contrôler pendant trois ans ; cela vaut-il toujours la peine pour les patients atteints de tumeurs avancées de prendre des médicaments coûteux ?
Une femme de 28 ans atteinte d'un cancer du poumon a dépensé 100 000 dollars en médicaments ciblés pour la contrôler pendant trois ans ; cela vaut-il toujours la peine pour les patients atteints de tumeurs avancées de prendre des médicaments coûteux ?
2025-02-14 00:15 46 vues 10 réponses
Ma mère est atteinte d'un cancer du poumon avancé avec des métastases osseuses. Je veux m'absenter de l'école pour m'occuper d'elle, mais elle refuse.
Ma mère est atteinte d'un cancer du poumon avancé avec des métastases osseuses. Je veux m'absenter de l'école pour m'occuper d'elle, mais elle refuse. 
2025-02-13 23:25 29 vues 1 réponses
Le patient ne tousse jamais, ne retient jamais sa respiration, ne ressent aucune gêne évidente, pourquoi un cancer du poumon avancé a-t-il été détecté ?
Le patient ne tousse jamais, ne retient jamais sa respiration, ne ressent aucune gêne évidente, pourquoi un cancer du poumon avancé a-t-il été détecté ?
2025-02-13 23:02 59 vues 10 réponses
Une femme de 28 ans atteinte d'un cancer du poumon a dépensé 100 000 dollars en médicaments ciblés pour la contrôler pendant trois ans ; cela vaut-il toujours la peine pour les patients atteints de tumeurs avancées de prendre des médicaments coûteux ?
Une femme de 28 ans atteinte d'un cancer du poumon a dépensé 100 000 dollars en médicaments ciblés pour la contrôler pendant trois ans ; cela vaut-il toujours la peine pour les patients atteints de tumeurs avancées de prendre des médicaments coûteux ?
2025-02-13 22:12 46 vues 10 réponses
Quelle est la substance noire que le cancer du poumon finit par rejeter et combien de jours puis-je survivre ?
Quelle est la substance noire que le cancer du poumon finit par rejeter et combien de jours puis-je survivre ?
2025-02-13 22:12 49 vues 10 réponses
Le tabagisme présente-t-il un risque élevé de cancer du poumon ?
Le tabagisme présente-t-il un risque élevé de cancer du poumon ?
2025-02-13 21:34 51 vues 10 réponses
Quels sont les signes corporels qui indiquent l'arrivée d'un cancer du poumon et la nécessité d'arrêter de fumer ?
Quels sont les signes corporels qui indiquent l'arrivée d'un cancer du poumon et la nécessité d'arrêter de fumer ? 
2025-02-13 21:30 48 vues 10 réponses
Ma mère est atteinte d'un cancer du poumon en phase terminale. J'ai épuisé toutes les possibilités de traitement, mais je ne peux toujours pas la sauver, et je ne peux que la regarder souffrir, est-ce que quelqu'un peut comprendre ce que je ressens ? Que
Ma mère est atteinte d'un cancer du poumon en phase terminale. J'ai épuisé toutes les possibilités de traitement, mais je ne peux toujours pas la sauver, et je ne peux que la regarder souffrir, est-ce que quelqu'un peut comprendre ce que je ressens ? Que puis-je faire ?
2025-02-13 21:01 84 vues 10 réponses
Quels sont les premiers signes du cancer du poumon dans l'organisme ?
Quels sont les premiers signes du cancer du poumon dans l'organisme ? 
2025-02-12 21:34 60 vues 10 réponses
Quel est le problème avec le cancer du poumon ?
Quel est le problème avec le cancer du poumon ?
2025-02-14 02:56 142 vues 10 réponses
À quel moment le cancer du poumon provoque-t-il un enrouement de la gorge ?
À quel moment le cancer du poumon provoque-t-il un enrouement de la gorge ?
2025-02-14 01:51 42 vues 10 réponses
Un "nodule pulmonaire" découvert lors d'un examen physique peut-il réellement se transformer en cancer du poumon ?
Un "nodule pulmonaire" découvert lors d'un examen physique peut-il réellement se transformer en cancer du poumon ?
2025-02-14 01:43 44 vues 10 réponses
A quel stade du cancer du poumon la toux de sang se situe-t-elle et à quoi dois-je faire attention ?
A quel stade du cancer du poumon la toux de sang se situe-t-elle et à quoi dois-je faire attention ?
2025-02-14 01:35 44 vues 8 réponses
Le tabagisme est-il le "principal responsable" du cancer du poumon ?
Le tabagisme est-il le "principal responsable" du cancer du poumon ?
2025-02-14 01:34 48 vues 10 réponses
Un cancer du poumon à un stade avancé peut-il être une bonne chose même s'il ne provoque pas de toux ou de respiration sifflante ?
Un cancer du poumon à un stade avancé peut-il être une bonne chose même s'il ne provoque pas de toux ou de respiration sifflante ?
2025-02-14 01:29 41 vues 7 réponses
Est-il vrai que 65 % des cancers du poumon à un stade précoce réapparaissent après une intervention chirurgicale ?
Est-il vrai que 65 % des cancers du poumon à un stade précoce réapparaissent après une intervention chirurgicale ?
2025-02-14 01:25 44 vues 10 réponses
Quelle est la substance noire que le cancer du poumon finit par rejeter et combien de jours puis-je survivre ?
Quelle est la substance noire que le cancer du poumon finit par rejeter et combien de jours puis-je survivre ?
2025-02-14 01:19 46 vues 10 réponses
Quelle est la substance noire que le cancer du poumon finit par rejeter et combien de jours puis-je survivre ?
Quelle est la substance noire que le cancer du poumon finit par rejeter et combien de jours puis-je survivre ?
2025-02-14 00:41 43 vues 10 réponses
Est-il vrai que 65 % des cancers du poumon à un stade précoce réapparaissent après une intervention chirurgicale ?
Est-il vrai que 65 % des cancers du poumon à un stade précoce réapparaissent après une intervention chirurgicale ?
2025-02-14 00:37 55 vues 10 réponses
Combien de temps faut-il pour se remettre d'une opération du cancer du poumon ?
Combien de temps faut-il pour se remettre d'une opération du cancer du poumon ?
2025-02-14 00:37 35 vues 4 réponses
Une femme de 28 ans atteinte d'un cancer du poumon a dépensé 100 000 dollars en médicaments ciblés pour la contrôler pendant trois ans ; cela vaut-il toujours la peine pour les patients atteints de tumeurs avancées de prendre des médicaments coûteux ?
Une femme de 28 ans atteinte d'un cancer du poumon a dépensé 100 000 dollars en médicaments ciblés pour la contrôler pendant trois ans ; cela vaut-il toujours la peine pour les patients atteints de tumeurs avancées de prendre des médicaments coûteux ?
2025-02-14 00:15 46 vues 10 réponses
Ma mère est atteinte d'un cancer du poumon avancé avec des métastases osseuses. Je veux m'absenter de l'école pour m'occuper d'elle, mais elle refuse.
Ma mère est atteinte d'un cancer du poumon avancé avec des métastases osseuses. Je veux m'absenter de l'école pour m'occuper d'elle, mais elle refuse. 
2025-02-13 23:25 29 vues 1 réponses
Le patient ne tousse jamais, ne retient jamais sa respiration, ne ressent aucune gêne évidente, pourquoi un cancer du poumon avancé a-t-il été détecté ?
Le patient ne tousse jamais, ne retient jamais sa respiration, ne ressent aucune gêne évidente, pourquoi un cancer du poumon avancé a-t-il été détecté ?
2025-02-13 23:02 59 vues 10 réponses
Une femme de 28 ans atteinte d'un cancer du poumon a dépensé 100 000 dollars en médicaments ciblés pour la contrôler pendant trois ans ; cela vaut-il toujours la peine pour les patients atteints de tumeurs avancées de prendre des médicaments coûteux ?
Une femme de 28 ans atteinte d'un cancer du poumon a dépensé 100 000 dollars en médicaments ciblés pour la contrôler pendant trois ans ; cela vaut-il toujours la peine pour les patients atteints de tumeurs avancées de prendre des médicaments coûteux ?
2025-02-13 22:12 46 vues 10 réponses
Quelle est la substance noire que le cancer du poumon finit par rejeter et combien de jours puis-je survivre ?
Quelle est la substance noire que le cancer du poumon finit par rejeter et combien de jours puis-je survivre ?
2025-02-13 22:12 49 vues 10 réponses
Le tabagisme présente-t-il un risque élevé de cancer du poumon ?
Le tabagisme présente-t-il un risque élevé de cancer du poumon ?
2025-02-13 21:34 51 vues 10 réponses
Quels sont les signes corporels qui indiquent l'arrivée d'un cancer du poumon et la nécessité d'arrêter de fumer ?
Quels sont les signes corporels qui indiquent l'arrivée d'un cancer du poumon et la nécessité d'arrêter de fumer ? 
2025-02-13 21:30 48 vues 10 réponses
Ma mère est atteinte d'un cancer du poumon en phase terminale. J'ai épuisé toutes les possibilités de traitement, mais je ne peux toujours pas la sauver, et je ne peux que la regarder souffrir, est-ce que quelqu'un peut comprendre ce que je ressens ? Que
Ma mère est atteinte d'un cancer du poumon en phase terminale. J'ai épuisé toutes les possibilités de traitement, mais je ne peux toujours pas la sauver, et je ne peux que la regarder souffrir, est-ce que quelqu'un peut comprendre ce que je ressens ? Que puis-je faire ?
2025-02-13 21:01 84 vues 10 réponses
Quels sont les premiers signes du cancer du poumon dans l'organisme ?
Quels sont les premiers signes du cancer du poumon dans l'organisme ? 
2025-02-12 21:34 60 vues 10 réponses