À quel moment le cancer du poumon provoque-t-il un enrouement de la gorge ?
À quel moment le cancer du poumon provoque-t-il un enrouement de la gorge ?
Dans de nombreux cas, l'enrouement est un symptôme majeur dans la détection du cancer du poumon. Selon des statistiques pertinentes, environ 20 à 30 % des patients atteints de cancer du poumon peuvent développer un enrouement à différents stades de la maladie, y compris au stade précoce, et parmi eux, le cancer central du poumon peut atteindre 40 %.
Cette question me rappelle un patient qui s'est présenté à l'hôpital il y a quelques jours pour un enrouement. Ce patient souffrait auparavant d'une bronchopneumopathie chronique obstructive (BPCO), d'une toux récurrente et d'une respiration sifflante pendant une longue période, et était traité par intermittence avec des médicaments. Cependant, cette fois-ci, il est venu à l'hôpital principalement à cause d'un enrouement qui durait depuis plus d'un mois, pensant que ses cordes vocales étaient enflammées à cause d'un rhume, et il n'a pas vu d'amélioration après le traitement. Après examen, on lui a finalement diagnostiqué un cancer du poumon métastatique.

Alors pourquoi dit-on que le cancer du poumon peut provoquer l'enrouement ?
L'enrouement est principalement lié à deux aspects : la lésion de la corde vocale et la compression du nerf laryngé récurrent, qui est le nerf qui innerve la phonation. Tant que les tissus du cancer du poumon ou les tissus métastatiques compriment ces deux endroits, l'enrouement se produit.
Lorsque le cancer du poumon apparaît, il métastase rarement dans la zone d'attente et il est presque impossible qu'il métastase dans les cordes vocales et provoque des lésions des cordes vocales. Si le cancer du poumon a des métastases ganglionnaires, s'il y a des métastases ganglionnaires relativement importantes dans le cou, il y a en principe une possibilité de compression directe des cordes vocales, mais il est très rare que les cordes vocales soient directement comprimées.

Et la grande majorité des enrouements provoqués par le cancer du poumon sont dus à la compression du nerf laryngé récurrent.。
Commençons par voir à quoi ressemble le nerf laryngé récurrent, qui innerve les cordes vocales.
Le nerf laryngé récurrent est le principal nerf qui innerve les cordes vocales. Il est divisé en deux parties, la gauche et la droite, et le nerf le plus important qui semble être comprimé est le nerf laryngé récurrent gauche.
En effet, le nerf laryngé récurrent gauche est un être magique, il n'aime pas prendre de raccourcis, il aime serpenter, et lorsqu'il émane du nerf vague, il descend dans la cavité thoracique puis contourne la crosse de l'aorte avant de remonter le long du cou pour innerver les cordes vocales.

Par conséquent, selon le parcours du nerf laryngé récurrent, une compression directe du nerf laryngé récurrent par la tumeur ou une compression du nerf laryngé récurrent par des ganglions lymphatiques métastatiques peut se produire.
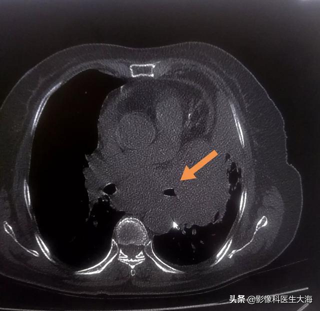
1) Si la lésion du cancer du poumon se trouve dans la partie supérieure de la cavité thoracique gauche, elle peut appuyer directement sur le nerf laryngé récurrent gauche et provoquer une paralysie de la corde vocale gauche.
2、Si le cancer du poumon a des métastases et que les ganglions lymphatiques sont hypertrophiés, le nerf laryngé récurrent sera également comprimé.

Par conséquent, quelle que soit la situation, si le cancer du poumon et les ganglions lymphatiques métastatiques, etc. semblent comprimer le nerf laryngé récurrent, un enrouement se produira. Ce type d'enrouement survient souvent de manière soudaine et progresse rapidement, et les traitements anti-inflammatoires conventionnels et autres sont inefficaces.
Quels sont les symptômes d'un cancer du poumon comprimant le nerf laryngé récurrent en dehors de l'enrouement ?
1, la perte de la voix survient en cas de compression bilatérale.
Et dans des cas exceptionnels, lorsque les deux nerfs laryngés récurrents sont comprimés, il peut en résulter une perte de la voix.
2, les mucosités ne sont pas faciles à expectorer.

Lorsque le nerf laryngé récurrent est comprimé, les expectorations ne sont pas faciles à expectorer lors de la toux. L'expectoration est rare en cas de cancer du poumon, mais si celui-ci est associé à une infection, l'expectoration peut se produire.
3, l'étouffement par l'eau potable se produit.
Le nerf laryngé récurrent, un nerf qui innerve la voix, dirige la fermeture des cordes vocales. Si la voix n'est pas fermée correctement, un étouffement peut se produire lorsque l'on boit de l'eau, en raison de l'irritation de la trachée par le liquide.
4. aggraver les symptômes de dyspnée chez les patients atteints de cancer du poumon。
La compression du nerf laryngé récurrent peut entraîner un trouble de la fermeture des cordes vocales, ce qui aggrave parfois les symptômes de la dyspnée en cas de cancer du poumon.

Par conséquent, si le nerf laryngé récurrent d'un patient atteint d'un cancer du poumon est comprimé par la tumeur ou les ganglions lymphatiques métastatiques, il en résulte non seulement un enrouement, mais aussi d'autres symptômes.
Quant aux symptômes provoqués par le cancer du poumon comprimant le nerf laryngé récurrent, nous les négligeons souvent et ne considérons pas facilement le cancer du poumon comme la cause de la maladie. Par conséquent, si les symptômes susmentionnés apparaissent, en particulier s'ils persistent pendant une longue période et qu'aucun autre facteur déclenchant évident ne peut être trouvé, nous devrions envisager la possibilité d'un cancer du poumon et nous devons activement rechercher un examen médical.
En cas d'enrouement, surtout s'il est associé aux symptômes suivants, il convient d'envisager l'apparition d'un cancer du poumon.

En fait, il faut dire qu'au stade précoce du cancer du poumon, il n'y a pas de symptômes évidents, alors que si le cancer du poumon est à un stade moyen ou avancé, en particulier si le cancer du poumon a des métastases, il peut y avoir une gêne évidente. Par conséquent, si l'enrouement est associé à d'autres maladies pulmonaires, il est très probable que le cancer du poumon ait déjà atteint un stade moyen ou avancé. Il est donc plus que nécessaire de consulter un médecin à temps.
Tout d'abord, une toux sèche irritante combinée.
La toux sèche provoquée par le cancer du poumon est l'un des symptômes les plus courants, en particulier lorsque l'effet des traitements anti-inflammatoires et antitussifs est faible, il est alors nécessaire d'envisager la survenue d'un cancer du poumon.
Deuxièmement, hémoptysie combinée.
Si l'enrouement est associé à une hémoptysie, en particulier une hémoptysie répétée sur une longue période, il est également nécessaire d'envisager la possibilité d'un cancer du poumon et de consulter rapidement un médecin.

Troisièmement, une douleur thoracique combinée.
La douleur thoracique est un autre symptôme courant du cancer du poumon, qui est souvent aggravé par la toux. Dans ce cas, le cancer du poumon atteint souvent un stade moyen ou avancé, en particulier lorsque l'enrouement est associé à une douleur thoracique, qui doit également être considérée comme un possible cancer du poumon.
Quatrièmement, la possibilité d'un cancer du poumon doit également être envisagée lorsqu'elle est associée à une respiration sifflante, une dyspnée, une fatigue, une faiblesse, une incapacité à s'alimenter, etc.
Par conséquent, en cas d'enrouement et d'association d'autres symptômes de cancer du poumon, il est d'autant plus nécessaire de procéder à des examens actifs pour exclure le cancer du poumon.

En résumé, en cas de cancer du poumon, si le nerf laryngé récurrent est comprimé, l'enrouement sera évident et d'autres manifestations se produiront en même temps. Si le cancer du poumon est associé à une toux sèche, une hémoptysie, etc., la suspicion de cancer du poumon est forte et il convient de consulter un médecin à temps.
Je suis @GeneralPracticeMedChat, merci de votre intérêt et de votre soutien.
Un cancer du poumon accompagné d'une voix rauque indique que la situation n'est pas bonne, car ce symptôme suggère que la tumeur maligne dans les poumons peut avoir envahi et affecté le nerf laryngé récurrent.
Le cancer du poumon est une tumeur maligne provenant de l'épithélium des bronches, de l'épithélium glandulaire ou de l'épithélium alvéolaire, et c'est aussi la tumeur maligne la plus fréquente dans les poumons. Lorsque le cancer du poumon atteint un certain stade, les symptômes cliniques correspondants peuvent apparaître, principalement l'hémoptysie, la toux irritante, la douleur thoracique et l'enrouement.
Une voix étouffée est un symptôme clinique très courant, quelle est la différence lorsqu'elle est causée par un cancer du poumon ?
Le rhume, la laryngite et la bronchite aiguë peuvent provoquer un enrouement de la voix, mais ce type d'enrouement peut être guéri dans un certain délai ou après une période de traitement.
En revanche, l'enrouement causé par le cancer du poumon est différent, et la pathologie qui conduit à l'enrouement est que la propagation et les métastases du cancer entraînent l'invasion et la compression du nerf innervant les cordes vocales, c'est-à-dire le nerf laryngé récurrent.
Le nerf laryngé récurrent est le principal nerf moteur du muscle laryngé et se divise en nerfs laryngés récurrents droit et gauche. Si un côté est comprimé, on observe souvent un enrouement, et si les deux côtés sont comprimés, cela peut même entraîner une perte de la voix, des difficultés respiratoires et une sensation d'étouffement. Ce type d'enrouement survient soudainement et évolue rapidement jusqu'à la perte de la voix.
Si l'enrouement des patients atteints de cancer du poumon est causé par des rhumes, des inflammations, etc., il n'y a pas lieu de s'inquiéter outre mesure.
En général, l'enrouement peut être guéri spontanément au bout d'un certain temps ou après une période de traitement. Si l'enrouement va et vient, qu'il est récurrent et qu'il reste difficile à guérir après un traitement anti-inflammatoire, on considère généralement qu'il est dû à l'effet inhibiteur du cancer du poumon avancé sur le nerf laryngé récurrent, et il est alors suggéré que le patient subisse un scanner ou d'autres examens radiologiques afin de déterminer la taille de la tumeur ainsi que la profondeur de l'infiltration, et de clarifier s'il y a prolifération ou métastase.
Une gorge rauque est une voix rauque.
Et à quel moment le cancer du poumon provoque-t-il un enrouement ?
La masse du cancer du poumon appuie directement sur le nerf laryngé récurrent ou le cancer du poumon métastase aux ganglions lymphatiques médiastinaux pour appuyer sur le nerf laryngé récurrent, qui appuie directement ou métastatiquement sur le nerf laryngé récurrent, provoquant la paralysie des cordes vocales et l'enrouement de la voix.

Il s'agit d'une manifestation particulière lorsque le cancer du poumon à un stade avancé comprime ou envahit les organes et tissus voisins ou se traduit par des métastases à distance. Outre l'enrouement, les manifestations particulières suivantes peuvent également se produire.
① Compression ou envahissement du nerf phrénique, entraînant une paralysie du diaphragme du même côté ;
② Invasion de la plèvre : provoque un épanchement pleural sanglant, entraînant un essoufflement et parfois des douleurs thoraciques persistantes et intenses ;

La masse cancéreuse du poumon envahit le médiastin et comprime l'œsophage, provoquant des difficultés de déglutition ; en outre, elle envahit le médiastin et comprime la première côte, les nerfs du plexus brachial et les nerfs sympathiques du cou situés dans l'ouverture thoracique supérieure pour produire une douleur thoracique intense, provoquant un œdème des membres supérieurs, des troubles du mouvement des membres supérieurs et des varices veineuses des membres supérieurs, ce qui entraîne les manifestations suivantes : paupières tombantes, rétrécissement des pupilles, dépression vers l'intérieur des globes oculaires du même côté, ainsi que l'absence de transpiration sur le visage.
④ Compression de la veine cave supérieure : provoque un œdème des tissus sous-cutanés du visage, du cou et de la paroi thoracique supérieure et entraîne une exposition évidente des veines thoraciques supérieures et des varices veineuses des membres supérieurs.

(Photos du réseau, pas à des fins commerciales, en cas de violation, veuillez contacter pour supprimer, ce contenu est à titre de référence seulement, pas comme une base pour le diagnostic et la médication, le corps, si vous vous sentez mal, consultez un médecin en temps opportun).
Le cancer du poumon est une tumeur maligne qui prend naissance dans les poumons, c'est-à-dire dans les bronches ou les alvéoles, également connue sous le nom de carcinome broncho-alvéolaire primaire.

Il existe deux types de tumeurs pulmonaires primaires : les tumeurs bénignes des poumons, qui ont un meilleur pronostic et peuvent être guéries par la chirurgie ou un traitement conservateur et ne peuvent pas être qualifiées de cancer du poumon. La première est une tumeur maligne des poumons. Ce type de tumeur peut être une autre tumeur maligne apparaissant dans les poumons, comme un lymphome, ou une tumeur métastatique apparaissant dans les poumons, comme un cancer du sein, un cancer gastrique, un cancer du foie, etc.
De nombreuses personnes ont une première idée des symptômes courants du cancer du poumon lorsqu'elles remarquent que leur corps développe une toux, en particulier une toux sèche, avec peu ou pas d'expectoration, le plus souvent après un effort.Le cancer du poumon peut également être détecté en cas d'hémoptysie, d'expectorations sanglantes, de douleurs thoraciques, de fièvre, de douleurs articulaires, de changements cutanés et de troubles endocriniens.

Ces symptômes sont-ils ceux d'un cancer du poumon au stade précoce ou semblent-ils correspondre à un cancer du poumon au stade avancé ? A quel moment la gorge devient-elle muette en cas de cancer du poumon ?
En fait, lorsque le cancer du poumon atteint un stade avancé, la tumeur envahit le côté gauche du médiastin, ce qui comprime le nerf laryngé qui contrôle les cordes vocales, d'où l'apparition de l'enrouement. L'enrouement est donc le symptôme le plus courant chez les patients atteints d'un cancer du poumon à un stade avancé. L'enrouement à un stade avancé du cancer du poumon ne s'accompagne pas d'autres symptômes tels que le mal de gorge et l'infection des voies respiratoires supérieures, et doit donc être distingué d'autres maladies.
La douleur thoracique apparaît principalement aux stades moyen et avancé du cancer du poumon, mais si la tumeur cancéreuse est située près de la plèvre, la douleur thoracique peut apparaître plus tôt et se manifester sous la forme d'une douleur cachée irrégulière ou d'une douleur sourde. Lorsque la tumeur cancéreuse envahit directement la plèvre, une douleur thoracique aiguë peut apparaître, aggravée par la toux ou la respiration.

En outre, la propagation régionale du cancer du poumon se produit à un stade avancé, et les patients souffriront d'essoufflement à des degrés divers. Le cancer du poumon bloque les ganglions lymphatiques, ce qui entraîne une accumulation de liquide tissulaire dans le péricarde (épanchement péricardique) ou dans la cavité thoracique (épanchement pleural). L'épanchement péricardique et l'épanchement pleural peuvent tous deux entraîner un essoufflement.
Rappel : il existe d'autres symptômes du cancer du poumon à un stade avancé, tous les patients atteints de ce type de cancer ne présentent pas nécessairement ces symptômes, et certains d'entre eux ne peuvent être que mis en évidence. Les patients ne peuvent pas identifier le cancer du poumon par eux-mêmes, mais lorsqu'ils constatent certains de ces symptômes, ils doivent être vigilants et se rendre à l'hôpital pour un examen à temps !
La gorge devient muette, ce qui indique que le cancer du poumon est à un stade avancé, la situation n'est pas claire, il faut y prêter suffisamment attention, sinon le suivi est très facile à mettre en place à la fin de la vie, donc aujourd'hui nous parlons des personnes normales avec la gorge muette, et avec le cancer du poumon la voix devient muette pathologie et l'essence de la différence entre。

Premièrement : Quelle est la cause de l'enrouement de la gorge d'une personne moyenne ?
En règle générale, les personnes normales ont une voix rauque, mais uniquement en raison d'une infection des voies respiratoires supérieures (fièvre, rougeur, gonflement, toux, etc.), qui provoque une congestion aiguë et un œdème des membranes muqueuses des cordes vocales, ce qui entraîne un enrouement de la voix.
Il y en a aussi pour des raisons professionnelles, comme les chanteurs professionnels, les boîtes de nuit et KTV, qui utilisent souvent la voix de la foule pour parler fort, à cause d'une longue période de mauvaises habitudes, entraînant une force excessive des plis vocaux, causant l'hyperplasie de la muqueuse des plis vocaux, ce qui provoque une hypertrophie chronique du larynx.
L'expérience clinique permet de résumer et d'analyser que, d'une manière générale, la grippe ou les rhumes viraux aux stades moyen et avancé, en raison d'un grand nombre de mucosités humaines, notamment des fosses nasales à la gorge, s'accumulant dans les voies respiratoires et la gorge, provoquent également un enrouement de la voix du corps humain, une situation grave se produisant lorsque la parole montre un son de "trompette". très rauque et épais, ce qui est souvent appelé un changement de voix.

L'autre catégorie est celle des tumeurs, lorsque la tumeur elle-même se produit dans le larynx, comme le cancer de la thyroïde, le cancer du larynx, le papillome, la leucoplasie des cordes vocales, qui provoquent directement la fermeture de la porte des cordes vocales dans le corps, et donc l'état actuel de l'enrouement de la voix. En fin de compte, ce type de tumeur fait que le patient finit par perdre sa voix.
Une autre est due à des tumeurs dans d'autres parties du corps, qui se développent à un stade ultérieur et métastasent dans d'autres parties du corps, comme le cancer du poumon, car les poumons sont censés être interconnectés avec le système respiratoire du corps.
Par conséquent, lorsque la tumeur se métastase des poumons au larynx, les tissus et les organes autour du larynx sont comprimés à midi, ce qui finit par affecter la faiblesse des nerfs récurrents du larynx, et les cordes vocales se détériorent, et les cordes vocales sont immobilisées, ce qui finit par entraîner un enrouement de la voix.
Deuxièmement : Pourquoi le cancer du poumon provoque-t-il un enrouement de la gorge à un stade plus avancé ?
Nous pouvons être sûrs qu'une fois qu'un patient a été diagnostiqué avec un cancer du poumon, si sa voix devient rauque, on peut dire que le cancer du poumon est à un stade avancé. En fait, on peut dire que la tumeur s'est complètement répandue dans tout le corps du patient.
Il est certain que la raison pour laquelle le cancer du poumon peut rendre la voix rauque est que la tumeur et les métastases des ganglions lymphatiques médiastinaux, qui empiètent directement sur les tissus des organes de la gorge, provoquent une paralysie des cordes vocales. À l'heure actuelle, si le patient est normal, si nous voulons savoir pourquoi sa voix devient rauque, nous pouvons nous rendre au service d'oto-rhino-laryngologie de l'hôpital.

Faites une laryngoscopie, qu'elle soit causée par une pharyngite, comme une partie de la congestion, ou un œdème, de bonnes cordes vocales, ou une fermeture vocale, et si elle est causée par une tumeur, alors vous pouvez être sûr que les cordes vocales du patient sont situées des deux côtés, ce qui entraîne un dysfonctionnement des plis vocaux.
Nous pouvons constater que pour les patients atteints de cancer du poumon, d'une part, on peut dire que la tumeur détruit les tissus nerveux environnants du larynx, ce qui se manifeste dans la physiologie, amenant le corps humain à boire très peu d'eau, et une fois que le cancer du poumon est à un stade moyen ou avancé, l'enrouement de la voix se produit, accompagné d'une respiration sifflante, d'un essoufflement, d'une respiration sifflante, et de vagues douleurs dans la poitrine et le dos commencent à se manifester.
En même temps que votre toux, apparaîtra également le phénomène de la toux avec du sang, des crachats avec du sang, le corps humain est devenu très mince, la cavité thoracique aura également une grande quantité de liquide accumulé, les patients graves, montrera, les membres du corps humain gonflés, l'urine petite et fine, les symptômes biologiques tels que l'absence d'urine, il s'agit d'un phénomène très grave.
Deuxièmement, le cancer du poumon est généralement une tumeur maligne primaire des poumons, qui se produit principalement dans le tissu épithélial de la muqueuse bronchique, également appelé cancer des bronches, de sorte qu'il est généralement très difficile de le guérir complètement ou de l'améliorer s'il atteint un stade avancé.
Et les organes et pathologies du corps provoquent directement la rupture des cordes vocales. C'est pourquoi elle est très difficile. De plus, après une chimiothérapie ou une intervention chirurgicale, la voix des patients atteints de cancer du poumon sera encore plus rauque, car la tumeur du corps humain est complètement détruite, et la résistance et l'immunité sont complètement perdues.

Troisièmement : Que faut-il manger si la voix devient rauque à un stade avancé du cancer du poumon ?
D'une manière générale, si le cancer du poumon atteint un stade avancé, en plus du régime alimentaire et du repos, il doit être bien traité. D'une manière générale, le traitement conservateur est mis en œuvre principalement pour réduire la douleur des patients et améliorer la qualité de la survie des patients.
Par exemple, nous pouvons manger plus de tomates, de riz dilué, de luzerne, d'agrumes, de fraises cassées et d'autres aliments riches en vitamines et en oligo-éléments, ce qui permet de maintenir l'équilibre de l'organisme et de renforcer plus ou moins le système immunitaire.
En outre, le patient peut également manger des dattes rouges, de la gomme et d'autres aliments toniques pour le sang, des légumes contenant de la vitamine C et de la vitamine A, manger plus d'ananas, car l'ananas contient de la protéase qui peut améliorer les effets secondaires des médicaments chimiothérapeutiques.
En outre, les patients doivent éviter de manger des aliments froids, des fruits de mer, des aliments frits, des aliments marinés.

Pour l'enrouement de la gorge causé par le cancer du poumon. En termes de traitement, nous devons suivre un traitement médicamenteux ciblé et nous pouvons également combiner certaines thérapies de médecine chinoise pour maintenir le corps humain du patient à l'aise et réduire la douleur du patient. En effet, la médecine chinoise peut réguler la fonction immunitaire du corps humain par le biais de médicaments, inhiber l'infiltration et la métastase de la tumeur, induire l'apoptose des cellules cancéreuses ou entraver la formation de néovascularisation de la tumeur.
En outre, l'inversion de la différenciation des cellules tumorales, empêchant ainsi la croissance des cellules cancéreuses, peut renforcer efficacement le système immunitaire du patient et améliorer la maladaptation dans les stades ultérieurs du cancer.

En conclusion, lorsque les patients atteints d'un cancer du poumon atteignent un stade avancé, tous les organes commencent à être envahis par la tumeur, il est alors facile de provoquer diverses complications, des poussées concentrées, par une variété de facteurs pour créer un déséquilibre dans le système immunitaire du corps, et finalement provoquer la mort du corps dans un processus, et l'enrouement des cordes vocales n'est que l'un des symptômes cliniques les plus courants de la réaction.
Je suis docteur en sciences médicales, je diffuse des connaissances médicales, je raconte l'histoire de l'hôpital, je vous invite à cliquer sur l'attention, à aimer et à faire suivre.

Certains patients atteints d'un cancer du poumon présentent soudainement un enrouement et des difficultés de prononciation. De nombreuses personnes pensent qu'il s'agit d'un refroidissement et d'une gorge muette, ou que les cordes vocales ne sont pas en cause, puis se rendent dans un service d'ORL pour effectuer une laryngoscopie. En fait, l'enrouement des patients atteints de cancer du poumon est dû à la compression du nerf laryngé récurrent par la tumeur.

Le cancer central du poumon a une probabilité plus élevée de provoquer un enrouement du larynx, avec un taux d'occurrence de plus de 40 %. Il peut s'agir d'une invasion directe du nerf laryngé récurrent par la tumeur pulmonaire ou d'une compression du nerf laryngé récurrent par les ganglions lymphatiques médiastinaux hypertrophiés et métastatiques. Pourquoi la compression du nerf laryngé provoque-t-elle un enrouement ?
Le nerf laryngé récurrent est divisé en branches antérieure et postérieure des deux côtés du corps humain, la branche antérieure innervant les muscles internes des cordes vocales et la branche postérieure les muscles adducteurs des cordes vocales. Le nerf laryngé récurrent est divisé par le nerf vague et passe dans le sillon trachéo-œsophagien à gauche et à droite, qui peut être paralysé par une légère traction ou un contact direct. Le nerf laryngé récurrent gauche est plus long et plus profond que le droit, il est donc plus susceptible d'être touché. Une lésion unilatérale de la branche entière ou de la branche antérieure du nerf laryngé récurrent provoque un enrouement, qui peut sérieusement affecter le travail et la vie du patient, mais n'affecte pas la respiration et la déglutition. Une lésion des deux côtés du nerf laryngé récurrent se manifeste par une perte de la voix, une dyspnée et, dans les cas les plus graves, une asphyxie.

Que se passe-t-il lorsqu'un patient atteint d'un cancer du poumon développe une gorge étouffée ?
Si l'enrouement d'un patient atteint d'un cancer du poumon s'aggrave progressivement sans aucun signe d'amélioration, il est pratiquement certain qu'il est causé par la tumeur qui comprime ou empiète sur le nerf laryngé récurrent ; un scanner du thorax et une laryngoscopie peuvent alors être effectués pour clarifier l'état de la maladie. Si la laryngoscopie révèle une paralysie des cordes vocales, il est certain que le nerf laryngé récurrent est endommagé. Si le nerf laryngé récurrent est seulement comprimé, il peut être détaché chirurgicalement, mais il n'y a pratiquement aucune chance d'intervention chirurgicale en cas d'invasion du nerf laryngé récurrent causée par une tumeur maligne. L'invasion du nerf laryngé récurrent par un cancer central du poumon ou la compression du nerf laryngé récurrent par des ganglions lymphatiques médiastinaux signifie que la tumeur est avancée.

Les patients atteints d'un cancer du poumon à petites cellules et souffrant d'enrouement, selon le principe du traitement du cancer du poumon à petites cellules au stade extensif, devraient recevoir un traitement complet basé sur la chimiothérapie, les ganglions lymphatiques médiastinaux et les foyers primaires de radiothérapie locale, les médicaments de chimiothérapie préférés étant l'étoposide ou l'irinotécan combinés à des médicaments à base de platine. Les patients dont la situation économique est raisonnable peuvent bénéficier d'une immunothérapie. L'anrotinib et l'apatinib sont également inclus dans les lignes directrices de traitement en tant que médicaments de troisième ligne pour le cancer du poumon à petites cellules.
Pour les patients atteints d'un adénocarcinome pulmonaire, un test génétique sensible est tout d'abord effectué. En cas de mutation génétique sensible, un traitement médicamenteux ciblé est privilégié, mais une radiothérapie locale dans le médiastin est préférée en même temps, afin de réduire autant que possible le symptôme de compression du nerf laryngé causé par la tumeur. Les patients atteints d'adénocarcinome pulmonaire sans mutation génétique sensible doivent être traités par radiothérapie. Le pemetrexed ou le paclitaxel associé au platine peuvent être choisis comme médicaments de chimiothérapie.

Actuellement, l'immunothérapie a été incluse dans les directives de traitement du cancer du poumon et, en raison du taux extrêmement faible de mutation génétique, le cancer du poumon malpighien avancé est traité par radiothérapie et chimiothérapie simultanées, combinées à l'immunothérapie. Les médicaments de chimiothérapie choisis sont la gemcitabine, le paclitaxel ou le docétaxel combinés au platine.
Si le traitement est efficace, l'enrouement de la voix sera légèrement réduit, mais une guérison complète est généralement peu probable. Chez les patients dont le traitement est peu efficace, l'enrouement s'aggrave progressivement et la voix devient faible, voire complètement éteinte, et s'accompagne d'étouffements et de toux lorsqu'ils boivent de l'eau, ainsi que d'autres symptômes.
En tant que chirurgien thoracique, j'ai une certaine expérience de cette question.
Autrefois, les maîtres nous disaient que si l'enrouement apparaissait dans un cancer du poumon ou de l'œsophage, le cancer était en phase terminale et ne pouvait pas être opéré, et certains médecins disaient même à la famille qu'elle n'en avait probablement plus que pour quelques mois sans traitement systématique.

Comme d'autres enseignants l'ont expliqué, la présence d'un enrouement dans le cas d'un cancer du poumon indique que les cellules tumorales ont envahi le nerf laryngé récurrent gauche, entraînant une paralysie de la corde vocale gauche, qui ne peut pas fonctionner, ce qui provoque l'enrouement.
Et que signifie vraiment une voix rauque ?
Il est vrai que la tumeur est à un stade avancé, mais avec les moyens actuels de traitement de la tumeur, même si elle est à un stade avancé, cela ne signifie pas qu'elle doit être de courte durée. Avec le développement de la technologie de radiothérapie, l'application de médicaments ciblés et le traitement chirurgical après la radiothérapie néoadjuvante et la chimiothérapie, la période de survie du cancer du poumon avancé a été considérablement prolongée, et il n'est pas rare de voir des patients atteints d'un cancer du poumon avancé survivre plus de 5 ans.
Bien que le stade du cancer du poumon ait une grande influence sur la survie, nous ne devrions pas accorder trop d'attention à ce facteur, l'âge d'apparition a également une grande influence sur la survie de la tumeur, plus l'âge d'apparition est jeune, plus le degré de malignité est élevé et plus la période de survie est courte, au contraire, plus l'âge d'apparition est élevé, plus la progression de la tumeur ralentira et plus la période de survie sera longue ; le type de tumeur est également très important, plus le degré de malignité est élevé, plus la période de survie est courte, et moins la tumeur est maligne, plus la période de survie est longue. Le type de tumeur est également très important : plus le degré de malignité est élevé, plus la durée de survie est courte ; moins le degré de malignité est élevé, plus la durée de survie est longue. S'il y a une mutation dans le test génétique, les patients qui peuvent prendre des médicaments ciblés par voie orale bénéficieront d'un meilleur traitement et d'une durée de survie plus longue.

En outre, une voix éteinte peut également être causée par d'autres raisons, telles que des maladies des cordes vocales elles-mêmes, des maladies de la thyroïde, y compris les séquelles d'une chirurgie du cou, de sorte que l'on ne peut pas supposer qu'une voix éteinte est nécessairement causée par un cancer du poumon.
Une simple visite chez un médecin ORL vous permettra de connaître la cause de votre voix étouffée.
Quand un patient atteint d'un cancer du poumon souffre-t-il d'enrouement, c'est-à-dire d'un enrouement de la gorge ? La maladie est-elle grave ? Pour expliquer ce problème, il faut parler du nerf qui contrôle le mouvement du muscle laryngé, le nerf laryngé récurrent.

Le nerf laryngé récurrent est divisé en deux nerfs, l'un gauche et l'autre droit, qui proviennent du segment thoracique du tronc vagal, mais qui reviennent immédiatement dans le cou. En particulier, le nerf laryngé récurrent gauche revient autour de la crosse de l'aorte, qui est plus longue que le nerf laryngé récurrent droit, et est plus susceptible d'être endommagé, ce qui peut entraîner un enrouement.

Revenons à la question suivante : dans quelles circonstances les patients atteints d'un cancer du poumon développent-ils un enrouement ?
- Lorsque les patients atteints de cancer du poumon développent des métastases ganglionnaires près de la crosse de l'aorte et du hile, les ganglions lymphatiques hypertrophiés compriment le nerf laryngé récurrent gauche et provoquent un enrouement.
- En cas de cancer central du poumon adjacent au hile et lorsque la lésion s'étend pour comprimer le médiastin, il est possible que le nerf laryngé récurrent soit comprimé et qu'un enrouement se produise.
- Lorsque l'état des patients atteints de cancer du poumon s'aggrave, la résistance de l'organisme diminue et toutes sortes de bactéries et de virus envahissent facilement l'organisme, ce qui peut entraîner une laryngite accompagnée d'un enrouement.

L'enrouement chez les patients atteints de cancer du poumon, quelle que soit la pathologie, suggère que la maladie est le plus souvent grave.
Je suis docteur en imagerie marine, je partage régulièrement des connaissances en matière de santé, j'aime le soutien et l'attention Oh !
Si la voix d'un patient atteint d'un cancer du poumon est normale et claire auparavant et qu'elle devient rauque avec l'évolution de la maladie, il s'agit au moins d'un stade III, c'est-à-dire d'un stade avancé. Si l'enrouement est pathologique, il est généralement dû à la métastase des ganglions lymphatiques médiastinaux, qui envahiront le nerf laryngé récurrent adjacent lorsqu'ils grandiront, et l'invasion de ce nerf laryngé récurrent entraînera la paralysie des cordes vocales ipsilatérales, et la paralysie des cordes vocales entraînera l'enrouement de la voix. Dans la stadification du cancer du poumon, il s'agit d'un cancer au moins N2, généralement au moins IIIB ou IIIC, ce qui est relativement tardif. Par ailleurs, certains patients atteints d'un cancer du poumon et utilisant des médicaments ciblés présentent également l'effet secondaire de l'enrouement, mais la proportion de cet effet secondaire est très faible.
En parlant de cancer du poumon, je pense à mon grand-père, qui est mort d'un cancer du poumon, il y a exactement 12 ans maintenant. Je me souviens que, parce que j'étais très occupé au travail et que j'avais besoin d'une promotion à l'époque, je n'ai pas pu voir mon grand-père avant qu'il ne meure, et j'en ai été très peiné au fond de mon cœur.

Mon grand-père est un honnête fermier, honnêtement, une vie de souffrance, il n'a pas connu un seul jour de bonheur, toute la journée face à face avec la vie, le seul passe-temps de grand-père est d'aimer fumer, rien pour boire un peu de vin, pour soulager l'ennui, en fait, grand-père savait aussi que ses poumons ne sont pas bons, mais grand-père si un passe-temps de fumer et de boire, pas assez bon pour abandonner.
Mon père a conseillé à mon grand-père d'aller à l'hôpital pour un examen, mais mon grand-père a toujours pris cela à la légère. Il était trop pauvre à la campagne pour dépenser de l'argent et disait qu'il était trop vieux pour être examiné, alors que pourrait-il faire s'il était examiné ? Mon père s'est précipité pour prendre un taxi et emmener mon grand-père à l'hôpital. Le médecin a procédé à un examen complet et a déclaré que le cancer du poumon s'était déjà métastasé.

Au stade précoce du cancer du poumon, aucun symptôme n'apparaît. Si l'enrouement survient, c'est que le cancer du poumon est déjà à un stade avancé : les cellules cancéreuses appuient sur le nerf laryngé, ce qui provoque l'enrouement, et dans les cas graves, la perte de la voix.
Quels sont les symptômes du cancer du poumon ? Comment le prévenir ? Je vais maintenant vous faire part de cette question en me basant sur des dossiers médicaux de patients ambulatoires :

toux avec expectorations
Comme la toux et les expectorations peuvent aller et venir, les gens n'y prêtent souvent pas attention et pensent qu'elles sont dues à une pharyngite chronique, puis la toux et les expectorations s'aggravent progressivement et se prolongent, pour finalement aboutir à une toux abondante et continue, et les médicaments anti-inflammatoires et antitussifs ne sont pas très efficaces.
Saignement dû à la toux
Lorsque le cancer du poumon se développe à un stade moyen ou avancé, la toux de sang est due à l'invasion des vaisseaux sanguins par les cellules cancéreuses. La quantité de sang crachée est relativement faible au début, mais comme les cellules cancéreuses continuent de se développer et d'augmenter en taille, une grande quantité de sang craché ou des vomissements de sang peuvent se produire lorsque les cellules tumorales envahissent les grands vaisseaux sanguins, et malheureusement, même la route nationale peut provoquer une asphyxie, ce qui peut mettre la vie en danger.

rauque
À mesure que la maladie progresse, la tumeur comprime le nerf laryngé et les cordes vocales peuvent s'enrouer, ce qui entraîne progressivement une perte de la voix et de la parole. À ce stade, les cellules cancéreuses ont déjà formé des métastases et les chimiothérapies et radiothérapies n'ont plus beaucoup d'effet, de sorte que les patients ont tendance à abandonner le traitement et à accepter la réalité à ce moment-là.

douleur thoracique
Lorsque le cancer du poumon atteint un certain degré de développement et comprime la plèvre ou les nerfs de la paroi thoracique, une douleur thoracique intense apparaît souvent, et la compression des nerfs intercostaux peut provoquer une douleur thoracique et hypochondriaque intense, et la douleur s'aggrave avec la respiration, les patients n'osant souvent pas reprendre leur souffle par peur de la douleur, ce qui peut provoquer une hypoxie cérébrale et détériorer davantage l'état de santé sur une longue période de temps.
Le cancer du poumon met gravement en danger notre santé, alors que faire pour le prévenir ? Les mesures à prendre peuvent être divisées en plusieurs points.

Pas ou peu de tabagisme
La nicotine et la nicotine contenue dans le tabac sont très irritantes pour le système respiratoire, et un tabagisme intensif de longue durée peut provoquer une inflammation chronique des bronches pulmonaires, et une stimulation inflammatoire chronique de longue durée peut induire des lésions précancéreuses, ce qui créera des conditions favorables à l'induction d'un cancer du poumon ; par conséquent, nous ne pouvons pas fumer sans fumer, et si la durée du tabagisme est trop longue et ne peut pas être arrêtée, nous devons essayer de fumer le moins possible pour éviter une stimulation chronique des poumons et l'induction d'un cancer. La stimulation chronique peut induire un cancer.

Restez à l'écart de la pollution atmosphérique
Si nous restons longtemps dans un tel environnement, cela provoquera également une inflammation chronique des poumons et augmentera les risques de cancer du poumon. C'est pourquoi nous ne fumons pas en public, même si nous sommes responsables de notre propre responsabilité, mais nous sommes également responsables de celle des autres. Le tabagisme passif est encore plus nocif lorsqu'il est inhalé pendant une longue période.

Éviter les maladies professionnelles
Dans certaines professions, nous entrons inévitablement en contact avec des gaz nocifs, comme les peintres, les stations-service, les travailleurs de l'amiante. Si la protection n'est pas mise en place, les personnes exerçant ces professions provoquent souvent des maladies professionnelles, l'acceptation à long terme de ces gaz nocifs accélère l'apparition de cancers des poumons, de sorte que les personnes exerçant ces professions doivent, après un certain temps, changer de métier, afin de ne pas affecter la santé de l'organisme.
En ce qui concerne le cancer du poumon qui provoque un enrouement de la gorge, les cellules cancéreuses se sont souvent métastasées et ont déjà pressé les nerfs de la corde vocale dans le larynx, d'où l'enrouement et même l'adaptation à l'impossibilité de parler.
Ces questions et réponses proviennent des utilisateurs du site, elles ne représentent pas la position du site, s'il y a une infraction, veuillez contacter l'administrateur pour la supprimer.