Quels sont les signes corporels qui indiquent l'arrivée d'un cancer du poumon et la nécessité d'arrêter de fumer ?
Quels sont les signes corporels qui indiquent l'arrivée d'un cancer du poumon et la nécessité d'arrêter de fumer ? 
Le cancer du poumon, ou carcinome bronchogénique primaire, carcinome bronchopulmonaire primaire, est la tumeur maligne primaire la plus fréquente des poumons, provenant de la muqueuse ou des glandes bronchiques. En fonction des lésions histologiques, il peut être divisé en carcinome à petites cellules et en carcinome non à petites cellules. Les symptômes cliniques sont le plus souvent insidieux et se manifestent principalement par une toux, des expectorations, une hémoptysie et un amaigrissement. Une détection précoce, un diagnostic précoce et un traitement précoce ont un meilleur pronostic !
Quels sont donc les premiers symptômes et les signes précurseurs du cancer du poumon ?
I. L'enrouement
Il s'agit de l'un des symptômes les plus fréquents au stade précoce du cancer du poumon. Ce type d'enrouement survient assez soudainement et évolue rapidement, certaines personnes pouvant même perdre complètement leur voix.
II. fièvre persistante
Un tiers des patients atteints de cancer du poumon présentent une fièvre persistante au stade précoce, la température corporelle se situant autour de 38 degrés et dépassant rarement 39 degrés. La fièvre inflammatoire peut être réduite par un traitement anti-inflammatoire fréquent et actif, tandis que la fièvre cancéreuse est inefficace dans l'application de médicaments anti-inflammatoires et antipyrétiques.
III. la toux et l'état de malaise prolongé
Si la toux persiste même après un traitement antitussif actif, et même si la durée de la toux dépasse trois semaines, nous devons être attentifs à la possibilité d'un cancer du poumon.
IV. douleur thoracique
Environ 50 % des patients atteints d'un cancer du poumon souffriront de douleurs thoraciques. Au stade précoce du cancer du poumon, ces douleurs thoraciques seront intermittentes et aggravées par la toux, la respiration profonde ou un changement de position du corps.
V. Hémoptysie avec présence de sang dans les expectorations
Les patients peuvent trouver du sang dans leurs expectorations lorsqu'ils toussent et crachent. Cette hémoptysie peut durer des semaines, des mois ou se présenter sous forme d'épisodes intermittents.
VI. oppression thoracique et essoufflement
Environ 10 % des patients atteints d'un cancer du poumon ressentiront une oppression thoracique et un essoufflement aux premiers stades du cancer du poumon, et les symptômes de dyspnée seront plus prononcés si la fonction pulmonaire est faible.
Si vous présentez les symptômes ci-dessus, vous devez être très attentif à la présence d'un cancer du poumon et vous rendre à temps dans un hôpital pour y subir un examen. Une fois le diagnostic posé, la détection et le traitement doivent être précoces !
Est-il nécessaire d'arrêter de fumer en l'absence de signes de cancer du poumon ? La relation entre le cancer du poumon et le tabagisme a été prouvée, et le tabagisme est l'une des principales causes du cancer du poumon.
Signes de cancer du poumon.
Pourquoi, la plupart du temps, le cancer du poumon est-il détecté à un stade avancé ? C'est parce qu'il n'y a pas de symptômes typiques du cancer du poumon dans ses premiers stades. Un symptôme typique signifie que s'il existe un certain symptôme, il est probable qu'il s'agisse d'une maladie spécifique. Cependant, les symptômes du cancer du poumon à un stade précoce ne sont pas évidents, et même si certains symptômes apparaissent, ils ne seront pas associés au cancer du poumon. Le cancer du poumon à un stade précoce est généralement détecté lors d'examens médicaux, et ces patients représentent moins de 20 % du total.

Symptômes du cancer du poumon
Les symptômes qui peuvent apparaître chez les patients atteints de cancer du poumon sont la toux, l'expectoration de mucosités et l'enrouement. Toutefois, ces symptômes peuvent être observés dans le cadre de maladies pulmonaires courantes ou d'un rhume ou d'une grippe ; ils ne sont donc pas typiques et ne font pas penser à un cancer du poumon. Il n'est pas nécessaire de se rendre à l'hôpital pour un examen visant à déterminer s'il s'agit d'un cancer du poumon simplement parce que l'on tousse ou que l'on a des expectorations.
Certains patients présentent une toux avec du sang, des douleurs thoraciques, en particulier lorsqu'ils toussent, d'autres ont également une respiration sifflante et de la fièvre. Il convient de prendre ce moment au sérieux, si ces symptômes ne peuvent être soulagés pendant une longue période, il faut suspecter la présence d'un cancer dans les poumons et il est nécessaire de se rendre à l'hôpital pour une consultation et un examen en temps utile.
Si, à un stade ultérieur, le cancer du poumon s'est métastasé dans les poumons, il peut y avoir des douleurs aux épaules, des douleurs dorsales, l'apparition d'un hydrothorax, des varices dans les membres supérieurs et au visage et, en cas d'œdème cérébral, des maux de tête, une léthargie et une vision floue. Si les cellules cancéreuses du poumon forment des métastases dans les os, des douleurs osseuses et des fractures peuvent survenir.
Très peu de patients développent des anomalies cutanées telles que l'acanthosis nigricans, la dermatomyosite, la sclérodermie et l'hyperkératose cutanée.

Le cancer du poumon est le plus étroitement lié au tabagisme
La Chine est un grand pays tabagique, qui compte un grand nombre de fumeurs. Certains fumeurs aiment fumer une cigarette après s'être réveillés le matin, et la dépendance est si forte qu'ils ne peuvent pas attendre que leurs dents soient brossées pour se dépêcher d'allumer une cigarette. La dernière enquête a révélé que cette "fumée de réveil" augmente considérablement le risque de cancer du poumon et de cancer de la bouche. Même si vous avez envie de fumer, il est préférable d'attendre une demi-heure après le lever pour le faire.
Qu'il s'agisse de fumeurs ou de fumeurs passifs, qu'il s'agisse de fumée secondaire ou de fumée tertiaire, la nocivité n'est pas du tout moindre que celle de la fumée directe.

Prévention du cancer du poumon
Outre l'arrêt du tabac, le cancer du poumon peut également être diagnostiqué et traité à un stade précoce grâce au dépistage. À l'heure actuelle, les méthodes de dépistage et de diagnostic précoce susceptibles d'être largement promues font encore défaut, et la plupart des patients atteints d'un cancer du poumon sont déjà à un stade avancé lorsqu'ils sont diagnostiqués cliniquement. Résoudre les problèmes de détection et de traitement précoces du cancer du poumon reste une tâche sérieuse et de longue haleine. Le traitement traditionnel du cancer du poumon repose principalement sur la chirurgie, la chimiothérapie et la radiothérapie, mais la plupart des patients atteints d'un cancer du poumon avancé n'ont pas la possibilité de subir une chirurgie radicale lorsqu'ils sont diagnostiqués, et l'effet thérapeutique de la chimiothérapie et de la radiothérapie n'est pas satisfaisant, ce qui entraîne un taux de mortalité élevé pour le cancer du poumon.
Résumé : Selon les statistiques mondiales sur le cancer, la cause la plus fréquente de décès par cancer est le cancer du poumon, et le moyen le plus efficace et le plus direct de prévenir le cancer du poumon est d'éviter l'exposition au tabac. Le cancer du poumon est la cause la plus fréquente de décès par cancer dans le monde, et le moyen le plus efficace et le plus direct de le prévenir est d'éviter l'exposition au tabac. Le cancer du poumon est la cause la plus fréquente de décès par cancer dans le monde, mais il a la cause la plus évidente parmi tous les types de cancer, et c'est donc le cancer le plus facile à prévenir. Dans un sens, le cancer du poumon est une tumeur créée par l'homme et une maladie liée au mode de vie ; par conséquent, tant que nous agissons, que nous changeons notre mode de vie et nos habitudes et que nous restons à l'écart du tabac et des facteurs cancérigènes dangereux, nous pouvons efficacement éviter l'infestation du cancer du poumon.
Au fil des ans, les grands médias et les organismes de santé privés ont vigoureusement promu la théorie du "sevrage tabagique". Non seulement parce que le tabagisme et le cancer du poumon sont inextricablement liés, mais aussi parce que cela revêt une grande importance pour l'optimisation de l'environnement pour tous ! En ce qui concerne les symptômes précurseurs du cancer du poumon, de nombreuses rumeurs circulent sur Internet, mais les plus importants sont les 7 symptômes majeurs !
7 symptômes du cancer du poumon
(1) La toux "dure toujours des années" :En général, si la toux est supérieure à 2 ou 3 phases, qu'elle est sèche et irritante et qu'elle s'accompagne d'une petite quantité d'expectorations blanches, il faut être très vigilant quant à la présence d'un cancer du poumon ;
2) Toux avec sang et sang dans les expectorations :Une toux soudaine et inexpliquée de sang, des expectorations sanglantes ou des crachats de couleur rouille doivent également être fortement suspectés.
3) L'enrouement :Si l'enrouement est causé par un rhume ou une pharyngite, il disparaît généralement en peu de temps, mais s'il ne s'améliore pas pendant une très longue période, on soupçonne fortement la compression tumorale d'en être la cause.

Cancer du poumon et tabagisme
4) Tenue de la poitrine et douleur thoracique :Une oppression thoracique irrégulière et un essoufflement, voire une douleur thoracique, se produisent.
5) Perte de poids :Pendant une courte période, on observe une perte d'appétit ou une perte de poids.
6) Infections bronchiques récurrentes;
7) Autres symptômes :Des symptômes très inhabituels tels que des lèvres violettes, un épaississement des doigts, un développement des seins, etc. C'est à ce moment-là qu'il faut se rendre à l'hôpital pour un dépistage afin d'établir un diagnostic.
A propos du sevrage tabagique
10 000 médecins, 10 000 vous disent d'arrêter de fumer, la théorie du "moins fumer" est très rare. Il existe trois groupes de risque de cancer du poumon, tous liés au tabagisme :
1) Âge 55-74 ans, tabagisme supérieur ou égal à 30 paquets/an ;
2) Les personnes âgées de 55 à 74 ans qui ont continué à fumer au cours des 15 dernières années ;
3) Âge supérieur à 50 ans et tabagisme supérieur ou égal à 20 paquets/an.
En plus d'arrêter de fumer dès que possible, ce groupe devrait faire l'objet d'un dépistage annuel.
Le cancer du poumon causé par le tabagisme fait généralement référence au cancer du poumon primaire, qui est très fréquent, et le tabagisme est la principale cause du cancer du poumon, plus de 89% des cancers du poumon sont causés par le tabagisme actif ou passif, généralement plus la durée du tabagisme est longue, plus la quantité de tabac est importante, en particulier pour ceux qui ont fumé depuis l'enfance.

Le tabac est un agent cancérigène de classe A, le tabagisme passif qui fume la fumée secondaire tous les jours peut également inhaler beaucoup de cigarettes dans les substances nocives que sont la nicotine, le benzo(a)pyrène, les nitrosamines et les traces d'arsenic, et les fumeurs passifs à la fumée de tabac dans les substances nocives dans la réponse que les fumeurs actifs à être forte.
Outre le tabagisme, qui provoque le cancer du poumon, l'hérédité congénitale, les gaz d'échappement des voitures, les émissions industrielles, les fumées de cuisine, le goudron de houille, la suie, les radiations ionisantes, l'exposition à long terme à des professions telles que la production d'amiante, l'infection par le VIH, la tuberculose, la broncho-pneumopathie chronique obstructive et la tuberculose.
Le cancer du poumon, comme d'autres tumeurs malignes, ne présente généralement aucun symptôme ni signe avant ou au moment de son apparition et au stade précoce du cancer du poumon, ce qui signifie que les personnes ne présentent pas de symptômes tels que l'expectoration ou la présence de sang dans les crachats. Ce n'est que lorsque le cancer du poumon se développe progressivement, envahit ou comprime les tissus et organes normaux voisins, ou même provoque des métastases à distance, que la manifestation du cancer du poumon apparaît.

Toux sèche irritante, généralement sans expectoration ou avec peu d'expectoration, la toux peut être une toux d'étouffement irritante, et compliquée par une infection, elle peut se traduire par des expectorations de pus jaune ou de charbon nauséabond.
Sang intermittent dans les expectorations ou expectorations sanglantes l'une après l'autre, et parfois hémoptysie, ce qui est rare.
Difficulté à s'essouffler ou à reprendre son souffle, sensation d'oppression thoracique et d'essoufflement, voire respiration sifflante et essoufflement.
Douleur thoracique vague ou sourde qui s'aggrave avec la respiration ou la toux et qui irradie vers l'arrière de la poitrine ou les épaules. Le cancer du poumon qui envahit les côtes ou la colonne vertébrale peut provoquer une douleur persistante qui n'est pas liée à la toux ou à la respiration. La douleur est souvent plus forte la nuit, affectant le sommeil et provoquant de l'anxiété et de l'insomnie. En outre, la compression du nerf du plexus brachial par le cancer du poumon peut provoquer une douleur brûlante irradiant de l'aisselle à la face interne du membre supérieur du même côté.
Les métastases osseuses provoquent des douleurs osseuses, les métastases cérébrales des troubles de la vision, une vision double, des maux de tête et des vomissements, des changements mentaux et comportementaux, une hémiplégie, et les métastases hépatiques une perte d'appétit, une hépatomégalie, des douleurs dans la région du foie, voire une coloration jaunâtre de la peau et des muqueuses de tout le corps, ainsi que de la sclérotique.
Certaines personnes présentent un enrouement de l'élocution, des difficultés à avaler les aliments, l'apparition de varices dans la paroi thoracique, un œdème du visage et du cou et, dans les cas les plus graves, des vertiges, des étourdissements, des maux de tête et des troubles de la vision.
La présence d'un doigt de pilon ou d'un orteil de pilon.
Par conséquent, nous ne devrions pas nous fier aux signaux du corps pour juger s'il est nécessaire d'arrêter de fumer ou non, arrêter de fumer avant qu'il ne soit trop tard, il est préférable de ne pas fumer, et en même temps, essayer de réduire ou d'éviter autant que possible l'inhalation de carcinogènes toxiques et nocifs dans l'air ou à l'intérieur de la maison qui peuvent conduire au cancer du poumon, et s'engager dans des groupes de travail à haut risque pour prendre des mesures de protection personnelle. Les travailleurs occupant des emplois à haut risque doivent prendre des mesures de protection individuelle.
Certains rétorqueront qu'il y a des fumeurs de longue durée qui vivent longtemps, tandis qu'il y a des non-fumeurs et des non-buveurs qui ne vivent pas aussi longtemps, et qu'il ne s'agit que d'une minorité.
Le cancer du poumon est une tumeur maligne dont le taux de morbidité et de mortalité est élevé en Chine, et il existe un lien étroit entre le tabagisme et le cancer du poumon. Selon les données, plus de 80 % des patients atteints de cancer du poumon sont de vieux fumeurs, ce qui signifie que 80 % des cancers du poumon sont causés par le tabagisme.

Pourquoi le tabagisme à long terme prédispose-t-il au cancer du poumon ?
Cela est principalement dû au fait que le tabac peut produire plus de 7 000 types de substances chimiques au cours du processus de combustion, et qu'il existe des centaines de substances nocives, dont plus de 60 types de substances cancérigènes, parmi lesquelles la nicotine est un agent cancérigène de première catégorie. Selon les données, la quantité et la durée du tabagisme sont directement proportionnelles à l'apparition du cancer du poumon, c'est-à-dire que plus l'âge du fumeur est jeune, plus la durée du tabagisme est longue et plus la quantité de tabac fumée est importante, plus l'incidence du cancer du poumon sera élevée, et l'incidence du cancer du poumon chez les fumeurs est des dizaines, voire des centaines de fois supérieure à celle des non-fumeurs.
Lorsque nous fumons pendant une longue période, les substances nocives contenues dans le tabac entraînent la prolifération des cellules épithéliales bronchiques, de l'épithélium pavimenteux et d'autres tissus, à partir desquels un carcinome épithélial pavimenteux ou un carcinome indifférencié à petites cellules peut être facilement induit.
En outre, outre le tabagisme qui peut induire un cancer du poumon, l'exposition à long terme aux déchets industriels, aux substances radioactives, aux gaz d'échappement des véhicules, l'exposition à long terme à l'amiante, etc. sont tous susceptibles d'induire l'apparition d'un cancer du poumon.
Ainsi, pour la population fumeuse, lorsque le corps présente ces différents signaux, indiquant l'arrivée d'un cancer du poumon ? Nous pourrions tout aussi bien prêter plus d'attention à l'apparition des symptômes suivants :
①Toux sèche irritante
La toux est une manifestation évidente de lésions dans les poumons ou les bronches. Si la toux est sèche et irritante, il peut s'agir d'une tumeur qui se développe sur la muqueuse des bronches, et c'est un symptôme précoce du cancer bronchocentrique du poumon. Cette sensation est comme l'étouffement d'un grain de riz dans nos voies respiratoires, et notre corps réagit par le stress et une toux incontrôlée se produit.
La toux, cependant, tend à être sans mucosités ou avec peu d'expectorations, et se manifeste par une toux sèche fréquente, une toux pendant la journée et une toux involontaire la nuit au lit.
Sang dans les expectorations ou toux sanglante

Lorsque le tissu tumoral du poumon continue à proliférer de manière maligne, il continue à endommager le tissu pulmonaire normal, et l'inflammation et les saignements se produisent facilement lorsque les cellules cancéreuses se détachent, de sorte que le phénomène du sang dans les expectorations se produit souvent. Si les cellules tumorales endommagent davantage les tissus des vaisseaux sanguins des poumons, il est facile de provoquer des saignements et, cette fois, il ne s'agit pas simplement de sang dans les expectorations, mais du phénomène de toux de sang, qui s'accompagne d'une toux de sang abondante.
: (iii) oppression thoracique, essoufflement, dyspnée
L'oppression thoracique, l'essoufflement et la dyspnée sont des symptômes relativement fréquents dans le cancer du poumon, principalement dus à la prolifération maligne des tumeurs pulmonaires, qui endommage de nombreux tissus pulmonaires normaux et affecte les échanges gazeux, provoquant ainsi facilement l'oppression thoracique et l'essoufflement. Si la tumeur pulmonaire continue de s'étendre, il est facile d'obstruer la ventilation des voies respiratoires et d'affecter les échanges gazeux normaux, ce qui aggrave les symptômes d'oppression thoracique et d'essoufflement, et peut même entraîner des difficultés respiratoires. Au début du cancer du poumon, la douleur thoracique est irrégulière et se présente comme une sorte de douleur sourde. Si la douleur thoracique est intense et intolérable, le cancer du poumon a déjà atteint un stade avancé.
: : ④ Douleur thoracique
Au stade précoce du cancer du poumon, la douleur thoracique n'apparaît généralement pas, mais lorsque le cancer du poumon évolue vers un stade moyen ou avancé, la tumeur continuant à croître, il est facile d'exercer une pression sur les nerfs, ce qui provoque une douleur vague ou sourde dans la poitrine, et parfois cette douleur irradie même vers l'arrière de la poitrine ou l'arrière de l'épaule, provoquant ainsi des douleurs dorsales. En outre, les tissus normaux des poumons sont constamment endommagés par les cellules cancéreuses, ce qui provoque également une vague douleur dans la poitrine. Si la douleur dans la poitrine est plus intense, si elle est si douloureuse que l'on ne peut pas dormir la nuit et si elle est insupportable pendant la journée, il est très probable que le cancer du poumon ait déjà atteint un stade avancé.
●⑤ Doigt de pilon
En cas d'hypoxie prolongée, les tissus distaux du corps humain, en raison d'un apport d'oxygène insuffisant à long terme, provoquent la prolifération et l'hypertrophie de l'extrémité du doigt, qui prend la forme d'un pilon, tout comme un pilon. Si un doigt en forme de pilon apparaît, il faut être vigilant car il peut s'agir d'un carcinome épidermoïde du poumon.
Ce n'est qu'en détectant les anomalies pulmonaires le plus tôt possible, en décelant les premiers symptômes du cancer du poumon le plus tôt possible et en restant attentif au cancer du poumon que l'on peut améliorer le taux de guérison et le taux de survie du cancer du poumon.

Des études étrangères ont prouvé que l'arrêt du tabac peut réduire de manière significative l'incidence du cancer du poumon, et que plus l'arrêt du tabac est précoce, plus la réduction du taux d'incidence du cancer du poumon est évidente. Par conséquent, dans l'intérêt de la santé, les fumeurs devraient arrêter de fumer le plus tôt possible.
Note de l'auteur : Je suis très heureux de vulgariser les connaissances liées à la santé pour tout le monde, je suis gaucher pour dire médical, chaque jour avec un langage simple pour vous de vulgariser les connaissances médicales professionnelles, les mots de code n'est pas facile, si vous aimez mon article, aidez-moi à pointer un éloge ! Si vous avez encore des questions, vous pouvez laisser un message dans la section des commentaires, bienvenue à l'attention, en avant, merci pour votre soutien !
Bonjour ! Merci pour cette invitation ! Tout d'abord, ce point de vue est tout simplement erroné. Il ne faut pas attendre d'avoir un cancer du poumon pour commencer à arrêter de fumer. Il faut arrêter de fumer tôt pour prévenir le cancer du poumon.
Au stade précoce du cancer du poumon, les symptômes se manifestent principalement par la toux. La toux est le premier symptôme de 50 % des patients atteints de cancer du poumon. En raison des différents sites, modes et vitesses de croissance des tumeurs, la manifestation de la toux n'est pas la même, et elle se manifeste souvent par une toux sèche irritante paroxystique avec peu ou pas d'expectoration.
Lorsque le cancer du poumon survient à un stade précoce et envahit les organes et tissus voisins, il se manifeste souvent par une douleur cachée irrégulière ou une douleur sourde dans la poitrine, et la douleur s'aggrave à la toux.
En outre, certains patients atteints d'un cancer du poumon à un stade précoce peuvent également présenter des symptômes tels que la présence de sang dans les expectorations ou l'hémoptysie, la dyspnée, l'enrouement, etc.
Si les symptômes ci-dessus apparaissent, il faut se rendre au service respiratoire de l'hôpital pour consulter l'examinateur, essayer de diagnostiquer et de traiter rapidement, le pronostic pour le patient est meilleur. Enfin, je vous souhaite une bonne santé.
Le cancer du poumon est la tumeur maligne primaire la plus fréquente des poumons. Il s'agit principalement d'une tumeur des cellules épithéliales des bronches, des bronches fines et des alvéoles, etc. Comme de nombreuses personnes ont déjà atteint un stade moyen ou avancé lorsqu'elles découvrent le cancer, le taux de survie à 5 ans est inférieur à 20 %. Chez de nombreuses personnes, le cancer du poumon est découvert à un stade moyen ou avancé, de sorte que le taux de survie à 5 ans est inférieur à 20 %.
Voici la réponse du Dr Ma à la question suivante : quels sont les facteurs à l'origine du cancer du poumon ? Quels sont les symptômes évidents du cancer du poumon ?
I. Quels sont les facteurs à l'origine du cancer du poumon ?
1), Fumée
Le tabagisme est le facteur le plus communément à l'origine du cancer du poumon, car 80 % des patients atteints de cancer du poumon ont des antécédents de tabagisme, c'est-à-dire que ces personnes fument un paquet de cigarettes par jour et continuent à fumer pendant 20 à 30 ans, et ces personnes ont une prévalence élevée de cancer du poumon, et la nicotine, le goudron et d'autres substances contenues dans les cigarettes sont très nocives pour les cellules pulmonaires. Le tabac a été classé parmi les substances cancérigènes de classe A. Par conséquent, plus vous arrêtez de fumer tôt, moins vous risquez d'être atteint d'un cancer du poumon.
2), Environnement professionnel
L'environnement de travail à long terme contient des gaz d'échappement industriels, des gaz d'échappement automobiles, de l'amiante, de l'éther bichlorométhylique, du chrome, du nickel, des tiges aromatiques polycycliques et des substances radioactives, qui sont des substances très puissantes, et les personnes qui travaillent ou vivent dans ces environnements ne développeront pas immédiatement un cancer du poumon, mais tôt ou tard, car la période de latence du cancer du poumon est très longue, pouvant aller jusqu'à plus de 20 ans.
Deuxièmement, quels sont les symptômes évidents du cancer du poumon, comme l'explique le Dr Ma ci-dessous ?
1), Toux
Habituellement, la toux causée par le cancer du poumon est une toux sèche sans expectoration ou avec une petite quantité d'expectoration ; avec la croissance de la tumeur qui comprime les bronches, la toux s'aggrave, la toux est le plus souvent un son métallique aigu et persistant, et il y a une toux d'étouffement irritante ; les patients souffrant d'infections pulmonaires combinées ont des expectorations mucopurulentes qui accompagnent la toux.
2) Toux avec du sang ou présence de sang dans les expectorations
Si la tumeur s'étend jusqu'à la lumière de la trachée, elle entraîne la présence intermittente ou persistante de sang dans les expectorations, et si la surface de la tumeur est gravement endommagée, elle entraîne la rupture des gros vaisseaux sanguins et provoque une toux sanguine ou une hémoptysie.
3. essoufflement ou respiration sifflante
Comme la tumeur continue de se développer dans la trachée ou la cavité bronchique, les voies respiratoires sont facilement bloquées ou comprimées, ce qui entraîne une ventilation anormale et des symptômes d'oppression thoracique, d'essoufflement, de dyspnée et de respiration sifflante, mais la tumeur s'est métastasée dans les tissus lymphatiques, ce qui entraîne une compression lymphatique des veines et des symptômes d'accumulation de liquide.
4), douleur thoracique et fièvre
Les symptômes de douleur thoracique chez les patients atteints de cancer du poumon ne sont pas évidents au stade précoce, mais avec la métastase de la tumeur et l'invasion de la paroi thoracique, une douleur thoracique apparaît, et les tissus nécrosés à la surface de la tumeur sont éliminés, ce qui conduit facilement à des infections pulmonaires, et donc à l'apparition de fièvre.
C'est pourquoi nous demandons à chacun d'arrêter de fumer à temps et d'essayer de rester à l'écart du tabagisme passif, afin d'être responsable de sa propre vie et de celle des autres.
Suivez Dr Ma pour plus de réponses sur la santé, merci !
Je suis le Dr Li Jia, du service de chirurgie générale, qui vous transmet des connaissances scientifiques réelles et pratiques. Aujourd'hui, je vous explique quels sont les signaux corporels qui indiquent l'arrivée d'un cancer du poumon. Je vous explique comment détecter plus efficacement le cancer du poumon.
La présence des signaux suivants indique l'arrivée d'un cancer du poumon.
Les signaux corporels les plus courants qui peuvent indiquer la présence d'un cancer du poumon sont les suivants :
- Une toux sèche paroxystique et irritante qui n'est pas facilement contrôlée par les antitussifs habituels et qui est plus prononcée avec le repos au lit.
- Sang dans les expectorations ou hémoptysie.
- L'essoufflement, la respiration sifflante et l'inconfort sont présents et sont plus prononcés lorsque l'on se repose au lit.
- Fièvre : causée par une pneumonie obstructive, une atélectasie ou une nécrose de la tumeur.
- Douleur irrégulière, vague ou sourde dans la poitrine, aggravée par la toux ; plus marquée la nuit et tôt le matin.

- L'enrouement est principalement dû à la compression directe par la tumeur, à l'invasion médiastinale ou à l'hypertrophie des ganglions lymphatiques, qui compriment le nerf laryngé récurrent.
- Syndrome d'obstruction de la veine cave supérieure : se manifeste principalement par des œdèmes des membres supérieurs, du cou et du visage, des varices de la paroi thoracique et, dans les cas graves, des maux de tête, une somnolence et une vision floue dus à un œdème cérébral.
- Syndrome de Horner : ptosis, dilatation de la pupille et inversion du globe oculaire du côté affecté, avec peu ou pas de transpiration sur le front et la paroi thoracique ipsilatéraux.
L'apparition de ces signaux corporels indique qu'un cancer du poumon est très probable. Si les signaux d'imagerie suivants réapparaissent, il est clair que le cancer du poumon est imminent.

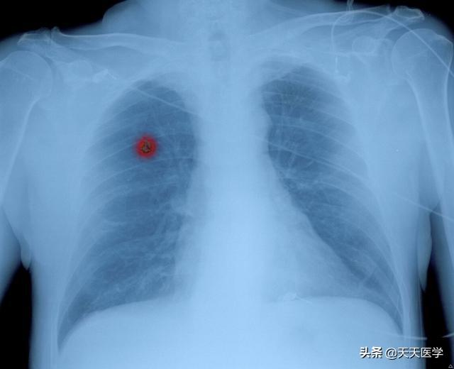
- Le scanner thoracique est actuellement la méthode de dépistage du cancer du poumon la plus efficace. Si l'examen par scanner thoracique révèle des nodules pulmonaires avec un signe lobaire, un signe de bavure, un signe vacuolaire, une image bronchique aérienne, une artère trophoblastique tumorale, une coupure vasculaire et un signe d'amas, une dépression pleurale ou un signe de traction, une cavité excentrique, une lésion ressemblant à du verre dépoli, une masse hilaire et d'autres signaux d'imagerie, le cancer du poumon est fondamentalement confirmé.
- Examen PET-CT : il peut aider les médecins à déterminer si la masse pulmonaire est un cancer du poumon. Il peut également détecter les métastases dans d'autres parties du corps et aider les médecins à déterminer le stade de la tumeur.
Bien entendu, l'examen cytologique ou histologique est l'examen de référence pour établir un véritable diagnostic de cancer du poumon.
Il est encore trop tard pour envisager d'arrêter de fumer lorsque le cancer du poumon se déclare. Pour éviter le cancer du poumon, vous devez prévenir les facteurs de risque du cancer du poumon à un stade précoce.
Le tabagisme est la cause la plus fréquente du cancer du poumon, et les fumeurs sont 20 fois plus susceptibles de développer un cancer du poumon que les non-fumeurs. Le tabagisme passif et le tabagisme environnemental sont également l'une des causes du cancer du poumon. Toutefois, outre le tabagisme, les facteurs cancérigènes suivants contribuent également au développement du cancer du poumon :

- Exposition professionnelle : des facteurs cancérigènes tels que le radon, l'amiante, l'arsenic, le chrome, le goudron de houille, le gaz moutarde, le nickel, le chlorure de vinyle, le formaldéhyde, etc. sont présents dans l'environnement de travail.
- Pollution de l'air : la pollution intérieure due à la combustion de carburants et à la cuisine, ainsi que la pollution extérieure telle que les émissions industrielles et les gaz d'échappement des véhicules, sont autant de facteurs de risque pour le cancer du poumon.
- De fortes doses de rayonnements ionisants peuvent également provoquer un cancer du poumon.
- Régime alimentaire et nutrition : Les personnes qui consomment peu de fruits et de légumes et celles dont le taux de carotène sérique est faible sont sujettes au cancer du poumon.
- Il existe des antécédents familiaux de cancer du poumon.
- Maladie pulmonaire préexistante : par exemple, tuberculose, bronchectasie, etc.
Le cancer du poumon arrive et ce n'est qu'à ce moment-là que vous pensez que les cigarettes peuvent être cancérigènes pour les poumons et ce n'est qu'à ce moment-là que vous vous demandez si vous voulez arrêter de fumer ? Il est déjà un peu tard. Cependant, le sevrage tabagique a encore un rôle à jouer, mais il ne s'agit pas seulement de sevrage tabagique, il faut aussi éviter les autres facteurs de risque élevés du cancer du poumon. Cela permettra de réduire le risque de progression et de récidive du cancer du poumon après la résection de la tumeur.
En conclusion, je pense que les connaissances ci-dessus vous permettront de mieux comprendre les signaux anormaux dans le corps, le cancer du poumon est à venir. Et cela dit à tout le monde de prévenir le cancer du poumon, en commençant tôt.
Le cancer du poumon est une tumeur maligne qui se développe sur la muqueuse des bronches ou des alvéoles pulmonaires. Son apparition est liée à un tabagisme important et prolongé, à l'exposition à certains agents chimiques cancérigènes et à une diminution du système immunitaire. En particulier, le risque de cancer du poumon chez les adultes qui ont beaucoup fumé pendant longtemps est beaucoup plus élevé que chez les non-fumeurs. Il est donc très important que les non-fumeurs ou les fumeurs arrêtent de fumer le plus tôt possible pour prévenir le cancer du poumon.

Les premiers symptômes du cancer du poumon sont classés en type périphérique (cancer survenant au bord du poumon) et en type central (cancer survenant dans les bronches près du hile) en raison des différentes localisations du cancer du poumon. Le cancer du poumon central se développe souvent dans la lumière bronchique, ce qui entraîne un rétrécissement de la lumière bronchique, une atélectasie ou une pneumonie obstructive, et des symptômes tels qu'une toux persistante, la présence de sang dans les expectorations, une oppression thoracique et un essoufflement.

Étant donné que de nombreux patients atteints d'un cancer du poumon à un stade précoce ne présentent pas de symptômes évidents et les négligent, ils sont souvent traités à l'aveuglette comme des maladies pulmonaires courantes et la détection et le traitement précoces sont retardés. Par conséquent, afin de détecter le cancer du poumon à un stade précoce, il est nécessaire de prêter attention à l'examen physique et de se rendre à l'hôpital pour une radiographie pulmonaire, un scanner thoracique, des tests de laboratoire sur les expectorations, une bronchoscopie et d'autres examens pertinents afin d'exclure et de diagnostiquer le cancer du poumon à temps lorsque les symptômes suspects suivants se manifestent. Les personnes qui fument depuis longtemps, qui ont été exposées à des substances radioactives, à l'amiante, au gaz et qui souffrent de maladies respiratoires chroniques et de tuberculose doivent être particulièrement vigilantes.
1. toux : découverte soudaine d'une toux paroxystique irritante et suffocante, pas d'expectoration ou seulement une petite quantité d'expectoration de mucus blanc et mousseux.
2) Crachats de sang : récurrence intermittente de petites quantités d'expectorations sanglantes, souvent plus de sang que d'expectorations, de couleur rouge vif, les expectorations et le sang ne se mélangent pas, se produisant occasionnellement lors d'un grand nombre d'hémoptysies.
3) Fièvre : apparition inexpliquée de symptômes de fièvre modérée ou faible.
4. douleur thoracique : douleur thoracique aiguë et persistante.
5. oppression thoracique et essoufflement : parfois ils apparaissent soudainement et diminuent progressivement après quelques jours ; ou ils apparaissent lentement et s'aggravent progressivement.
6. respiration sifflante : respiration sifflante restreinte et inspiratoire qui n'est pas soulagée ou qui disparaît avec la toux.
7) Symptômes extra-pulmonaires : tels que vertiges s'aggravant progressivement, vision trouble, gonflement de la tête et du cou, varices veineuses superficielles dans la poitrine et le cou, yeux enfoncés, paupières supérieures tombantes, rétrécissement des pupilles, raucité de la voix, dysphagie, oppression thoracique, palpitations, amaigrissement, doigts (orteils) en forme de pilon et autres symptômes.

Que vous ayez ou non un cancer du poumon, arrêter de fumer et ne pas fumer le plus tôt possible ne vous fera aucun mal !
Suivez Daily Medicine pour plus de connaissances en matière de santé. N'hésitez pas à critiquer et à corriger les éventuelles lacunes.
Merci de votre lecture !
Le cancer du poumon est une tumeur maligne courante, dont l'apparition dépend de nombreux facteurs tels que l'hérédité et l'environnement, parmi lesquels le tabagisme est un facteur direct de l'apparition du cancer du poumon. C'est pourquoi nous suggérons souvent aux gens de s'abstenir de fumer ou d'arrêter de fumer afin de prévenir l'apparition du cancer du poumon, plutôt que d'arrêter de fumer après l'apparition du cancer du poumon, lorsqu'il est trop tard pour arrêter de fumer.
Par rapport aux non-fumeurs, la probabilité de cancer du poumon chez les fumeurs est significativement plus élevée, et chez les fumeurs, l'incidence du cancer du poumon augmente avec la durée et la quantité du tabagisme, tandis que chez ceux qui ont déjà fumé, la probabilité de cancer du poumon à un stade avancé de la vie diminue s'ils arrêtent de fumer à temps.
Au stade précoce du cancer du poumon, il n'y a souvent pas de performance spécifique, et sans un examen physique opportun, il est souvent difficile de le détecter, et certains patients sont déjà au stade moyen ou tardif après le diagnostic, avec un mauvais pronostic. Common symptoms of lung cancer include: ①cough, about half of lung cancer patients have coughing symptoms, mostly irritating dry cough; ②haemoptysis, manifested as blood in sputum, haemoptysis is rare; ③difficulty in breathing, caused by reduction of alveolar area due to spreading of the tumour, or compression by enlarged lymph nodes, lung atelectasis, or obstructive pneumonia, etc.; ④ fever, caused by necrosis of the tumour or secondary pneumonia; ⑤ wheezing, caused by the tumour growth in the airway; ⑥ pleural effusion, hoarse voice; ⑥ pleural effusion, hoarse voice, etc.; and ⑤purge, caused by tumour growth in the airway. (6) Épanchement pleural, enrouement, paralysie du nerf phrénique, dysphagie, épanchement péricardique, syndrome d'obstruction de la veine cave supérieure, etc.
Au fur et à mesure que la maladie progresse, le cancer du poumon peut développer des métastases à distance, qui à leur tour provoquent des symptômes correspondants, tels que des symptômes du système nerveux central comme des maux de tête, des nausées, des vomissements, ou des symptômes de métastases osseuses comme des douleurs osseuses, et des symptômes systémiques tels que l'émaciation, l'anémie, la faiblesse, etc. Il convient d'y prêter une attention particulière, de prendre des mesures préventives, de procéder à une détection précoce et d'administrer un traitement en temps utile, ce qui est important pour améliorer le pronostic.
Cet article est une réponse de General Practice Sweeper, nous espérons qu'il vous sera utile, copyright ©️ Tous droits réservés. Cet article est fourni à titre d'information uniquement et n'est pas destiné à servir de conseil ou d'orientation médicale.
Ces questions et réponses proviennent des utilisateurs du site, elles ne représentent pas la position du site, s'il y a une infraction, veuillez contacter l'administrateur pour la supprimer.